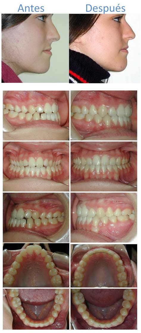
Cada vez son más las personas que se preocupan por la estética dental y optan por realizarse tratamiento de Ortodoncia para conseguir una perfecta sonrisa. Algunos pacientes de ortodoncia presentan reservas hacia los posibles cambios que el aparato puede producir en las facciones de su rostro. En este artículo queremos mostrarte el antes y después de algunos de nuestros pacientes reales que han sido tratados en nuestra Clínica Perios Laura Salanova. No hay duda de que los tratamientos ortodónticos, tales como los alineadores invisibles o los brackets, pueden transformar la apariencia de tu sonrisa y la funcionalidad de tus dientes. Con estos tratamientos devolvemos a nuestros pacientes la confianza que necesitan para mostrar su dentadura con orgullo.
Tratamientos personalizados en Ortodoncia, así es como trabajamos en nuestra clínica para corregir problemas de oclusión tales como malposiciones y rotaciones dentarias o dificultades en la mordida. Un aparato de ortodoncia no tiene por qué cambiar siempre los rasgos de la cara de una persona, pero es muy habitual que los problemas incluyan afecciones mandibulares con trastornos de la mordida.
Dado que los dientes no se pueden colocar correctamente y dejar al paciente con su forma de cara original, el cambio en la cara es inevitable. Como siempre están a favor de la armonía facial, los cambios siempre son a mejor. Además, cuando la cierran a propósito, la apariencia resulta forzada. Aparte de los dientes, los tratamientos de ortodoncia también inciden en la anchura del paladar. Una vez finalizado el tratamiento de ortodoncia, también pueden alterar la posición de los labios y las mejillas.
BRACKETS para 𝗗𝗜𝗘𝗡𝗧𝗘𝗦 𝗦𝗨𝗣𝗘𝗥𝗜𝗢𝗥𝗘𝗦 𝗔𝗗𝗘𝗟𝗔𝗡𝗧𝗔𝗗𝗢𝗦 ✅ 𝗖𝗟𝗔𝗦𝗘 𝟮 Ortodoncia TRATAMIENTO (SI, TIENE SOLUCIÓN👌)
¿Cómo es posible que la ortodoncia modifique el rostro?
Cuando llevas brackets, aplicamos presión controlada sobre tus dientes para moverlos a la posición correcta. Esa presión se transmite al hueso que rodea al diente a través del ligamento periodontal (un tejido que actúa como amortiguador entre diente y hueso). El hueso, que es un tejido vivo, responde remodelándose: se reabsorbe donde el diente ejerce presión y se forma hueso nuevo donde hay espacio vacío conforme el diente avanza.
Imagínate que tu cara es como una carpa de campaña, y los dientes junto con los huesos maxilares (mandíbula superior e inferior) son los postes que la sostienen. Si mueves la posición de esos postes, el «lienzo» (tus labios, mejillas, perfil facial) también se ajusta. En otras palabras, los dientes y huesos maxilares son el soporte de los tejidos faciales (labios, músculos, piel) que dan forma a tu rostro.
Los dientes frontales sirven de soporte a los labios. Si tus incisivos superiores estaban muy hacia adelante y los echamos ligeramente hacia atrás con ortodoncia, tu labio superior ya no estará tan proyectado; adquirirá un perfil más plano. La posición de la mandíbula (maxilar inferior) define tu perfil y la forma de tu mentón. Una mandíbula desalineada (por ejemplo, muy hacia atrás o hacia adelante) hace que ciertas zonas de la cara se vean desproporcionadas (mentón muy metido o muy salido, por ejemplo). Los arcos dentales (maxilar superior e inferior) determinan la anchura de tu sonrisa y la forma de tus mejillas. Si tenías un arco muy estrecho (paladar contraído), es posible ensancharlo un poco con la ortodoncia o expansores, lo que puede hacer que tus mejillas se vean más llenas al sonreír y que se te vea más «tejido de sonrisa» (menos comisuras vacías).
El ajuste de la mordida (cómo encajan los dientes de arriba con los de abajo) afecta a la postura de la mandíbula en reposo y al ángulo labio-nasal (la inclinación entre la base de la nariz y el labio superior). Al corregir la mordida, la simetría facial mejora y, de perfil, la transición nariz-labios-mentón se ve más suave.
La ortodoncia considera no solo tus dientes, sino toda tu estructura orofacial al planificar el tratamiento. Yo, como ortodoncista, estudio fotografías, radiografías y modelos de tus dientes antes de empezar, precisamente para anticipar cómo impactarán los movimientos dentales en tu estética facial. Nuestro objetivo es mejorar tu sonrisa y tu perfil a la vez que corregimos la alineación dental y la mordida. Nota: en pacientes jóvenes (niños y adolescentes) los cambios faciales pueden ser más notables que en adultos, porque sus huesos aún están en crecimiento y la ortodoncia puede guiarlos en cierta dirección.
Aun así, incluso a los 30, 40 o más, una ortodoncia bien llevada puede lograr mejoras estéticas apreciables en el rostro. No todas las personas experimentarán los mismos cambios; todo depende de tu caso inicial.
Tratamientos de ortodoncia: Casos reales antes y después
Hay un tratamiento odontológico cuya efectividad y beneficios son muy sencillos de demostrar: la ortodoncia. En este artículo profundizaremos en diferentes malposiciones y maloclusiones dentales (diastema o dientes separados, el apiñamiento, la agenesia, la sobremordida o la mordida cruzada) y veremos cómo se solucionan con ortodoncia (con brackets o alineadores invisibles).

