Con frecuencia, pacientes acuden a las clínicas manifestando un dolor repetitivo en cara y cuello. Como dentistas, explicamos qué es el bruxismo y por qué se produce. El bruxismo es crujir, rechinar o apretar los dientes de manera involuntaria.
En España, la prevalencia del bruxismo varía según estudios, pero se estima que en los últimos años nos encontramos que un 70% de la población adulta española padece bruxismo. ¡Contacta con nosotros si detectas síntomas de bruxismo!
Se trata de una parafunción mandibular que puede producirse tanto por el día como por la noche. Suele ser una actividad involuntaria, puede pasar cuando la persona está despierta o dormida. Aunque es menos probable que la persona note el problema si le sucede mientras duerme.
Las personas que tienen bruxismo aprietan fuertemente los dientes superiores con los inferiores y los mueven de atrás hacia adelante y viceversa, la mayoría de las veces de forma inconsciente, produciendo el desgaste de las piezas. Apretar y rechinar los dientes puede ser una reacción involuntaria a sentimientos como ira, miedo o estrés. Esto puede pasar en el día o en la noche.

¿Qué es el Bruxismo?
El bruxismo es un trastorno que se caracteriza por el hábito involuntario de apretar o rechinar los dientes, ya sea durante el día o, más comúnmente, durante la noche. El bruxismo es más una respuesta fisiológica que una enfermedad en sí según algunos expertos. Se manifiesta de manera inconsciente a través de una presión añadida sobre la mandíbula. Quien lo padece presiona, durante el sueño, la mandíbula generando fricción entre los dientes.
El bruxismo es un hábito involuntario que hace que las personas que lo padecen aprieten o rechinen los dientes superiores con los inferiores. El apretar los dientes hasta hacerlos rechinar de manera involuntaria no tiene ninguna consecuencia positiva. Puede desencadenar sobrecarga en los tejidos de soporte del diente, desgaste e incluso pérdida del propio diente.
A la hora de diagnosticar el bruxismo es muy importante observar el estado de las piezas bucales para comprobar su desgaste y el aumento de la musculatura. Unos de los principales signos de alarma y por los que el paciente suele acudir a consulta son el dolor en la mandíbula y de cabeza. El principal tratamiento que se recomienda para combatir este hábito es la utilización de férula de descarga.
En los casos más graves, la enfermedad tiene consecuencias fatales para los dientes. Estas van desde desgastarlos y acortarlos visiblemente a romperlos.
En Clínica Menéndez somos especialista en el tratamiento del bruxismo en Granada.

Tipos de Bruxismo y sus Características
El bruxismo se clasifica como primario o idiopático (no relacionado con condiciones médicas) y secundario o iatrogénico (relacionado con medicación o desórdenes neurológicos o de desarrollo). A su vez, el primario se divide en bruxismo despierto y nocturno, de acuerdo al momento del día en que se produce.
- Bruxismo diurno o despierto: Se refiere a cuando rechinas los dientes durante el día. Parece ser una acción semivoluntaria. Este tipo de bruxismo suele estar ligado con ciertas condiciones emocionales, es decir, se relaciona con problemas de ansiedad y estrés. Las personas que sufren bruxismo diurno, en general, no requieren de un tratamiento, ya que la persona de forma consciente puede intentar controlarlo.
- Bruxismo nocturno: Ocurre en la noche mientras duermes, y se trata de un rechinar más fuerte, lo cual puede provocar daños y lesiones en la dentadura. Es involuntario y se estima que le sucede al menos al 10 % de la población. Muchos pacientes no notan que esto les sucede al dormir, por lo cual no buscan ayuda profesional para controlar y solucionar esta condición.
Tanto en el bruxismo diurno y nocturno, la mandíbula puede moverse o no en el momento en que se aprietan los dientes. En los casos en los que la mandíbula no se mueve se trata del bruxismo céntrico. Y cuando hay movimiento lateral o anterior de la mandíbula, es un bruxismo excéntrico.
Existen dos tipos principales de bruxismo: el céntrico, caracterizado por apretar los dientes, y el excéntrico, que se manifiesta con rechinar o frotar los dientes.
El Bruxismo se puede clasificar en dos tipos principales: Bruxismo céntrico y Bruxismo excéntrico. En el Bruxismo céntrico, la persona tiende a apretar los dientes de manera constante y tensa, ejerciendo una gran presión en la mandíbula. Este tipo de Bruxismo suele ser más común durante el día y puede estar relacionado con el estrés y la ansiedad. Por otro lado, el Bruxismo excéntrico se caracteriza por el hábito de rechinar o frotar los dientes de forma repetitiva. Este tipo de Bruxismo generalmente ocurre durante la noche, mientras la persona duerme, y puede estar relacionado con una mala alineación de los dientes o una alteración en la articulación temporomandibular (ATM).

