Como odontólogo con años de experiencia, comprendo la preocupación que surge al necesitar un puente dental de 3 piezas. Muchos pacientes preguntan: "¿Cuánto cuesta un puente dental fijo? ¿Me conviene más un implante? ¿Cómo se coloca y cuánto me va a durar?". En este artículo, responderé todas esas preguntas para que tengas la información necesaria para tomar la mejor decisión sobre tu salud bucal.

¿Qué es un Puente Dental de 3 Piezas?
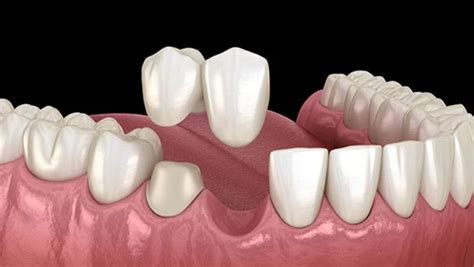
Un puente dental de 3 piezas, también llamado puente fijo dental de tres unidades, es una prótesis fija que reemplaza un diente perdido apoyándose en los dientes adyacentes. Imagina que te falta una pieza dental: el puente estará formado por tres coronas unidas entre sí. Dos de esas coronas se cementarán sobre tus dientes naturales a cada lado del espacio (esos dientes se llaman pilares o dientes de soporte), y la tercera corona (llamada póntico) queda en medio, ocupando el lugar del diente ausente.
Este tipo de prótesis es fija: a diferencia de una dentadura removible, no podrás quitarte el puente dental para limpiarlo; queda cimentado de forma permanente por el dentista sobre tus dientes naturales. Eso le da mayor estabilidad y comodidad, se siente como si fuera parte de tus propios dientes. Por supuesto, para poder colocar un puente fijo de 3 piezas se requiere que tengas dientes sanos a ambos lados del espacio desdentado.
En mi práctica, suelo explicarle al paciente que un puente de tres piezas es básicamente un “puente” con dos pilares y un diente artificial en el medio. Los materiales de esas coronas pueden variar: tradicionalmente se usaba metal-porcelana (estructura metálica interna recubierta de porcelana del color del diente), pero hoy en día también se emplean cerámica pura o zirconio. ¿Qué diferencia hay? El zirconio es un material de última generación muy resistente y estético, sin metal, ideal para muelas por su dureza. La porcelana sobre metal es un poco más económica pero puede presentar opacidad o fracturas de la cerámica con los años.
Tipos de Puentes Dentales
- Puente dental tradicional: Es el que describí arriba. Utiliza coronas en dos dientes pilares para sostener uno o más pónticos en medio. Es el más común y suele usarse cuando hay dientes naturales sanos a ambos lados del hueco.
- Puente cantiléver (en voladizo): Similar al tradicional, pero solo tiene soporte en un lado. Es decir, el póntico (diente falso) se ancla únicamente a un diente pilar. Este tipo se usa rara vez, solo cuando solo hay un diente adyacente disponible.
- Puente Maryland (adhesivo o con aletas): Es una opción más conservadora. En vez de tallar los dientes vecinos para colocar coronas completas, se utilizan estructuras metálicas o de porcelana en forma de “alas” que se pegan en la parte posterior de los dientes adyacentes. El diente falso queda en medio con esas aletas adhesivas a los lados. La ventaja es que no hay que desgastar tanto los dientes vecinos; la desventaja es que su adhesión puede no ser tan fuerte en zonas de mucha fuerza (por ejemplo, en molares suele despegarse).
- Puente soportado por implantes: En vez de apoyarse en dientes naturales, el puente se apoya sobre implantes dentales integrados en el hueso. Por ejemplo, si te faltan tres dientes consecutivos, podríamos colocar dos implantes (uno en cada extremo del tramo) y sobre ellos cimentar un puente de 3 piezas, donde los implantes actúan como pilares. Estos puentes no tocan para nada a otros dientes, y son muy estables. El contra es que requieren cirugía para instalar implantes y suelen demorar algunos meses de tratamiento en lo que los implantes se integran antes de colocar el puente definitivo.
Como ves, “puente dental” puede referirse a varias técnicas, pero si has llegado buscando específicamente “puente dental de 3 piezas”, casi siempre hablamos del puente fijo tradicional de un solo diente ausente con dos coronas de soporte.
¿Cuánto Cuesta un Puente Dental Fijo de 3 Piezas?
