Los brackets de autoligado han llegado para quedarse en el campo de la Ortodoncia. En la actualidad, los brackets de autoligado han revolucionado el uso de los brackets en los últimos años, aunque a día de hoy aún hay mucha gente que desconoce este concepto.
Si estás pensando ponerte ortodoncia para mejorar la apariencia de tu sonrisa o por razones de salud, seguro has escuchado sobre los brackets autoligables. A continuación, te presentamos una guía completa sobre los brackets autoligables, qué son, cómo funcionan y cuáles son sus ventajas y desventajas.

¿Qué son los brackets autoligables?
Los brackets autoligables son un tipo de ortodoncia diseñada para corregir problemas de maloclusión como el apiñamiento dental, la mordida abierta o los diastemas dentales. Los brackets autoligables utilizan un sistema incorporado para asegurar el arco a los brackets. En lugar de usar ligas o bandas de goma, o atarlos con metal, emplean un mecanismo de clips especiales para enganchar el alambre de arco.
De la misma manera que los brackets, este tipo de ortodoncia utiliza las presiones para mover los dientes en una u otra dirección. Eso sí, la gran diferencia es que con esta modalidad de ortodoncia no necesitarás hacer uso de las ligaduras metálicas.
Se les llama autoligables porque pueden sujetar el alambre sin el uso de ningún otro material. Los brackets mantienen la presión en el alambre de arco (archwire), ayudando a mover los dientes a un paso continuo, pero estable.
Los brackets autoligables pueden corregir ciertas maloclusiones complejas, como la mordida mal alineada y pueden ser una opción para pacientes especiales. Este sistema no solo reduce la fricción en el movimiento dental, sino que también permite un control más preciso y una mayor comodidad para el paciente.
Diferencias con los brackets tradicionales
Se ven como los brackets convencionales y se ponen más o menos de la misma forma, pero se diferencian por la forma en la que se unen los brackets para conseguir el movimiento de los dientes.
En los brackets tradicionales esto se logra usando bandas elásticas, generalmente, o con alambres. Pero, en contraste, en los autoligables el sistema ya construido dentro del bracket permite sostener el archwire.
El sistema autoligable permite mover los dientes a un ritmo más rápido, ya que siempre está activo, aunque sigue requiriendo ajustes periódicos no tan frecuentes. A diferencia del tradicional, que requiere ir al dentista cada 4 o 6 semanas a cambiar y ajustar las bandas elásticas.
En pocas palabras, los brackets autoligables son aquellos que no necesitan gomas para ligar cada bracket al arco metálico, de ahí que se conozca con el término “autoligables”. En su lugar, el alambre se “desliza” dentro de cada uno de los brackets que irán adheridos a los dientes.
¿Cómo funcionan los brackets autoligables?
El funcionamiento de los brackets de autoligado se basa en una combinación de tecnología avanzada y diseño ergonómico. El bracket es el pequeño artículo que se fija a tus dientes, tanto en la ortodoncia tradicional como en los autoligables.
Estos brackets se colocan sobre los dientes y, a diferencia de los tradicionales, no requieren de ajustes tan frecuentes, ya que su sistema de autocierre mantiene el arco en su lugar de manera eficiente.
El alambre de metal va entre esos brackets, en mecanismos especializados dentro de una ranura en el bracket en sí, este se ajusta gradualmente aplicando fuerza, moviendo tus dientes a la posición deseada. Por lo que, no se necesitan las ligas o alambres exteriores.
Para un buen funcionamiento, este alambre debe permanecer bien asegurado entre los brackets. Esto facilita el control del movimiento del diente, mejora la eficiencia y el resultado final de la ortodoncia.
Los brackets de autoligado funcionan mediante dos fuerzas esenciales en ortodoncia:
- Movimiento pasivo inicial: Durante las primeras etapas del tratamiento, los brackets de autoligado permiten un movimiento suave, especialmente los de tipo pasivo. Esto ayuda a que los dientes se muevan con menos resistencia y evita molestias.