Principales Causas del Bruxismo
Si te preguntas qué es lo que provoca el bruxismo, debes saber que no hay una sola causa, algunas de las razones por las que podrías rechinar los dientes son:
- Estrés y ansiedad: Es la causa más común de rechinar los dientes. Períodos de estrés como exámenes, problemas familiares, mudanzas, divorcios, exceso de trabajo, pueden causar más presión y, por tanto, se intensifica el bruxismo.
- Problemas durante el sueño: Algunas condiciones asociadas con problemas durante la hora de dormir, como roncar o apnea del sueño, tienden a provocar o empeorar el bruxismo. El bruxismo y ATM suele manifestarse en personas que tienen trastornos del sueño como los ronquidos o la apnea.
- Ingesta de ciertos medicamentos: Existen medicamentos que como efectos secundarios producen bruxismo en los pacientes que los consumen. Por ejemplo, los antidepresivos, antipsicóticos y anticonvulsivos, entre otros.
- Hábitos relacionados con el estilo de vida: Fumar, tomar mucho alcohol y cafeína, así como el consumo de drogas como éxtasis y alcohol. El bruxismo dental puede aparecer en los casos donde se utilizan sustancias psicoactivas que producen excitación o alteran el ritmo del sueño como el alcohol, la cafeína y otro tipo de drogas legales como ilegales.
- Condiciones médicas: Como trastorno de déficit de atención, autismo, lesiones cerebrales, depresión, síndrome de Down, fibromialgia, enfermedad de Parkinson.
- Maloclusión o problemas en la mordida: Cuando hay maloclusión o problemas en la mordida, los dientes no encajan de manera correcta, por lo cual los músculos de la mandíbula generalmente trabajan mucho más de lo que regularmente lo hacen y esto puede causar bruxismo. Los dientes mal alineados pueden producir un desgaste poco natural de las piezas dentales. El cuerpo, de manera inconsciente, busca alinear y mejorar la oclusión. Sin embargo, esto produce un impacto negativo y agrava el cuadro pudiendo derivar en bruxismo y ATM.
Las causas del bruxismo en niños también están relacionadas con factores psicológicos como el estrés infantil, tensión emocional y episodios de ansiedad El bruxismo infantil y juvenil es bastante común, el problema suele parar cuando se llega a la adultez. Aunque el estrés y la ansiedad pueden causar que los adultos aprieten y rechinen los dientes también.
Distintos estudios han mostrado que la gran mayoría de pacientes que sufren de bruxismo dental es a causa del estrés o la ansiedad. Por lo que es un factor a tener en cuenta en todos los casos por el estrés que causa la vida moderna.
El Bruxismo está estrechamente relacionado con el estrés y la ansiedad. Muchas personas tienden a apretar o rechinar sus dientes como respuesta a situaciones estresantes o como una forma de liberar la tensión acumulada. La pandemia ha tenido un impacto significativo en el aumento de los casos de Bruxismo. Las condiciones de incertidumbre, el aumento del estrés y los cambios en las rutinas diarias han contribuido a que más personas experimenten este trastorno.
Algunos alimentos y hábitos también pueden influir en el desarrollo del Bruxismo. Masticar chicle en exceso o consumir alimentos duros y pegajosos puede ejercer una presión adicional en los músculos de la mandíbula, lo que aumenta la probabilidad de Bruxismo.

