Si te levantas con dolor en la mandíbula, notas que aprietas los dientes durante el día o incluso te lo han dicho mientras duermes, es muy probable que sufras bruxismo, un trastorno muy común hoy en día. El bruxismo es una condición caracterizada por el apretamiento involuntario de los dientes, principalmente durante la noche mientras dormimos, aunque también puede ocurrir durante el día. Afortunadamente, en la actualidad existen tratamientos eficaces para controlar el bruxismo y mejorar la calidad de vida.

¿Qué es el bruxismo?
El bruxismo es un hábito involuntario que consiste en apretar y/o rechinar los dientes de forma repetida. El bruxismo es una afección muy común que se caracteriza por el hábito involuntario de apretar y/o rechinar los dientes, tanto de día como de noche. Esta costumbre ejerce una presión excesiva sobre la musculatura de la mandíbula y deriva en una sobrecarga de la dentadura. Aunque muchas personas no se dan cuenta de que lo padecen, los efectos del bruxismo pueden ser bastante evidentes con el tiempo: dolor mandibular, desgastes en los dientes, sensibilidad dental y cefaleas. El bruxismo puede presentarse de manera ocasional o convertirse en un hábito crónico. Cuando se produce de forma persistente, puede tener consecuencias negativas para la salud bucal y general.
Generalmente, el bruxismo se clasifica en dos tipos, en función del momento del día en que ocurre: bruxismo diurno y bruxismo nocturno.
- Bruxismo diurno: Este tipo de bruxismo ocurre mientras la persona está despierta y generalmente se da como respuesta al estrés, la ansiedad o el exceso de concentración. Quienes padecen bruxismo diurno suelen apretar los dientes al trabajar, al conducir o al enfrentarse a situaciones de tensión.
- Bruxismo nocturno: El bruxismo nocturno es más complejo, ya que ocurre mientras la persona duerme, por lo que no puede controlarlo conscientemente.
El bruxismo le puede pasar a cualquier persona, aunque es común en la infancia, adolescencia y en los adultos jóvenes.
Todo sobre BRUXISMO - Síntomas, tratamientos y consecuencias de APRETAR los dientes | Dentalk! ©
Causas del bruxismo
No hay una única causa detrás del bruxismo, sino que este suele estar relacionado con distintos factores físicos, emocionales o incluso posturales.
- Estrés y ansiedad: Son los desencadenantes más comunes, especialmente en el bruxismo diurno. Se ha comprobado, tal y como expresa el Consejo de dentistas en España, que cuando se consigue reducir el estrés y la ansiedad de una persona, el bruxismo disminuye.
- Estilo de vida: Fumar, tomar alcohol, consumir mucho café, hace a las personas más propensas al bruxismo.
- Medicaciones.
- Apnea del sueño.
- Factor hereditario.
- Otros desórdenes.
- Maloclusión dental: En algunas personas, los dientes no encajan de manera equilibrada al morder, lo que genera zonas de contacto excesivo que sobrecargan la mandíbula.
Síntomas del bruxismo
El bruxismo puede manifestarse a través de diversos síntomas que afectan diferentes áreas del cuerpo.
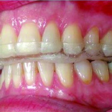
- Dientes desgastados, fracturados o con mayor sensibilidad. El apretamiento y rechinamiento provoca que los dientes superiores e inferiores choquen constantemente. Detectarlo a tiempo puede evitar daños mayores.
- El apretamiento involuntario de los dientes puede provocar molestias y dolor en la zona del rostro y la mandíbula.
- El bruxismo también puede ocasionar dolores de cabeza frecuentes, especialmente en la zona de las sienes o la parte posterior de la cabeza.
- Los músculos de la mandíbula están estrechamente conectados con los músculos del cuello y los hombros.
- El constante apretamiento de los dientes durante el bruxismo puede generar sensibilidad y dolor en los dientes.
- Muchas personas que sufren bruxismo experimentan ruidos audibles, como chasquidos o crujidos, al abrir y cerrar la mandíbula.
- Daños en los dientes, como fracturas, astillas o piezas flojas.
- Mayor sensibilidad o dolor en los dientes.
- Dolor en la mandíbula, cuello o cara. Incluso dolor en el oído, aunque no haya ningún problema en este.

Diagnóstico del bruxismo
El diagnóstico del bruxismo es fundamental para poder determinar el mejor enfoque de tratamiento. Para obtener un diagnóstico preciso, es importante acudir a profesionales especializados en bruxismo y alteraciones de la articulación temporomandibular (ATM). El especialista realizará un examen físico detallado, prestando atención a la mandíbula, los músculos de la masticación y la articulación temporomandibular. Además, recopilará información sobre los síntomas que experimenta el paciente, como dolor facial y mandibular, dolor de cabeza, dolor de cuello y hombros, dolor en los dientes y ruidos en la mandíbula.
