La caries dental es una enfermedad infecciosa multifactorial que depende de factores como el huésped, la dieta, los microorganismos y el tiempo. Se caracteriza por la destrucción de los tejidos duros de los dientes. Las caries interproximales son un tipo específico de caries que se forman entre los dientes.

¿Qué es una Caries Interproximal?
Una caries interproximal es una caries que se forma entre los dientes. La caries entre los dientes se denomina «caries interproximal«. Se produce cuando la placa bacteriana se acumula en el diente y se endurece, recubriendo las encías de sarro. El ácido de la placa elimina los minerales del esmalte dental, provocando su desgaste.
Esta erosión provoca que el esmalte se descaste, la cual se denominaría la primera fase de una caries. En cuanto una zona del esmalte es desgastada por las bacterias, el ácido entra en la siguiente capa de los dientes, la dentina. La dentina es la principal estructura de soporte del diente. El túbulo dentinario está formado por unos 30-40.000 tubos diminutos que se extienden desde la superficie hasta la pulpa del diente. Estos pequeños tubos se comunican con los nervios de los dientes y pueden causar sensibilidad.
Como van avanzando las fases de las caries, el ácido y las bacterias siguen atravesando los dientes y entran en el interior del material dental, la pulpa, donde se encuentran los vasos sanguíneos y nervios. En algunos lugares, la hinchazón se extiende hacia el interior del diente y los nervios de los dientes se comprimen, causando dolor. Las molestias pueden extenderse desde el diente hasta las raíces, requiriendo un procedimiento llamado endodoncia.
Las caries pueden aparecer en los premolares y molares. Estos dientes tienen muchas ranuras donde se pueden acumular residuos de comida. A comparación de mantener limpios que los dientes delanteros, son más difíciles de cuidarlos. Los alimentos azucarados se adhieren a los dientes durante largos periodos de tiempo y tienen más probabilidades de provocar caries provocadas por las partículas de comida en la saliva.
¿Por qué se Producen las Caries Interdentales?
En los espacios interdentales se suelen acumular restos de comida con facilidad. Cuando nos cepillamos los dientes a veces no llegamos a zonas por lo que, si no nos pasamos el hilo dental después del cepillado, el resto de comida que nos ha quedado comienza a descomponerse y es un foco de bacterias. Las personas con apiñamiento de dientes o que llevan ortodoncia o prótesis tienen más riesgo de padecer caries interproximales porque son más propensas a la acumulación de alimentos.

Síntomas de las Caries Interproximales
Las caries dentales no suelen tener ningún tipo de sintomatología, de modo que si existe una caries, el paciente no tiene molestias ni ningún tipo de dolor. Si la caries ha llegado a la pulpa, coloquialmente conocida como nervio dental, el dolor es intenso e incluso puede ser irradiado a otras zonas vecinas.
Si aún no hemos detectado ninguna caries, se puede determinar mediante algunos síntomas y detectarlo a tiempo:
- Si el diente es más sensible a temperaturas más extremas (frío o calor) o incluso al azúcar, significa que el esmalte se está debilitando. Por eso las sensaciones son más sensibles al nervio y llegan antes.
- Cuando pasamos el hilo dental y se queda enganchado, pudiendo este deshilacharse, es una mala señal. Una forma de detectar la caries interproximal es cuando, al pasar el hilo dental, notamos que se engancha y provoca dolor.
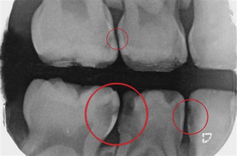
Las lesiones situadas en las zonas interproximales tienen un inconveniente y es que no se ven hasta que no se fractura todo el reborde marginal, de manera que suelen ser diagnosticadas por las radiografías. Radiográficamente las lesiones de caries son evaluadas en las superficies interproximales mediante el uso de la radiografía de aleta mordida. El propósito de esta radiografía es detectar lesiones ocultas al examen clínico, como sucede en las superficies interdentales. Estas lesiones cariosas tienen que ser diagnosticadas antes que se afecte el reborde marginal, porque se tratará de lesiones muy profundas. Son muy importantes las revisiones periódicas en el dentista para poder detectar las caries interproximales de forma precoz. Será el especialista quien, mediante una radiografía, pueda hacer un diagnóstico y aplicar el tratamiento para las caries interproximales más adecuado.
Tratamiento de las Caries Interdentales
Para determinar el tratamiento de las caries interdentales debemos saber el alcance de la lesión. Si la caries se detecta muy pronto, el dentista puede aplicar un tratamiento con flúor (en forma de gel, espuma, barniz o líquido). Esto ayudará a restaurar el esmalte y a veces a revertir el daño. Remineralización dental.
Una caries detectada a tiempo puede tratarse con un simple empaste. Se perfora el diente para eliminar la caries y luego se rellena con un material como porcelana, oro, plata, resina o amalgama. Tras el empaste, la cavidad se amplía con más esmalte y el empaste se utiliza para devolver al diente su forma y función normales. Extracción de la caries. Cuando la caries es más avanzada, habrá que extirpar la zona del diente afectada y reconstruir la pieza dental con un empaste.
