El bruxismo infantil es un trastorno en el que los niños aprietan o rechinan los dientes, generalmente durante el sueño. Este proceso, aunque no lo creas, afecta a entre un 10 a un 20% de la población, incluido niños y adultos. El bruxismo en niños de 1, 2, 3, 4, 5, 6 y 7 años es bastante frecuente. De hecho, se estima que un 80% de la población infantil muestra síntomas en su boca de haber bruxado los dientes en algún momento.
Es cada vez más frecuente que los niños aprieten sus dientes de forma inconsciente, sobre todo entre los 6 y los 10 años. Sin embargo, en principio no debe ser motivo de preocupación. El bruxismo infantil no se considera una patología como en adultos, sino una fase que experimentan los niños por diferentes causas y que tiende a desaparecer con la erupción de los dientes definitivos.
El bruxismo infantil es más prevalente en niños de más de 6 años de edad, cuando entran en la etapa de dentición mixta. Este trastorno suele producirse a partir de los seis años, durante la etapa de dentición mixta, podría ser fisiológico y tiende a desaparecer cuando aparecen los dientes definitivos, aunque, en ocasiones, puede perdurar hasta la edad adulta. En la mayoría de casos no suele ocasionar graves complicaciones, a pesar de que la salud bucodental de los niños pueda verse afectada.
Todo sobre BRUXISMO - Síntomas, tratamientos y consecuencias de APRETAR los dientes | Dentalk! ©
¿Qué es el bruxismo en niños?
Se trata de un hábito inconsciente que consiste en apretar o rechinar los dientes. Aunque, en algunos casos, lo que sucede es que se golpea o balancea la mandíbula.
No obstante, y aunque puede parecer una hábito preocupante, podemos decir que a estas edades el bruxismo es beneficioso a nivel dental pues supone un desgaste benéfico que promueve el crecimiento transversal del maxilar (anchura de la boca) y, por ende, mejor función en un futuro, te lo explicamos a continuación.
Cuando un niño o niña mastica desde muy temprana edad alimentos duros, secos y fibrosos (por ej. pan de barra, zanahorias, carne, etc) estimula el crecimiento de su boca, pero la realidad es que la alimentación infantil actual es mayoritariamente blanda (purés, pan de molde, pasta, etc), lo que evita que los niños ejerciten sus mandíbulas adecuadamente, resultando en maxilares poco desarrollados o estrechos con poco espacio para su dentición permanente, esta es la razón por la que lo encontramos beneficioso en esta edad en concreto.
El bruxismo nocturno en niños
El más común y natural a esta edad es el bruxismo nocturno. Al ser un hábito nocturno puede pasar desapercibido, pues la mayoría de padres duermen en su propia habitación y no escuchan cuando su hija o hijo rechina los dientes.
Pero es probable que las consecuencias por la mañana no sean tan fáciles de pasar por alto, si tu hijo o hija se queja de dolores de cabeza, encías sensibles, dolor en las muelas o en la zona de la mandíbula, te recomendamos estar atento por las noches para verificar si el bruxismo nocturno puede ser la causa.
Para conocer otras formas en las que se manifiesta el bruxismo en niños, nos basta con revisar los síntomas del bruxismo en adultos, pues son básicamente los mismos síntomas.

Causas del bruxismo infantil
Las causas del bruxismo infantil no están del todo claras, pero se cree que pueden deberse a una combinación de factores, que incluyen:
- Estrés: El estrés es uno de los factores desencadenantes más comunes del bruxismo. Los niños que experimentan estrés en la escuela, en casa o en otras áreas de su vida pueden ser más propensos a apretar o rechinar los dientes.
- Ansiedad: La ansiedad es otro factor desencadenante común del bruxismo. Los niños que experimentan ansiedad por una variedad de razones, como la escuela, los exámenes, las relaciones o los cambios en la vida, pueden ser más propensos a apretar o rechinar los dientes.
- Falta de sueño: La falta de sueño puede provocar estrés y ansiedad, lo que puede aumentar el riesgo de bruxismo.
- Trastornos del sueño: Algunos trastornos del sueño, como el insomnio y la apnea del sueño, pueden provocar bruxismo.
- Uso de ciertos medicamentos: Algunos medicamentos, como los estimulantes y los antidepresivos, pueden causar bruxismo como efecto secundario.
Las causas por las un niño de 2 a 3, de 3 a 4 o de 3 a 6 años está apretando los dientes pueden ser varias, y es necesario detectarlas para incidir sobre ellas antes que en el hecho de apretar los dientes, algunas de las causas del bruxismo en niños pueden ser:
- Inquietud o nerviosismo. Los niños están sometidos a situaciones que alteran su tranquilidad y desatan un cierto nivel de estrés. Por ejemplo, si tienen problemas en el colegio o la relación de sus padres no va bien. Esto genera una tensión en el cuello, los hombros y la mandíbula, que puede derivar en el rechinar de dientes.
- Presencia de parásitos. Las lombrices pueden estar entre las causas del bruxismo en niños. No lo generan ellas directamente, pero el malestar que generan puede desencadenar el hábito de apretar los dientes.
- Alteraciones del sueño. Los hábitos negativos relacionados con el sueño, como dormir pocas horas o la apnea del sueño, también favorecen la aparición de este problema.
- Otras causas. Hay otras razones para el bruxismo en niños. Por ejemplo, una cuestión genética, la hiperactividad, el proceso de erupción dental o problemas de oclusión.

