Tener una sonrisa sana y atractiva es un deseo universal. Sin embargo, por diversas razones, los dientes pueden adquirir un tono grisáceo, afectando nuestra confianza y bienestar bucal. Mantener dientes blancos y saludables nos ayuda a proyectar una imagen positiva y a mejorar nuestro bienestar bucal.

La decoloración dental puede deberse a diversas razones. Identificar la causa exacta es esencial para determinar el tratamiento adecuado. En este artículo, exploraremos las causas más comunes de los dientes grises y las soluciones efectivas disponibles para recuperar una sonrisa radiante.
¿Por qué se ponen los dientes grises? Principales causas
La primera pregunta que responderemos es por qué se ponen grises los dientes. Y lo cierto es que no hay una única respuesta para ello, pues son varias las causas que están detrás de ese síntoma. Para tener claridad sobre qué es lo que está provocando la aparición de manchas grises en los dientes, te recomendamos acudir a un especialista en estética dental.
Diente gris por golpe o traumatismos
Una de las razones por las que vemos dientes de color gris, es debido a un golpe o traumatismo dental. En este sentido, cuando un diente sufre un impacto, puede producirse un corte en el suministro sanguíneo, lo que eventualmente lleva a que el diente se oscurezca.
Un golpe o traumatismo dental es una causa común de los dientes grises. Un impacto puede interrumpir el suministro sanguíneo al diente, lo que eventualmente lo oscurece. Por otro lado, este cambio de color puede no ser inmediato y desarrollarse a lo largo de meses o incluso años tras el incidente.
Diente gris por endodoncia
Los tratamientos de endodoncia, aunque son procedimientos que salvan el diente, pueden ser otra causa de los dientes grises. Y es que los medicamentos y materiales utilizados en estos tratamientos pueden alterar el color natural del diente, dejándolo con una tonalidad grisácea o incluso marrón. Aunque los tratamientos de endodoncia salvan el diente, pueden alterar su color natural.
Envejecimiento
El proceso natural de envejecimiento también puede afectar el color de nuestros dientes. Con el paso del tiempo, el esmalte dental se desgasta, exponiendo la dentina, que es naturalmente más amarilla o marrón. Esto, finalmente, puede ocasionar la aparición de manchas grises en el diente. El envejecimiento natural también afecta el color de los dientes. Con el tiempo, el esmalte dental se desgasta, exponiendo la dentina, que es naturalmente más amarilla o marrón.
Restauraciones dentales
Las restauraciones con ciertos materiales, como amalgamas de plata o coronas de metal, pueden ser otra de las causas de dientes grises. Normalmente, estos procedimientos, pueden provocar un cambio de color en los dientes circundantes, o en el mismo diente restaurado, debido a la filtración de estos materiales hacia el interior del diente. Restauraciones con ciertos materiales, como amalgamas de plata o coronas de metal, pueden provocar dientes grises.
Caries dental
Si seguimos analizando por qué se ponen los dientes grises, debemos hablar de las caries, que son una de las principales razones por las que el diente cambia de color. Es más, a medida que la caries avanza, puede afectar profundamente el diente y alterar su color, llevando a manchas grises en el diente afectado. Las caries son una de las principales razones por las que los dientes cambian de color.
Dientes grises por tetraciclina
Por último, es importante mencionar la tetraciclina. Se trata de un antibiótico que puede ocasionar la aparición de dientes con manchas grises. Lo que ocurre es que cuando es administrado durante la infancia o el embarazo, puede incorporarse en el desarrollo dental y causar una decoloración permanente de los dientes. La tetraciclina, un antibiótico, puede causar manchas grises en los dientes cuando se administra durante la infancia o el embarazo.
Hoy día la mayoría de los profesionales médicos evitan recetar tetraciclinas a mujeres embarazadas y a niños menores de ocho años precisamente por este efecto adverso.

