La acumulación de sarro es muy habitual entre la población. Por ello, surgen determinados remedios caseros que se han popularizado como fórmulas mágicas para acabar con el sarro y que, sin embargo, pueden causar un grave daño a tus dientes. En las últimas semanas han proliferado noticias en prensa que hablan de una solución de limón como fórmula capaz de eliminar el sarro ¡Nada más lejos de la realidad! Es más, este remedio casero lo que puede provocar es una erosión dental, irreversible y aumentar la sensibilidad dental.
Así es como, a menudo, se hacen virales consejos relacionados con la salud que pueden resultar perjudiciales. Desde esta clínica dental queremos prevenir y sobre todo, desmentir este tipo de informaciones que contribuyen a popular como efectivos remedios caseros, que en realidad, no lo son.

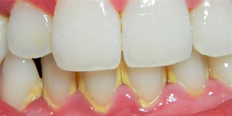
¿Cómo se Produce el Sarro?
El sarro dental, también conocido como cálculo, es una sustancia dura y amarillenta que se forma en los dientes como resultado de la acumulación y endurecimiento de la placa bacteriana. Esta placa, compuesta por bacterias, restos de alimentos y saliva, se adhiere a los dientes y, si no se elimina correctamente mediante el cepillado y el uso de hilo dental, se mineraliza formando el sarro.
La presencia de sarro puede provocar diversos problemas bucales, como gingivitis, periodontitis y halitosis, por lo que es fundamental mantener una buena higiene oral y visitar al dentista regularmente. Al ser más resistente que la placa, necesita una limpieza profesional. Aunque el cepillado diario es fundamental, solo un dentista o higienista dental puede eliminar el sarro.
El Limón como Remedio Casero: ¿Funciona?
El limón, con su característico sabor ácido y propiedades antibacterianas, ha sido promocionado como un posible remedio casero para combatir el sarro dental. Su acidez, se argumenta, podría ayudar a disolver la placa bacteriana, precursora del sarro.
Incluso apuntan a la posibilidad de utilizar esta mezcla como colutorio. En el texto apuntan a las cualidades antibacterianas del limón, sin tener en cuenta su pH y lo que esos ácidos pueden ocasionar en nuestra boca si se consumen de manera habitual. Así mismo, la doctora Marta Plá, explica que “el zumo de limón tiene un PH muy bajo, es decir, ácido y hace que si lo utilizamos de manera rutinaria para limpiar el sarro, ese pH tan bajo puede erosionar nuestro esmalte”.
¡Cuidado! Este procedimiento se realiza mediante un instrumental adecuado, sin dañar el esmalte dental. De hecho, cuando se recomiendan estos trucos caseros ya se suele advertir del poder abrasivo de dichos ingredientes.
El limón tiene propiedades bactericidas y al mezclar zumo de medio limón con unos 150 ml de agua, se puede utilizar para enjuagar la boca como si fuese un colutorio. Una investigación publicada en Journal of Oral Hygiene, indica que puede actuar contra algunas bacterias orales. La clínica odontológica en India, Sabka Dentist, comparte en su blog cómo utilizar el limón para ayudar a disolver esta placa bacteriana. Consiste en sumergir el cepillo de dientes en zumo de limón y cepillar suavemente.
El limón puede ayudar a prevenir la formación de sarro y a reducir la placa, pero no elimina el sarro ya formado.
Riesgos de Usar Limón para Quitar el Sarro
“Este remedio casero lo que puede provocar es una erosión dental, irreversible y aumentar la sensibilidad dental”. Estas noticias aconsejan la utilización de zumo de limón mezclado con agua para eliminar el sarro acumulado.
Es más, este remedio casero lo que puede provocar es una erosión dental, irreversible y aumentar la sensibilidad dental.
DIENTES con SARRO - CÓMO SE QUITA, previene y por qué se forma el sarro dental | Dentalk! ©
Cómo Evitar el Sarro Dental de Forma Natural
En el caso del sarro, el mejor ataque es una buena defensa. El único remedio casero contra el sarro es la prevención, es decir, cumplir con una buena higiene oral en casa para evitar que aparezca. Por suerte, evitar la formación de sarro es muy fácil y está al alcance de todos. ¡Te contamos cómo hacerlo!
Si te preguntas como evitar el sarro en los dientes de forma natural, ten en cuenta los siguientes puntos:
- Cepilla tres veces al día: Es importante cepillarse los dientes después de cada comida para prevenir la acumulación de placa y la formación de sarro. Cepillarse los dientes con una pasta de dientes con flúor durante dos minutos ayuda a eliminar la placa y las bacterias.
- Utiliza una pasta con flúor: El flúor ayuda a fortalecer el esmalte dental y prevenir la formación de caries. Las pastas de dientes con flúor también pueden ayudar a prevenir la acumulación de sarro en los dientes.
- Usa hilo dental: El hilo dental ayuda a eliminar la placa y los restos de comida que se acumulan entre los dientes, lo que ayuda a prevenir la acumulación de sarro. Es especialmente importante no olvidarnos de los espacios interproximales, entre diente y diente, para lo que podemos utilizar el hilo dental o los cepillos interproximales, al menos una vez al día.
- Emplea enjuague bucal: Los enjuagues bucales con agentes antibacterianos pueden ayudar a reducir la cantidad de bacterias en la boca, lo que puede prevenir la formación de sarro.
- Lleva una dieta equilibrada: Una dieta equilibrada, baja en azúcares y rica en frutas y verduras, puede ayudar a prevenir la formación de sarro. Además, es importante evitar el consumo excesivo de alimentos y bebidas ácidas, ya que pueden debilitar el esmalte dental.
- Evita el tabaco y el alcohol: Fumar y consumir alcohol en exceso pueden debilitar el esmalte dental y favorecer la acumulación de sarro. Es importante evitar estos hábitos para mantener una buena salud bucal y prevenir problemas como la caries y la enfermedad periodontal.

