El bruxismo es un hábito involuntario que afecta a muchas personas. Se caracteriza por el rechinar o apretar involuntariamente los dientes, especialmente durante la noche. Aunque puede parecer inofensivo, el apretamiento dental puede causar problemas de salud dental y general si no se trata adecuadamente. En este artículo, exploraremos sus causas, síntomas y las mejores soluciones para prevenir complicaciones.

¿Qué es el Bruxismo?
El bruxismo es un trastorno en el que una persona aprieta, fricciona o rechina los dientes de manera involuntaria. Este comportamiento puede ocurrir tanto durante el día (bruxismo diurno) como durante la noche (bruxismo nocturno), siendo más común durante el sueño.
Llamamos bruxismo a la acción repetitiva -e inconsciente- de apretar los dientes mediante movimientos de mandíbula producidos por nuestro sistema nervioso. Como hemos comentado anteriormente, los movimientos y fricciones producidos por el bruxismo son involuntarios, lo que significa que, en muchas ocasiones, los pacientes no son conscientes de que lo padecen.
El bruxismo afecta tanto a hombres como a mujeres, y también se puede manifestar de día y de noche. Está demostrado que, a medida que nos hacemos mayores, sus efectos disminuyen, pero en cualquier caso, cada vez son más las personas que lo sufren. Y lo hacen, principalmente, debido al estrés y a malos hábitos de vida, así como problemas para conciliar el sueño.
Causas del Bruxismo
La tensión mandibular puede tener varias causas, que van desde problemas físicos hasta factores psicológicos. Identificar la raíz del problema es clave para encontrar la mejor solución.
Estrés y Ansiedad
El estrés es una de las causas más comunes del bruxismo. A menudo, este hábito está relacionado con el estrés y la ansiedad, factores que pueden desencadenar el apretamiento de los dientes durante la noche. Muchas personas tienden a apretar los dientes inconscientemente cuando están bajo tensión o ansiedad. Este mecanismo de defensa involuntario puede llevar a una sobrecarga muscular en la mandíbula, lo que provoca el desgaste de los dientes y otros problemas bucales.
El bruxismo puede ser un síntoma de niveles elevados de estrés y ansiedad en una persona. Las tensiones diarias pueden manifestarse durante el sueño a través del apretamiento involuntario de los dientes.
Para controlarlos, se pueden practicar técnicas de relajación como meditación, yoga o ejercicios de respiración. Al principio de este artículo destacábamos el estrés como uno de los principales factores de riesgo en pacientes con bruxismo, y es importante considerar, para poder tratarlo, otros tratamientos fuera de la odontología que nos ayuden a reducir la tensión acumulada.

Trastornos del Sueño
El bruxismo nocturno está estrechamente relacionado con los trastornos del sueño, como la apnea del sueño o el insomnio. Las interrupciones en el ciclo normal del sueño pueden desencadenar episodios de bruxismo. Las personas con apnea del sueño, por ejemplo, tienden a rechinar los dientes como una respuesta del cuerpo para abrir las vías respiratorias.
Alineación Dental Incorrecta
Una mala alineación de los dientes o problemas en la mordida (maloclusión) también pueden contribuir al bruxismo. Cuando los dientes no encajan correctamente, se ejerce una mayor presión en ciertos puntos de la boca, lo que puede desencadenar el hábito de apretarlos o rechinarlos.
Factores Genéticos
El bruxismo puede tener un componente hereditario. Si alguien en tu familia lo padece, es más probable que tú también lo experimentes en algún momento de tu vida. Aunque los genes no determinan completamente si desarrollarás bruxismo, pueden aumentar la susceptibilidad a este trastorno.
Estilo de Vida y Consumo de Sustancias
El consumo de alcohol, cafeína, tabaco y ciertas drogas recreativas puede aumentar el riesgo de padecer bruxismo. Estas sustancias pueden alterar el sistema nervioso y aumentar la actividad muscular durante la noche, lo que lleva al rechinamiento de los dientes.
Síntomas del Bruxismo
El bruxismo puede ser difícil de detectar, especialmente si ocurre durante el sueño. Sin embargo, hay varios síntomas que pueden indicar la presencia de este trastorno:
- Dolor en la mandíbula y la cara
- Desgaste dental
- Sensibilidad dental
- Problemas en la articulación temporomandibular (ATM)
Dolor en la Mandíbula y la Cara
Uno de los síntomas más comunes es el dolor en la mandíbula y los músculos faciales, especialmente al despertar. Este dolor puede irradiarse hacia el cuello, los oídos e incluso causar dolores de cabeza, que a menudo se confunden con migrañas.
