En Bordonclinic, ubicada en Madrid, estamos comprometidos a proporcionar soluciones avanzadas para todos los problemas dentales, incluido el bruxismo. El bruxismo es un trastorno en el que las personas rechinan, aprietan o crujen los dientes de manera involuntaria. Es necesario aclarar que, en la mayoría de las personas, esta acción no se considera un trastorno, sino un comportamiento que puede causar problemas de salud.

Tipos de Bruxismo
- Bruxismo Diurno: Suele estar relacionado con el estrés y la ansiedad.
- Bruxismo Nocturno: Ocurre durante el sueño y puede estar asociado con trastornos del sueño como la apnea.
Causas del Bruxismo
Las causas del bruxismo nocturno son multifactoriales. El bruxismo puede ser causado por una combinación de factores físicos, psicológicos y genéticos.
- Estrés y ansiedad: El estrés y la ansiedad son las causas más comunes del bruxismo. Muchas personas liberan la tensión acumulada durante el día apretando los dientes mientras duermen.
- Trastornos del sueño: Los trastornos del sueño, como la apnea del sueño, están estrechamente relacionados con el bruxismo nocturno. El bruxismo nocturno se asocia con otros problemas del sueño, como el insomnio, la apnea del sueño y el síndrome de piernas inquietas.
- Maloclusión: Una alineación incorrecta de los dientes, conocida como maloclusión, puede causar bruxismo.
- Factores genéticos: El bruxismo puede ser heredado.
- Consumo de sustancias estimulantes: El consumo de cafeína, alcohol y tabaco antes de dormir puede aumentar la actividad muscular y provocar episodios de bruxismo.
- Ciertos fármacos: Algunos fármacos, especialmente los antidepresivos y medicamentos para el sistema nervioso central, pueden aumentar la incidencia de bruxismo nocturno.
Síntomas del Bruxismo Nocturno
El bruxismo puede manifestarse con una variedad de síntomas que afectan tanto la boca como otras partes del cuerpo. Reconocer los síntomas del bruxismo nocturno es fundamental para su diagnóstico temprano. Si no fuera por los síntomas del bruxismo nocturno, muchas personas no sabrían que padecen este problema, ya que sucede mientras dormimos. Identificar estos signos a tiempo es clave para prevenir daños en los dientes y la articulación temporomandibular (ATM).
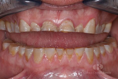
- Desgaste dental y sensibilidad: El rechinamiento constante desgasta el esmalte dental, provocando que los dientes se vuelvan más sensibles al frío, calor o alimentos dulces. El esmalte es la capa más dura y protectora de los dientes, pero el bruxismo nocturno puede desgastarlo rápidamente debido a la fricción constante entre los dientes superiores e inferiores.
- Dolores de cabeza frecuentes: Las personas con bruxismo nocturno suelen experimentar dolores de cabeza tensionales al despertar.
- Ruido de rechinamiento: En muchos casos, el bruxismo nocturno es escuchado por la pareja o familiares.
- Dificultad para abrir y cerrar la boca: El esfuerzo excesivo que realizan los músculos de la mandíbula durante la noche puede provocar rigidez en la articulación temporomandibular (ATM).
- Dolor en cuello y oídos: Esto se debe a que la articulación temporomandibular está conectada a otros músculos y estructuras del cráneo.
Los síntomas del bruxismo nocturno no solo causa molestias temporales, sino que puede generar daños progresivos en la salud bucal si no se trata. Apretar y rechinar los dientes constantemente durante la noche puede provocar desgaste dental, fracturas, problemas en la articulación temporomandibular (ATM) y afectaciones en las encías. La presión excesiva que genera el bruxismo nocturno puede causar microfisuras en los dientes, las cuales pueden volverse fracturas más grandes con el tiempo. El bruxismo nocturno afecta directamente la articulación temporomandibular (ATM), que es la encargada de conectar la mandíbula con el cráneo. La fuerza ejercida al apretar los dientes puede afectar las encías y el tejido de soporte dental, provocando recesión gingival.
Diagnóstico del Bruxismo
El diagnóstico del bruxismo requiere una evaluación exhaustiva por parte de un profesional dental. El dentista realizará un examen físico para detectar signos de desgaste dental, sensibilidad y dolor en la mandíbula. Durante la consulta, el dentista evaluará el desgaste dental, la presencia de fracturas y la sensibilidad en diferentes áreas.
Para la evaluación de BS, se propone un enfoque basado en auto reporte no-instrumental, examen clínico y estudio instrumental basado en EMG con un sistema de tres posibles graduaciones26. Se puede considerar a BS como posible, basado únicamente en auto reporte positivo de BS; probable, basado en examen clínico positivo con o sin auto reporte; y definitivo, basado en evaluación instrumental positiva (EMG), con o sin auto reporte positivo y con o sin evaluación clínica positiva.
Métodos de Diagnóstico
- Auto reporte: Se realiza a través de cuestionarios estandarizados los que entregan información subjetiva. Sin embargo, estos han demostrado no ser siempre un correlato de la PSG2,5.
