En el campo de la odontología clínica, siempre se ha buscado una restauración totalmente cerámica que se adapte bien y muestre biocompatibilidad, resistencia, precisión de ajuste y estética mejorada. La reciente introducción de las cerámicas con base de óxido de zirconio como material restaurador dental ha despertado un interés considerable en la comunidad odontológica, expresado a través de una intensa actividad industrial, clínica e investigadora.
La tecnología moderna de los polvos de óxido de zirconio contribuye a la fabricación de nuevas restauraciones totalmente cerámicas biocompatibles con propiedades físicas mejoradas para una amplia gama de prometedoras aplicaciones clínicas. Especialmente con el desarrollo de los sistemas de CAD/CAM (diseño y fabricación asistido por ordenador), las subestructuras de óxido de zirconio de alta resistencia pueden ser viables para la confección de coronas de recubrimiento completo o parcial, prótesis fijas, carillas, postes radiculares y/o muñones, coronas telescópicas primarias, pilares de implantes e implantes.
Asimismo, los diferentes componentes dentales auxiliares con base de óxido de zirconio (es decir, fresas de tallado y quirúrgicas, ataches extracoronales y brackets ortodóncicos) también son viables desde el punto de vista tecnológico.
MEJORES MATERIALES PARA CORONAS DENTALES: zirconio, cerámica, metal-cerámica y resina
Introducción al Zirconio en Odontología
La creciente creencia de que la odontología sin metal va a modificar el espectro restaurador tradicional siempre se ha encontrado con un obstáculo: la naturaleza intrínsecamente quebradiza de la cerámica dental. Por ello, los investigadores y fabricantes han desarrollado fórmulas avanzadas para prevenir la propagación de grietas, principalmente utilizando policristales de óxido de zirconio tetragonales con itrio (Y-TZP), conocido comúnmente como zirconia.
La aparición de las cerámicas de zirconia, conjuntamente con la tecnología informática, ha llevado a la ciencia e industria odontológica a vivir su propio «sueño». La interpretación de este «sueño de zirconia» específico puede ser definida como «la aplicación clínica generalizada de un material cerámico de zirconia altamente biocompatible resistente a largo plazo a todos los impactos térmicos, químicos y mecánicos del entorno oral en una amplia gama de restauraciones dentales».
A lo largo de los últimos diez años, la comunidad odontológica ha sido testigo de un «big bang» industrial en relación con el procesado del óxido de zirconio para diferentes aplicaciones dentales. Los avances descritos anteriormente se han caracterizado por una actividad de promoción a nivel global que ha creado grandes expectativas, pero por otra parte, esta nueva tecnología aparentemente necesita un cierto tiempo en ser adoptada por completo por los dentistas y protésicos dentales.
En la actualidad, la tecnología del óxido de zirconio se ha puesto en línea con las técnicas de diseño y fabricación asistidas por ordenador (CAD/CAM) que prometen transformar el ejercicio cotidiano de la odontología. El diseño tridimensional de las subestructuras de Y-TZP requiere utilizar un programa informático especial (CAD) proporcionado por el fabricante. Después de realizar un escaneado del trabajo diseñado, los datos son transferidos a una unidad de manufacturación computerizada (CAM) que lleva a cabo una producción preestablecida de la subestructura de óxido de zirconio.
Las subestructuras con base de óxido de zirconio son fabricadas bien mediante un fresado a partir de un bloque macizo (técnica de sustracción), predominantemente en cerámicas de Y-TZP, o a través de un proceso de deposición electroforética (técnica de adición), especialmente en las cerámicas policristalinas tetragonales de cerio (Ce-TZP). El fresado de los bloques de zirconia puede ser llevado a cabo en estado parcial o totalmente sinterizado usando instrumentos de corte diamantados apropiados bajo refrigeración con agua si es necesario.