Síntomas del bruxismo infantil
Los síntomas del bruxismo infantil pueden variar de leves a severos. Los síntomas más comunes incluyen:
- Rechinar los dientes durante el sueño
- Dolor de cabeza
- Dolor de mandíbula
- Dolores faciales
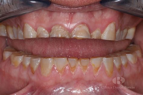
- Desgaste de los dientes
- Rotura de los dientes
- Problemas de articulación temporomandibular (ATM)
Diagnóstico del bruxismo infantil
El bruxismo infantil generalmente se diagnostica mediante un examen físico y una historia clínica. El dentista puede detectar signos de bruxismo, como desgaste de los dientes, dolor en la mandíbula y músculos faciales tensos.
Tipos de Bruxismo infantil
Existen dos tipos de bruxismo infantil: el céntrico y el excéntrico. Si detectas que tu hijo o hija rechina los dientes fuertemente durante la noche puede padecer bruxismo céntrico. Si realiza movimientos con la mandíbula durante el día, hablamos de bruxismo excéntrico.
Bruxismo excéntrico: en este caso, los pacientes se caracterizan por rechinar los dientes.
Tratamiento del bruxismo infantil
El tratamiento del bruxismo infantil depende de la gravedad del trastorno. Las opciones de tratamiento incluyen:
- Férulas de descarga: Las férulas de descarga son dispositivos que se colocan en los dientes para protegerlos del desgaste.
- Terapia de relajación: La terapia de relajación puede ayudar a reducir el estrés y la ansiedad, que pueden ser factores desencadenantes del bruxismo.
- Medicamentos: En casos severos, el dentista puede recetar medicamentos para relajar los músculos de la mandíbula.
En el tratamiento del bruxismo en niños no se suele recomendar la férula de descarga (método al que se recurre cuando el problema afecta a adultos). En este sentido, no existe una evidencia científica clara sobre la efectividad que tienen las férulas oclusales en niños, y se considera que podrían tener efectos nocivos en el crecimiento maxilar y en la erupción de los dientes permanentes.
De ahí que su uso se limite únicamente a los casos más graves y muy específicos. En el resto de casos, resulta más efectivo encontrar la causa que lleva a los niños a bruxar, que generalmente esta relacionada con el bienestar emocional, y aplicar una solución para la misma.
Para tratar el bruxismo infantil, es fundamental prevenir o frenar el desgaste del esmalte dental. Asimismo, será necesario reparar los daños en los dientes, en caso de que se hayan producido. Por todo ello, podemos dividir el tratamiento para el bruxismo en dos ramas. Por un lado, distinguimos los cambios en los hábitos de vida.
- Deporte: Es una de las mejores formas de reducir el estrés infantil.
- Calidad del sueño: Para tratar el bruxismo en niños es esencial revisar sus rutinas de sueño. Por ejemplo, el número de horas que duermen o las actividades que realizan antes de irse a la cama. En este último punto, es conveniente que realicen actividades que les permitan relajarse, como escuchar música o leer un libro.
Además, en nuestra clínica odontológica podemos ofrecerte la férula de descarga infantil. Lo que hace este aparato es limitar los daños que el bruxismo está generando en los dientes de los peques.
Prevención
No obstante, la prevención y el tratamiento preventivo es primordial, ya que un desgaste prematuro de los dientes puede desembocar en complicaciones como dolores de cabeza y de oído.
Para ayudar a prevenirlo, puedes seguir estos consejos:
- Mantenga a su hijo relajado: El estrés es un factor desencadenante común del bruxismo.
- Disminuye la actividad física justo antes de ir a la cama, les ayudará a relajarse y por tanto a no apretar los dientes. Te recomendamos baños aromaterápicos, leer cuentos o técnicas de relajación.
- Asegúrese de que su hijo duerma lo suficiente: La fatiga puede empeorar el bruxismo.
- Evite que su hijo consuma alimentos o bebidas estimulantes: Los estimulantes, como la cafeína y el alcohol, pueden empeorar el bruxismo.
- Use una férula de descarga: Una férula de descarga puede ayudar a proteger los dientes de su hijo del desgaste.
- Evitar que se duerma con la televisión o cualquier aparato encendido, los ruidos de fondo alteran el sueño y pueden provocar ansiedad que puede convertirse en un rechinado de dientes nocturno.
- Evita conductas nerviosas como morderse las uñas, los labios o lápices para desestresarse, ya que provoca mayor tensión en la mandíbula.
Consejos para padres
Si cree que su hijo puede tener bruxismo infantil, puede seguir estos consejos para ayudar a reducir el hábito:
- Evite que su hijo consuma alimentos duros o crujientes: Estos alimentos pueden provocar que su hijo apriete los dientes.
- Mastique chicle sin azúcar: Masticar chicle puede ayudar a relajar los músculos de la mandíbula.
- Haga ejercicios de relajación con su hijo: Los ejercicios de relajación, como la respiración profunda y la meditación, pueden ayudar a reducir el estrés y la ansiedad.
- Hable con su odontopediatra: Su odontopediatra puede ayudarlo a desarrollar un plan de tratamiento para su hijo.
Es importante que los niños realicen actividades que les relajen, como deporte, lectura, escuchar música.
Limitar el acceso a televisión, videojuegos u ordenador para no sobrexcitar.
En cuanto la alimentación, limitar el consumo de azúcares y otros excitantes.
Cenas de digestión ligera.
Antes de dormir, dar un masaje suave o leer un cuento para conseguir un estado más relajado.
Si estás ante un caso de bruxismo infantil es conveniente que lleves al niño al odontopediatra, ya que es el profesional más indicado para solventar este tipo de situaciones.
Ante cualquier señal de que tu hijo o hija aprieta los dientes o aparecen de desgaste dental, no dudes en ponerte en contacto con nosotros para programar una visita a nuestra clínica. Así podremos ofrecerte un diagnóstico completo. ¡Sus pequeños dientes lo agradecerán!