La fluorosis dental es una alteración irreversible en el desarrollo del esmalte causada por la ingesta excesiva de fluoruros durante la formación de los dientes. Si bien es cierto que el fluoruro es esencial para la prevención de caries, su uso descontrolado puede tener efectos adversos sobre la estructura del esmalte. Esto es visible en regiones en las que el agua potable contiene de forma natural altas concentraciones de ion fluoruro.
A continuación, exploraremos en detalle los riesgos y beneficios del blanqueamiento dental con ácido clorhídrico, un tratamiento común para mitigar los efectos de la fluorosis.
Descubre los Secretos y Riesgos del Blanqueamiento Dental
¿Qué es la Fluorosis Dental?
Se manifiesta a través de manchas blancas opacas o estriaciones moteadas que pueden volverse amarillas o marrones en los casos más graves.

Fluorosis dental: manchas blancas y amarronadas en el esmalte.
El Proceso de Amelogénesis
La amelogénesis, o el desarrollo del esmalte dental, tiene lugar en varias etapas: morfogénesis, diferenciación, secreción, maduración, protección y desmólisis.
A lo largo de estas fases, se produce una compleja matriz proteica compuesta por amelogenina, ameloblastina, enamelina y tuftelina, además de enzimas como la metaloproteinasa MMP-20 y la calicreína (KLK4), que ayudan en la degradación progresiva de dicha matriz.
La fluorosis afecta la etapa de maduración, momento en el que el exceso de fluoruro interfiere con el transporte vesicular de proteínas y retarda su degradación, lo que impide llevar a cabo una buena mineralización del esmalte, que se vuelve más débil y poroso.
Factores de Riesgo
Los principales factores de riesgo de la fluorosis están relacionados con la sobreexposición al fluoruro durante la infancia. Además, es fundamental informar a los padres sobre las cantidades recomendadas de flúor en las pastas dentífricas en cada etapa de la infancia.
Diagnóstico de la Fluorosis Dental
La fluorosis se detecta visualmente mediante una inspección clínica del esmalte, analizando su opacidad, pigmentación y textura. Para saber qué tan leve o grave es, existen múltiples índices de clasificación. El índice de Dean, desarrollado por H. Trendley Dean, es el recomendado por la Organización Mundial de la Salud (OMS).
Esta clasificación es más detallada, se basa en la histopatología de la fluorosis, describiendo cambios microscópicos y macroscópicos, por eso es el más útil para planificar tratamientos clínicos individualizados.

Índice de Dean para la clasificación de la fluorosis dental.
Opciones de Tratamiento para la Fluorosis Dental
El tratamiento de la fluorosis dental varía según la gravedad del caso, desde blanqueamiento dental hasta restauraciones más complejas.
Blanqueamiento Dental
En las categorías TF1 y TF2, el blanqueamiento dental ayuda a reducir el contraste entre las zonas afectadas por la fluorosis y las sanas. Se usan agentes como el peróxido de hidrógeno o de carbamida, capaces de penetrar en el esmalte y descomponer los pigmentos responsables de la coloración.
Hay que tener en cuenta que el aclaramiento dental puede causar sensibilidad postoperatoria, por lo que es aconsejable realizar microabrasión en ciertos casos.
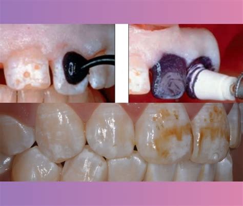
Macroabrasión, Microabrasión y Blanqueamiento Combinado
En los grados moderados TF3 y TF4, es habitual combinar tratamientos de macroabrasión, microabrasión y blanqueamiento dental.
Restauración con Resinas Compuestas
Para casos que van del TF5 al TF9, donde hay pérdida de estructura dental, se recomienda hacer una restauración con resinas compuestas para reemplazar las zonas afectadas.

Microabrasión dental para eliminar manchas superficiales.
Tabla Resumen de Tratamientos Según la Clasificación TF
La siguiente tabla resume los tratamientos recomendados según la clasificación TF de la fluorosis dental:
| Clasificación TF | Tratamiento Recomendado |
|---|---|
| TF1 y TF2 (Leve) | Blanqueamiento dental |
| TF3 y TF4 (Moderado) | Macroabrasión, microabrasión y blanqueamiento dental combinado |
| TF5 a TF9 (Grave) | Restauración con resinas compuestas |
Prevención y Educación Parental
En definitiva, la fluorosis dental puede tratarse a pesar de ser una condición irreversible. Lo más importante es realizar un diagnóstico preciso que determine la gravedad del caso en cuestión antes de llevar a cabo algún tratamiento. Es preferible que estos sean mínimamente invasivos para conservar la estructura dental.
Además, la fluorosis dental recalca lo necesaria que es la educación parental como medida de prevención. Con visitas regulares a la clínica dental es posible detectar signos a tiempo para controlar la exposición al flúor y recomendar los productos más adecuados de acuerdo con ello.
tags: #blanqueamiento #dental #con #acido #clorhidrico