Hoy en día, llevar ortodoncia es cada vez más habitual y se puede apreciar tanto en niños, niñas, adolescentes y adultos. Al igual que hay cada vez más personas interesadas en mejorar su salud bucodental, también hay más opciones de ortodoncia que ofrecen ventajas a nivel estético frente a los brackets metálicos. Un ejemplo de ello son los brackets de zafiro.
En términos generales, podemos decir que los brackets de zafiro son la clara evolución de la ortodoncia metálica tradicional, ya que su funcionamiento es muy similar. Los brackets de zafiro son un tratamiento de ortodoncia que se caracteriza por ser muy estético y discreto. A día de hoy, una de las mayores preocupaciones de los pacientes es la estética y cómo lucirá su sonrisa durante el tratamiento.
Si estás pensando en mejorar tu sonrisa con un tratamiento de ortodoncia, es probable que te hayas planteado recurrir a los brackets de zafiro, un tipo de brackets estéticos muy demandados hoy en día. En Novasmile trabajamos con brackets estéticos para que los pacientes se vean mejor durante los meses del tratamiento de ortodoncia.
¿Qué son los Brackets de Zafiro?
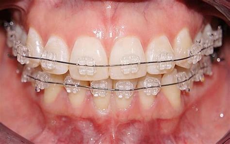
Una de las novedades más ingeniosas dentro del mundo de la odontología y los tratamientos de ortodoncia son los brackets de zafiro, también llamados brackets blancos. Los brackets de zafiro son un tipo de brackets que cuentan con la peculiaridad de que están fabricados con cristal de zafiro. La novedad que portan los brackets de zafiro es el material principal con los que están elaborados.
Estos están hechos a partir de un zafiro sintético que tiene la misma estructura química y composición natural que el zafiro. Por ello son muy resistentes, ¡casi tanto como el diamante! Los brackets de zafiro ofrecen al paciente comodidad en su uso diario, ya que son mucho más estéticos que los convencionales. Estos brackets transparentes pasan mucho más desapercibidos que los tradicionales metálicos ya que son brackets de color blanco.
Los brackets de zafiro son una ortodoncia estética fabricada a partir de zafiro, un mineral trasparente y de gran dureza. El bracket es transparente, sin embargo, el aro es metálico o blanco. Los brackets de zafiro están dentro de la categoría de brackets estéticos.

¿Cómo Funcionan los Brackets de Zafiro?
La ortodoncia de zafiro funciona igual que el resto de aparatos basados en brackets. Al igual que los brackets convencionales, los brackets de zafiro o blancos tienen como función enderezar la dentadura ejerciendo una ligera fuerza controlada en cada uno de los dientes del paciente.
Los brackets de zafiro se adhieren a la cara externa de los dientes utilizando un adhesivo especial. Posteriormente, se inserta un arco a través de cada bracket. Al igual que sucede con otros tratamientos de ortodoncia, los brackets de zafiro requieren revisiones periódicas (generalmente cada 4-6 semanas).
La ortodoncia con brackets de zafiro está formada por piezas pequeñas que se fijan en cada diente mediante a un cemento dental, unidos por un arco metálico sujetos con un elástico en cada uno de los brackets. Es por eso que hoy cada ortodoncista realiza, de acuerdo a los exámenes médicos necesarios, el tratamiento completamente personalizado para que el aparato encaje perfectamente en cada arcada dental.
Los problemas bucodentales que solucionan los brackets en zafiro son la maloclusión, los dientes torcidos, los diastemas, la mordida abierta y la mordida cruzada, entre otros.
Como hemos adelantado en el punto anterior, la ortodoncia de zafiro funciona, prácticamente igual, que los brackets metálicos. Además, los brackets de zafiro permiten corregir las mismas maloclusiones dentales que los metálicos: apiñamiento, mordida abierta, diastemas (dientes separados), sobremordida, mordida cruzada, etc.
Componentes principales:
- Brackets: son los elementos más conocidos del tratamiento.
- Arcos: el arco es el alambre metálico que se introduce entre los brackets, para unirlos y conectarlos entre ellos. Es el elemento que da la fuerza a los brackets, para que puedan aplicar presión sobre los dientes y realizar los movimientos necesarios. Para ello, el ortodoncista debe ajustar el arco a lo largo del tratamiento.
