Un puente dental es una solución protésica fija que reemplaza uno o más dientes perdidos, apoyándose en los dientes adyacentes. Este tratamiento es una alternativa común para restaurar la función y estética dental. A continuación, exploraremos en detalle el procedimiento, los riesgos asociados y las alternativas disponibles.

¿Qué es un Puente Dental Fijo?
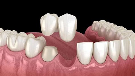
Un puente dental de 3 piezas (también llamado puente fijo dental de tres unidades) es una prótesis fija que reemplaza un diente perdido apoyándose en los dientes adyacentes. Imagina que te falta una pieza dental: el puente estará formado por tres coronas unidas entre sí - dos de esas coronas se cementarán sobre tus dientes naturales a cada lado del espacio (esos dientes se llaman pilares o dientes de soporte), y la tercera corona (llamada póntico) queda en medio, ocupando el lugar del diente ausente. Este tipo de prótesis es fija: a diferencia de una dentadura removible, no podrás quitarte el puente dental para limpiarlo; queda cimentado de forma permanente por el dentista sobre tus dientes naturales. Eso le da mayor estabilidad y comodidad, se siente como si fuera parte de tus propios dientes.
Por supuesto, para poder colocar un puente fijo de 3 piezas se requiere que tengas dientes sanos a ambos lados del espacio desdentado. En mi práctica, suelo explicarle al paciente que un puente de tres piezas es básicamente un “puente” con dos pilares y un diente artificial en el medio. Los materiales de esas coronas pueden variar: tradicionalmente se usaba metal-porcelana (estructura metálica interna recubierta de porcelana del color del diente), pero hoy en día también se emplean cerámica pura o zirconio. ¿Qué diferencia hay? El zirconio es un material de última generación muy resistente y estético, sin metal, ideal para muelas por su dureza. La porcelana sobre metal es un poco más económica pero puede presentar opacidad o fracturas de la cerámica con los años.
Tipos de Puentes Dentales
Existen varios tipos de puentes dentales, cada uno diseñado para situaciones específicas:
- Puente dental tradicional: Es el que describí arriba. Utiliza coronas en dos dientes pilares para sostener uno o más pónticos en medio. Es el más común y suele usarse cuando hay dientes naturales sanos a ambos lados del hueco.
- Puente cantiléver (en voladizo): Similar al tradicional, pero solo tiene soporte en un lado. Es decir, el póntico (diente falso) se ancla únicamente a un diente pilar. Este tipo se usa rara vez, solo cuando solo hay un diente adyacente disponible.
- Puente Maryland (adhesivo o con aletas): Es una opción más conservadora. En vez de tallar los dientes vecinos para colocar coronas completas, se utilizan estructuras metálicas o de porcelana en forma de “alas” que se pegan en la parte posterior de los dientes adyacentes. El diente falso queda en medio con esas aletas adhesivas a los lados. La ventaja es que no hay que desgastar tanto los dientes vecinos; la desventaja es que su adhesión puede no ser tan fuerte en zonas de mucha fuerza (por ejemplo, en molares suele despegarse).
- Puente soportado por implantes: En vez de apoyarse en dientes naturales, el puente se apoya sobre implantes dentales integrados en el hueso. Por ejemplo, si te faltan tres dientes consecutivos, podríamos colocar dos implantes (uno en cada extremo del tramo) y sobre ellos cimentar un puente de 3 piezas, donde los implantes actúan como pilares. Estos puentes no tocan para nada a otros dientes, y son muy estables. El contra es que requieren cirugía para instalar implantes y suelen demorar algunos meses de tratamiento en lo que los implantes se integran antes de colocar el puente definitivo.
El PUENTE DENTAL: Tipos, materiales, ventajas e inconvenientes - Recupera tu sonrisa | Dentalk! ©
¿Cuánto Cuesta un Puente Dental?
El precio de un puente dental fijo de 3 piezas puede variar muchísimo según el país, la ciudad, el tipo de clínica, el material utilizado y la complejidad del caso.
- En España: El coste de un puente de 3 unidades suele situarse en un rango medio de 1.000 a 1.800 euros aproximadamente para un puente sobre dientes naturales. En clínicas privadas de prestigio, un puente de 3 piezas sobre dientes puede cotizarse alrededor de 2.000 € (especialmente si es de zirconio), mientras que en cadenas dentales o con seguro, podrías encontrar ofertas en torno a 1.100-1.300€.