- Movimiento activo avanzado: En fases más avanzadas, algunos tipos de brackets de autoligado, como los activos e interactivos, permiten una presión más intensa, ajustando los dientes con precisión para lograr una alineación más detallada.
🔴Diferentes 𝗧𝗜𝗣𝗢𝗦 𝗗𝗘 𝗕𝗥𝗔𝗖𝗞𝗘𝗧𝗦 -¿Cual es mejor? (Metálicos, Autoligables, Esteticos y MUCHOS MAS)
Problemas que corrigen los brackets autoligables
Ahora que ya dispones de una imagen mental de cómo son los brackets autoligables y cuáles son las diferencias con la ortodoncia tradicional, es momento de saber cómo nos pueden ayudar a contar con una boca en perfectas condiciones, estéticas y de salud.
Los brackets autoligables pueden usarse para tratar todo tipo de problemas dentales. Estos, a parte de tratar problemas dentales como el apiñamiento, la mordida abierta, la sobremordida, el resalte, la mordida cruzada, los diastemas, etc., también tratan casos más complejos.
Estos son los 4 grandes problemas que puedes solventar con los brackets autoligables:
- Apiñamiento dental: El apiñamiento dental se produce cuando los dientes no obtienen el espacio suficiente en los tejidos blandos para desarrollarse. Esto no solo será una afección estética, también puede convertirse en un problema de higiene al generar huecos de difícil acceso que pueden acabar convirtiéndose en caries o problemas de mayor seriedad.
- Mordida abierta: La mordida abierta es un tipo de maloclusión muy común. Existen diferentes tipos de mordida abierta. En este caso hacemos referencia a las maloclusiones en las que los dientes delanteros o posteriores no encajan con las piezas dentales del maxilar contrario de forma natural.
- Mordida cruzada: Los casos de mordida abierta están marcados por la posición del maxilar inferior. En esta situación el maxilar inferior está por fuera de la arcada del maxilar superior, causando una nueva forma de maloclusión.
- Diastema o espacio entre los dientes: Es otra de las situaciones más comunes que podemos ver. Se trata del nombre técnico que recibe la separación entre dientes. En ocasiones un pequeño diastema no tiene porqué ser tratado, pero sí es importante certificar que no es lo suficientemente grande como para causar problemas de masticación, higiene o salud.
Tipos de brackets autoligables
Los brackets autoligables podrían clasificarse según varias características, aunque las clasificaciones más comunes son según el sistema de ligado y por su nivel de estética.
Tipos de brackets autoligables según el sistema de ligado
Según el sistema de ligado, podemos clasificar los brackets en “activos” y “pasivos”. A continuación explicamos en qué consiste cada uno de ellos:
Brackets de autoligado pasivo
El primero de nuestros protagonistas es el bracket de autoligado pasivo. Su mayor característica es que en este formato, la presión es ejercida por el arco y no por los brackets. El arco puede deslizarse más libremente entre cada bracket. Hablamos de un sistema pasivo porque no es el clip el que ejerce presión sobre el alambre para alinear los dientes.
Con el autoligado pasivo, permitimos al arco deslizarse entre las cajas de los brackets y generar esas tensiones que corregirán nuestros problemas bucales.
Brackets de autoligado activo
Con los brackets de autoligado activo nos encontramos con el mismo método que con el los brackets de autoligado pasivo, pero en esta ocasión, es el cierre o clip de la caja el que generará esa presión para poder mover los dientes. En los brackets de autoligado activo es el clip de la caja el que ejerce presión sobre el arco de alineación dental.
Estos brackets tienen un clip que presiona o mantiene el arco hacia dentro del bracket. Por norma general este clip activo, que coloca el arco en la parte posterior del bracket, se fabrica de cromo-cobalto o niquel-titanio.
Estos clips también pueden tener la opción de actuar como semiactivos o interactivos. Esto quiere decir que solo cuando el arco llegue a ocupar todo el espacio de la ranura del bracket, se convertirán en activo.
