¿Quieres una sonrisa perfecta? Descubre tus opciones en carillas aquí. En Clínica Ferrus & Bratos, entendemos que elegir un procedimiento de estética dental es una elección relevante. Por ello, hemos preparado esta guía detallada sobre los tipos de carillas dentales y sus precios, con el fin de ayudarte a decidir según tus necesidades estéticas y capacidad presupuestaria. Esta guía te proporcionará toda la información necesaria sobre los tipos de carillas dentales y precios, para que tomes decisiones informadas y ajustadas a tu presupuesto y expectativas estéticas.

Carillas Dentales | ¿Qué son y Cuánto cuestan? | Precios actuales
Tipos de Carillas Dentales
Cuando se trata de transformar una sonrisa, es fundamental identificar qué clase de carillas dentales están disponibles:
- Carillas de composite: Recomendadas para quienes buscan una alternativa rápida, económica y con buenos resultados visuales.
- Carillas de porcelana: Ideales para quienes desean un acabado más natural y de larga duración.
Ambas opciones se utilizan en función de las condiciones clínicas de cada paciente, siempre tras la evaluación individualizada de nuestros expertos.
Carillas de Composite
Las carillas de composite son una alternativa demandada entre nuestros pacientes en Madrid. Su ventaja principal es que se colocan en una sola sesión y permiten mejorar pequeñas imperfecciones sin modificar en exceso el diente original. Además, su coste reducido en comparación con otras opciones las convierte en una elección popular entre quienes buscan optimizar su sonrisa sin un gran desembolso. Son particularmente útiles en casos donde se busca una transformación notable pero asequible.
Carillas de Porcelana
Las carillas de porcelana simbolizan la excelencia en estética dental. En nuestra clínica colaboramos con laboratorios de prestigio para diseñar piezas totalmente individualizadas. Su resistencia y similitud con el diente natural las convierten en la opción ideal para quienes desean una sonrisa armónica y de larga duración. Su proceso de fabricación incluye la selección de tonalidades, simulaciones digitales y un tallado preciso, garantizando un resultado estético superior. Aunque su inversión es mayor, su durabilidad y naturalidad respaldan el coste.

Duración de las Carillas Dentales
Dado que las carillas dentales más utilizadas -y las que colocamos con mayor frecuencia en nuestra clínica dental de Madrid- son las de porcelana (e.max y Lumineers) y las de composite, vamos a detallar los beneficios e inconvenientes que presentan cada una de ellas.
Las carillas dentales de porcelana tienen una duración mayor que las de composite, pudiendo resistir en perfectas condiciones hasta 15 años, y además no pierden su color ni se tiñen. Esta duración depende en gran medida de que el paciente siga las instrucciones de su odontólogo relativas a mantenimiento y cuidados. En contraposición, la duración de las carillas dentales de composite es de un máximo de cinco años aproximadamente. Para llegar a este plazo, es necesario acudir a revisiones de mantenimiento y que el dentista realice el pulido de las carillas dentales. Además, será más fácil que las carillas dentales duren cinco años en buen estado si el paciente sigue unos buenos hábitos en cuanto a higiene y dieta.
Precio de las Carillas Dentales en Madrid
El coste de las carillas dentales en Madrid puede variar significativamente dependiendo del material, la cantidad de piezas y la técnica empleada. En nuestra clínica, ofrecemos una relación calidad-precio clara que asegura resultados sobresalientes. En Ferrus & Bratos, cada tratamiento se personaliza para adaptarse a tu sonrisa y expectativas. El presupuesto total dependerá del número de carillas requeridas (normalmente entre 8 y 10 por arcada) y del material elegido.
¿Qué tipo de carillas dentales son las más recomendadas? Depende de tus necesidades. Oscila entre 250 € y 1200 € por unidad.
En España, el precio de un tratamiento con carillas dentales parte de unos 1.120 euros. Sin embargo, hay que tener en cuenta que el precio del tratamiento varía en función del número de carillas que se necesiten. En este punto, tenemos buenas noticias para tu bolsillo, ya que las carillas no se colocan en todos los dientes de la boca, sino únicamente en el frente estético.