La mayoría de los sistemas CAD/CAM utilizan cerámicas Y-TZP parciamente sinterizadas, en las que el procedimiento de fresado es realizado usando fresas de carburo en un entorno seco. A lo largo de la fase de diseño, el tamaño de la futura subestructura parcialmente sinterizada es incrementado de forma análoga aproximadamente un 20-25 % desde las dimensiones originales, debido a la contracción que se producirá después del sinterizado final.
Además, el fresado de bloques de zirconia totalmente sinterizados o sometidos a prensado isostático en caliente (HIP) requiere una gran inversión de tiempo debido a la mayor dureza de este material, que a cambio no presentará cambios dimensionales (esto es, contracción). El procesado de las cerámicas Y-TZP parcialmente sinterizadas a temperatura ambiente está asociado a la aparición de defectos limitados en la superficie o la profundidad (esto es, poros, defectos, grietas), a diferencia del mecanizado de óxido de zirconio duro o totalmente sinterizado (o HIP) que puede inducir la aparición de microgrietas.
El abanico de las aplicaciones modernas del óxido de zirconio abarca la fabricación de carillas, coronas de recubrimiento parcial y completo o prótesis parciales fijas (FPD), postes y/o muñones, coronas telescópicas primarias, implantes y pilares de implantes.
Los objetivos de la presente revisión son reflejar los conocimientos actuales sobre su manufacturación, recalcar su rango de indicaciones y debatir las ventajas/desventajas y supervivencia de la cerámica de óxido de zirconio en el campo odontológico.
Los bloques de circonio son la elección preferida para restauraciones dentales que requieren una combinación óptima de resistencia y estética. El circonio es un material extremadamente fuerte y biocompatible, lo que lo convierte en una opción ideal para restauraciones en zonas con una gran carga masticatoria, como los molares. El fresado de bloques de circonio mediante tecnología CAD-CAM permite obtener restauraciones personalizadas que no solo se ajustan perfectamente a la anatomía dental del paciente, sino que también ofrecen un resultado estético sobresaliente. El circonio puede imitar la translucidez de los dientes naturales, proporcionando restauraciones visualmente atractivas.
Tipos de Bloques de Zirconio
Existen diferentes tipos de bloques de zirconio, cada uno con características específicas que los hacen adecuados para diferentes aplicaciones:
- Zirconia Translúcida (Prime AT): Ideal para prótesis anteriores, ofrece una excelente alternativa al disilicato de litio en coronas anteriores de contorno completo.
- Zirconia de Alta Resistencia (Prime HS): Adecuada para estructuras dentales grandes y complejas, ofrece gran resistencia a la flexión y a la fractura.
HUGE Prime AT Zirconia BLOCK ofrece los materiales de zirconia más altos para fabricar prótesis anteriores. La zirconia translúcida extremadamente alta sería una excelente alternativa al disilicato de litio en coronas anteriores de contorno completo.
ENGE Prime HS Zirconia tiene la mayor resistencia a la flexión y gran resistencia a la fractura, lo que lo hace adecuado para fabricar estructuras dentales enormes y complejas. Las prótesis fresadas de HS Zirconia BLOCK son resistentes y casi irrompibles.
Ventajas y Desventajas de las Coronas de Zirconio
Las coronas dentales de zirconia monolítica son muy versátiles y su uso se ha extendido muchísimo en los últimos años en casi todo tipo de rehabilitaciones orales.
Ventajas
- Estética natural: El zirconio de hoy día tiene una translucidez similar a la de un diente real, especialmente en sus versiones de alta translucidez.
- Resistencia y durabilidad: El zirconio es extremadamente duro y resistente a la fractura, soporta fuerzas de mordida intensas mejor que casi cualquier otra cerámica dental.
- Biocompatibilidad: El zirconio es un material cerámico y biocompatible, es decir, el cuerpo lo tolera de maravilla. No produce alergias ni reacciones tóxicas.
- Libre de metal: Estas coronas no contienen metal en su interior, evitando el borde metálico visible y posibles sabores metálicos.
- Tallado conservador del diente: Con el zirconio, podemos hacer coronas más delgadas que las de porcelana convencional, conservando más estructura dentaria sana.