El PUENTE DENTAL: Tipos, materiales, ventajas e inconvenientes - Recupera tu sonrisa | Dentalk! ©
El precio de un puente dental fijo de 3 piezas puede variar muchísimo según el país, la ciudad, el tipo de clínica, el material utilizado y la complejidad del caso.
Precios en España
En España, el coste de un puente de 3 unidades suele situarse en un rango medio de 1.000 a 1.800 euros aproximadamente para un puente sobre dientes naturales. En clínicas privadas de prestigio, un puente de 3 piezas sobre dientes puede cotizarse alrededor de 2.000 € (especialmente si es de zirconio), mientras que en cadenas dentales o con seguro, podrías encontrar ofertas en torno a 1.100-1.300€. De hecho, según un cuadro comparativo de tarifas de aseguradoras, muchos seguros dentales en España tasan el puente de 3 piezas entre 1.060 € y 1.230 € (precio para asegurados, sin contar la prima mensual).
En una clínica local promedio, un puente de metal-porcelana suele costar un poco menos, digamos entre 900 € y 1.200 €, mientras que de zirconio puede ir de 1.200 € hasta 1.800 €.

Precios en Latinoamérica
En Latinoamérica, los precios varían por país pero tienden a ser más económicos (en moneda internacional) que en Europa o Estados Unidos, aunque para los pacientes locales puede seguir siendo una inversión significativa. Por ejemplo, en México un puente fijo de 3 unidades de zirconio tiene un costo aproximado entre $18,000 y $40,000 pesos mexicanos lo que equivale a unos 900 a 1.900 € al tipo de cambio actual (o unos 1.000 a 2.200 USD). En clínicas de México DF o Monterrey he visto ofertas hacia la parte baja de ese rango para materiales metal-porcelana, y hacia la parte alta para zirconio de última generación.
En otros países latinoamericanos como Colombia, Perú o Argentina, el rango puede ser distinto según la economía local - por ejemplo, en Argentina algunos profesionales mencionan cifras del orden de 150.000 a 250.000 pesos argentinos por rehabilitaciones fijas similares (aunque con la inflación esa referencia puede cambiar rápido). En general, un puente de 3 piezas en Latinoamérica puede costar del equivalente a 500 hasta 1500 USD en promedio, dependiendo del país y la clínica.
Consejo: Desconfía de precios excesivamente bajos. Hacer un puente fijo de calidad implica usar buenos materiales (coronas bien hechas en laboratorio, quizá de zirconio o porcelana de alta resistencia) y un trabajo minucioso del dentista. Si encuentras una oferta muy barata, asegúrate de que incluya todo el tratamiento (preparación, provisionales, control de ajuste, etc.) y que el material sea duradero.
Factores que Influyen en el Costo
¿Por qué puede costarle a una persona $700 dólares y a otra $2.000 el mismo “puente de 3 piezas”? Pues porque no siempre es el mismo caso.
- Material de las coronas: No es lo mismo un puente de metal-porcelana (más económico) que uno totalmente cerámico o de zirconio (más caro). El zirconio suele encarecer el tratamiento, pero ofrece mejor estética y durabilidad.
- Número de piezas que abarca el puente: Aquí hablamos de uno de 3 piezas, pero hay puentes más largos (por ejemplo, de 4 o 5 unidades). Cuantas más coronas y pónticos, mayor será el costo, porque básicamente se cobra por pieza adicional. Un puente de 4 piezas puede costar un 20-30% más que uno de 3 piezas del mismo material, según tarifas orientativas (ejemplo: 4 piezas metal-cerámica ~1.100-1.600 €, vs 3 piezas ~900-1.200 €).
- Si va sobre dientes naturales o sobre implantes: Este punto es crucial. No es lo mismo hacer un puente apoyado en dientes que ya tienes, que hacer un puente sobre implantes dentales. Si necesitas implantes, el precio se dispara porque incluye las cirugías de implante, aditamentos protésicos y más sesiones. Por ejemplo, en España un puente de 3 piezas sobre implantes puede costar de 3.000 a 5.000 € (incluyendo dos implantes), comparado con ~1.100-2.100 € sobre dientes naturales. Un proveedor de seguros en España daba precios desde ~3.377 € para puente de 3 piezas con implantes vs ~1.230 € sobre dientes.
- Tratamientos previos necesarios: Cada boca es un mundo. Puede que antes de colocarte el puente haya que realizar otros procedimientos, y eso sumará al costo. Por ejemplo, si los dientes pilares tienen caries o empastes antiguos, quizás haya que hacer reconstrucciones o endodoncias (tratamiento de nervio) para dejarlos aptos y fuertes. A veces se requiere una limpieza dental profunda o tratar encías (si hay gingivitis o periodontitis) antes de proseguir. Todos esos son costos adicionales que no siempre están incluidos en el “precio del puente” que ves anunciado.