- Diagnóstico clínico: Basado principalmente en el reporte de rechinamiento dentario asociado a ruidos por un tercero y la presencia de problemas dentales como desgastes, movilidad, fracturas y fracaso de restauraciones, implantes o prótesis. También se considera la hipertrofia maseterina, signos de indentación lingual y mejillas, trastornos temporomandibulares y dolor orofacial, fatiga o tensión muscular/articular y cefalea en zona de la sien3,5,6. Sin embargo, ninguno de estos signos y síntomas es una prueba real o directa de BS5,27,28 y por ello, el diagnóstico clínico debiese basarse en el criterio diagnóstico internacional propuesto1,2.
- Evaluación ambulatoria del BS: Han sido desarrollados varios sistemas de monitoreo EMG portátiles y ambulatorios que varían en su complejidad y tamaño29. La mayoría de estos dispositivos aún no han tenido estudios de confiabilidad y son escasos los estudios de validez comparados con PSG, por lo que son considerados una herramienta de apoyo en la evaluación clínica del BS y no deben ser utilizados aún como instrumento diagnóstico por si solos5,30,31.
- Polisomnografía en laboratorio, asistida y audiovisual: Sigue siendo el standard para la evaluación del BS y evaluación de comorbilidad con otros trastornos del sueño.
Férula de descarga: Qué es, para qué sirve y cuándo usarla
Tratamientos para el Bruxismo del Sueño
El bruxismo nocturno es un trastorno complejo que requiere un enfoque multidisciplinar para su tratamiento efectivo. Hay que tener en cuenta que, en algunas ocasiones, el problema puede desaparecer por sí solo, por lo que no es necesario ningún elemento añadido. La clave está en reconocer los signos tempranos y buscar ayuda profesional antes de que se desarrollen complicaciones más graves.

Férulas y Protectores Bucales
Las férulas y los protectores bucales son dispositivos que se colocan en la boca para proteger los dientes del desgaste. El uso de una férula dental para bruxismo nocturno es uno de los tratamientos más efectivos. Los profesionales dentales pueden recomendar diferentes tipos de férulas según las necesidades específicas de cada paciente. Clásicamente la piedra angular en el manejo odontológico del bruxismo son las férulas oclusales (placas de descarga nocturnas). Estas son dispositivos removibles de resina acrílica rígida que el paciente usa típicamente durante el sueño. Su objetivo principal es proteger las piezas dentales del desgaste y distribuir de forma más homogénea las fuerzas oclusales para reducir el estrés en dientes individuales.
Para desarrollar las férulas de descarga se toman unos moldes o escaneados digitales de la boca para poder estudiar el caso, para a continuación preparar el dispositivo adecuado a cada dentadura.
Técnicas de Relajación y Manejo del Estrés
Las técnicas de relajación y manejo del estrés juegan un papel crucial en la prevención. El estrés y la ansiedad son factores clave en la aparición del bruxismo nocturno. Establecer una rutina de sueño saludable es igualmente importante. Estos hábitos ayudan a relajar los músculos de la mandíbula, mejorar la calidad del sueño y disminuir la presión sobre los dientes.
Fisioterapia y Ejercicios Mandibulares
La fisioterapia y los ejercicios de estiramiento mandibular pueden complementar el tratamiento. Un especialista en fisioterapia de la articulación temporomandibular puede ayudar a descontracturar y relajar los músculos masticatorios, disminuyendo así el cansancio muscular y el dolor de cabeza. La fisioterapia de la articulación temporomandibular incluye técnicas manuales para estirar y relajar los músculos masticatorios, masajes en puntos gatillo del masetero/temporal, movilizaciones suaves de la mandíbula y ejercicios de propiocepción mandibular. Estas intervenciones buscan disminuir el dolor muscular y mejorar la amplitud de movimiento de la mandíbula cuando está limitada.
Toxina Botulínica
En casos severos, la toxina botulínica puede ser una opción terapéutica.
Otros Tratamientos
Además de los tratamientos anteriormente mencionados, hay que tener en cuenta que, si el bruxismo ha provocado ya un grave desgaste de los dientes, el odontólogo puede tener que remodelar las superficies de masticación de los dientes. Para ellos es posible que haya que colocar restauraciones como pueden ser incrustaciones, coronas, etc. Aunque no se suele recurrir a la medicación para tratar este problema, algunos profesionales podrían recomendar el uso de relajantes musculares y/o medicamentos contra la ansiedad y el estrés.
Impacto en la Calidad de Vida
El bruxismo nocturno puede tener un impacto significativo en la calidad de vida. Si experimentas dolor mandibular persistente o notas un desgaste dental significativo, es importante buscar ayuda profesional inmediatamente.
Tabla Resumen de Tratamientos
| Tratamiento | Descripción | Objetivo |
|---|---|---|
| Férulas Oclusales | Dispositivos removibles de resina acrílica rígida. | Proteger los dientes del desgaste y distribuir las fuerzas oclusales. |
| Técnicas de Relajación | Ejercicios y prácticas para reducir el estrés. | Disminuir la tensión muscular y mejorar la calidad del sueño. |
| Fisioterapia Mandibular | Técnicas manuales y ejercicios para la mandíbula. | Descontracturar los músculos masticatorios y mejorar la movilidad. |
| Toxina Botulínica | Inyecciones en los músculos masticatorios. | Reducir la actividad muscular en casos severos. |