Los aditamentos para ortodoncia son piezas que se añaden a la aparatología del tratamiento, ya sea con brackets o alineadores, para reforzarla y ayudarla a cumplir su cometido. Según la forma y diseño de un aditamento, éste permitirá mover el diente en la dirección deseada. Se utilizan en casos de ortodoncia comunes, pero también en casos de ortodoncias complejas y dependiendo también de la fase en la que se encuentre el tratamiento ortodóntico. Los aditamentos de ortodoncia se combinan, pues, con brackets y alineadores, pero también entre ellos, porque cada diente puede precisar de un aditamento concreto.
En la técnica de alambre recto se suelen utilizar elementos prefabricados, los cuales en caso necesario son únicamente adaptados al paciente in situ por el responsable del tratamiento. Sin embargo, no todos los movimientos pueden lograrse mediante el uso exclusivo de aparatos prefabricados. En ocasiones por motivos del anclaje, y a veces por motivos funcionales, resultan necesarios aparatos especiales que no pueden confeccionarse directamente en la clínica.
Dentro de los diversos aditamentos, los botones juegan un papel crucial en ciertos tratamientos ortodónticos. A continuación, exploraremos en detalle el uso y la colocación de los botones con ojal en ortodoncia.
Funciones de los Aditamentos de Ortodoncia
Las funciones de los aditamentos de ortodoncia pueden ser, por ejemplo:
- Mover un diente que tiene un tamaño, forma o ángulo inusual en una dirección específica.
- Forzar la aparición de un diente que no ha erupcionado correctamente.
- Redirigir un diente girado en su base.
- Corregir un problema de mordida y mala oclusión de mandíbula.
Actualmente existen gran cantidad de modelos de aditamentos de ortodoncia, de distintas formas, tamaños y materiales, realizando cada uno una función específica.

Botones en Ortodoncia
Los botones son fundamentales en aquellos casos clínicos de pacientes en que se requiera acelerar los movimientos de rotación de los dientes o descruzar mordida. Otra de las funciones de los botones es su uso con caninos ectópicos o incluidos; se les llama entonces botones de extrusión. Para ejercer la fuerza necesaria en la dirección adecuada, pueden llevar cadena o un ojal en el que introducir la cadeneta, ligadura metálica u otro elemento que ayude a la extrusión del diente. Este elemento se apoyará en el otro extremo en un hook, crimpable o el comúnmente llamado percha.
Se colocan en la cara lingual de los dientes y van fijados directamente sobre el esmalte mediante un adhesivo especial para brackets y botones o mediante bandas de ortodoncia. También se colocan en la cara vestibular. En bandas pueden ir soldados a la propia banda. En ortodoncia lingual se colocan en la cara vestibular para introducir el uso de elásticos en el tratamiento.
Tienen una base plana y rugosa para favorecer la superficie de contacto y conseguir una fuerte adhesión. Los hay de acero inoxidable y cerámicos, los cuales se integran y combinan bien con el esmalte y pasan más desapercibidos a nivel estético.
Tipos de Botones para Ortodoncia
Disponemos de una gama completa de botones de ortodoncia para diversas aplicaciones clínicas, desde la tracción de piezas retenidas hasta el anclaje de elásticos. Todos nuestros botones están fabricados con materiales biocompatibles de alta calidad.
Botones de Tracción y Linguales
Diseñados para una adhesión directa y segura sobre la superficie dental. Su base contorneada se adapta perfectamente a la anatomía del diente, asegurando una retención óptima. Ideales para la tracción de caninos incluidos y la corrección de rotaciones.
- Material: Acero inoxidable de grado médico.
- Base: Malla de 80 hilos para máxima adhesión.
- Perfil: Perfil bajo para minimizar la interferencia oclusal y mejorar el confort.
Botones Estéticos (Cerámicos o de Composite)
La solución perfecta para pacientes que demandan una ortodoncia discreta.