Otros factores que contribuyen a la decoloración dental
- El consumo habitual de alimentos y bebidas con pigmentos fuertes, como café, té, vino tinto y refrescos, puede manchar los dientes.
- El tabaquismo también puede causar que los dientes se vuelvan grises o amarillos.
Además de las causas mencionadas, existen factores externos que pueden contribuir a la decoloración dental. El consumo habitual de alimentos y bebidas con pigmentos fuertes, como café, té, vino tinto y refrescos, puede manchar los dientes. El tabaquismo también puede causar que los dientes se vuelvan grises o amarillos.
Dientes grises: Solución y tratamiento
Afortunadamente, existen varias opciones para tratar y mejorar la apariencia de los dientes grises, dependiendo de la causa subyacente de la coloración. De ahí, la importancia de estar bien asesorado y acudir a los mejores especialistas en la materia. Veamos cuál es la mejor solución para los dientes grises.
Carillas dentales
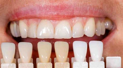
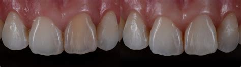
Las carillas dentales son una excelente opción para corregir la decoloración severa. Consisten en finas láminas de porcelana o resina que se adhieren a la parte frontal del diente, ofreciendo un color similar al de tus dientes en estado natural. No obstante, en ciertos casos como los que mencionaremos a continuación, puede que el color gris del diente no se logre disimular del todo. Las carillas dentales son una opción excelente para corregir la decoloración intensa. Consisten en finas láminas de porcelana o resina que se adhieren a la parte frontal del diente, ofreciendo un color similar al de los dientes en estado natural.

Coronas dentales
En casos donde la estructura del diente está comprometida, ya sea por manchas por tetraciclinas, caries extensas, tratamientos de endodoncia o traumatismos severos, las coronas dentales (coloquialmente llamadas fundas) pueden ser una solución alternativa, protegiendo el diente y mejorando su apariencia. Cuando la estructura del diente está comprometida, ya sea por manchas de tetraciclina, caries extensas, tratamientos de endodoncia o traumatismos severos, las coronas dentales pueden ser una solución alternativa.
Blanqueamiento para los dientes grises
Los diferentes tipos de blanqueamiento dental son uno de los tratamientos más comunes y efectivos para mejorar el color de los dientes. Sin embargo, los resultados pueden variar dependiendo de la causa y tipo de decoloración. En este sentido, el blanqueamiento llevado a cabo por un higienista no puede hacer mucho por sí solo para eliminar el color gris de los dientes. El blanqueamiento dental es uno de los tratamientos más comunes y efectivos para mejorar el color de los dientes. Los resultados pueden variar según la causa y el tipo de decoloración.
En el caso de un diente gris debido a un golpe o endodoncia, se debe realizar un blanqueamiento dental interno, este se realiza con un producto de alta concentración y debe ser realizado por un odontólogo especializado.

Blanqueamiento Dental: Tipos, Consejos y Cuidados
Tabla resumen de causas y soluciones
| Causa | Solución |
|---|---|
| Golpe o traumatismo dental | Blanqueamiento interno, carillas o coronas dentales |
| Endodoncia | Blanqueamiento interno, carillas o coronas dentales |
| Envejecimiento | Blanqueamiento dental profesional, carillas |
| Restauraciones dentales | Reemplazo de restauraciones, carillas o coronas dentales |
| Caries dental | Tratamiento de caries, blanqueamiento, carillas o coronas dentales |
| Tetraciclina | Blanqueamiento dental profesional, carillas o coronas dentales |
| Manchas externas (café, té, tabaco) | Higiene bucal mejorada, blanqueamiento dental profesional |
Prevención de la decoloración dental
Para prevenir la decoloración dental, es crucial mantener una buena higiene bucal y visitar regularmente al dentista.
- Cepilla tus dientes dos veces al día con pasta dental fluorada.
- Usa hilo dental diariamente para eliminar la placa entre los dientes.
- Limita el consumo de alimentos y bebidas que manchan los dientes.
- No fumes.
- Visita a tu dentista para limpiezas y revisiones regulares.
Además de las causas mencionadas, existen factores externos que pueden contribuir a la decoloración dental. Al enfrentar la decoloración dental, es vital buscar una evaluación profesional. Un odontólogo especializado puede identificar la causa específica del cambio de color y recomendar el tratamiento más adecuado. Mantener una buena higiene bucal y acudir regularmente al dentista son medidas cruciales para prevenir la decoloración dental.