Normalmente, se ponen en los seis dientes delanteros superiores, que son los más visibles al sonreír: dos incisivos centrales, dos incisivos laterales y dos colmillos. No obstante, en algunos casos se pueden llegar a colocar carillas en los premolares, por lo que habría que poner diez carillas en total en la arcada superior.
Tabla Comparativa de Precios y Materiales
| Tipo de Carilla | Precio por Unidad (aproximado) | Duración | Ventajas | Desventajas |
|---|---|---|---|---|
| Composite | 250 € - 500 € | Hasta 5 años | Económicas, colocación rápida | Menos duraderas, pueden teñirse |
| Porcelana (E-max, Lumineers) | 550 € - 1200 € | Hasta 15 años | Mayor durabilidad, aspecto natural, no se tiñen | Mayor inversión inicial |
Preguntas Frecuentes sobre Carillas Dentales
Una de las dudas más comunes que recibimos es: cuesta colocar carillas en todos los dientes visibles? Esta es otra consulta frecuente entre nuestros pacientes. En realidad, no hay una única “mejor” alternativa, sino la que mejor se adapte a tu situación particular. En Ferrus & Bratos te orientamos con claridad y profesionalismo para que elijas con seguridad.
¿Las carillas dentales dañan los dientes?
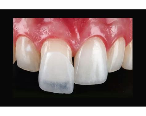
Hoy en día, podemos decir que, gracias a los avances y a las últimas tecnologías en Odontología Estética, las carillas dentales no dañan los dientes. Tradicionalmente, las carillas dentales de composite siempre han exigido tallar menos el diente que las de porcelana. Dicho esto, la necesidad de realizar el tallado depende de dos factores: la posición y el color. Si ambos aspectos son adecuados, no será necesario hacerlo. En cambio, si el diente se encuentra excesivamente adelantado o tiene un color muy amarillo sí que es necesario “tocar” la pieza dental. En estos casos, se llevará a cabo un tallado dental bajo anestesia local.
¿Se pueden blanquear las carillas dentales?
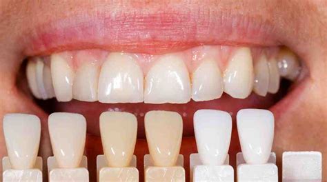
No, las carillas dentales no se pueden blanquear. Por ello, antes de colocarse una carilla es necesario asegurarse de que el color es el adecuado. Esto se consigue mediante las pruebas que realiza el odontólogo al paciente, en las que se determina cuáles son el color, la forma, el tamaño o la posición más adecuados. Además, a la hora de pensar en el color también es importante tener en cuenta el grosor de la carilla. La mayoría de las carillas estéticas que colocamos en nuestra clínica dental de Madrid son E-max o Lumineers. Esto quiere decir que tienen un grosor mínimo y que, además, son translúcidas para aportar naturalidad. Por tanto, si el color de nuestros dientes es amarillo y colocamos la carilla encima, este tono se transparentará y la sonrisa tendrá un aspecto amarillento.
¿Quién puede llevar carillas dentales y cuándo se recomiendan?
El procedimiento de colocación depende del tipo de carillas que vaya a llevar el paciente (porcelana, composite, disilicato de litio…). A la hora de elegir un tipo de carillas u otro es necesario acudir a la clínica dental y que sea el odontólogo quien aconseje el tipo de carilla más conveniente, en función de las necesidades de cada paciente.El precio de las carillas varía según el material elegido.
Beneficios y Contraindicaciones de las Carillas Dentales
El tratamiento de carillas dentales ofrece una serie de beneficios que hemos ido desgranando en este artículo. A grandes rasgos, podemos decir que lo mejor de las carillas es que ofrecen una mejora estética de la sonrisa a corto plazo. Hay personas que están interesados en llevar carillas dentales para mejorar su sonrisa pero tienen malposiciones muy severas. Esto hace que los profesionales recomienden al paciente la posibilidad de llevar ortodoncia. Cuando el paciente no tiene una buena mordida (clase II, clase III, mordida cruzada…) las carillas dentales también pueden estar contraindicadas porque hay riesgo de rotura.
Aunque en muchas ocasiones el hecho de padecer bruxismo se presente como una contraindicación, lo cierto es que en Ferrus&Bratos tratamos a pacientes que tienen este hábito y llevan carillas estéticas. No contar con una adecuada higiene bucodental no solamente es perjudicial para la salud dental, sino también para usar carillas dentales. La acumulación de sarro conlleva la aparición de inflamaciones en las encías o filtraciones. Si aun crees que las carillas están contraindicadas o pueden resultar un problema para ti, lo más adecuado es que acudas a un dentista especializado en Estética Dental avanzada. De esta manera, podrás saber con certeza cuál es el tratamiento que más se adapta a tus necesidades.
Cuidados y Mantenimiento de las Carillas Dentales
La duración de las carillas dentales está determinada por diversos factores, como los cuidados que siga el paciente en cuanto a higiene oral, alimentación, tabaco, hábitos, revisiones con el dentista, etc. Adicionalmente, la durabilidad del tratamiento también depende del material con el que están fabricadas las carillas y de la técnica de colocación (directa o indirecta). Por ello, no resulta posible determinar de antemano cuánto tiempo duran las carillas dentales. Lo que sí podemos decirte es que, con unos cuidados y unos mantenimientos adecuados, son un tratamiento pensado para durar a largo plazo.
A la hora de responder a esta pregunta es importante hacerse una idea de los años que van a durar las carillas dentales. Dichas indicaciones se centran en cepillarse los dientes después de cada comida, usar la seda dental, evitar el tabaco, utilizar una férula protectora por las noches y acudir al dentista con la regularidad establecida por este (normalmente, entre una y dos veces al año). Adicionalmente, es aconsejable tener ciertas precauciones al comer alimentos muy duros, disminuir el consumo de comidas o bebidas con mucha coloración y tener cuidado con ciertos movimientos al masticar.
Esperamos que esta guía te haya servido para resolver tus dudas acerca de las carillas o saber si es el tratamiento que quieres llevar a cabo. Reserva tu valoración gratuita hoy mismo en Ferrus & Bratos y transforma tu sonrisa. Nuestro equipo está listo para ayudarte a lograr el cambio que deseas.