El blanqueamiento dental es uno de los procedimientos estéticos más solicitados actualmente. Una sonrisa bonita aumenta la autoestima, eliminando la vergüenza de sonreír ampliamente o de taparse con la mano. En Marfil Den ofrecemos un tratamiento de blanqueamiento dental a precio competitivo, con total seguridad y garantía.

¿Por Qué Blanquear los Dientes?
El blanqueamiento dental mejora la estética dental al eliminar manchas y decoloraciones, brindando una sonrisa más brillante y rejuvenecida, lo que aumenta la confianza y la autoestima.
Además, el proceso de blanqueamiento dental a menudo va de la mano con una mayor conciencia de la higiene bucal. Las personas que invierten en mejorar la estética de sus dientes a través del blanqueamiento suelen ser más propensas a adoptar hábitos saludables, como cepillarse y usar hilo dental regularmente. Este beneficio adicional puede contribuir a la salud general de tus dientes y encías.
A diferencia de otros procedimientos cosméticos dentales, el blanqueamiento dental es no invasivo y generalmente indoloro. No requiere cirugía ni la eliminación de tejido dental. En su lugar, se utiliza un gel blanqueador seguro y eficaz que penetra en los dientes, lo que hace que este tratamiento sea una opción atractiva para aquellos que buscan mejoras estéticas sin procedimientos más extensos.
En resumen, el blanqueamiento dental no solo embellece tu sonrisa, sino que también impacta positivamente en tu confianza y bienestar general.
¿Cómo Blanquear los Dientes?
Existen diferentes métodos para blanquear los dientes, entre ellos:
- Blanqueamiento en clínica: Se aplica un determinado producto en los dientes y, con la ayuda de una lámpara tipo LED, utilizada de una manera correcta, se consigue un blanqueamiento mayor en un periodo corto de tiempo.
- Blanqueamiento domiciliario: Se confeccionan unas férulas transparentes perfectamente adaptadas a tus dientes, en las que se coloca el gel blanqueador y se debe llevar durante un tiempo determinado en casa.
- Blanqueamiento interno: Está indicado para dientes que de manera puntual se han ido oscureciendo, ya que el problema del cambio de color se encuentra en la parte interna del diente. Para este tratamiento, es necesario un tratamiento de conductos previo (endodoncia o “matar el nervio”).
El blanqueamiento dental externo es uno de los procedimientos más demandados y conservadores en la odontología actual, ya que de una manera muy sencilla se pueden aclarar los dientes, consiguiendo unos dientes más blancos y, por tanto, devolviéndoles un aspecto más juvenil y sano. Solemos combinar los dos tratamientos para poder aclarar.
Consiste en aplicar un gel blanqueador especial, en una primera sesión de clínica, sobre la superficie de los dientes a tratar y la aplicación sobre los mismos de la luz de una lámpara especial que activa el proceso de liberación de oxígeno. Este oxígeno penetrará en el esmalte de los dientes a tratar y será el que produzca el efecto deseado del aclaramiento.
A ello hay que añadir una o varias sesiones más que las tendrá que realizar el propio paciente en su domicilio, para reforzar el tratamiento hecho por nosotros en la clínica. Para este fin le entregamos una férula especial en media caña, transparente y adaptada a sus dientes. Al mismo tiempo se le proporciona un gel blanqueador, de menor intensidad, que lo introducirá en la férula y luego colocará sobre sus dientes. La férula la deberá llevar en el domicilio durante las horas que determine el dentista y durante una semana.
Pasado este tiempo realizamos un seguimiento y control del paciente, ofreciéndole si es preciso, otro dosificador de gel para prolongar el tratamiento si es necesario.
Philips Zoom: Una Opción Avanzada
La búsqueda de una sonrisa más brillante y radiante ha llevado a avances significativos en la estética dental, y entre ellos destaca el método Philips Zoom para blanqueamiento dental. Este innovador tratamiento no solo promete resultados excepcionales, sino que redefine la experiencia de lograr una sonrisa más blanca y deslumbrante.
Philips Zoom España - Blanqueamiento dental
¿Qué es Philips Zoom?
Philips Zoom es un método de blanqueamiento dental avanzado que combina la experiencia profesional con la comodidad para el paciente. Utiliza un gel blanqueador activado por una luz LED especial que acelera el proceso, ofreciendo resultados notables en una sola sesión.
El Proceso Philips Zoom:
- Consulta Inicial: El viaje hacia una sonrisa más blanca comienza con una consulta inicial. Durante esta fase, el dentista evalúa la salud dental del paciente y discute las expectativas, asegurando un tratamiento personalizado.
- Preparación: Antes de la aplicación del gel blanqueador, se protegen las encías y los labios para garantizar la seguridad del procedimiento.
- Aplicación del Gel y Luz LED: Se aplica el gel blanqueador Zoom sobre los dientes, y la luz LED acelera el proceso de blanqueamiento, permitiendo una acción más rápida y eficaz.
- Sesión Única: A diferencia de otros tratamientos que requieren varias sesiones, Philips Zoom logra resultados notables en una sola visita, ahorrando tiempo y proporcionando conveniencia al paciente.
