Los dientes son estructuras complejas que desempeñan un papel importante en la masticación de los alimentos y la fonética. Están formados por varias partes, cada una con una función específica.
La odontología estética se mueve en un ámbito de equilibrio entre la ciencia y el arte. Es preciso fundir en un todo atractivo los baremos matemáticos que se aplican en la clínica odontológica y en el laboratorio protésico.
Dado que no hay dos personas idénticas en cuanto a aspecto y carácter, cada prótesis dental debería confeccionarse a la medida de las necesidades y características específicas del individuo. En una época en la que los pacientes se interesan cada vez más por la odontología estética, resulta obvio que debemos sondear más a fondo el conjunto de reglas de la estética.
Partes Principales del Diente
Las partes del diente son la corona, la raíz y la pulpa.

Encía
Es el tejido blando que recubre y protege el hueso alveolar y la raíz del diente. También es responsable de mantener el diente en su lugar y prevenir la entrada de bacterias en el espacio entre la raíz y el hueso alveolar.
Raíz
Es la parte del diente que se encuentra debajo de la encía y que se inserta en el hueso alveolar. La raíz está compuesta por una o varias raíces dentales, dependiendo del tipo de diente. Además, en la raíz se encuentran los conductos radiculares, que conectan la pulpa con el exterior del diente.
Pulpa
Es la parte más interna del diente y está compuesta por tejido nervioso, vasos sanguíneos y células. La pulpa es la encargada de nutrir y proporcionar sensibilidad al diente. También es responsable de la formación y desarrollo de la dentina y el esmalte.
Funciones de las Partes del Diente
Las partes del diente y sus funciones son las siguientes:
Radicular
La raíz es la parte del diente que se encuentra debajo de las encías y se fija al hueso alveolar. Su función es proporcionar estabilidad y soporte al diente.
Coronal
La corona es la parte del diente que se encuentra por encima de las encías y está cubierta por esmalte. Su función es masticar los alimentos y proporcionar una superficie para la articulación de la mandíbula.
La primera cara de un diente a señalar es el denominado plano oclusal. Pues bien, esta parte corresponde a la que se ve cuando abrimos la boca. La superficie oclusar, como ya hemos indicado, no es la misma en todos los dientes.
Dentina
La dentina es una capa de tejido blando y poroso que se encuentra debajo del esmalte y rodea la pulpa del diente. Su función es proporcionar una estructura de soporte y protección para la pulpa del diente. Está igualmente formada por un material muy resistente y aporta el color de la corona.
Esmalte
El esmalte es la capa más externa y dura del diente y protege la dentina y la pulpa de daños externos. Su función es proporcionar una superficie dura y resistente para morder y triturar los alimentos. El esmalte es la capa más externa del diente y está compuesta principalmente de minerales como el calcio y el fósforo, lo que le otorga su dureza.
Caras de los Dientes
¿Sabías que los dientes tienen diferentes caras y cada una tiene un nombre distinto?
Como bien hemos adelantado, los dientes tienen varias caras, en concreto cinco y cada una de ellas tiene un nombre diferente.
Para poder entender e identificar la cara medial del diente es necesario realizar una línea imaginaria desde los dientes centrales, dejando así dividida la boca en dos partes iguales.
En caso de la zona interior de los dientes de las piezas dentales inferiores, como las muelas, se denomina cara lingual.
En caso de de la cara interior del diente de las piezas superiores, ésta se denomina Palatina.

