El blanqueamiento dental Mapfre es un procedimiento estético que busca mejorar el aspecto de los dientes, eliminando manchas y decoloraciones. Mapfre ofrece tratamientos de estética dental, incluyendo diseño de la sonrisa, carillas de porcelana y blanqueamiento dental. Además, brinda opciones de financiación y una amplia cobertura en su seguro dental, con descuentos y programas especiales para niños.

¿Qué es el Blanqueamiento Dental?
El blanqueamiento dental es un procedimiento estético que tiene como objetivo mejorar el aspecto de los dientes, eliminando manchas y decoloraciones. Mediante este tratamiento, se busca lograr una sonrisa más blanca y brillante, lo cual contribuye a mejorar la confianza y la apariencia estética de una persona.
Tipos de Blanqueamiento Dental
Existen diferentes tipos de blanqueamiento dental que se pueden realizar, dependiendo de las necesidades y preferencias del paciente. Algunos de los métodos más comunes son:
- Blanqueamiento dental en consultorio: Este tratamiento se realiza en la clínica dental bajo la supervisión de un profesional. Se utiliza un gel blanqueador de alta concentración que se aplica en los dientes y se activa con una luz especial. Esta técnica permite obtener resultados rápidos y efectivos en una sola sesión.
- Blanqueamiento dental en casa: En este caso, se utiliza un kit de blanqueamiento dental suministrado por el dentista. El paciente se encarga de aplicar el gel blanqueador en unas férulas personalizadas que se colocan sobre los dientes durante un período de tiempo específico. Este método requiere de varias aplicaciones y suele llevar más tiempo para obtener resultados visibles.
Cuál es el MEJOR BLANQUEADOR DENTAL en 2023 🦷✌️

Sustancia Utilizada en el Blanqueamiento Dental
La sustancia más comúnmente utilizada en los tratamientos de blanqueamiento dental es el peróxido de carbamida. Esta sustancia es un agente blanqueador que actúa penetrando en el esmalte dental y oxidando los pigmentos de las manchas, eliminándolos gradualmente.
Es importante destacar que el uso de productos blanqueadores debe ser supervisado por un profesional, ya que un mal uso o abuso de estas sustancias puede causar daños en los dientes y las encías.
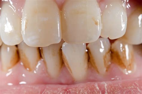
Causas de las Manchas en los Dientes
Las manchas en los dientes pueden ser causadas por diferentes factores, tanto intrínsecos como extrínsecos. Conocer estas causas es fundamental para comprender cómo prevenir y tratar las manchas dentales.
Factores Intrínsecos que Causan Manchas
Existen algunos factores intrínsecos que pueden provocar manchas en los dientes:
- Medicamentos: Algunos medicamentos pueden afectar la coloración de los dientes, especialmente aquellos que contienen tetraciclina o ciertos medicamentos antipsicóticos.
- Mala calcificación dental: Cuando el esmalte dental no se desarrolla adecuadamente, los dientes pueden presentar manchas y decoloración.
- Traumatismos dentales: Los golpes o traumatismos en los dientes pueden causar la aparición de manchas, especialmente si hay daño en la pulpa dental.
- Envejecimiento dental: Con el paso del tiempo, el esmalte dental se desgasta y se produce un oscurecimiento natural de los dientes.
Factores Extrínsecos que Causan Manchas
Además de los factores intrínsecos, existen también factores extrínsecos que pueden generar manchas en los dientes debido a diferentes hábitos y alimentos:
- Alimentos pigmentados: El consumo frecuente de alimentos como café, té, vino tinto, salsas oscuras y bayas puede manchar los dientes con el tiempo.
- Bebidas pigmentadas: Las bebidas gaseosas, los refrescos oscuros, los jugos de frutas ácidas y las bebidas energéticas también pueden provocar manchas en los dientes debido a su contenido cromogénico.
- Consumo de tabaco: Fumar o mascar tabaco puede causar manchas amarillentas o marrones en los dientes, además de aumentar el riesgo de otros problemas dentales.