Durante la visita regular al dentista, este podrá notar los signos de bruxismo. En la evaluación se notan signos como cambios en los dientes y la boca. En algunos casos, se pueden requerir pruebas adicionales para confirmar el diagnóstico de bruxismo. Estas pruebas pueden incluir estudios radiográficos y la realización de una resonancia magnética (RM) de la articulación temporomandibular.
Si se determina que el bruxismo está relacionado con hábitos del sueño, probablemente te refieran a un médico especialista en este tema. Mientras que si se asocia a síntomas psicológicos, como ansiedad, podrían invitarte a asistir al psicólogo o psiquiatra.
Tratamientos para el bruxismo
Afortunadamente, el bruxismo sí tiene tratamiento, y en la mayoría de los casos los síntomas mejoran significativamente tras unas semanas. El tratamiento del bruxismo y los trastornos de la ATM se enfoca en aliviar los síntomas y prevenir el daño adicional. El tratamiento del bruxismo y los trastornos de la ATM se basa en un enfoque integral que aborda tanto los síntomas como las causas subyacentes. Se utilizan diversas técnicas y terapias para aliviar el apretamiento involuntario de los dientes y los problemas asociados.
En los niños, es probable que superen esta condición sin ningún tratamiento, lo que también puede pasar en algunos adultos, ya que el rechinar no es tan fuerte como para requerirlo. Pero si el problema es severo, hay varias opciones de tratamiento bruxismo. Incluyen opciones odontológicas, terapias y medicamentos.
Tratamientos para el bruxismo diurno
Para tratar el bruxismo diurno, el objetivo principal es romper el hábito de apretar los dientes de forma consciente y reducir la tensión muscular. Se deben evitar ciertas costumbres como morderse las uñas, mascar chicle o apoyar el mentón en la mano.
- Fisioterapia: Es llevada a cabo por el fisioterapeuta y consiste en enseñar al paciente a detectar cuándo está apretando la mandíbula y cómo relajarla de manera consciente. Una musculatura contracturada en cuello, hombros o mandíbula puede agravar el problema.
- Neuromoduladores: En los casos de bruxismo diurno, los neuromoduladores no suelen ser el tratamiento de primera elección, ya que el objetivo principal es reeducar al paciente y enseñarle a relajar la mandíbula de forma consciente.
- Apoyo psicológico: Si el origen es emocional (ansiedad, estrés crónico, perfeccionismo…), trabajar la raíz del problema con un profesional es clave.
- Medicamentos: Se pueden usar relajantes musculares suaves cuando hay una tensión continua que no cede con fisioterapia, así como ansiolíticos o antidepresivos cuando existe una condición médica diagnosticada.
Tratamientos para el bruxismo nocturno
El bruxismo nocturno es más complejo, ya que ocurre de forma inconsciente mientras la persona duerme, por lo que requiere tratamientos que actúen de forma pasiva o automática.
- Higiene del sueño: Hay determinadas rutinas que se pueden incorporar para favorecer el descanso y aliviar el bruxismo nocturno: evitar pantallas y dispositivos electrónicos dos horas antes de dormir, cenar ligero, mantener un entorno tranquilo y oscuro, y reducir el alcohol, la cafeína y el tabaco por la tarde.
- Férulas oclusales: Son dispositivos que se colocan por la noche y están hechos a medida de cada paciente. Además, ayudan a reducir la sobrecarga muscular y articular, así como a distribuir de forma más equilibrada la fuerza de la mordida. El uso de protectores bucales y férulas dentales indicados por un dentista, estos mantienen la mandíbula en cierta posición y crearán una barrera entre los dientes superiores e inferiores, prevendrán daños futuros en tus dientes. Algunas férulas incluso colocan la mandíbula en una posición ligeramente abierta, lo que permite que los músculos maseteros se relajen en la noche. El uso de férulas oclusales es uno de los tratamientos más comunes para el bruxismo. Estas son dispositivos personalizados que se colocan sobre los dientes durante la noche para evitar el contacto entre ellos y así reducir la presión y el desgaste. Además, las férulas oclusales ayudan a relajar la musculatura de la mandíbula y a aliviar la tensión generada durante el apretamiento involuntario de los dientes.
- Neuromoduladores: Los neuromoduladores ayudan a disminuir la hiperactividad de los músculos masticatorios, reduciendo el dolor, la tensión y el desgaste de los dientes. Las inyecciones de bótox en los músculos maseteros de la mandíbula ayudan a debilitar estos y a prevenir el rechinamiento involuntario de los dientes. Este método es común en los casos más extremos del bruxismo, y puede ser más efectivo que los protectores bucales. El botox relaja los músculos masticatorios que el bruxómano está tensando continuamente, cuando se siente ansioso o nervioso.
