Los caninos, también conocidos como colmillos, desempeñan un papel esencial en la boca, tanto a nivel funcional como estético. Por ello, resulta fundamental que erupcionen por completo y en el plazo previsto. Cuando esto no sucede, nos encontramos ante un caso de caninos incluidos.
Un canino incluido es un diente que, a pesar de estar formado, no erupciona en el plazo previsto. Los caninos son unos de los dientes que se quedan retenidos con mayor frecuencia, por detrás de las muelas del juicio. Este fenómeno presenta un desafío para los ortodoncistas.
Un diente incluido se define como aquel que no ha erupcionado cuando le tocaba y se encuentra debajo del hueso o la encía.

Causas de los Caninos Incluidos
Los caninos incluidos pueden deberse a múltiples causas:
- Falta de espacio: Cuando no hay suficiente espacio en la arcada para que el canino erupcione, este puede quedar retenido en el hueso.
- Ausencia de incisivos laterales: La agenesia de los incisivos laterales también puede causar caninos incluidos. Esto se debe a que los incisivos laterales son unos dientes que sirven de guía para que el canino erupcione.
- Retraso en la caída de los caninos de leche: El hecho de que un canino temporal no se caiga en el plazo adecuado puede interrumpir el proceso de erupción normal del colmillo permanente.
- Pérdida prematura de los caninos de leche: Cuando un canino se cae antes del plazo adecuado y no se coloca un mantenedor de espacio, el resto de dientes de la arcada pueden tratar de ocupar el espacio vacío. Como los colmillos son los últimos dientes en erupcionar, cabe la posibilidad de que ya no encuentren espacio para hacerlo.
- Dientes supernumerarios: La presencia de dientes adicionales en la arcada puede obstruir el camino natural que tiene el canino para erupcionar, evitando que llegue hasta su posición correcta.
- Odontomas: Son los tumores odontogénicos más frecuentes. Aunque se trate de tumores benignos, pueden alcanzar hasta los cuatro centímetros de diámetro. Esto, al igual que en el caso anterior, dificulta la erupción del colmillo.
- Genética: Al igual que sucede con otros problemas dentales, la predisposición genética es una de las principales causas de los caninos incluidos. Si alguno de los progenitores sufrió caninos incluidos en el pasado, existe un mayor riesgo de que su hijo padezca el mismo problema.
- Anquilosis dental: Esta es una alteración que provoca la unión entre el diente y el hueso que lo rodea.
- Espacio insuficiente: La falta de espacio en el arco dental puede dificultar la erupción adecuada de los caninos.
- Pérdida de guía eruptiva: El canino desciende muy próximo a la raíz del incisivo lateral, que se comporta como una guía para su erupción.
La causa de origen más común de caninos incluidos es la condición genética.
Diagnóstico de Caninos Incluidos
En la exploración clínica, el signo más visible de que el colmillo presenta un problema de erupción es su ausencia en la boca, una vez transcurrido el plazo en el que debe salir. Adicionalmente, el odontólogo puede identificar otras señales durante la exploración oral, como la persistencia del canino de leche en la boca más allá de la edad recomendada. Por otro lado, el colmillo incluido puede sentirse a la palpación.
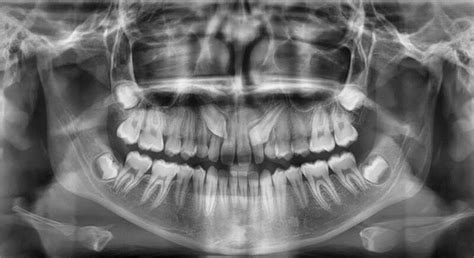
En lo que respecta a la exploración radiológica, será necesario realizar una radiografía panorámica y un TAC dental. De esa manera, el dentista podrá observar cuál es la situación del colmillo en la boca (posición, altura, inclinación…) así como su relación con los dientes vecinos.
El primer paso es el estudio en profundidad del caso. Para ello, se solicitan radiografías, como las panorámicas o tomografía computerizada (TAC); herramientas esenciales para evaluar la posición y la trayectoria de erupción de los caninos incluidos.