- Necesidad de puente provisional: Durante el tiempo que esperas tu puente definitivo del laboratorio, probablemente lleves un puente provisional de acrílico para no quedar con los dientes tallados al descubierto. Algunos presupuestos incluyen este provisional, otros lo cobran aparte.
- Clínica y profesional: Honestamente, la reputación y ubicación de la clínica también influyen. Una clínica de barrio podría tener tarifas más bajas que una clínica de alta tecnología en el centro de una gran ciudad. La experiencia del odontólogo, las garantías que ofrece, si cuenta con tecnología digital (escáner intraoral, fresado CAD/CAM) - todo eso puede reflejarse en el precio final.
- País o región: Ya lo mencionamos pero lo recalco: no costará lo mismo en España, México o Estados Unidos. Por ejemplo, en EE.UU. un puente de 3 unidades típicamente cuesta entre $2.000 y $5.000 dólares (USD), bastante más que en la mayoría de países hispanohablantes.
En cualquier caso, siempre pide un presupuesto detallado por escrito. Un buen profesional te desglosará todo lo incluido: número de piezas, material, si incluye provisionales, revisiones, garantías, etc. En mi caso, por ejemplo, entrego un plan de tratamiento donde especifico “Puente fijo 3 unidades porcelana sobre metal, incluye preparación de pilares, provisional y cementado definitivo” con su costo total, para que el paciente tenga claridad y no haya “sorpresas” luego.
¿Cómo se Coloca un Puente Dental Fijo?
Cuando los pacientes me preguntan sobre el procedimiento, trato de explicarlo de forma simple. Colocar un puente dental requiere de varias citas y pasos, pero no te preocupes, que te acompañaremos en todo el proceso.

- Evaluación inicial y plan: Primero, examino tu boca en profundidad. Tomamos radiografías para evaluar los dientes pilares y la zona edéntula (sin diente). Verifico que los dientes de soporte estén sanos o si necesitan algún tratamiento previo (ej. una endodoncia si el nervio está dañado, o reforzar con pernos si están muy desgastados). En esta cita planificamos el puente: decido junto contigo el material de las coronas (porcelana, zirconio, etc.), tomamos color de tus dientes para que el puente sea del mismo tono, y planificamos si se hará un provisional.
- Preparación (tallado) de los dientes pilares: En la siguiente visita, te aplicaré anestesia local en los dientes vecinos al espacio para trabajarlos sin dolor. Luego, procedo a desgastar esos dientes pilares alrededor de toda su superficie (como 1-1.5 mm de espesor) para crear el espacio donde irán las coronas del puente. Básicamente hacemos que tus dientes se vuelvan muñones más pequeños, sobre los que calzarán las fundas. Si tenían caries o empastes, se limpia todo eso durante el tallado. ¿Es invasivo? Un poco, porque removemos algo de esmalte, pero es necesario para que luego el puente no quede demasiado “gordo”. Tras tallarlos, tomo una impresión (molde) de la zona: esto puede ser con pasta de alginato/silicona o con un escáner intraoral digital, dependiendo de la tecnología disponible. Esa impresión registra con precisión la forma de los dientes tallados y el espacio, y la enviaré al laboratorio dental donde fabricarán tu puente a medida.
- Colocación de un puente provisional: Mientras el puente definitivo se hace, coloco un puente provisional de resina acrílica: es algo así como coronas temporales unidas que tapan los dientes tallados y reemplazan el diente faltante, para que no te vayas a casa “mellado” ni con los muñones expuestos.
- Prueba del puente definitivo: Tras unos días (usualmente 1 a 2 semanas, dependiendo del laboratorio y el material), tu puente fijo permanente estará listo. Te citaré para probarlo en boca antes de cementarlo definitivamente. En esa cita, retiro con cuidado el puente provisional y coloco el puente definitivo sobre los pilares. Aquí revisamos varias cosas: que ajuste bien (margen sin espacios, buena adaptación), que la mordida oclusión esté correcta (que no quede alto o te haga contacto prematuro al morder), y por supuesto la estética: el color y forma de las coronas deben verse naturales junto a tus dientes. Te daré un espejo y juntos evaluaremos la apariencia. Si algo necesita ajuste, se anota.