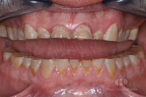
Desgaste Dental
El desgaste excesivo de los dientes es un signo claro de bruxismo. Si los dientes parecen más planos o si notas pequeñas fracturas, es probable que estés apretando o rechinando los dientes con fuerza.
Sensibilidad Dental
Las personas con bruxismo suelen desarrollar una mayor sensibilidad dental. Esto se debe a que el esmalte de los dientes se desgasta, dejando expuesta la dentina, la capa interna más sensible del diente.
Problemas en la Articulación Temporomandibular (ATM)
El bruxismo puede afectar la articulación temporomandibular, la cual conecta la mandíbula con el cráneo. Esto puede provocar chasquidos, dolor o dificultad para abrir y cerrar la boca correctamente.
Diagnóstico del Bruxismo
El diagnóstico del apretamiento dental suele realizarlo un dentista durante un chequeo dental regular. El profesional revisará el estado de los dientes para detectar signos de desgaste o fracturas. En algunos casos, puede ser necesario realizar estudios del sueño para determinar si el tensión mandibular nocturna está afectando la calidad del descanso. El diagnóstico preciso del bruxismo permite entender las causas subyacentes y determinar el mejor enfoque terapéutico.
Soluciones para el Bruxismo
El tratamiento del bruxismo varía según la causa subyacente. Existen diferentes enfoques que van desde medidas sencillas hasta intervenciones más complejas.
Férulas o Protectores Dentales
Uno de los tratamientos más comunes para el bruxismo es el uso de férulas o protectores bucales. Estas son piezas hechas a medida que se colocan sobre los dientes, generalmente durante la noche, para evitar el contacto entre los dientes superiores e inferiores. Ayudan a proteger los dientes del desgaste y a aliviar la presión sobre la mandíbula. En primer lugar, es recomendable que todos los pacientes que sufren de bruxismo utilicen la conocida como férula, que nos ayuda a prevenir ese desgaste que queremos evitar. Se utiliza principalmente de noche, cuando dormimos. Una férula de descarga profesional ayudará a evitar que el constante contacto de los dientes desgaste la dentadura y dañe el esmalte dental.

Terapia de Relajación y Control del Estrés
Como el estrés es una de las principales causas del bruxismo, la terapia de relajación puede ser muy efectiva. Técnicas como la meditación, el yoga y los ejercicios de respiración profunda pueden ayudar a reducir la tensión emocional y muscular. En algunos casos, puede ser necesario consultar con un psicólogo o terapeuta para manejar mejor el estrés.
Ajuste Dental y Ortodoncia
Si el bruxismo se debe a problemas de alineación dental, un dentista u ortodoncista puede recomendar el ajuste de la mordida o el uso de aparatos ortodónticos. Estos tratamientos ayudan a corregir la maloclusión y reducir la presión en los dientes y la mandíbula.
Tratamiento con Ácido Hialurónico
En casos más severos, el uso de ácido hialurónico puede ser una opción para tratar el bruxismo. Este tratamiento consiste en inyectar ácido hialurónico en los músculos de la mandíbula para reducir la hiperactividad muscular y, por lo tanto, disminuir los episodios de bruxismo. Además, puede mejorar la estética facial, relajando la tensión en la mandíbula y suavizando las líneas de expresión.
Medicación
En algunos casos, se puede recetar medicación para tratar el bruxismo. Los relajantes musculares pueden ser útiles antes de dormir para reducir los episodios de rechinamiento nocturno. En situaciones más complejas, los antidepresivos o ansiolíticos pueden ayudar a tratar el estrés o la ansiedad subyacentes que contribuyen al bruxismo.
Terapia Física y Masajes
La fisioterapia también puede ser útil para tratar el dolor y la tensión muscular asociados con el bruxismo. Los masajes en los músculos de la mandíbula, cuello y hombros pueden aliviar el malestar y mejorar la movilidad de la articulación temporomandibular. En los casos en los que existen molestias o dolor en los músculos de la cara, cuello y hombros, se aconseja realizar un automasaje que ayude a la relajación muscular. Con esto, además, se evitan las complicaciones y trastornos relacionados con la articulación temporomandibular (ATM). Valiéndonos de los dedos índice, corazón y anular, presionar con suavidad detectando las zonas con mayor tensión o más dolorosas debajo de los pómulos. Por último, colocar los dedos índice sobre las muelas inferiores con la boca ligeramente abierta, aunque de manera relajada y sin tensión.
Realizar ejercicios de relajación mandibular puede ayudar a reducir la tensión acumulada en esta zona.