Tratamiento de Caninos Incluidos
Cirugía de tracción tratamiento de Ortodoncia (CANINO)
Por lo general, resulta necesario tratar los caninos incluidos debido a las diversas complicaciones que pueden causar. Dicho esto, el tratamiento más adecuado para un canino incluido dependerá, fundamentalmente, de la posición del diente y la edad del paciente.
Tras el estudio del caso se inicia el tratamiento de ortodoncia. Si el canino se ha desviado mucho de su posición no erupcionará simplemente con la creación de espacio: será necesaria su exposición y tracción.
Para ello, es necesario realizar una exposición quirúrgica del canino incluido y colocar un elemento de tracción para guiar su erupción hacia la posición correcta.
El tratamiento generalmente sigue estos pasos:
- En primer lugar, se realiza el tratamiento de ortodoncia para abrir un espacio en la encía, que permita alojar al canino.
- En segundo lugar, se realiza una fenestración dental, que es una cirugía en la que se abre una pequeña ventana en la encía.
- Unos días después de la intervención, el ortodoncista coloca un botón en el canino que ha sido descubierto.
Dicho esto, el tratamiento descrito puede variar en función del caso de cada paciente.

Caninos Cruzados
Los caninos cruzados se refieren a aquellos dientes que, en lugar de alinearse correctamente en la arcada dental, han erupcionado fuera de su posición habitual. Al igual que en el caso de los caninos incluidos, la falta de espacio en la arcada es una causa común.
A diferencia de los caninos incluidos, los caninos cruzados suelen ser visibles a simple vista.
Al igual que en los caninos incluidos, los brackets son la solución más común.
Prevención
La completa prevención de los caninos incluidos es muy compleja, ya que hay distintos factores que escapan del control del paciente y de los dentistas.
Las siguientes medidas pueden ayudar:
- Revisiones regulares: Por lo general, la primera visita al ortodoncista debe producirse a los seis años de edad. Esto ayuda a comprobar si el proceso de erupción dental transcurre según lo previsto y a detectar problemas en una fase temprana, lo que también permite tomar medidas. Siguiendo las recomendaciones de la Sociedad Española de Ortodoncia (SEDO), la primera visita de un niño al ortodoncista debe hacerse a los 8 años. A esta edad es raro que un niño necesite un tratamiento de ortodoncia, pero es interesante revisar que los dientes vayan erupcionando correctamente por lo que resulta interesante hacer una revisión anual con tu ortodoncista, ya que son diferentes los problemas eruptivos que el clínico puede interceptar a los 7 años que los que puede interceptar a los 9.
- Radiografías periódicas: Normalmente, en las visitas de revisión el odontólogo toma una serie de radiografías rutinarias al paciente. Esto permite una mejor observación de las estructuras bucodentales, lo que ayuda a detectar problemas que no se pueden advertir en una exploración oral.
- Ortodoncia interceptiva: La ortodoncia interceptiva engloba todos aquellos tratamientos de ortodoncia enfocados a niños de entre seis y nueve años. Está basada en aparatos que permiten actuar sobre el crecimiento de los huesos de la cara. Por ejemplo, la ortodoncia interceptiva sirve para ampliar las arcadas y crear el espacio necesario para que el canino erupcione, reduciendo el riesgo de que se quede retenido en el hueso.
- Mantenedores de espacio: Son unos sencillos aparatos que se colocan cuando un niño pierde un diente de leche antes de tiempo (por caries, golpes…).
Consideraciones Finales
Detectar los caninos incluidos o cruzados a una edad temprana es fundamental para evitar complicaciones mayores. Un diagnóstico temprano permite un tratamiento más sencillo y menos invasivo.
Los caninos incluidos o retenidos empiezan a poder palparse en el proceso dentoalveolar sobre los 9-10 años y suelen erupcionar sobre los 11-12 años. Los caninos inferiores suelen erupcionar alrededor de los 9-10 años y en torno a los 11-12 años los caninos superiores.
Los estudios refieren que podemos encontrar un 2% de los pacientes que tienen caninos incluidos.
Recuerda que cada caso es único y requiere una evaluación personalizada. La ortodoncia especializada es clave para superar los desafíos de los caninos incluidos y lograr una sonrisa sana.
Después de cualquier tratamiento para corregir los caninos incluidos o cruzados, es fundamental seguir las recomendaciones del odontólogo.
tags: #canino #incluido #ortodoncia