Después de meses o incluso años de haber llevado brackets o alineadores, el momento de quitártelos finalmente ha llegado. Ahora puedes disfrutar de una sonrisa alineada y estéticamente agradable, sin embargo, el trabajo no ha terminado. Mantener el resultado de tu tratamiento de ortodoncia requiere seguir ciertos cuidados para evitar que los dientes vuelvan a su posición anterior o que surjan otros problemas dentales.
En este artículo, te proporcionaremos una guía completa sobre cómo cuidar los dientes después de un tratamiento de ortodoncia. Estos 7 pasos te ayudarán a garantizar que tu sonrisa se mantenga en perfectas condiciones, protegiendo tu inversión y tu salud bucal a largo plazo.
🚀APRENDE Como 𝗖𝗘𝗣𝗜𝗟𝗟𝗔𝗥𝗦𝗘 los dientes con 𝗕𝗿𝗮𝗰𝗸𝗲𝘁𝘀 𝐂𝐎𝐑𝐑𝐄𝐂𝐓𝐀𝐌𝐄𝐍𝐓𝐄 en CASA (+ Hilo Dental, +Irrigador)
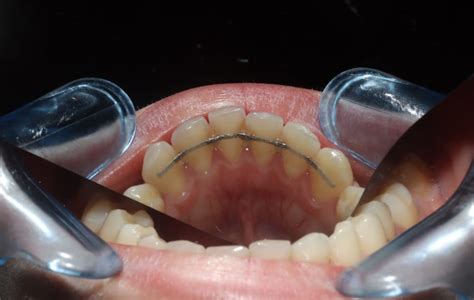
1. Usa tu Retenedor Según las Indicaciones de tu Ortodoncista
Uno de los aspectos más importantes sobre como cuidar los dientes después de un tratamiento de ortodoncia es el uso adecuado del retenedor. Este aparato, que puede ser fijo o removible, es esencial para mantener los dientes en su nueva posición. Si no usas el retenedor como se te indica, corres el riesgo de que tus dientes comiencen a moverse lentamente hacia su posición original, lo que se conoce como «recaída dental».

Tipos de Retenedores
Existen dos tipos principales de retenedores:
- Retenedor removible: Generalmente hecho de plástico o acrílico, se usa durante un tiempo determinado cada día.
- Retenedor fijo: Consiste en un alambre delgado que se adhiere a la parte trasera de los dientes, por lo general en los dientes frontales inferiores.
Consejos para Cuidar tu Retenedor
- Limpieza diaria: Los retenedores removibles deben limpiarse a diario con agua y jabón neutro, evitando pastas dentales abrasivas que puedan dañarlos.
Si tienes dudas sobre cómo usar o limpiar tu retenedor, no dudes en visitar a tu ortodoncista en Los Llanos Dental, especialistas en ortodoncia en Les Corts, Barcelona.
No lo olvides: Si tu retenedor es removible, asegúrate de usarlo según las instrucciones de tu ortodoncista. Muchos pacientes se olvidan o dejan de usarlo después de un tiempo, lo que puede comprometer el resultado final.
2. Realiza una Limpieza Dental Diaria Exhaustiva
Tras quitarte los brackets o terminar con los alineadores, es esencial adoptar una rutina de limpieza dental completa. Durante el tratamiento ortodóntico, puede ser complicado limpiar adecuadamente entre los dientes, lo que aumenta el riesgo de acumulación de placa bacteriana y, eventualmente, caries o enfermedad de las encías. Ahora que los aparatos han sido retirados, debes prestar especial atención a tu higiene oral para evitar futuros problemas.

Consejos para una Limpieza Dental Adecuada:
- Cepilla tus dientes después de cada comida: Usa un cepillo de cerdas suaves para evitar dañar el esmalte. Recuerda cepillar todas las superficies, incluyendo la parte posterior de los dientes.
- Usa hilo dental diariamente: Durante el tratamiento de ortodoncia, puede ser difícil usar hilo dental, pero ahora es imprescindible volver a incorporarlo a tu rutina. El hilo dental ayuda a eliminar la placa entre los dientes, un lugar donde el cepillo no puede alcanzar fácilmente.
- Utiliza un enjuague bucal: El enjuague bucal puede ayudar a combatir la placa y proteger tus dientes contra las bacterias.
Además, considera programar limpiezas dentales profesionales con más frecuencia durante los primeros meses después de la ortodoncia. En Los Llanos Dental ofrecemos limpiezas dentales en Les Corts que te ayudarán a mantener tu boca sana y libre de problemas.