Es importante tener en cuenta que las manchas dentales pueden surgir debido a la combinación de diferentes factores, tanto intrínsecos como extrínsecos. Por eso, es recomendable adoptar hábitos de higiene oral adecuados y acudir a un especialista para determinar el tratamiento más adecuado para cada caso.

Tratamientos de Estética Dental Ofrecidos por Mapfre
En Mapfre, nos preocupamos por la belleza y salud de tu sonrisa. Nuestros tratamientos de estética dental están diseñados para brindarte una sonrisa más radiante y natural. Contamos con un equipo de expertos en odontología estética que te ayudarán a lograr el mejor resultado.
Diseño de la Sonrisa
Cuando se trata de mejorar la apariencia dental, el diseño de la sonrisa es un tratamiento integral y personalizado. Nuestros dentistas especializados analizarán cada aspecto de tu sonrisa, desde la forma y el tamaño de los dientes hasta su posición y color. Con técnicas avanzadas y tecnología de vanguardia, te ayudaremos a lograr una sonrisa armoniosa y equilibrada que resalte tu belleza facial.
Carillas de Porcelana
Las carillas de porcelana son una excelente opción para mejorar la apariencia de los dientes. Estas finas láminas de porcelana se adhieren a la parte frontal de los dientes, corrigiendo imperfecciones como manchas, fracturas o desalineaciones. En Mapfre, contamos con dentistas especializados en la colocación de carillas de porcelana, garantizándote resultados estéticos y duraderos.
Blanqueamiento Dental
Si buscas una sonrisa más blanca y luminosa, nuestro blanqueamiento dental es la solución perfecta. Utilizamos técnicas y productos seguros y efectivos para eliminar las manchas y decoloraciones en tus dientes, dejándolos más claros y brillantes. Nuestros dentistas te proporcionarán un tratamiento personalizado, teniendo en cuenta tus necesidades y expectativas, para lograr los mejores resultados posibles.
En Mapfre, nos enorgullece ofrecer tratamientos de estética dental de alta calidad. Trabajamos con materiales y técnicas de última generación para garantizar sonrisas hermosas y saludables. ¡Confía en nosotros para transformar tu sonrisa y mejorar tu confianza en ti mismo!
Opciones de Financiación y Cobertura del Seguro Dental de Mapfre
Mapfre ofrece diversas opciones para facilitar el acceso a tratamientos dentales estéticos y de salud bucodental.
Planes de Financiación Adaptados a las Necesidades
Mapfre ofrece opciones de financiación flexibles para asegurar que todos los pacientes puedan acceder a los tratamientos dentales necesarios. Estos planes se adaptan a las necesidades de cada persona, permitiendo pagar de manera cómoda y escalonada los costes del blanqueamiento dental y otros procedimientos estéticos. Así, no será necesario renunciar a tener una sonrisa radiante por motivos económicos.
Cobertura y Descuentos en Tratamientos Dentales
El seguro dental de Mapfre proporciona una amplia cobertura para garantizar la salud bucodental de sus asegurados. Incluye más de 49 servicios gratuitos, como empastes, limpiezas, radiografías y extracciones, lo que supone un beneficio significativo para el cuidado dental. Además, se ofrecen descuentos de hasta el 50% en otros tratamientos dentales, como carillas de porcelana y blanqueamiento dental, lo cual permite obtener los mejores resultados estéticos a un precio más accesible.
Programa de Salud Dental Infantil y Garantía de Materiales en los Tratamientos
En Mapfre nos preocupamos por la salud dental de los más pequeños, por eso ofrecemos un programa especial de salud dental infantil. Este programa está diseñado especialmente para niños menores de 15 años, brindando cobertura y servicios específicos para garantizar una correcta salud bucal desde temprana edad.
Mediante nuestro programa de salud dental infantil, los niños tienen acceso a una amplia gama de servicios gratuitos, incluyendo limpiezas, sellado de fisuras y revisiones periódicas. Estas revisiones permiten mantener un seguimiento constante de la salud dental de los niños, detectando y tratando cualquier problema a tiempo.