Remedios Caseros para Deshacer el Sarro: ¿Son Seguros?
Así como deshacer el sarro de los dientes con remedio caseros:
- Bicarbonato de sodio Para crear una pasta eficaz, se puede mezclar una cucharadita de bicarbonato de sodio con un poco de agua. Esta mezcla debe aplicarse sobre el cepillo de dientes y usarse para limpiar los dientes durante aproximadamente dos minutos. Es importante tener en cuenta que el uso excesivo de bicarbonato de sodio puede desgastar el esmalte dental.
- Zumo de limón El zumo de medio limón con una taza de agua tibia y enjuaga tu boca con esta solución. El ácido cítrico del limón ayuda a disolver el sarro, pero debes tener cuidado de no exponer tus dientes al ácido durante mucho tiempo, ya que puede dañar el esmalte.
- Aceite de coco Realiza enjuagues bucales con aceite de coco durante unos 15-20 minutos al día. El aceite de coco contiene ácido láurico que ayuda a reducir la acumulación de placa y sarro en los dientes.
Vamos a ser muy directos: no existen trucos ni productos “milagro” antisarro. A poco que busques en Internet, encontrarás cientos de remedios caseros para eliminar el sarro de los dientes, la mayoría con bicarbonato, limón o agua oxigenada entre sus componentes. Sin embargo, ninguno de estos remedios va a hacerle ningún favor a tu boca, sino todo lo contrario, sobre todo si recurres a ellos con frecuencia.
Tratamientos Profesionales para Limpiar el Sarro
Para limpiar sarro dientes tratamiento más común es una limpieza bucodental o un curetaje dental.
- Limpieza bucodental
La limpieza bucodental es un procedimiento que se realiza en la consulta del dentista y consiste en limpiar sarro dientes acumulado y encías mediante el uso de instrumentos específicos como curetas y ultrasonidos. Este proceso no es doloroso, aunque puede provocar cierta sensibilidad dental. El profesional también puede realizar un pulido dental para alisar la superficie dental y prevenir la acumulación de placa bacteriana.
- Curetaje dental
El curetaje dental es un tratamiento más invasivo que se realiza cuando el sarro se ha acumulado en zonas más profundas de las encías, llegando al hueso alveolar y provocando inflamación o infección. Se utiliza anestesia local para poder llegar a esas zonas y se procede a raspar el sarro con la ayuda de curetas y otros instrumentos.
La placa bacteriana, una vez que se endurece y transforma en sarro, sólo puede eliminarse en el dentista, mediante una profilaxis o limpieza dental. Los aparatos sónicos y ultrasónicos que utilizamos los dentistas producen ondas vibratorias que rompen el sarro de la superficie del diente sin afectar en absoluto al esmalte.

Por Qué Es Importante Eliminar el Sarro de los Dientes
Es fundamental eliminar sarro de los dientes para evitar:
- Halitosis El sarro acumulado en los dientes puede provocar mal aliento. Esto se debe a que el sarro alberga bacterias que producen compuestos sulfurados volátiles, responsables del mal olor.
- Pigmentación de los dientes El sarro, al acumularse en los dientes, puede provocar manchas y decoloración, lo que afecta negativamente la apariencia estética de la sonrisa.
- Inflamación de encías El sarro puede acumularse debajo de las encías, lo que puede provocar inflamación y enrojecimiento de las mismas. A medida que el sarro se acumula, la inflamación puede agravarse y provocar gingivitis.
- Enfermedades periodontales Si el sarro no se elimina a tiempo, puede producir enfermedades periodontales como la periodontitis, que puede llevar a la pérdida de los dientes. Esto se debe a que el sarro acumulado debajo de las encías puede destruir el hueso y el tejido conectivo que sostienen los dientes.
Otros Consejos para una Buena Higiene Bucal
- El tipo de cepillo de dientes: El tipo de cepillo de dientes utilizado puede influir significativamente en la eficacia de la eliminación del sarro. Los cepillos eléctricos han demostrado ser más eficaces en la eliminación de placa bacteriana en comparación con los manuales, gracias a su capacidad para realizar movimientos oscilantes y rotativos.
- Cepillos interdentales: Los cepillos interdentales son útiles para alcanzar las áreas entre los dientes que un cepillo normal podría no limpiar adecuadamente. Su inclusión en la rutina diaria puede contribuir a reducir la acumulación de sarro.
- Té verde: El té verde es conocido por sus propiedades antioxidantes y su capacidad para neutralizar bacterias.
- Consumir frutas y verduras frescas: Consumir frutas y verduras frescas, como manzanas y zanahorias, puede ayudar a limpiar los dientes de forma natural.
Mitos Sobre la Saliva y el Sarro
No. La saliva es un 99 % agua y el resto de componentes son moléculas orgánicas e inorgánicas. La única causante del sarro es la falta de una buena higiene oral continuada en una determinada zona.