Otros Aditamentos Comunes
Muelles
Los muelles son resortes que están destinados a la apertura y cierres de espacios, bien por el tipo de maloclusión o porque se hayan realizado extracciones. Según se necesite apertura o cierre van comprimidos o estirados. Se utilizan comprimidos para abrir espacios o para desplazar dientes en una dirección determinada. Si se utilizan estirados se hace para desplazar un diente o un grupo de dientes utilizando la recuperación elástica del muelle. Pueden encontrarse en dos composiciones, acero inoxidable y níquel-titanio. Los de níquel-titanio, como estos, son unos de los avances más importantes de los últimos años. Su diseño se ha realizado para que provoque una deformación elástica con desplazamiento aleatorio y excéntrico que cambia el comportamiento de un muelle convencional.
Crimpables y Stops
Los crimpables son los aditamentos que se colocan en vez del Hook que lleva el bracket incorporado. También para generar un punto de apoyo que se necesite a lo largo del arco (por ejemplo para extrusiones, como hablábamos antes). Para colocarlos, el alicate de crimpar facilita mucho la tarea. Hay distintos diseños, para diferentes indicaciones en los tratamientos.
Los stops son aditamentos que se colocan en los arcos redondos o rectangualres para inmovilizarlos evitando que se deslicen, pinchen o causen molestias al paciente, sobre todo en el sistema de autoligados. Suelen ponerse siempre a mesial del apiñamiento y pueden ser crimpados al arco o colocados dentro del arco.
Resorte Warren
Los resortes Warren son una manera rápida y simple para controlar la técnica de torque en dientes individuales. El resorte se desliza sobre el arco colocado en boca y se posiciona en el diente que se va a mover. La colocación y fijación del arco en boca activa el resorte, proporcionando un solo contacto con la superficie del diente.
Aditamentos de ortodoncia con alineadores
Los aditamentos para alineadores transparentes son complementos que permiten que la ortodoncia invisible con alineadores sea más eficaz. Son, al igual que los aditamentos para ortodoncia tradicional, botones, topes y ganchos linguales para fijar elásticos, cadenetas o alambres y realizar movimientos dentales auxiliares.
Por ejemplo, los botones y ganchos realizados con el Mini Molde son ideales para utilizar con cualquier tratamiento donde se requiere el uso de elásticos de Clase II. Estos aditamentos se pueden usar directamente sobre los alineadores (para lo que se recomienda utilizar el adhesivo Bond Aligner) o directamente sobre el esmalte (para lo que se recomienda utilizar Flowtain).
Aparatos Especiales en Ortodoncia
No todos los movimientos pueden lograrse mediante el uso exclusivo de aparatos prefabricados. En ocasiones por motivos del anclaje, y a veces por motivos funcionales, resultan necesarios aparatos especiales que no pueden confeccionarse directamente en la clínica. A continuación se describen la indicación, la confección y el mecanismo de acción de algunos aparatos seleccionados y no del todo cotidianos.
MICROTORNILLOS en ortodoncia - ¿Siempre se ponen? ¿Para qué sirven? | #Shorts
Vertical Holding Appliance (VHA)
Los molares permanentes desempeñan un papel determinante en el tratamiento multibandas. Junto a los anclajes corticales (tales como minitornillos, implantes palatinos, etc.) constituyen una posibilidad de anclaje importante dentro de la arcada dentaria y establecen, ya tras su erupción, el nivel del plano de oclusión. Por este motivo, a menudo se mantienen en su sitio mediante arco extraoral, arcos palatinos como Nance o TPA, para así mover los restantes dientes contra este anclaje firme. En caso necesario, también pueden moverse eficazmente los molares mediante arco extraoral, péndulo, etc., en la sagital (por lo menos en el maxilar superior).
En cambio, las modificaciones verticales de la posición de los molares permanentes presentan mayores dificultades. Dichas modificaciones son necesarias cuando existe o se teme una apertura de mordida (=> derecha pérdida de la sobremordida vertical) en presencia de un componente de crecimiento vertical. En este caso se hace necesaria la intrusión de los primeros molares, a fin de provocar un rebajamiento de la mordida o como mínimo prevenir una mayor elongación vertical.
A fin de contrarrestar estos problemas, el ortodoncista estadounidense Dr. Stretesky ha desarrollado el aparato denominado «Vertical Holding Appliance» (VHA). Su particularidad: la fuerza sobre los molares no se genera mediante una fuente de fuerza externa, sino exclusivamente mediante la fuerza de la lengua al tragar. Dado que la lengua presiona contra el paladar duro en cada proceso de deglución, se genera así una fuerza. Ésta se transmite a los molares embandados por medio de un botón de resina colocado en el techo del paladar.