- Resistente a manchas y olores: La superficie del zirconio es muy lisa y poco porosa, lo que la hace menos propensa a acumular placa bacteriana y pigmentos.
- Compatibilidad con técnicas modernas (CAD/CAM): Las coronas de zirconio suelen fabricarse mediante tecnología digital CAD/CAM, ofreciendo precisión milimétrica en el ajuste.

Corona de Zirconio fabricada con tecnología CAD/CAM.
Desventajas
- Coste más elevado: Estas coronas, por el material y la tecnología que implican, son más caras que otras alternativas.
- Estética en casos muy exigentes: Las coronas de zirconio monolítico puras pueden ser ligeramente menos translúcidas que una corona 100% de porcelana fina.
- Dureza (¿desgasta otros dientes?): Si no está correctamente acabado, podría haber más abrasión en los dientes opuestos.
- Difícil de retirar o ajustar: El zirconio al ser tan resistente es más difícil de cortar o perforar para el dentista si es necesario retirarla.
Proceso de Colocación de una Corona de Zirconio
El proceso de colocación de una corona de zirconio generalmente se lleva a cabo en varias etapas:
- Evaluación y preparación: Examen del diente, radiografías y posible endodoncia si es necesario.
- Tallado del diente: Desgaste del diente para crear espacio para la corona.
- Toma de impresiones: Copia de la forma del diente tallado y la mordida.
- Colocación de corona temporal: Protección del diente con una corona provisional.
- Laboratorio dental (fabricación): Fabricación de la corona de zirconio mediante CAD/CAM.
- Prueba y cementación: Prueba de la corona definitiva y cementación sobre el diente.
- Ajustes finales y recomendaciones: Revisión de la mordida y pulido final.

Esquema del proceso de colocación de una corona dental.
Usos Específicos de las Coronas de Zirconio
Las coronas de zirconio son versátiles y se utilizan en diversas situaciones:
- Dientes muy deteriorados o con grandes caries: Para proteger el diente debilitado.
- Reemplazar un diente perdido con implante: Como coronas sobre implantes dentales.
- Mejorar la sonrisa (estética): En dientes anteriores para máxima naturalidad.
Consideraciones Finales
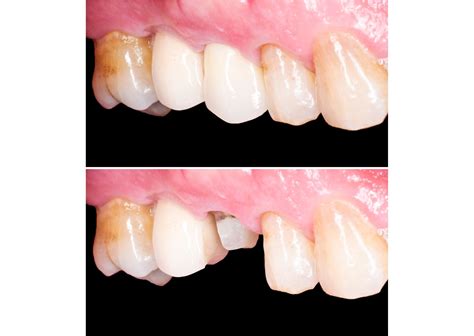
Las coronas de Zirconio tienen una superficie bastante lisa, a diferencia de la textura rugosa natural de los dientes naturales. La apariencia blanquecina traslúcida del Zirconio es popular por ser estéticamente atractivo para las personas. Además, se ha evidenciado que el uso de coronas dentales con metal, puede acabar oscureciendo la zona de las encías en algunos casos particulares.
En situaciones de carácter puramente cosmético, donde nuestro principal objetivo es mejorar nuestra apariencia (teniendo en segundo plano la funcionalidad) entonces las coronas de Zirconio son un sí total.
Las coronas de Zirconio son actualmente las más solicitadas por los pacientes, gracias a su rápida entrega, a su estética, su durabilidad y la cantidad de detalle que posee, volviéndola casi indistinguible de un diente natural sano.
Tabla Comparativa de Tipos de Zirconio
Para resumir, aquí tienes una tabla comparativa de los tipos de zirconio mencionados:
| Tipo de Zirconio | Características | Usos Recomendados |
|---|---|---|
| Zirconia Translúcida (Prime AT) | Extremadamente translúcida | Coronas anteriores de contorno completo |
| Zirconia de Alta Resistencia (Prime HS) | Alta resistencia a la flexión y fractura | Estructuras dentales grandes y complejas |