Además, en Mapfre nos comprometemos con la calidad de los materiales utilizados en los tratamientos dentales. Por eso, ofrecemos una garantía de 1 año en los materiales utilizados en general. Sin embargo, en el caso de los implantes dentales, esta garantía puede ampliarse hasta 5 años, brindando mayor tranquilidad a nuestros asegurados.
Como parte de nuestro compromiso con la salud y bienestar de nuestros clientes, nos aseguramos de contar en nuestro cuadro dental con especialistas en odontología y radiología oral. De esta manera, nuestros asegurados pueden elegir a su dentista de confianza, teniendo la tranquilidad de estar en manos expertas y recibir un servicio de calidad.
Clínicas y Dentistas que Ofrecen Tratamientos de Estética Dental
A la hora de elegir una clínica dental para realizar tratamientos de estética dental como el blanqueamiento dental, carillas de porcelana o coronas dentales, es importante contar con profesionales que brinden confianza y excelencia en sus servicios.
En el caso de Mapfre, ofrece a sus asegurados una amplia red de clínicas y dentistas especializados en estética dental. A continuación, se mencionan algunas de las clínicas y dentistas que forman parte de su cuadro dental:
- Clínica Dental Estética Sonrie+: Ubicada en el centro de Madrid, esta clínica cuenta con un equipo de dentistas altamente cualificados en tratamientos de estética dental. Ofrecen servicios de blanqueamiento dental con las técnicas más avanzadas y seguras.
- Centro Odontológico Dentalia: Con sedes en varias ciudades de España, Dentalia destaca por su enfoque en la estética dental y la atención personalizada. Realizan tratamientos de blanqueamiento dental utilizando productos de calidad y tecnología de última generación.
- Clínica Dental Perfect Smile: Situada en Barcelona, esta clínica ofrece una amplia gama de tratamientos estéticos, incluido el blanqueamiento dental. Cuentan con un equipo de profesionales especializados en brindar resultados naturales y duraderos.
- Dentistas Profesionales Salud Dental: Esta clínica, con varias sedes en diferentes ciudades, se distingue por su compromiso con la excelencia y la innovación en la estética dental. Realizan blanqueamiento dental utilizando técnicas seguras y efectivas.
Estas son solo algunas de las clínicas y dentistas que forman parte de la red de Mapfre. Para localizar las clínicas dentales de Mapfre, puedes utilizar el cuadro médico disponible en su web.
Beneficios Adicionales del Seguro Dental de Mapfre
Mapfre es una de las compañías más grandes en España, con más de 80 años de experiencia. Además, Mapfre utiliza tecnologías modernas y simplifica los trámites para brindar un servicio rápido y eficiente.
- La cobertura de odontología preventiva en Mapfre Dental incluye servicios como limpiezas dentales, fluoraciones y sellado de fisuras.
- El seguro de salud dental incluye cobertura para procedimientos quirúrgicos en la boca y la mandíbula, como la extracción de dientes y la cirugía de encías.
- Mapfre Dental ofrece tratamientos periodontales que incluyen limpieza profunda y eliminación de infecciones en las encías.
- Los tratamientos dentales que utilizan materiales específicos, como empastes e implantes, cuentan con una garantía de calidad.
- En caso de hospitalización por problemas dentales, Mapfre ofrece una indemnización diaria.
- El seguro dental incluye acceso a un TAC dental.
Coberturas Comunes en Mutuas Médicas
Las mutuas médicas suelen incluir una gama de tratamientos dentales básicos en sus pólizas de salud, aunque la cobertura puede variar según el tipo de plan contratado.
- Las mutuas médicas suelen cubrir tratamientos preventivos, como las limpiezas dentales anuales.
- Entre los tratamientos restauradores cubiertos se encuentran los empastes para tratar las caries.
- Algunos planes también incluyen la extracción de piezas dentales en caso de necesidad.
- Muchas mutuas ofrecen la opción de contratar seguros dentales adicionales que cubren procedimientos más avanzados, como endodoncias, prótesis dentales, ortodoncia e incluso implantes dentales.