- Ajuste oclusal: Cuando los dientes no están bien alineados o la mordida no encaja de forma correcta, la mandíbula puede hacer más esfuerzo del necesario durante la noche, favoreciendo los episodios de bruxismo. Cuando esto ocurre, el odontólogo puede realizar un ajuste oclusal, que consiste en pequeñas correcciones en la superficie de los dientes para que la mordida sea más uniforme. Después de un diagnóstico exhaustivo en el que se establece la causa del bruxismo el tratamiento comienza con un aparato dental, ortodoncia o férula que colocamos en la fila de dientes inferior, según las características de cada paciente, para equilibrar el contacto de los dientes durante el movimiento de cierre mandibular.
- Manejo de trastornos del sueño: Si el bruxismo va acompañado de insomnio, apnea del sueño o despertares frecuentes, es fundamental abordarlo con un especialista en medicina del sueño.

Otros tratamientos y recomendaciones
- Técnicas de relajación: Las técnicas de relajación pueden ser de gran ayuda para reducir tanto la frecuencia como la intensidad del bruxismo. Practicar actividades como la meditación, la respiración profunda y el yoga pueden ayudar a disminuir la tensión muscular y promover la relajación general del cuerpo. Se estima que la mayoría de los casos de bruxismo son a causa de estrés y ansiedad. Practica técnicas de relajación y meditación, ve a terapia y ten una rutina de ejercicio.
- Fisioterapia y terapia manual: La terapia manual y la fisioterapia invasiva pueden ser utilizadas para liberar la tensión muscular y mejorar la movilidad de la articulación temporomandibular (ATM). Estas técnicas incluyen el masaje de la musculatura implicada, el auto-masaje de la mandíbula y musculatura de la masticación, ejercicios de movilización y relajación de la ATM, terapia manual osteopática, termoterapia, diatermia, ecografía y neurodinamia. Los ejercicios en la mandíbula, como estiramientos y masajes en los músculos de la mandíbula, y la aplicación de calor en la zona pueden ayudar a relajar los músculos.
- Tratamientos complementarios: Además de las técnicas mencionadas, existen otros tratamientos complementarios que pueden ser beneficiarios en el manejo del bruxismo y los trastornos de la ATM. La fisioterapia, la acupuntura y las técnicas de relajación, como la biofeedback o la hipnosis, pueden ayudar a reducir la tensión muscular y aliviar los síntomas asociados.
- Ejercicios y estiramientos: Existen varios ejercicios y estiramientos que pueden ayudar a aliviar los síntomas del bruxismo. Algunos de ellos incluyen masajear suavemente los músculos de la mandíbula, realizar movimientos de apertura y cierre de la boca, y ejercicios de relajación facial y de cuello.
¿Cómo prevenir el bruxismo?
Además del tratamiento, es importante tomar medidas para prevenir el bruxismo y reducir su impacto en la salud bucal y general.
- Asistir al odontólogo regularmente, practicar meditación, una buena higiene de sueño y mejora en tus hábitos puede ser clave para prevenir el bruxismo.
- Cuida tu alimentación.
- Asegúrate de adoptar una buena postura a la hora de dormir para relajar la mandíbula.
- Dormir de noche y alrededor de 8 horas al día, es ideal para mantener una buena salud en general.
- Huye de la ansiedad y el estrés.
- Haz cambios en tu posición para dormir y tu almohada, para darle mejor soporte a la cabeza y el cuello.
- Asimismo, tratar la apnea del sueño puede mejorar la condición de bruxismo.
- Como mencionamos, el bruxismo puede ser el resultado del consumo de ciertas sustancias como tabaco, alcohol y cafeína, así como medicamentos para la depresión.
- Por otro lado, si ya tienes bruxismo, evitar comidas duras como nueces, palomitas y caramelos, te ayudará a prevenir la irritación en los dientes y los dolores causados por el bruxismo nocturno. También ten cuidado al consumir mantequilla de maní y otras comidas pegajosas.
Como ves, los tratamientos para el bruxismo son numerosos. Por eso, en MAEX Dental te ofrecemos una valoración integral para determinar el tipo de bruxismo que presentas y establecer el tratamiento más adecuado.
| Tratamiento | Descripción | Objetivo |
|---|---|---|
| Férulas Oclusales | Dispositivos personalizados que se colocan sobre los dientes durante la noche. | Evitar el contacto entre los dientes, reduciendo la presión y el desgaste. |
| Técnicas de Relajación | Meditación, respiración profunda y yoga. | Disminuir la tensión muscular y promover la relajación general del cuerpo. |
| Fisioterapia | Masaje de la musculatura implicada, ejercicios de movilización y relajación de la ATM. | Liberar la tensión muscular y mejorar la movilidad de la articulación temporomandibular. |
| Ajuste Oclusal | Pequeñas correcciones en la superficie de los dientes. | Asegurar que la mordida sea más uniforme. |