Duración y Resultados del Blanqueamiento Dental
¿Cuánto Dura un Blanqueamiento Dental?
La duración de un blanqueamiento dental puede variar según el método utilizado y los hábitos de cuidado bucal del paciente. Los resultados de un blanqueamiento dental profesional, como el realizado con la técnica Philips Zoom, suelen durar de seis meses a un año, pero esto puede extenderse con un buen mantenimiento, evitando alimentos y bebidas que tiñen y siguiendo las indicaciones del dentista.
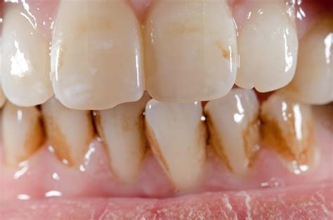
Causas de las Manchas en los Dientes
Con el paso del tiempo, es habitual que los dientes se oscurezcan, cambiando a un tono amarillento. A medida que crecemos, los dientes se deterioran, presentan manchas y pierden su blanco natural. Existen varios motivos divisibles en dos categorías:
- Causas intrínsecas: Son aquellas cuyo origen se encuentra en la estructura interna de los dientes. Suelen producirse por un golpe, debido a la edad de la persona o a causa de la exposición a ciertos minerales (como la tetraciclina) durante el desarrollo dentario. Aquí también podemos incluir la hipoplasia dental, la cual es una incorrecta formación del diente que provoca una cantidad inferior de esmalte de la necesaria. La fluorosis dental también es una alteración del esmalte provocada por una exposición demasiado alta al flúor, sobre todo mientras las piezas se están formando.
- Causas extrínsecas: Es posible que la decoloración de los dientes se produzca por factores externos, como la ingesta de alimentos u otras sustancias que los tiñen. Algunos de ellos son:
- Bebidas como el té, el café, el vino tinto…
- Ciertos alimentos con una fuerte coloración tales como las espinacas, las cerezas, las moras, el curry, el azafrán…
- El tabaco no solo es nocivo para la salud bucodental, sino que la nicotina penetra lentamente en la estructura dentaria aportándole un característico tono marrón.

Este proceso se acelera con el consumo de ciertos alimentos y bebidas como el tabaco, el alcohol, refrescos, té y café. Algunos medicamentos pueden causar manchas dentales. Estas manchas suelen tener un color marrón claro u oscuro y pueden aparecer tanto en la superficie de los dientes como entre ellos. La principal causa de este tipo de manchas suele ser una higiene bucal deficiente y el consumo excesivo de alimentos y bebidas con alto contenido de pigmentos.
Estas manchas pueden tener un color marrón o blanco y su origen se encuentra en la acumulación de bacterias. A lo largo del tiempo, si no se mantiene una buena higiene bucal, la placa y el sarro se acumulan, lo que resulta en la aparición de estas manchas.
Estas manchas tienen un color blanco o gris y suelen presentarse en forma de líneas en el esmalte dental. Por lo general, están causadas por factores intrínsecos, como la ingesta de medicamentos con una composición química fuerte o deficiencias congénitas.
¿Cuánto Dura un Blanqueamiento Dental?
Un blanqueamiento dental, si se aplican una serie de medidas, puede durar toda la vida. Para ello existen una serie de recomendaciones que como expertos en blanqueamiento dental en Bilbao queremos trasladar a nuestros pacientes para que su sonrisa brille durante más tiempo:
- Cuidar la higiene dental es siempre importante: Tras un blanqueamiento dental, además de ser fundamental para conservar la sonrisa sana, será clave para eliminar cualquier resto de comida o suciedad que pueda afectar al tono de los dientes.
- Evitar alimentos que puedan manchar los dientes: Esta consiste en consumir alimentos que no tengan colorantes o que no tiñan los dientes: Se deberán evitar alimentos como la remolacha, el limón, la naranja, los frutos rojos y demás frutas y verduras ácidas o de colores intensos y además será recomendable no ingerir bebidas como el café, el vino y refrescos. Todos estos productos pueden teñir las piezas dentales y perjudicar el resultado final del tratamiento.
- Evitar el tabaco y el alcohol: Estas sustancias, además de ser nocivas para la salud general y bucodental, pueden afectar al tono de los dientes. Un consumo habitual del tabaco y el alcohol puede hacer que la sonrisa se amarillee.
- Realizarse limpiezas dentales profesionales: Acudir al dentista al menos una vez al año para una limpieza dental profesional es fundamental para mantener el tono de tus dientes y eliminar al completo la placa bacteriana y el sarro que pueda haber entre las piezas dentales.
Efectos Secundarios y Sensibilidad Dental
¿Tiene efectos secundarios el blanqueamiento dental?
A pesar de ser uno de los tratamientos dentales con más demanda en la actualidad, hay muchos falsos mitos acerca del blanqueamiento. Así, muchos pacientes nos preguntan sobre posibles efectos adversos en sus dientes. Es importante decir que este procedimiento es completamente seguro, pues en todo momento está supervisado por nuestro personal especializado en Estética Dental, referente en blanqueamiento dental en Bilbao.