Síntomas y Signos del Bruxismo
El rechinar los dientes es sólo uno de los síntomas del bruxismo. Esto puede ser en diferentes grados, desde un rechinar suave, hasta uno tan fuerte que pueda despertar a quien duerma contigo. Aparte, se pueden presentar algunos de los siguientes síntomas:
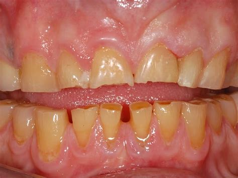
- Desgaste dental: Sentir dolor o tener los dientes sensibles. Puede ser algo constante o esporádico. Esto pasa porque los dientes se van deteriorando con la presión. La manifestación más clara del bruxismo dental es el desgaste de los dientes que lleva a la sensibilidad de los cambios térmicos.
- Pequeñas grietas o daños en las restauraciones.
- Recesión de las encías: Debido a la presión. También puede haber inflamación en estas. Los dientes podrían comenzar a moverse.
- Dolor mandibular: Los músculos de la mandíbula pueden comenzar a sentirse tensos o rígidos. También es posible que el hueso comience a quedarse trabado y que le cueste abrir y cerrar la boca de forma normal.
- Dolores de cabeza: Asimismo, existe relación entre el bruxismo y dolores de cabeza, ya que se ejerce demasiada presión en la zona de los músculos temporales y maseteros. La tensión que se acumula en los músculos faciales y mandibulares puede derivar en dolores leves o severos.
- Trastornos del sueño: El bruxismo nocturno interfiere en la calidad del sueño, puesto que la persona puede experimentar interrupciones durante su descanso. Esto desencadena una serie de problemas que pueden agravar el trastorno, debido a que la falta de sueño genera estrés, lo que agrava aún más el bruxismo.
- Ruidos e inflamación de la ATM: El bruxismo y ATM se manifiesta en una ATM inflamada por la tensión que se ejerce sobre la zona causando dolor y, en los casos más graves, acúfenos. Por otro lado, también es posible notar chasquidos en la zona de la mandíbula al apretarla.
El Bruxismo se manifiesta a través de varios síntomas que pueden afectar tanto a los dientes como a los músculos faciales y estructuras relacionadas. Uno de los signos más comunes del Bruxismo es el desgaste dental. El hábito de apretar o rechinar los dientes puede ocasionar un desgaste excesivo, haciendo que los dientes pierdan su forma adecuada. Las personas que sufren de Bruxismo suelen experimentar dolor facial, que puede manifestarse en la zona de la mandíbula, el oído y el cuello. Además, también puede provocar sensibilidad dental, haciendo que los dientes sean más sensibles al frío y al calor. La tensión en los músculos faciales es otro síntoma característico del Bruxismo. Esto se debe al constante apretar o rechinar de los dientes, lo que genera una carga excesiva en los músculos de la mandíbula.
Toda la actividad nocturna que está llevando el bruxómano de forma inconsciente le impide tener un descanso y sueño de calidad.

Consecuencias a Largo Plazo en la Salud Bucal
Las consecuencias a largo plazo en la salud bucal pueden ser:
- Dolor agudo o crónico: es una señal que envía el cuerpo indicando que hay un problema, pueden doler solo los dientes o también la mandíbula, mejillas y cabeza, incluso el cuello y las orejas.
- Dientes desgastados o que lucen aplanados: debido al roce constante cuando aprietas o rechinas los dientes.
- Dientes fracturados, rotos o flojos.
- Desgaste del esmalte dental: incluso hasta el punto que se puedan ver las capas internas del diente.
- Hay conexión entre el bruxismo y problemas de audición: Ya que apretar y rechinar demasiado los dientes afecta la capacidad auditiva, en algunos casos se puede perder de forma temporal.
- El bruxismo puede causar un mal funcionamiento o disfunción en la articulación temporomandibular: provocando dolor e inflamación.
La diferencia entre bruxismo y ATM, es que el primero es una condición que hace apretar y rechinar los dientes, y la segunda es un trastorno que provoca disfunción en las articulaciones y músculos que controlan el movimiento de la mandíbula.
Los problemas de bruxismo y ATM son trastornos graves que pueden acabar generando alteraciones graves en la mandíbula e, incluso, dañar los dientes además de dar como resultado dolores de cabeza constantes e incomodidades cervicales, entre otros.
El bruxismo puede alcanzar lo que se conoce como cronificación, es decir, se manifiesta de manera constante en distintas áreas del cuerpo como la masticación y el habla. El dolor se expande y abarca todo el cráneo, por lo que es imperativo tratarlo lo antes posible.
La recomendación es que consultes al dentista si rechinas los dientes y tienes dolores o sensibilidad dental, también si sientes molestias en la mandíbula, cara u orejas. Para quienes tienen bruxismo nocturno, la pareja puede ser la primera en notar que tienen esta condición. Y los padres pueden también notarlo en los niños. Es importante saber reconocer los síntomas y entender cuáles son las consecuencias de ellos, para buscar ayuda. Un profesional de la salud bucal es quien puede diagnosticar la enfermedad y también explicarle a los padres cómo detectar el bruxismo en niños.