- Cementación final: Una vez tanto tú como yo estamos conformes con cómo quedó, fijamos permanentemente el puente con un cemento dental especial. Preparo el interior de las coronas del puente, coloco el cemento (puede ser un tipo de resina adhesiva o cemento de ionómero, según el caso) y asiento el puente sobre los dientes pilares. Se remueve el exceso de cemento y ¡listo!, el puente queda pegado de forma firme.
- Revisiones y ajustes posteriores: Te pediré que vuelvas en una semana aproximadamente para chequear cómo te has adaptado. En esa cita reviso las encías alrededor del puente (que estén sanas, sin irritación), confirmo la mordida de nuevo y hago ajustes menores si es necesario (por ejemplo, pulir algún puntito que moleste la lengua). También resolveremos cualquier duda que tengas ya usándolo en tu día a día.
Como ves, colocar un puente fijo es un proceso que puede tomar un par de semanas, entre la preparación y la entrega final. Durante todo ese tiempo no estarás nunca sin dientes, gracias al puente provisional. Y en cuanto al dolor, realmente las molestias son mínimas: con anestesia local no sientes el tallado, y luego podrías tener una ligera sensibilidad en los pilares durante unos días (que se controla con analgesia suave si hiciera falta). Muchos pacientes me dicen después “¡era más el miedo que otra cosa, doctora!”.
Ventajas y Desventajas de un Puente Dental Fijo
Como profesional, siempre le explico al paciente los pros y contras de cada opción.
Ventajas
- Recuperas estética y función rápidamente: En cuestión de un par de semanas vuelves a tener un diente donde te faltaba. Podrás sonreír, masticar y hablar con normalidad, sin el hueco antiestético.
- Procedimiento sencillo y no quirúrgico: A diferencia de un implante dental (que requiere cirugía en el hueso), el puente fijo se coloca trabajando solo sobre los dientes presentes. No hay cirugía, puntos ni implantes metálicos involucrados (salvo que sea un puente sobre implantes, claro).
- Solución fija y cómoda: El puente va cementado, no ti...
Alternativas a los Implantes Dentales
Por su efectividad, garantía y mayor tasa de éxito, los implantes dentales son el tratamiento más recomendado para sustituir una o varias piezas dentales. Sin embargo, existen alternativas para aquellos pacientes con pánico a someterse a una intervención o que presentan problemas funcionales que impiden la colocación de implantes.
Prótesis Fija Sobre Dientes o Puente Dental Fijo
Es una de las opciones más exitosas y seguras, cuando no podemos colocar implantes dentales, y sirven para reemplazar tramos cortos donde hay ausencia de dientes. Sin embargo, existe cierta dificultad para mantener una higiene óptima en los puentes, aumentando el riesgo de caries e infecciones en los dientes pilares sobre los que se apoya.
Prótesis Removible o "Dentadura Postiza"
Para mantener una higiene óptima, es necesario retirarlas y limpiarlas cada día, lo cual permite que las encías descansen un rato sin ellas. Al no existir estímulos de presión, el hueso se irá reabsorbiendo bajo la prótesis, hasta el punto que esta se irá desajustando e irá aumentando la movilidad.
Siempre te recomendaremos la solución de los implantes dentales, pero, hay casos en lo que esta solución no es posible. Y, por otro lado, de problemas funcionales del estado de los dientes y hueso maxilar, como cuando presenta un deterioro severo que impide la colocación de implantes.
Precios de Prótesis Dentales en España
El precio de las prótesis dentales en España varía mucho en función del tipo que sea y de la clínica. En Ferrus&Bratos te entregarán un presupuesto por escrito, pormenorizado y cerrado con todos los procedimientos y pasos que necesitas para llevar tu prótesis dental.
Las coronas o fundas dentales cubren a un diente previamente tallado pero también se colocan sobre implantes.
Las prótesis removibles permiten retirarlas de la boca por lo que facilitan la higiene. También conocidas como prótesis completas sin ganchos, se trata de la dentadura postiza que asociamos a las personas mayores sin dientes (edéntulos).
Aunque te hemos dado el precio de cada prótesis dental, las compañías aseguradoras y franquicias dentales ofrecen un listado de precios con conceptos extra necesarios para realizar el tratamiento protésico.
Ahora que ya sabes los precios de las prótesis dentales, y sobre todo los conceptos extra que te pueden cobrar con tu seguro, tan solo queda dar el paso.
Si quieres pedir una cita gratis con nuestro equipo de Implantología y Prostodoncistas, no dudes en contactarnos.