3. Visita a tu Dentista Regularmente
Después de la ortodoncia, las visitas regulares al dentista son esenciales para asegurar que tus dientes y encías estén en buen estado. Tu dentista no solo se asegurará de que todo esté en orden, sino que también podrá identificar problemas potenciales antes de que se conviertan en serios.
Frecuencia Recomendada de Visitas Dentales
Por lo general, se recomienda realizar una visita al dentista cada seis meses para una revisión y limpieza profesional. Sin embargo, si tu ortodoncista o dentista considera que necesitas un seguimiento más cercano debido a tu tratamiento, pueden recomendarte visitas más frecuentes.
En Los Llanos Dental, tu dentista evaluará tu salud bucal, asegurándose de que no haya signos de caries, enfermedad de las encías, o recaídas en la posición de los dientes. Además, nuestras limpiezas dentales te garantizarán una sonrisa siempre saludable.
4. Cuida tus Encías
La ortodoncia puede ejercer presión no solo sobre los dientes, sino también sobre las encías, lo que en algunos casos provoca inflamación o sensibilidad. Una vez terminado el tratamiento, es importante prestar atención a tus encías, ya que son clave para mantener tus dientes en su lugar y evitar enfermedades como la gingivitis.
Cómo Cuidar tus Encías Después de la Ortodoncia:
- Cepilla suavemente la línea de las encías: Muchas personas tienden a olvidar esta área, lo que puede llevar a una acumulación de placa y bacterias. Usa un cepillo de cerdas suaves y realiza movimientos circulares.
- Enjuágate con agua salada: Un remedio natural para reducir la inflamación de las encías es hacer enjuagues con agua salada tibia. Esto ayudará a desinflamar y a mantener la boca libre de bacterias.
Si experimentas inflamación persistente, enrojecimiento o sangrado en las encías, acude de inmediato a una consulta en Los Llanos Dental, donde nuestros especialistas te brindarán la mejor atención personalizada.
5. Alimenta tu Sonrisa: Cuida lo que Comes
Lo que comes tiene un gran impacto en tu salud bucal. Ahora que has completado tu tratamiento ortodóntico, es importante seguir una dieta que promueva la fortaleza de tus dientes y encías. Evita los alimentos que puedan causar daño a los dientes, como los alimentos muy duros o los que son extremadamente azucarados.
Alimentos que Debes Evitar:
- Caramelos duros: Pueden fracturar los dientes o dañar el esmalte.
- Bebidas azucaradas: El consumo regular de refrescos o jugos azucarados puede causar caries.
Alimentos Recomendados:
- Frutas y verduras crujientes: Como manzanas y zanahorias, que ayudan a limpiar los dientes de forma natural.
- Lácteos: Como el queso y el yogur, que contienen calcio para fortalecer los dientes.
Mantén una dieta balanceada para proteger tu inversión en ortodoncia y disfrutar de una sonrisa saludable por más tiempo.
6. Evita Malos Hábitos que Puedan Dañar tus Dientes
Una vez que finalizas el tratamiento de ortodoncia, debes ser más consciente de ciertos hábitos que pueden dañar tus dientes. Morder objetos duros, como bolígrafos o uñas, o utilizar los dientes para abrir empaques puede ser perjudicial.
Consejos para Evitar Estos Malos Hábitos:
- No uses los dientes como herramientas: Evita abrir botellas, cortar hilos o abrir bolsas con los dientes.
- Protege tus dientes si practicas deportes: Si practicas deportes de contacto, usa un protector bucal para evitar lesiones.
Estos hábitos no solo pueden causar fracturas en los dientes, sino que también pueden afectar los resultados de tu ortodoncia.
7. Considera Tratamientos Estéticos Complementarios
Una vez que has completado tu tratamiento ortodóntico, puedes considerar tratamientos estéticos complementarios para mejorar aún más tu sonrisa. Algunos pacientes optan por un blanqueamiento dental para corregir el tono de los dientes, que puede haber sido afectado por el uso de brackets o alineadores.
Opciones de Tratamientos Estéticos Después de la Ortodoncia:
- Blanqueamiento dental: Un procedimiento rápido y efectivo para mejorar el color de tus dientes.
- Carillas dentales: En caso de que tengas dientes con manchas persistentes o fracturas, las carillas pueden ser una excelente opción.
En Los Llanos Dental, ofrecemos blanqueamiento dental en Les Corts para aquellos que quieran dar el siguiente paso y lograr una sonrisa completamente radiante.
tags: #boca #despues #de #ortodoncia