Diastema antes y después de usar ortodoncia
Se le llama diastema al espacio o hueco que hay entre dos dientes (normalmente los incisivos centrales superiores, también conocidos como “paletas”). Aunque estéticamente no suele suponer un problema, en términos de salud sí que lo puede llegar a ser. Si los diastemas no se tratan, pueden conllevar caries, desalineamiento de la mandíbula, problemas de encías, etcétera. Los dientes separados antes y después del uso de ortodoncia invisible o brackets cambian muchísimo, ya que se consiguen juntar sin problema. Es por eso que, aplicar una ligera presión en los dientes con ortodoncia en dientes separados, es una buena opción. A continuación podrás ver el efecto de la ortodoncia en dientes separados antes y después.

Dientes apiñados antes y después de usar ortodoncia
El apiñamiento dental es una malposición en la que los dientes se han solapado por falta de espacio. Afortunadamente, la ortodoncia antes y después del apiñamiento dental se nota muchísimo. Gracias a los brackets o a los alineadores invisibles, se puede corregir fácilmente este problema que puede derivar en gingivitis, periodontitis, pérdida del hueso dental o dificultad para hablar, entre otros. A continuación, veremos el antes y el después en un caso de dientes apiñados que consiguen corregirse gracias a un tratamiento ortodóntico.

Mordida abierta antes y después de usar ortodoncia
Una mordida abierta es un tipo de maloclusión o una desalineación en los dientes que hace que el arco dental superior y el inferior no hagan contacto al cerrar la boca. En los casos más complejos de mordida abierta se requiere cirugía. Sin embargo, en la mayoría de casos,la diferencia entre los brackets antes y después de la mordida abierta, es más que notable, como se puede observar en la siguiente foto.

Sobremordida antes y después de su corrección
La sobremordida es una malposición en la que el arco dental superior cubre el arco inferior en exceso o casi por completo. Si la sobremordida (o sobremordida profunda) se origina en los huesos, tendremos que llevar a cabo una operación para poder ver los cambios del antes y después. Si, por el contrario, el problema solo está en los dientes y necesitan ser reposicionados, con un tratamiento ortodóntico ya se puede solucionar. Es decir, que en este caso, el solo uso de brackets o de alineadores podría solucionarla.

El prognatismo antes y después de usar alineadores o brackets
El prognatismo es una maloclusión dental, igual que la sobremordida, pero a la inversa. Es decir, que la mandíbula inferior sobresale de la superior cubriendo parcialmente los dientes superiores. En la infancia, antes de que los dientes estén totalmente desarrollados, es posible tratar el prognatismo con dispositivos de ortodoncia tradicionales como brackets o con ortodoncia invisible (alineadores transparentes). En adultos (después de que los dientes ya estén totalmente desarrollados), será mucho más probable tener que recurrir a una cirugía. Sin embargo, siempre dependerá de la gravedad del caso.

Overjet antes y después de usar ortodoncia invisible o brackets
Decimos que una dentadura tiene overjet cuando los incisivos superiores tienen una ligera protuberancia respecto a los dientes de abajo y, además, crean un ángulo hacia fuera. Como en el caso de la sobremordida o del prognatismo, las principales consecuencias son problemas al masticar y el cambio en la forma de la cara. Depende de la gravedad del caso, se usará cirugía u ortodoncia para remediar este tipo de maloclusión.