Los brackets de autoligado activo buscan, a través de su clip flexible, expresar la prescripción de manera completa , sea ésta Roth, MBT, Andrews, Hilgers…
Brackets de autoligado interactivos
Los brackets de autoligado interactivos son una opción versátil que combina características de los brackets activos y pasivos. Estos brackets permiten ajustar la fricción y la presión según sea necesario, adaptándose a las diferentes fases del tratamiento y a las necesidades específicas de cada paciente.
Tipos de brackets autoligables según la estética
Dentro de los diferentes tratamientos que podemos encontrar para corregir ciertas situaciones en nuestra boca, el peso de la estética y de cómo nos afectará en nuestra vida cotidiana tiene un peso muy importante.
Brackets de autoligado metálicos
Este formato es la opción preferida para quienes apuestan por los brackets autoligables. Más discretos que los brackets tradicionales, los brackets de autoligado metálico son más pequeños y permiten al usuario gozar de una mayor intimidad respecto a su tratamiento.
Estos brackets son más visibles, incluso se pueden decorar con diferentes colores con o-ties, pero esto es solo por estilo, realmente no es necesario.
Los brackets autoligables metálicos son buena opción para adultos y niños que quieren optar por los beneficios que este tipo de ortodoncia ofrecen.
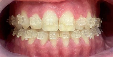
Brackets de autoligado transparentes
Con el peso de la estética jugando un papel muy importante en la elección del tipo de tratamiento, encontramos los brackets de autoligado transparente. Esta modalidad permite adaptar el tono de tus dientes al tono escogido para tu tratamiento. A pesar de que siguen siendo visibles, esto reduce de forma considerable tu tratamiento de cara al exterior.
Siendo tal vez la opción más discreta entre los tratamientos con brackets, y siempre por detrás de la ortodoncia invisible.
Los brackets de cerámica autoligables son una opción que se nota menos que las de metal, sirven para niños y adultos que quieren corregir su mordida sin que se vean tanto los aparatos. Aunque estos no son totalmente transparentes, ya que igual necesitarás alambre.

Ventajas de los Brackets Autoligables
Los brackets de autoligado se han desarrollado con el fin de conseguir una serie de ventajas sobre los brackets convencionales, tales como: brackets más pequeños y cómodos, un ligado fácil y seguro con un acoplamiento pleno del arco dentro de la ranura del bracket y una reducción de la fricción, y por consiguiente, una menor necesidad de fuerza para favorecer el movimiento dental.
- Revisiones más rápidas: En relación a la ortodoncia tradicional los brackets autoligables ofrecen revisiones más rápidas debido a la forma en la que tu ortodoncista puede manipular el arco y los brackets.
- Menos urgencias dentales: Acoplar cualquier tipo de cambio sobre nuestro cuerpo requiere un proceso de adaptación. En el caso de los brackets tradicionales, estos pueden requerir un mayor tiempo de adaptación al usuario y además, provocar pequeñas heridas debido al roce. La forma y metodología de trabajo de los brackets autoligables permite reducir este tipo de inconvenientes médicos durante la adaptación.
- Mejor acceso a la higiene bucodental: Si queremos pensar qué tipo de ortodoncia es más cómoda para nosotros, debemos pensar en evaluar todos y cada uno de los puntos. Y sin duda, la higiene es uno de los aspectos que más afecta a nuestro día a día. Con los brackets autoligables podrás limpiar tus brackets de una manera más sencilla que con la ortodoncia tradicional. A pesar de esto, la ortodoncia con brackets autoligables también requiere que mantengamos una higiene constante y minuciosa de nuestra boca.
- Reducción del tiempo de trabajo: al no existir cambio de ligaduras elásticas entre citas.
- Reducción del tiempo total de tratamiento: mejora el apiñamiento en un 80% en las primeras fases del tratamiento.
- Higiene oral: los brackets de autoligado, al carecer de ligaduras elastoméricas, tienden a retener menos cantidad de placa y facilitar el proceso de limpieza del paciente.