Según Rickets, para la intrusión de un molar se requieren aproximadamente 1,2 N. La presión de la lengua con un promedio de 2.000 procesos de deglución en 24 h representa normalmente entre 2 y 3 kg sobre el paladar duro, lo cual equivale a alrededor de 2 N/cm2. Trasladado a dos dientes pilares, se obtiene así una fuerza resultante suficiente para provocar una intrusión. En virtud del diseño, esta fuerza actúa también en gran medida hacia craneal, sin el componente indeseado dirigido hacia distal. Dependiendo del tiempo de permanencia en la boca, de este modo puede lograrse una intrusión de los molares o impedir una extrusión. Una ventaja adicional: a diferencia de los aparatos de arco extraoral, no es necesaria la colaboración del paciente, dado que el aparato no puede retirarse.
Confección del VHA
En primer lugar se dobla la porción oral a partir de un Elgiloy Blue (RMO, Pforzheim, Alemania) de 0,4". A fin de optimizar la acción de resorte y de minimizar las roturas del alambre, se deberían doblar las asas en sentido descendente hasta el techo del paladar y en sentido de nuevo ascendente en el otro lado. Además, es imprescindible asegurarse de que las asas que se encuentran en el molar estén en contacto directo con las bandas molares, a fin de evitar irritaciones de la lengua. El centro del botón de resina se sitúa en una unión transversal imaginaria por mesial de los dientes 16 y 26. Verticalmente debe hallarse a una distancia de entre 2 y 4 mm respecto de la mucosa.
Se fija la construcción de alambre mediante material de revestimiento para soldadura y a continuación se suelda indirectamente (soldadura de aleación de oro 920, Heraeus Kulzer, Hanau, Alemania). A continuación se enceran las asas y se alivia el techo del paladar mediante cera para modelar. Después de dispersar resina autopolimerizable, se procede a repasar y pulir el botón. Las asas situadas en el botón de resina deben permanecer rodeadas de resina en la mayor superficie posible; el alambre sólo está libre lateralmente, a fin de posibilitar la acción de resorte. Es esencial asegurarse de que el botón nunca penetre en la cavidad oral más allá del nivel del margen cervical.
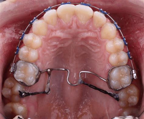
Arco transpalatino para el alineamiento de dientes retenidos
El alineamiento de dientes retenidos plantea un reto especial. En este caso, a fin de poder mover los dientes 11 y 21 en dirección al plano oclusal, es necesaria una fuerza que actúe hacia ventral y caudal. Una posibilidad sería adherir brackets a todos los dientes, a fin de tirar de los dientes hacia abajo mediante elásticos o arcos auxiliares. Sin embargo, debido a las fuerzas recíprocas que actúan sobre un aparato de estas características, es probable que se produzcan efectos secundarios considerables en forma de inclinaciones e intrusiones de los demás incisivos.
En este contexto, otra posible solución la constituye un arco palatino con brazos de resorte modificados fijado a bandas molares. Mediante un aparato de este tipo (el cual, debidamente modificado, puede utilizarse en casi todos los dientes), la fuerza sobre los dientes por alinear no se transmite recíprocamente a los dientes adyacentes, sino que es absorbida por los molares. El único efecto secundario que puede surgir en este caso es una inclinación de los molares permanentes portantes en dirección mesial. No obstante, si fuera preciso es posible impedirla fácilmente mediante apoyos adicionales en la zona de los primeros premolares.

En el presente caso, en primer lugar se cementaron las bandas sobre los dientes 16 y 26, y se colocaron brackets de cadena (Forestadent, Pforzheim, Alemania) en ambos incisivos centrales. Tras la colocación del aparato, los brazos de resorte del aparato apuntan en principio pasivamente hacia delante y hacia abajo, y son levantados por el ortodoncista hacia el bracket y se fija a éste bajo tensión. La fuerza resultante se controla mediante una balanza de resorte. De este modo, los brazos de resorte actúan contra la dirección de activación y transportan los dientes en dirección al plano oclusal.