- En Latinoamérica: Los precios varían por país pero tienden a ser más económicos (en moneda internacional) que en Europa o Estados Unidos, aunque para los pacientes locales puede seguir siendo una inversión significativa. En general, un puente de 3 piezas en Latinoamérica puede costar del equivalente a 500 hasta 1500 USD en promedio, dependiendo del país y la clínica.
Factores que influyen en el costo:
- Material de las coronas (metal-porcelana vs. zirconio).
- Número de piezas que abarca el puente.
- Si va sobre dientes naturales o sobre implantes.
- Tratamientos previos necesarios.
- Necesidad de puente provisional.
- Clínica y profesional.
- País o región.
Tabla Comparativa de Precios
| País | Material | Precio Aproximado (EUR) |
|---|---|---|
| España | Metal-Porcelana | 900 - 1200 |
| España | Zirconio | 1200 - 1800 |
| México | Zirconio | 900 - 1900 |
| Latinoamérica (Promedio) | Varios | 500 - 1500 USD |
Procedimiento para Colocar un Puente Dental Fijo
Colocar un puente dental requiere de varias citas y pasos:
- Evaluación inicial y plan: Examen profundo de la boca y radiografías para evaluar los dientes pilares.
- Preparación (tallado) de los dientes pilares: Desgaste de los dientes vecinos al espacio para crear el espacio para las coronas del puente.
- Toma de impresiones: Registro preciso de la forma de los dientes tallados y el espacio.
- Colocación de un puente provisional: Coronas temporales unidas que tapan los dientes tallados y reemplazan el diente faltante.
- Prueba del puente definitivo: Revisar el ajuste, mordida y estética del puente.
- Cementación final: Fijación permanente del puente con un cemento dental especial.
- Revisiones y ajustes posteriores: Chequear la adaptación y realizar ajustes menores si es necesario.

Ventajas y Desventajas de un Puente Dental
Ventajas
- Recuperación rápida de estética y función.
- Procedimiento sencillo y no quirúrgico (en comparación con implantes).
- Solución fija y cómoda.
Desventajas
- Requiere alterar dientes adyacentes sanos.
- La higiene puede ser más difícil.
- Menor durabilidad a largo plazo en comparación con implantes.
Riesgos Asociados a los Implantes Dentales
Los implantes dentales, aunque son una solución duradera, pueden presentar algunos riesgos:
- Dolor e inflamación: Es normal experimentar dolor, hinchazón y hematomas en el área tratada.
- Infección: Existe el riesgo de infección en el sitio del implante.
- Daño a nervios y estructuras adyacentes: La colocación de implantes puede dañar los nervios, causando dolor o entumecimiento.
- Rechazo del implante: Aunque es raro, el cuerpo puede rechazar el implante.
- Problemas de seno maxilar: En el caso de implantes en el maxilar superior, existe el riesgo de que el implante invada el seno maxilar.
- Pérdida ósea: A largo plazo, puede haber pérdida de hueso alrededor del implante.
- Reacciones alérgicas: Algunos pacientes pueden tener una reacción alérgica al titanio.
Alternativas a los Implantes Dentales
Si no se reemplazan los dientes faltantes pueden desencadenarse una serie de reacciones adversas que provocan alteración en el habla, la masticación, pérdida de autoestima, preocupaciones estéticas y de apariencia, entre otras consecuencias. La prótesis fija sobre dientes o puente dental fijo, es una de las opciones más exitosas y seguras, cuando no podemos colocar implantes dentales, y sirven para reemplazar tramos cortos donde hay ausencia de dientes.
Cuidados y Mantenimiento de un Puente Dental
- Mantenga una correcta higiene de su prótesis corona-puente siguiendo las instrucciones dadas por su dentista.
- Limpie dichos pilares, por debajo del puente de porcelana o similares, mediante los cepillos e hilos especiales para tal fin recomendados por su dentista.
- Las revisiones y controles, para el buen mantenimiento de sus prótesis con implantes, son imprescindibles.
- Acuda rápidamente a la clínica si nota alguna molestia o movilidad en el puente.