- Ligaduras: son unas gomas elásticas que sirven para unir los brackets al arco. A través de esta conexión, el arco puede enviar la fuerza necesaria a los brackets.
- Elásticos intermaxilares: son unas gomas que no se utilizan en todos los tratamientos con brackets de zafiro, sino solamente cuando es necesario corregir ciertas discrepancias entre los huesos maxilares (maxilar superior y mandíbula).
Procedimiento de colocación:
- Antes de colocar la ortodoncia de zafiro es fundamental realizar una limpieza bucodental al paciente.
- Tras limpiar la superficie de los dientes, el ortodoncista coloca un adhesivo especial para poder fijar los brackets a las piezas dentales. Este adhesivo no produce ningún daño a los dientes y se elimina por completo una vez que termina el tratamiento y se retiran los brackets.
- La colocación de los brackets puede hacerse mediante un cementado directo (uno a uno) o un cementado indirecto. En este último caso, los brackets son colocados, en primer lugar, en un molde.
- Una vez que los brackets han sido colocados, se introduce un alambre metálico (arco) a través de todos ellos. A su vez, cada uno de estos brackets se une al arco con unas ligaduras.
Brackets de Zafiro y Diseño de Sonrisa, Puedes ver los resultados de tu ortodoncia antes de empezar
Ventajas de los Brackets de Zafiro
Como el resto de tratamientos de ortodoncia, los brackets de zafiro cuentan con una serie de ventajas y desventajas que debemos tener en cuenta antes de iniciar el tratamiento.
La ventaja más valorada de los brackets de zafiro es su apariencia. Son transparentes, lo que los hace menos visibles que los brackets metálicos e, incluso, que algunos brackets de porcelana o cerámica. La principal ventaja de los brackets de zafiro es que debido a su material son completamente transparentes y su color no cambia con el tiempo, mimetizándose así con el color natural del diente.
Entre las ventajas de los brackets de zafiro, podemos encontrar:
- La adherencia o adhesión de este material al diente
- Resistencia
- Dificultad para romperse.
Otras ventajas:
- Estética: su transparencia hace que sean mucho menos visibles que los brackets tradicionales. Los brackets de zafiro nacieron, fundamentalmente, con el propósito de reducir el impacto estético negativo que producía la ortodoncia metálica convencional.
- Resistencia: al contrario de lo que pueda parecer, el cristal de zafiro es un material muy resistente. A pesar de su apariencia frágil, los brackets de zafiro son muy duraderos y resistentes a la rotura. Esto se debe a que están hechos de zafiro monocristalino, que es un material reconocido por su alta dureza y resistencia. El material del que están hechos (zafiro) es muy resistente y duradero, igualando casi su resistencia a las ortodoncias metálicas. El zafiro es un material muy resistente, no solo en dureza sino también con su color. Este mineral no se tiñe con el tabaco, vino o café.
- Comodidad: aunque todos los brackets necesitan un pequeño periodo de adaptación, los de zafiro se caracterizan por ser especialmente cómodos. Además, el material sintético con el que están hechos tienen una superficie completamente lisa que evita las rozaduras durante todo el tratamiento, evitando incomodidades, pasando casi desapercibidos frente al mundo exterior.
- Eficacia: Este tipo de tratamiento corrige todo tipo de malposiciones o problemas dentales. Así que la ortodoncia con brackets de zafiro puede ser usada por niños, adolescentes y adultos, aunque suelen ser los adultos los que se decantan por esta opción. Es fiable: el sistema en el que está basado este tratamiento (brackets, arcos y ligaduras) lleva numerosos años en el mercado.

Desventajas de los Brackets de Zafiro
Posiblemente, la mayor desventaja de los brackets de zafiro es su precio. Debido a la calidad del material con que están elaborados, el precio es superior al de otro tipos de ortodoncia invisible. Además de esto, el precio de los brackets de zafiro suele ser más elevado que los brackets metálicos por el material que se utiliza.
Y sobre las desventajas, podemos decir que con los brackets de zafiro encontramos un problema relacionado con el color, y es que si no se lleva una correcta higiene dental el color podría variar y coger un tono más amarillento, lo que haría que se notara más su presencia en la sonrisa.