El gel blanqueador que se aplica junto con la luz LED no daña el esmalte en ningún caso ni lo vuelve más frágil, simplemente propicia su oxigenación para que se vuelva más blanco. Del mismo modo, tampoco es cierto que los efectos del tratamiento se pierdan al cabo de los meses.
Cuando existe sensibilidad dental, una de las características más particulares de esta sensación es que el dolor, pese a ser muy intenso, desparece en unos segundos. Es, básicamente, el tiempo que dura la reacción del estímulo externo con el nervio.
Aunque ahora estamos hablando de la sensibilidad dental por blanqueamiento, a veces, este tipo de afecciones son consecuencia de patologías orales o infecciones que se deben tratar con rapidez, como la periodontitis, las caries en los dientes, el bruxismo, los traumas dentales o, incluso, el cepillado dental agresivo.
¿Cómo evitar la sensibilidad dental después del tratamiento?
Si quieres evitar tener una gran sensibilidad dental después de un blanqueamiento, nuestro consejo es que solo te sometas a este tipo de tratamientos en centros odontológicos experimentados como el nuestro. Nunca deberías seguir consejos sobre cómo blanquear los dientes en casa, debido a que los productos que se suelen recomendar son corrosivos y podrían dañar tus dientes. Confía en nosotros, somos expertos en blanqueamiento dental en Bilbao, podremos aconsejarte y solucionar todas las dudas que tengas de manera profesional.
Consejos para minimizar la sensibilidad dental después del blanqueamiento
Notar sensibilidad después de un blanqueamiento es algo habitual. De hecho, se trata de uno de los síntomas más característicos de estos tratamientos de odontología estética. Con el fin de minimizar las molestias, puedes seguir los siguientes consejos:
- Utiliza cepillos de dientes de cerdas suaves.
- Recurre a la pasta dental para dientes sensibles. Este tipo de dentífricos incluyen agentes desensibilizantes, que evitan las molestias provocadas por la sensibilidad dental.
- Utiliza un enjuague bucal o colutorio para dientes sensibles.
Preguntas Frecuentes
- ¿Se van a desgastar mis dientes? Podemos decir con tranquilidad que no se desgastan los dientes, ya que la concentración que usamos y el tiempo que está en contacto con los dientes no es suficiente como para poder dañar el esmalte.
- ¿Es doloroso? No es doloroso, lo que sí es verdad, es que uno de los efectos secundarios más habituales es la sensibilidad dental. Para evitarla, es recomendable el uso de colutorios, pastas dentífricas y geles especiales y si esto ocurre, suspendiendo el tratamiento uno o dos días, la sensibilidad desaparece.
- Tengo empastes antiguos… ¿también se puede blanquear? El blanqueamiento solo es efectivo en el esmalte del diente.
Precios y Consideraciones en Bilbao
Los precios de los blanqueamientos dentales en Bilbao pueden variar, la elección de Philips Zoom ofrece más que una simple transformación estética. Representa una inversión en resultados rápidos, comodidad y una sonrisa más brillante y duradera. La decisión de elegir Philips Zoom va más allá del costo inicial; es una inversión en la excelencia estética y el bienestar dental.
Opiniones de los Clientes en Bilbao
Las opiniones de los clientes son un factor importante a la hora de elegir una clínica dental para realizarse un blanqueamiento. En Bilbao, la Clínica Santisteban es reconocida como la clínica mejor valorada del país, según el periódico España Diario. Los clientes destacan el trato exquisito, la profesionalidad del equipo y los buenos resultados obtenidos.
Algunas de las opiniones de los clientes de la Clínica Santisteban son:
- Aarón de la Cal Ruiz: "Clínica ideal nosotros estamos encantados el trato exquisito, gente muy profesional. Y con muy buen resultado, se preocupan mucho por los pacientes. El resto de personal es muy amable y son encantadores."
- Melchor Fernandez: "Es un equipo con gran profesionalidad. El personal es muy asequible y muy profesional, te hacen sentir cómodo y relajado. El material es de última generación. MUY recomendable."
- Sarah de Paula Silva: "La clínica Santisteban es excelente. El personal es muy amable y acogedor, lo que me hizo sentir muy cómodo durante mi visita. El equipo dental es moderno y de última generación, lo que me dio mucha confianza en la calidad del trabajo que…"
Estas son solo algunas de las muchas opiniones positivas que los clientes tienen sobre la Clínica Santisteban en Bilbao.
Ofertas de Blanqueamiento Dental en Bilbao
En Bilbao, puedes encontrar ofertas de blanqueamiento dental en plataformas como Groupon. Estas ofertas te permiten acceder a tratamientos de blanqueamiento dental a precios más accesibles, sin comprometer la calidad del servicio. Sin embargo, es importante verificar la reputación de la clínica y la experiencia de los profesionales antes de tomar una decisión.
El blanqueamiento dental es un tratamiento realizado con una lámpara led, basado en la aplicación de luz fría sobre un gel especial. Si buscas una solución efectiva para mejorar la apariencia de tus dientes, estás de suerte, porque esta oferta parece estar hecha al dedillo para ti.
tags: #blanqueamiento #dental #bilbao