Diagnóstico del Bruxismo
Es probable que algunos pacientes no se den cuenta de que sufren de bruxismo, por lo que el diagnóstico no siempre es evidente. De ahí que se necesite una evaluación profesional. Un dentista tiene la experiencia y las herramientas necesarias para detectar la presencia del trastorno.
- Evaluación clínica: Mediante una evaluación, el dentista puede comprobar si hay señales de rechinamiento de los dientes. Para hacer el diagnóstico buscará signos de desgaste, fracturas o sensibilidad. También puede evaluar la movilidad de la mandíbula y la presencia de dolor en los músculos de la cara.
- Estudios del sueño: Si se sospecha que el bruxismo está relacionado con otros trastornos del sueño, se realizará un estudio conocido como polisomnografía. Este estudio evalúa las ondas cerebrales, los niveles de oxígeno, la frecuencia cardíaca y los movimientos durante el sueño. Con los datos obtenidos se puede determinar si el bruxismo está contribuyendo a problemas más amplios de sueño y salud.

Tratamientos para el Bruxismo
El tratamiento para el bruxismo va a depender de la causa que lo esté provocando, por ello la importancia de ver a un especialista que pueda hacer un chequeo y los exámenes que considere necesarios para dar una solución efectiva al problema.
El tratamiento del bruxismo debe abordarse desde un enfoque multidisciplinar, ya que puede tener componentes físicos, psicológicos y neuromusculares. Las principales terapias incluyen:
- Férulas oclusales: Un dentista puede recomendar el uso de un protector o férula bucal para evitar daños en tus dientes por el bruxismo. Las férulas personalizadas para bruxismo deberás usarlas de noche y están hechas a la medida para que encajen bien en tu boca. Existen diferentes tipos de férulas, por lo que es importante acudir al dentista para que sea el especialista quien recomiende la correcta. La férula de descarga o placa oclusal es el tratamiento de primera línea en pacientes con bruxismo nocturno. Esta férula es un dispositivo intraoral hecho a medida, que se coloca sobre los dientes para evitar el contacto directo entre ellos, reduciendo el desgaste dental y disminuyendo la sobrecarga en los músculos masticatorios y la ATM. Además, puede ayudar a redistribuir las fuerzas de la mordida y proporcionar alivio en casos de dolor mandibular.
- Terapias conductuales: El objetivo de esta terapia es identificar y modificar los comportamientos y pensamientos que contribuyen al hábito de apretar los dientes. Al entenderlos se enseñan técnicas de relajación para ayudar a reducir la tensión. Mediante la terapia conductual también se busca que el paciente sea consciente de sus hábitos y reconozca cuándo está apretando los dientes.
- Medicación: Aunque no hay medicamentos específicos para el bruxismo, sí hay algunos fármacos que se recomiendan para aliviar los síntomas. Por ejemplo, se prescriben relajantes musculares para aliviar la tensión en la mandíbula; mientras que los analgésicos pueden aliviar el dolor que produce. Cuando el origen del bruxismo está relacionado con el estrés o la ansiedad, es posible que se receten antidepresivos.
- Inyecciones de toxina botulínica: han resultado efectivas en pacientes con bruxismo severo. Esto se debe a que ayudan a relajar la musculatura. El botox relaja los músculos masticatorios que el bruxómano está tensando continuamente, cuando se siente ansioso o nervioso. El efecto de este tratamiento en el bruxismo suele durar aproximadamente 6 meses, tras lo cual el tratamiento puede repetirse si es necesario. Los efectos son temporales, lo que permite ajustar la dosis y frecuencia de las aplicaciones según la respuesta individual del paciente.
- Tratamientos dentales: Ve a tu dentista con regularidad. Este podría notar los signos de bruxismo nocturno, aunque tú no te hayas dado cuenta. Además, algunos pacientes pueden necesitar un tratamiento de ortodoncia que coloque los dientes en una posición correcta. De este modo se evita el contacto anormal que se produce entre ellos, y que puede ser causa de bruxismo. Por otra parte, el bruxismo es capaz de dañar la dentadura y provocar sensibilidad dental. De modo que el dentista puede aplicar los tratamientos correspondientes para corregir estos problemas. Una mala oclusión aumenta el grado, la intesidad y las consecuencias del bruxismo, por lo cual una revisión por parte de un especialista en ortodoncia puede daros soluciones para mejorar este punto, con una oclusión perfecta las fuerzas bucales se reparten de una manera uniforme y estable en la boca haciendo que todos los musculos, piezas dentales y estructuras fáciles que intervienen sufran menos desgaste. Una mala oclusión se soluciona por medio de la ortodoncia. En los casos en que no se encuentre un mal alineamiento, se utilizan las férulas de descarga para detener el desgaste superficial de los dientes.
- Fisioterapia: el tratamiento fisioterapéutico es una herramienta eficaz u esencial en la reducción del dolor y la mejora de la funcionalidad de la musculatura masticatoria y la ATM. Un fisioterapeuta trabaja con el paciente para reducir los síntomas asociados al bruxismo y ATM por medio de ejercicios mandibulares. De esta forma, se alivian los síntomas y aumenta la comodidad para el paciente.
- Medicina del sueño: En los casos donde se encuentran problemas con el sueño, es necesario trabajar con un especialista en el área que realice un estudio completo y determine si existen episodios como la apnea.
- Psicología: Un psicólogo es útil cuando el bruxismo dental tiene un origen emocional que puede ser ansiedad, estrés u otro trastorno mental.

