El levantamiento de mordida es una técnica crucial en ortodoncia que se utiliza para desbloquear la oclusión, evitar el choque entre los dientes superiores e inferiores, y optimizar el beneficio transversal de las arcadas. Esta técnica tiene como objetivo principal abrir la mordida, induciendo la desoclusión en la región anterior.

¿Qué es el Levantamiento de Mordida?
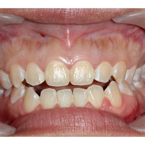
Tener una oclusión dental imperfecta implica que los dientes del maxilar superior no encajen correctamente con los del maxilar inferior. Esto puede acarrear consecuencias negativas para la salud del paciente, como posibles daños y heridas en labios, lengua y mejillas.
En la clase 1, se observan problemas en la posición de los dientes, caracterizados por las relaciones mesiodistales de los maxilares con los arcos dentales.
Tipos de Levantamiento de Mordida
Existen principalmente dos tipos de levantamiento de mordida, cada uno con sus propias indicaciones y técnicas:
Levantamiento de Mordida Anterior
El levantamiento de mordida anterior se realiza en las caras palatinas de los incisivos centrales superiores, generando una abertura de mordida posterior. Esto facilita la extrusión de los molares y premolares, nivelando así la curva de Spee inferior.

Levantamiento de Mordida Posterior
Una forma común de realizar levantes posteriores, ampliamente utilizada por ortodoncistas, es mediante el uso de resina fotopolimerizable monocomponente con liberación de flúor.
Materiales Utilizados
La elección del material es fundamental para el éxito del levantamiento de mordida. La resina fotopolimerizable es una opción popular debido a su durabilidad y facilidad de uso.
La resina fotopolimerizable puede permanecer en boca aproximadamente 8 meses.
Tabla Resumen de Materiales y Duración
| Material | Duración Aproximada | Ventajas |
|---|---|---|
| Resina Fotopolimerizable Monocomponente con Flúor | 8 meses | Durabilidad, liberación de flúor |

Indicaciones del Levantamiento de Mordida
- Desbloquear la oclusión.
- Evitar el choque entre dientes superiores e inferiores.
- Optimizar el beneficio transversal de las arcadas.
- Nivelar la curva de Spee inferior (en levantamientos anteriores).
QUÉ ES "LEVANTAR MORDIDA" ...es el fin, o el medio?
Formación en Ortodoncia Digital
El I Máster Clínico en Ortodoncia Digital con tecnología Invisalign, impartido por el doctor Iván Malagón y Flávio Ferreira Vellini, se lanzará en Brasil y otros países de América del Sur y Central.
El único requisito previo para este máster es haber obtenido el título de Especialista en Ortodoncia u Ortopedia Dentofacial.
Además, los alumnos recibirán casos clínicos, lo que les permitirá atender a un mayor número de pacientes si son recomendados. Todos los pacientes formarán parte del Proyecto del Curso, que asume total responsabilidad sobre el caso clínico.
tags: #bite #ramps #ortodoncia