Confección del arco transpalatino
El arco palatino se confecciona a partir de un alambre Elgiloy Yellow 0,36", el cual se fija a las bandas molares mediante cierres palatinos. Dado que posteriormente el brazo de resorte activado describe una trayectoria circular alrededor del arco palatino, es preciso situar el alambre oral en el centro de dicha trayectoria circular, dependiendo de la posición de los dientes por alinear y del recorrido de la curva de Spee. A continuación, a partir de un arco de acero de 0,16 templado (p. ej., Remanium, Dentaurum) se dobla el brazo de resorte alrededor del alambre palatino.
Una vez se ha enrollado correctamente el resorte alrededor del alambre palatino, se acorta el extremo labial conforme al recorrido de resorte previsto y se dobla formando un ojal al que posteriormente se unirá el bracket. El extremo libre por oral se suelda con una soldadura ortodóncica de bajo punto de fusión. No se debe recocer ni calentar excesivamente el resorte, para no reducir la fuerza elástica. En este aparato no se han acreditado como válidas las uniones mediante soldadura láser, ya que con frecuencia se producían fracturas.
Reeducador lingual
La posición de los dientes refleja, además de la predisposición genética, un equilibrio de fuerzas entre el círculo funcional exterior y el interior. En este contexto, el círculo funcional interior está formado por la lengua y la musculatura sublingual, mientras que el círculo funcional interior consta de la musculatura mínima y partes de la musculatura masticatoria (según Tränkmann). Desde el punto de vista fisiológico, ambos círculos funcionales ejercen aproximadamente la misma presión sobre los dientes. Así, entre otras cosas, durante la erupción del diente determinan la dirección de erupción y mantienen en posición de reposo los dientes en su posición fisiológicamente correcta.
Si se produce un desequilibrio, por ejemplo un incremento de la presión de la lengua debido a una posición de reposo patológica o una disfunción deglutoria, los círculos funcionales exterior e interior se desequilibran.
En el caso aquí presentado, la lengua se encontraba, en reposo y al deglutir, demasiado por anterior y caudal, y ejercía una presión excesiva sobre los incisivos inferiores. Como consecuencia, los incisivos inferiores fueron desviados hacia labial ya durante su erupción, lo cual resultó en una protrusión con espacios interdentales amplios con mordida borde a borde. Dado que la fuerza ejercida por la lengua en el maxilar superior era desigualmente menor debido a la malposición, a su vez los incisivos superiores erupcionaron demasiado por oral. De este modo pudo manifestarse la mordida cruzada frontal. No se observaron ni un componente esquelético ni causas anatómicas (p. ej., amígdalas faríngeas agrandadas).

Por este motivo, en primer lugar, antes de iniciar el tratamiento activo, se debería subsanar el trastorno funcional. Dado que las medidas logopédicas no condujeron al éxito, se utilizó un aparato que fue dado a conocer en Alemania especialmente por el ortodoncista estadounidense Douglas Toll. El aparato consiste en última instancia en un arco lingual modificado, y también es conocido cariñosamente como «reeducador lingual». El objetivo del aparato es, mediante la aplicación selectiva de estímulos dolorosos, apartar la lengua de su posición patológica y guiarla hacia la posición correcta.
Consideraciones Finales
La correcta colocación y elección de los aditamentos, como los botones con ojal, es crucial para el éxito del tratamiento ortodóntico. La selección del aditamento adecuado y la técnica de colocación deben ser realizadas por un ortodoncista cualificado, teniendo en cuenta las necesidades específicas de cada paciente.
Tabla de Aditamentos Comunes y sus Usos
| Aditamento | Uso Principal |
|---|---|
| Botones con Ojal | Tracción de dientes retenidos, corrección de rotaciones. |
| Muelles | Apertura y cierre de espacios. |
| Crimpables | Generar puntos de apoyo a lo largo del arco. |
| Stops | Inmovilizar arcos, evitar deslizamientos. |
| Resorte Warren | Control de torque en dientes individuales. |
tags: #boton #con #ojal #ortodoncia