Agenesia dental antes y después
Uno de los problemas dentales más desconocidos es la agenesia o ausencia dental. Este tipo de anomalía se refiere a, como el nombre indica, la falta de alguna pieza dental. El motivo de la agenesia dental es que el diente no se forma y, por lo tanto, hay un hueco entre las piezas dentales contiguas. En algunos casos, la agenesia dental puede requerir solamente un tratamiento de ortodoncia invisible o brackets para solucionarlo y poder ver los cambios entre el antes y el después.
¿Cómo cambia la cara con brackets según el tipo de problema?
A continuación, veremos cómo cambia la cara con brackets según el tipo de problema de mordida o alineación que tengas. Si identificas tu caso, entenderás qué transformación facial por brackets es posible.
Mordida Abierta
¿Qué es? Una mordida abierta ocurre cuando al cerrar la boca, quedan espacios abiertos entre los dientes frontales (superiores e inferiores) porque no contactan. En otras palabras, los dientes de adelante no encajan y es como si siempre estuvieras dejando un huequito al morder.
¿Cómo afecta la cara? Las personas con mordida abierta a menudo tienen un aspecto de cara alargada, especialmente en la zona inferior del rostro. Al no poder cerrar bien los labios, la boca tiende a estar entreabierta en reposo, dando una apariencia de estar “boquiabierto” permanente. El mentón puede lucir más hacia abajo y la expresión facial cambia (a veces parece de asombro o cansancio debido a la postura labial).
¿Qué hace la ortodoncia? Con brackets (y a veces apoyos extra como elásticos verticales o dispositivos especiales), podemos cerrar la mordida abierta haciendo que los dientes frontales superiores e inferiores entren en contacto adecuado. Esto conlleva un reposicionamiento de la mandíbula y un entrenamiento de los músculos faciales para que los labios puedan cerrarse cómodamente.
Cambio visible: El antes y después es notable: de un rostro donde los labios no cerraban y se veía alargado, se pasa a un rostro más corto y armonioso. Los labios descansan juntos, dando una expresión más relajada. Muchos pacientes con mordida abierta corregida comentan que “por fin puedo sonreír sin mostrar tanto la encía” o que su expresión parece más alegre y natural.
Mordida cruzada anterior (Prognatismo)
¿Qué es? Hablamos de mordida cruzada anterior cuando la mandíbula inferior muerde por delante de la superior. Es lo que coloquialmente muchos llaman “prognatismo” o tener la “mandíbula salida”.
¿Cómo afecta la cara? Este tipo de maloclusión hace que el mentón se vea muy prominente y la cara adquiera un perfil cóncavo (hundido a la altura de la boca pero con la barbilla marcada). De frente, puede notarse una mandíbula ancha o dominante. Muchos famosos con este rasgo lo muestran en un perfil estilo Jay Leno (mentón hacia afuera).
¿Qué hace la ortodoncia? Con ortodoncia podemos corregir en parte el prognatismo, especialmente si se trata de un problema dental (y no solo óseo). Esto implica llevar los dientes inferiores hacia atrás y/o los superiores hacia adelante hasta que encajen correctamente. A veces, si la discrepancia es grande, se combinan brackets con tratamiento ortopédico en edad temprana (máscaras faciales, mentoneras) o con cirugía ortognática en adultos para ajustar la posición ósea.
Cambio visible: Al finalizar, la zona del mentón se ve menos prominente. El perfil deja de ser tan cóncavo para volverse más recto o convexo suave (lo ideal). Básicamente, quitamos ese efecto de “bulldog” que tenía el perfil. La gente suele notar que el paciente “suavizó su expresión” o que “ya no tiene la barbilla tan salida”. El contorno mandibular se equilibra con el resto de la cara. De nuevo, es un cambio favorable: pasamos de un perfil duro o marcado a un rostro más dulce y armónico, manteniendo eso sí la esencia de la persona (no le vamos a borrar el hoyuelo de la barbilla si lo tenía, ¡y tampoco queremos!
Sobremordida Excesiva
¿Qué es? La sobremordida excesiva ocurre cuando los incisivos superiores cubren demasiado a los inferiores al morder. En casos extremos, los dientes de abajo prácticamente ni se ven porque quedan tapados por completo por los de arriba; incluso pueden morder el paladar.