Si la caries es grave y se deja sin detectar y sin tratar durante mucho tiempo, la endodoncia puede ser la mejor opción para salvar el diente. La endodoncia consiste en la extracción de las encías del interior del diente. Se limpia y desinfecta el diente y se sella la forma del empaste en el hueco. Después de la endodoncia se coloca una corona. La corona está hecha de diversos materiales, como cerámica, composite, resina, metal, porcelana o una combinación de ambos.
⚠️Esta es la caries más peligrosa ¿Cómo evitarla? | Colaboración Oral B
¿Cómo Prevenir Todos los Tipos de Caries?
La limpieza interproximal suele ser la gran olvidada en nuestra rutina de higiene bucodental . Existen distintos métodos de limpieza interproximal. Se indica para espacios interproximales estrechos o cerrados. Más adecuados para pacientes con poca habilidad, prótesis fija o aparatos de ortodoncia, pero son una herramienta de higiene interdental útil de forma genérica.
- Hilo dental: Se cortan de 40 a 50 cm de hilo y se enrollan las puntas alrededor de los dedos medios para su correcta manipulación. Se indica para espacios interproximales estrechos o cerrados.
- Cepillos interdentales: Se fabrican en diferentes tamaños, lo que facilita la adaptación al espacio interdental de forma manual. El diámetro debe ser un poco mayor que el de las unidades gingivales, de forma que las cerdas o filamentos ejerzan presión sobre las superficies dentales .Pueden ayudar en la limpieza de las áreas proximales donde las superficies presentan contornos cóncavos o surcos radiculares, se emplean con movimientos de frotación y se activan con movimientos cortos de un lado a otro de los dientes. Si no conoces el PHD que corresponde al espacio interproximal, se aconseja inicialmente elegir el tamaño más pequeño e ir incrementando la talla si el cepillo trabaja holgadamente. Además si tienes diferentes localizaciones es importante que uses diferentes cepillos interproximales según el tamaño de cada uno de los espacios.
- Cepillos helicoidales: Constituidos por cerdas o filamentos montadas en un alambre roscado, suelen ser pequeños y deben colocarse en un mango especial. Son efectivos para limpiar espacios moderadamente abiertos, y se utilizan a través de movimientos de entrada y salida del espacio.
- Cepillos monopenacho: Están indicados para ser utilizados en amplios espacios interdentales, para dientes en posiciones irregulares o con ortodoncia.
- Irrigadores bucales: Los irrigadores actúan por medio de agua y agentes químicos a presión, dirigiendo el chorro en forma perpendicular al eje longitudinal del diente, para evitar la lesión de los tejidos gingivales. Ayudan a la eliminación de bacterias depositadas en la superficie de los dientes , espacios interproximales y lugares de difícil acceso. Resultan especialmente útiles en pacientes con prótesis fijas, con aparatos de ortodoncia o dientes en mala posición, pero es una herramienta complementaria útil de manera generalizada.
- Coloca la boquilla en el aparato e introdúcelo en tu boca, sobre los dientes y en el margen entre dientes y encías.
- Enciéndelo y ve moviendo el chorro de agua a lo largo de los dientes y margen entre encías y dientes.
Además de la limpieza interdental, es fundamental:
- Cepillarse los dientes al menos dos veces al día con pasta dental con flúor.
- Limitar el consumo de alimentos y bebidas azucaradas.
- Visitar al dentista regularmente para revisiones y limpiezas profesionales.
Referencias
La información presentada en este artículo se basa en las siguientes fuentes:
- Vassiliki C, Timmerman M, Van der Velden U, Van der Weijden F. Comparison of different approaches of interdental brushes versus dental floss. J Periodontol.
- Hanson C, Amyot C, Lilloy W. Comparison of the plaque renoval efficacy of new flossing aid (Quik Floss) to finger flossing. J Clin Periodontol.
- Freixa O, Luis O, Violant D, Santos A. Estudio comparativo de los hábitos de higiene oral entre alumnos de 1º, 3º y 5º de odontología de la Universidad Internacional de Cataluña. Dentum.
- Gudiño Fernández S. Otras alternativas diferentes al hilo dental para higienizar las zonas interproximales. Οδοντος (Odontos). Publicación Científica Facultad de Odontología, UCR.
- Carranza FA. Peridontología Clínica de Glickman. Editorial Interamericana-Mcgraw-Hill, 7ª edición.
- Christou V, Timmerman M, Van der Velden U, Van der Weijden F. Comparison of different approaches of interdental oral hygiene: interdental brushes versus dental floss. J Periodontol.
- Warren PR, Chater BV. An overview of established interdental cleaning methods. J Clin Dent.
tags: #cara #interproximal #del #diente