Otras desventajas:
- Precio más elevado: esta es, probablemente, la principal desventaja de los brackets de zafiro. En general, el precio de los brackets de zafiro oscila en torno a los 2.500-4.000 euros, aproximadamente.
- No son 100% invisibles: aunque los brackets de zafiro son muy discretos, no llegan a ser 100% invisibles. Si el paciente desea un tratamiento de ortodoncia completamente invisible es necesario que se decante por los brackets linguales, que se colocan en la cara interna del diente.
- Ligaduras pueden teñirse: aunque los brackets de zafiro no se tiñen, las ligaduras sí pueden mancharse con ciertos alimentos, bebidas o tabaco. Aunque los brackets son transparentes, el arco y las ligaduras (los elásticos que sujetan el arco al bracket) pueden ser visibles, lo que reduce ligeramente el efecto estético.
- Mayor riesgo en actividades deportivas: en general, con cualquier tratamiento de ortodoncia fija (con brackets) resulta aconsejable utilizar protectores bucales al practicar deportes de contacto, por el riesgo de recibir un impacto y que los brackets se rompan o se claven en los tejidos blandos de la boca (labios, encías…). No son recomendables para pacientes que practiquen deportes de impacto.
- Duración del tratamiento: En cuanto al tiempo de duración, en algunos casos el tratamiento de ortodoncia con brackets de zafiro sugiere un periodo un poco más largo, ya que el alambre que se posiciona en las arcadas hace mayor fricción entre los dientes sugiriendo un movimiento más lento, a diferencia de otros tratamientos con brackets. Siendo igual de efectivos, el tratamiento con brackets de zafiro requiere de más tiempo que con los metálicos.
Brackets Cerámicos: Una Alternativa Estética
Sin embargo, los brackets cerámicos son una buena opción alternativa a los brackets de zafiro si estás buscando unos brackets estéticos. En Novasmile usamos brackets estéticos cuyo material posee una cerámica de generación avanzada, lo que hace que su adherencia al diente sea muy alta, además de la calidad y por tanto duración del bracket intacto y sin roturas.
Los brackets cerámicos están fabricados con porcelana en un tono marfil lo que hace que se mimeticen mejor con el color del esmalte dental natural. La diferencia que existe con los brackets de zafiro es el efecto que estos provocan sobre el diente, al elaborarse con cristales de zafiro, son casi transparentes, haciendo que su comportamiento óptico y mecánico sea similar al cristal.
Ventajas de los brackets cerámicos:
- El material de los brackets cerámicos es completamente recomendable ya que no dejan residuos y crean un sellado y ajuste perfecto en la unión diente-bracket, haciendo al diente menos propenso a caries e infiltraciones que puedan perjudicar tu salud bucal.
- Con respecto al color del bracket, la ortodoncia de cerámica es más blanca y translúcida, por ello será ópticamente más similar al diente, además están diseñados para mimetizarse con esmaltes de color natural, perlado o blanco.
- Con respecto a la tinción de los brackets cerámicos, resisten la coloración y las manchas a lo largo del tratamiento.
- En cuanto al tamaño del bracket cerámico, presenta un diseño minimalista, con pequeñas dimensiones y un perfil bajo, minimizando esto el contacto con los tejidos blandos y reduciendo las molestias y llagas en tu boca.
- Los brackets cerámicos son una buena opción tanto para niños como adultos. Con este tipo de brackets se busca una mayor estética y a su vez una calidad y confort de los materiales.

Diferencias entre Brackets de Zafiro y Otros Tipos de Brackets
Además de solucionar los problemas dentales y la alineación de los dientes, las personas buscan un tratamiento de ortodoncia que no afecte su apariencia física, especialmente la de su sonrisa. Es por eso que buscan opciones totalmente estéticas que se ajusten a todas sus necesidades. Y la ortodoncia de zafiro y el resto de brackets estéticos ofrecen esta ventaja.
Diferencia entre los brackets estéticos de porcelana y los brackets de zafiro
La principal diferencia entre brackets estéticos de porcelana y de zafiro es que estos últimos son más transparentes que los brackets de cerámica, debido al material del que están hechos. Sin embargo, cabe recordar que los brackets de zafiro también están considerados estéticos, por lo que estarían englobados dentro de esta categoría.