¿Cómo afecta la cara? Las personas con sobremordida profunda tienden a tener el mentón retraído (mandíbula inferior pequeña o hacia atrás) y a veces un aspecto de cara más redonda o cuadrada con mejillas un poco hundidas. ¿Por qué hundidas? Porque la mordida profunda a menudo va con un colapso de la dimensión vertical (la altura de la mordida es menor de lo normal), entonces el tercio inferior de la cara es más corto y los tejidos de mejillas y labios pueden quedar con menos soporte, dando un aspecto algo envejecido o de papada incipiente.
¿Qué hace la ortodoncia? Con brackets corregimos la sobremordida elevando los dientes inferiores y/o bajando los superiores (simplificando la explicación) hasta que haya una mordida ideal: los incisivos de arriba cubriendo solo ~2mm de los de abajo. También reducimos el overjet (distancia horizontal) si los de arriba estaban muy adelante, usualmente retrayéndolos un poco. Al hacer esto, damos espacio al mentón para expresarse.
Cambio visible: El cambio estrella aquí es que el paciente, de tener un mentón poco definido o “metido”, pasa a lucir un perfil más recto, con el mentón más marcado. ¡Ojo! No es que mágicamente crezca el hueso del mentón, pero al corregir la posición relativa de los huesos, el mentón se nota más. También las mejillas se ven menos hundidas porque al mejorar la mordida, la altura del tercio inferior aumenta un poquito, “estirando” la cara en el buen sentido y permitiendo que los tejidos se reubiquen. Muchas personas parecen incluso más jóvenes tras corregir una sobremordida severa, porque desaparece ese gesto como de papada o de boca muy cerrada. En fotos de antes y después, la cara pasa de un aspecto más aplastado en la parte inferior a uno más esbelto y proporcionado.
Tabla comparativa de maloclusiones y su impacto facial
Para resumir estos conceptos, aquí tienes una tabla comparativa de cómo algunas maloclusiones típicas impactan el rostro antes vs. después del tratamiento ortodóntico:
| Problema dental (Maloclusión) | Apariencia facial ANTES (sin tratar) | Apariencia facial DESPUÉS (tras ortodoncia) |
|---|---|---|
| Mordida abierta (espacio entre incisivos sup. e inf.) | Cara alargada, boca entreabierta, expresión tensa. | Rostro más corto y armonioso, labios relajados. |
| Mordida cruzada anterior (mandíbula prominente) | Mentón muy marcado, perfil cóncavo, expresión dura. | Perfil más recto, mentón menos prominente, expresión suave. |
| Sobremordida excesiva (incisivos superiores cubren demasiado) | Mentón retraído, cara redonda/cuadrada, mejillas hundidas. | Perfil más recto, mentón más definido, mejillas con mejor soporte. |
| Apiñamiento dental severo | Sonrisa estrecha o asimétrica. | Sonrisa más amplia y simétrica. |
| Dientes protruidos hacia adelante | Labios sobresalientes, dificultad para cerrarlos. | Perfil más recto, labios más planos, fácil cierre labial. |
Nota: cada caso es único; la tabla muestra tendencias generales. Como ves, en todos los casos el denominador común es que el cambio va en beneficio de la armonía facial. La ortodoncia bien realizada nunca busca desmejorar tu estética, al contrario: su objetivo es alinear la funcionalidad con la belleza natural de tu rostro.
¿Los brackets cambian la forma de la nariz?
Esta es una pregunta curiosa pero frecuente. No, los brackets no cambian la forma de tu nariz: ni el tamaño, ni la anchura, ni la punta… Al fin y al cabo, la nariz es cartílago y hueso nasal, estructuras en las que la ortodoncia no interviene. ¿Por qué surge la duda entonces? Porque cuando modificamos la posición de los dientes y labios, la percepción de la nariz en el conjunto facial puede cambiar. Por ejemplo, si antes tenías un perfil muy convexo (labios adelantados) y la nariz parecía pequeña en proporción, tras ortodoncia tu perfil es más recto y tu nariz podría verse un poquito más prominente en comparación (simple ilusion óptica al cambiar el entorno). En definitiva, tu nariz sigue siendo la misma, pero el marco facial alrededor cambia ligeramente y eso puede hacer que la veas diferente.
tags: #cambio #de #perfil #con #ortodoncia