Prevención del Bruxismo
El Bruxismo puede prevenirse y tratarse mediante diversas medidas.
- Técnicas de relajación: En la prevención del bruxismo también se promueven las técnicas de relajación para ayudar a reducir el estrés y la ansiedad que pueden provocar el problema. Incluye en tu rutina ejercicios para aliviar el bruxismo. Por ejemplo, haz ejercicios de respiración, meditación o escucha música. Encuentra formas de liberar el estrés que te funcionen. Práctica algún deporte que pueda ayudarte a sentir más relajado y que también te ayude a conciliar mejor el sueño. Se ha comprobado, tal y como expresa el Consejo de dentistas en España, que cuando se consigue reducir el estrés y la ansiedad de una persona, el bruxismo disminuye. Huye de la ansiedad y el estrés.
- Higiene del sueño: Con higiene del sueño nos referimos a que desarrolles prácticas que promueven un sueño reparador y de calidad. Entre las recomendaciones a tomar en cuenta están: ve a la cama siempre a la misma hora, ten una rutina, sábanas cómodas, una habitación oscura y tranquila. Es importante mantener un entorno que sea propicio para dormir y que limites los estímulos antes de dormir. Por ejemplo, evitar las pantallas al menos 30 minutos antes de acostarte. Dormir de noche y alrededor de 8 horas al día, es ideal para mantener una buena salud en general.
- Hábitos saludables: Mantener hábitos saludables como llevar una dieta equilibrada también ayuda a controlar el bruxismo. Incluye alimentos ricos en nutrientes, como el calcio, que te ayuda a proteger el esmalte de los dientes. Por otro lado, evita el exceso de azúcar y cafeína, así como comer alimentos duros. Mantente hidratado, ya que esto contribuye a reducir la tensión muscular. Por último, evita fumar, el consumo de alcohol excesivo y no tomes drogas. Estos hábitos dañan la salud dental y agravan el bruxismo. Para proteger los dientes y reducir el desgaste dental causado por el Bruxismo, es aconsejable utilizar un protector bucal durante la noche. Además del uso del protector bucal, se recomienda llevar una dieta equilibrada y evitar alimentos duros o difíciles de masticar que puedan agravar el Bruxismo. Cuida tu alimentación. Asegúrate de adoptar una buena postura a la hora de dormir para relajar la mandíbula. Un ejercicio recomendable es poner la punta de la lengua en el paladar, justo detrás de los dientes.
La relajación de los músculos faciales puede ayudar a reducir la tensión y el estrés asociados con el Bruxismo. Practicar técnicas de relajación, como la respiración profunda, el yoga o la meditación, puede ayudar a disminuir la ansiedad y a aliviar la tensión muscular.

Al saber qué es el bruxismo y por qué se produce puedes determinar si estás sufriendo de este y busca ayuda. Contáctanos si crees que rechinas los dientes, podemos atenderte y guiarte para evitar cualquier daño mayor en tu boca.
Causas, síntomas y tratamientos del Bruxismo
tags: #caracteristicas #del #bruxismo