Seguro Dental Mapfre para Menores de 15 Años
Mapfre pone a disposición de los menores de 15 años un seguro dental con cobertura integral que contempla limpiezas periódicas, sellado de fisuras, extracciones y tratamientos específicos de encías. Asimismo, se incluyen obturaciones, reconstrucciones complejas, endodoncias y prótesis dentales tanto fijas como removibles.
Precios y Franquicias
El seguro dental de Mapfre tiene un precio desde 8,34€ al mes. Además, Mapfre ofrece franquicias para distintos tratamientos, con descuentos de hasta el 50%.
Mapfre Dental ofrece una variedad de tratamientos con precios accesibles. Por ejemplo, la terapia regenerativa cuesta aproximadamente 150€. Un empaste para menores de 15 años es gratuito, mientras que para adultos cuesta 33€. El blanqueamiento dental ambulatorio vale 265€, y en clínica cuesta 330€.
Cómo Contratar y Darse de Baja
Contratar un Seguro Dental con Mapfre es sencillo. Puedes hacerlo de forma independiente al seguro de salud o incluirlo en él. El proceso se puede realizar online, por teléfono, fax, o en oficinas comerciales.
Para darse de baja del seguro de Mapfre, debes notificarlo por escrito con al menos un mes de antelación.
Preguntas Frecuentes
¿Cómo puedo saber el precio de mi seguro dental?
Haz clic en el botón “Calcula tu precio” y accede a nuestro simulador digital. Sólo necesitarás el código postal del asegurado mayor de 15 años, fecha de nacimiento y sexo. Además, recuerda que puedes incluir en la misma póliza a todas aquellas personas que formen parte de la misma unidad familiar y convivan en el mismo domicilio.
¿Puedo contratar el seguro dental y el seguro de salud juntos?
Sí. Si contratas tu seguro de salud y seguro dental en la misma póliza conseguirás un precio más económico en tu prima total. Para calcular tu precio accede a la página de Seguros de Salud, entra en nuestro simulador de precio y elige la cobertura dental.
¿A qué clínicas dentales puedo asistir con mi seguro dental MAPFRE?
Podrás elegir libremente cualquier especialista incluido dentro de nuestro amplio cuadro médico. Se trata de clínicas seleccionadas por nosotros por su calidad y garantía, y se encuentran repartidas en todo el territorio nacional. Localiza tu dentista MAPFRE más cercano en nuestro buscador de Médicos y Centros.
¿Cubre el seguro dental la ortodoncia?
Mediante el pago de una pequeña franquicia, los niños menores de 15 años podrán realizarse el tratamiento de ortodoncia. Además, al ser asegurado de MAPFRE podrás beneficiarte de un precio inferior en este tipo de tratamientos.
¿Qué es la franquicia dental?
Se trata de una pequeña cantidad de dinero que el paciente deberá abonar al aceptar el presupuesto del tratamiento. Así, mediante este método, te aseguras que podrás disfrutar de una salud bucodental sin tener que desembolsar grandes cantidades de dinero.
¿Cómo funciona el seguro dental de MAPFRE?
Los clientes del Seguro Dental de MAPFRE podrán asistir a cualquiera de las clínicas concertadas para pedir presupuesto para su tratamiento dental. Una vez aceptado, el cliente participará por medio de una franquicia (pequeña cantidad de dinero que variará dependiendo del acto). Existen multitud de tratamientos dentales gratuitos para nuestros asegurados.
¿El seguro dental de MAPFRE tiene períodos de carencia?
No, el seguro dental de MAPFRE no tiene períodos de carencia. Esto significa que puedes acceder a sus coberturas y servicios odontológicos desde el primer día de vigencia de la póliza, sin necesidad de esperar un tiempo mínimo tras la contratación.
| Tratamiento | Precio (aproximado) |
|---|---|
| Terapia Regenerativa | 150€ |
| Empaste (adultos) | 33€ |
| Empaste (menores de 15 años) | Gratis |
| Blanqueamiento Dental Ambulatorio | 265€ |
| Blanqueamiento Dental en Clínica | 330€ |
tags: #blanqueamiento #dental #mapfre