- Intervalos mayores entre citas: se pueden espaciar más las citas al no haber obligación de cambio de ligaduras elásticas de los brackets.
- Evita extracciones: al existir mayor expansión de las arcadas.
Desventajas de los brackets autoligables
La ortodoncia con brackets autoligables como acabas de leer tiene varias ventajas, pero también inconvenientes que no podemos pasar por alto.
- No son tan discretos como otros tipos de ortodoncia: El primero de ellos es el hecho de que a pesar de existir versiones más discretas, como los autoligables transparentes, siempre encontraremos opciones más estéticas como la ortodoncia invisible.
- Algunas áreas permanecen inaccesibles para el cepillo de dientes: Subrayábamos en párrafos anteriores que este tipo de ortodoncia resultaba más sencilla de limpiar que los brackets tradicionales, pero no por ello este tipo de ortodoncia resultaba fácil de limpiar. Es importante consultar con tu especialista cómo mantener y realizar una higiene dental sobresaliente durante tu tratamiento.
- Es necesario hacer un seguimiento presencial regular: A diferencia de otras fórmulas como la de DR SMILE, la ortodoncia con brackets autoligables te obligará a pasar por tu clínica de forma periódica. Esto se debe a que será tu ortodoncista el que realice los ajustes pertinentes en tu ortodoncia para continuar con el tratamiento.
- Las bisagras de los brackets autoligables pueden llegar a ceder: y no permanecen bien cerrados, por tanto, será necesario reemplazar el bracket.
- Ninguna de las opciones de brackets autoligables es totalmente invisible: si buscas una ortodoncia de este tipo tienes que optar por el invisalign.
Precio de los brackets autoligables
El precio de los brackets autoligables es de entre 3.000 y 5.000 euros. De nuevo y como pasa con diferentes tratamientos, la cifra final dependerá de la longitud del tratamiento, las necesidades posteriores y el estado inicial del paciente.
En general, los brackets tradicionales son menos costosos que los autoligagbles, debido a que usan una tecnología más avanzada.
El precio de los brackets autoligables puede variar entre 2000 y 7000 euros, este dependerá de distintos factores.
Factores que influyen en el precio
- Tipo de brackets: los brackets autoligables pueden ser metálicos o cerámicos, cada tipo tiene un costo diferente. Los metálicos son más comunes y generalmente más económicos que los transparentes.
- Duración del tratamiento: un tratamiento más largo implica más visitas y ajustes, lo que incrementa el costo total. La duración típica para los brackets autoligables es de 12 a 24 meses.
- Complejidad del caso: dependiendo de la complejidad y la corrección que necesites se determina el costo del tratamiento.
- Experiencia del ortodoncista: la especialización y experiencia del profesional también influyen en el precio.
Comparación de precios con otros tipos de ortodoncia
- Brackets metálicos tradicionales: entre 2000 € y 3500 €. Son la opción más económica y utilizada.
- Brackets de cerámica o zafiro: pueden costar entre 2000 € y 4500 €, siendo más estéticos y menos visibles que los metálicos.
- Alineadores invisibles: suelen ser más caros, con precios que oscilan entre 4000 € y 6000 €, dependiendo de la complejidad del caso y la duración del tratamiento.
- Brackets linguales: Estos son los más caros, con precios que pueden superar los 5000 € debido a su colocación en la parte interior de los dientes y la necesidad de mayor especialización.
¿Cómo se colocan los brackets autoligables?
- Se prepara el espacio de trabajo: se coloca un dique de goma para aislar los dientes y proteger los tejidos blancos, se limpian y secan los dientes. Por último, se pone un adhesivo en el diente.
- Se eligen los brackets: del tamaño y tipo correcto para cada diente.
- Colocación de los brackets: se posiciona en el diente, y se utiliza una lámpara de luz para endurecer el adhesivo y fijar el bracket al diente.
- Autoligado: se inserta el arco metálico y se activa el mecanismo de autoligado de cada bracket para que se mantenga en su lugar.
tags: #brackets #autoligado #pasivo