Diferencia entre los brackets metálicos y de zafiro
La principal diferencia entre los brackets metálicos y de zafiro o blancos es que los metálicos, como su nombre indica, están hechos de metal, por lo que son menos resistentes a los golpes y menos discretos a la vista.
¿Brackets de zirconio o de zafiro?
Si te decantas por elegir entre los brackets de zirconio o de zafiro debes saber que los primeros se catalogan como estéticos, igual que los de zafiro. Estos, al igual que los de cerámica, no son transparentes como los de zafiro, pero se mimetizan bien con el diente gracias a que su color es similar al del esmalte dental.
Tabla comparativa de brackets
| Tipo de Bracket | Material | Estética | Resistencia | Precio |
|---|---|---|---|---|
| Metálicos | Acero inoxidable | Menos estéticos | Alta | Más económicos |
| Cerámicos | Porcelana | Estéticos (color similar al diente) | Media | Medio |
| Zafiro | Cristal de zafiro | Muy estéticos (transparentes) | Alta | Más caros |
| Zirconio | Óxido de zirconio | Estéticos (color similar al diente) | Alta | Medio-alto |
Duración del Tratamiento con Brackets de Zafiro
El tratamiento de ortodoncia con brackets de zafiro tiene un tiempo de duración que varía en función de varios factores. Entre ellos, podemos mencionar la calidad del material usado por el especialista, la implicación que tenga el paciente con el tratamiento, la complejidad del caso a tratar, la experiencia del dentista y la evolución del propio tratamiento.
La duración de un tratamiento con brackets de zafiro varía según la complejidad de cada caso. Normalmente, los brackets se llevan entre 12 y 24 meses. Sin embargo, algunos factores como la severidad de la maloclusión y la edad del paciente pueden influir en la duración.
Sin embargo, en medidas generales un tratamiento de ortodoncia para un problema dental de nivel medio tiene una duración de 18 meses. Para los tratamientos más complejos los tiempos de duración van entre 24 y 30 meses, aunque algunos tratamientos se pueden alargar hasta los 36 meses.
Cuidado y Mantenimiento de los Brackets de Zafiro
La ortodoncia con brackets de zafiro no requiere ningún cuidado especial más allá de los necesarios para cuidar cualquier ortodoncia.
- Higiene bucodental: los brackets son unas piezas que favorecen la acumulación de comida a su alrededor. Es muy importante realizar una higiene rigurosa después de cada comida: cepillado de dientes, limpieza con cepillo interproximal, hilo dental y colutorio.
- Alimentación: durante el tratamiento, el paciente puede continuar con su dieta habitual.
- Revisiones ortodoncista: cuando se lleva una ortodoncia hay que tener especial cuidado de no saltarse las visitas y revisiones al ortodoncista.
Precio de los Brackets de Zafiro en España
Hay varios factores que pueden influir en el precio de los brackets de zafiro, como la duración del tratamiento, la complejidad del caso o el precio estipulado por el ortodoncista. Entonces, una vez el ortodoncista haya evaluado los detalles del caso de cada paciente, podremos saber su coste. Sin embargo, el precio de los brackets de zafiro en España oscila entre los 3.000 y 5.000 euros.
El precio de cualquier tratamiento de ortodoncia varía en función de la complejidad del caso y la duración del tratamiento. En general, el precio de los brackets de zafiro oscila en torno a los 2.500-4.000 euros, aproximadamente.
Ortodoncia Invisible Impress: la alternativa a los brackets
Los alineadores invisibles son la última tecnología en tratamientos de ortodoncia invisible y puede ofrecer al paciente una completa lista de ventajas para mejorar el aspecto de su sonrisa mientras cuida su apariencia física. La ortodoncia invisible de Impress mejora la apariencia de tu sonrisa sin que sea percibida desde el exterior.
Los alineadores transparentes son férulas dentales diseñadas con una tecnología en 3D muy avanzada y fabricadas con un plástico especial único. Contáctanos sin compromiso para evaluar tu caso y conocer qué plan de tratamiento se ajusta a tus necesidades.
tags: #brackets #de #zafiro #desventajas