Tabla de Tratamientos Comunes para el Bruxismo
| Tratamiento | Descripción | Beneficios |
|---|---|---|
| Férulas o protectores dentales | Piezas hechas a medida que se colocan sobre los dientes. | Protegen los dientes del desgaste y alivian la presión en la mandíbula. |
| Terapia de relajación | Técnicas como meditación, yoga y ejercicios de respiración. | Reducen la tensión emocional y muscular. |
| Ajuste dental y ortodoncia | Corrección de la mordida y alineación dental. | Reducen la presión en los dientes y la mandíbula. |
| Tratamiento con ácido hialurónico | Inyección de ácido hialurónico en los músculos de la mandíbula. | Reduce la hiperactividad muscular y mejora la estética facial. |
| Medicación | Relajantes musculares, antidepresivos o ansiolíticos. | Reducen los episodios de rechinamiento y tratan el estrés subyacente. |
| Terapia física y masajes | Masajes en los músculos de la mandíbula, cuello y hombros. | Alivian el malestar y mejoran la movilidad de la articulación temporomandibular. |
Prevención del Bruxismo
Aunque no siempre es posible prevenir completamente el bruxismo, hay medidas que se pueden tomar para reducir el riesgo de padecerlo o minimizar sus efectos.
Reducción del Estrés
Mantener el estrés bajo control es clave para prevenir el bruxismo. Actividades que promuevan la relajación, como el ejercicio regular, la meditación y mantener una buena rutina de sueño, pueden ser muy beneficiosas. No realizar ejercicio físico después de las 18 horas.
Hábitos Saludables
Evitar el consumo excesivo de alcohol, cafeína y tabaco puede ayudar a reducir los episodios de bruxismo. Estos hábitos no solo afectan la calidad del sueño, sino que también aumentan la actividad muscular durante la noche.
Visitas Regulares al Dentista
Las revisiones dentales periódicas son esenciales para detectar signos tempranos de bruxismo y tratar cualquier problema antes de que se agrave. Un buen seguimiento con el dentista también puede garantizar que se tomen las medidas adecuadas para proteger tus dientes.
Ejercicios de relajación de mandíbula para bruxismo o rechinar de dientes
Preguntas Frecuentes
¿Cómo saber si sufro de tensión mandibular nocturna?
Si te despiertas con dolor en la mandíbula, dientes sensibles o dolores de cabeza recurrentes, podrías estar sufriendo de bruxismo nocturno. Consulta con tu dentista para una evaluación.
¿El bruxismo puede desaparecer por sí solo?
En algunos casos, el apretamiento dental puede ser temporal, especialmente si está relacionado con un período de estrés. Sin embargo, en otros casos puede convertirse en un problema crónico que requiere tratamiento.
¿El bruxismo puede causar daños permanentes?
Si no se trata, el bruxismo puede causar daño permanente en los dientes, como fracturas, desgaste excesivo o problemas en la articulación temporomandibular (ATM).
¿Por qué siento dolor en la mandíbula al despertar?
Esto se debe a la tensión muscular causada por apretar o rechinar los dientes durante la noche. Los músculos trabajan más de lo normal, lo que genera inflamación y dolor.
¿Por qué tengo sensibilidad dental al consumir alimentos fríos o calientes?
El desgaste del esmalte expone la dentina, una capa más sensible del diente, lo que causa dolor o incomodidad al comer o beber.
¿El estrés o la ansiedad que estoy enfrentando pueden ser la causa de mi bruxismo?
Sí, el estrés y la ansiedad son desencadenantes comunes, ya que el cuerpo responde apretando la mandíbula como una forma de liberar tensión.
¿Mi postura o hábitos diarios pueden influir en el desarrollo del bruxismo?
Una postura inadecuada, especialmente en el cuello y la mandíbula, puede contribuir a la tensión muscular que empeora el bruxismo.
¿El uso de férulas dentales puede prevenir el desgaste de mis dientes? ¿Son incómodas?
Sí, las férulas protegen los dientes al evitar el contacto directo entre ellos. Están hechas a medida, por lo que son cómodas y fáciles de usar.
¿Qué terapias o ejercicios puedo hacer para relajar los músculos de mi mandíbula?
Masajes en la mandíbula, ejercicios de estiramiento, yoga, meditación y técnicas de respiración pueden ser útiles para reducir la tensión.
¿Las inyecciones de ácido hialurónico o toxina botulínica son seguras y efectivas para tratar mi bruxismo?
Sí, ambas son seguras y efectivas cuando son administradas por un especialista.