Mesial
Es la cara que está hacia la línea media del cuerpo. Por ejemplo, la cara mesial del incisivo central superior derecho sería la que está en contacto con el incisivo central superior izquierdo.
Distal
Es la cara opuesta a la mesial, es decir, la que está más alejada de la línea media del cuerpo. Por ejemplo, la cara distal del segundo molar inferior derecho sería la que está en contacto con el tercer molar inferior derecho.
Vestibular
Las partes del diente vestibular son las que están orientadas hacia los labios o mejillas. También se conoce como cara facial o labial. Esta cara puede que sea la más conocida porque es aquella que se refiere a la cara externa de los dientes. Es decir, es la cara de los dientes que mira hacia afuera. Por ejemplo, la cara vestibular del canino superior izquierdo sería la que está en contacto con el labio superior.
Lingual
Es la cara opuesta a la vestibular, es decir, la que está orientada hacia la lengua. También se conoce como cara palatina en los dientes posteriores. Por ejemplo, la cara lingual del incisivo central inferior derecho sería la que está en contacto con la lengua.
Palatina
Es la cara lingual de los dientes posteriores, es decir, la cara que está orientada hacia el paladar. Por ejemplo, la cara palatina del primer molar superior derecho sería la que está en contacto con el paladar.
Dientes de Leche y Permanentes
¿Los dientes de leche también tienen raíz?
Sí, los dientes de leche también tienen raíz. La raíz es la parte del diente que se encuentra debajo de la encía y se ancla al hueso de la mandíbula o del maxilar. En los dientes de leche, la raíz es más corta y delgada que en los dientes permanentes debido al tamaño reducido de la mandíbula en los niños. A medida que los dientes de leche se caen y son reemplazados por los dientes permanentes, las raíces de los nuevos dientes se desarrollan y crecen para proporcionar un anclaje sólido y estable en el hueso de la mandíbula o del maxilar.
¿Un incisivo tiene las mismas partes del diente que una muela?
Sí, las partes del diente incisivo como las molares tienen las mismas partes del diente: la corona, la dentina, el esmalte, la pulpa y la raíz. Sin embargo, la forma y la función de cada una de estas partes pueden variar entre los diferentes tipos de dientes. Por ejemplo, los incisivos son dientes frontales con una forma más delgada y afilada, diseñados para cortar los alimentos, mientras que las molares son dientes posteriores más anchos y planos, destinados a triturar y moler los alimentos.
Partes Más Duras del Diente Humano
Las partes del diente humano más duras son el esmalte y la dentina. La dentina, por su parte, se encuentra debajo del esmalte y es también muy dura gracias a la presencia de minerales como el calcio y el colágeno.
Cada pieza dental tiene un número que la identifica según su posición en la boca.
Otras partes importantes del diente
Cúspide
La cúspide es la parte de la corona dental que presenta una elevación en la morfología de la misma. Es por tanto un relieve en forma puntiaguda que facilita, principalmente, el desgarro de alimentos. Los dientes que poseen cúspides son los dientes: caninos o colmillos, premolares y molares.
Fosa
La fosa es una parte de la corona dental que presenta una depresión en su morfología. Adquieren nombres dependiendo de la posición en la pieza y la pieza dental a la que pertenecen. Así pues, denominamos fosas palatinas a aquellas situadas en piezas dentales superiores, más próximas al paladar y fosas vestibulares a las que se sitúan cerca del vestíbulo o parte exterior bucal.
Fisura
Una fisura es la parte de la anatomía coronal dental que denomina a esas pequeñas estrías o canalillos que poseen los premolares y molares por su cara oclusal, es decir, por la cara con la que se muerden y mastican los alimentos. Normalmente conectan, las ya mencionadas fosas, entre sí. Son conocidas también con el nombre de surcos.
Las fisuras o surcos, adquieren nombres propios dependiendo de la posición en la pieza dental a la que pertenecen. Por otro lado, también se denomina fisura dental cuando el diente sufre un traumatismo o con el paso de los años se comienza a apreciar en la capa mas superficial del diente, en el esmalte, una grieta. En los casos en los que la fisura es poco profunda no requiere de tratamiento dental.
Ápice
El ápice es la parte final de la raíz de un diente, también conocido como Foramen apical o Apex. El ápice está hueco y tiene un orificio por el que se inerva el diente ,conectando el nervio externo más próximo a la pieza dental, con la cámara pulpar irrigando así todo el interior del diente.
Es pues, una apertura por la que pasan las terminaciones nerviosas y vasos sanguíneos que abastecen al diente.
Raíz dental
La raíz dental es una de las dos partes fundamentales en las que se dividen las piezas dentales. Al contrario que la corona, que es la parte visible del diente, la raíz es la no visible ya que permanece, en condiciones de salud óptimas, insertada en la encía. Cada raíz está compuesta por capas que se ordenan así: la dentina, cubierta por cemento dental y adherida al hueso por el ligamento periodontal.
La raíz dental puede dividirse en tres partes, el tercio cervical situado próximo al cuello dental,cerca de la corona. El tercio medio y el tercio apical ocupando el extremo de la raíz.
Orientación axial de los dientes
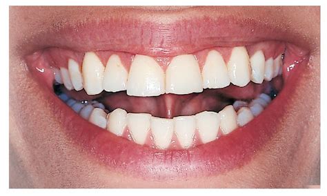
En una sonrisa atractiva, los dientes anteriores están orientados de tal manera que sus ejes longitudinales discurren de forma continua desde la línea media hacia la zona de los dientes posteriores. A su vez, los dientes anteriores superiores están ligeramente inclinados hacia mesial. Finalmente, los labios conforman el marco de la composición estética16.
Normalmente, el eje de los incisivos centrales está ligeramente inclinado hacia distal en dirección apical con respecto a la línea media (figs. 1 y 2). La orientación labiolingual de los incisivos centrales es ideal desde el punto de vista estético cuando la superficie labial discurre verticalmente o está ligeramente inclinada hacia labial. El recorrido exacto puede variar individualmente en función del tipo esquelético y del perfil facial.

Orientación axial de los dientes.
En los incisivos laterales se observa que la inclinación distal en dirección apical se hace más acusada a partir de la mitad del diente. Además, en la mayoría de las personas con una sonrisa naturalmente bonita, la orientación axial mesiodistal y anteroposterior de los incisivos laterales está dispuesta asimétricamente.
Los caninos tienen tendencia a estar aún más inclinados hacia distal, si bien sólo desde la perspectiva facial. Vista desde el lado, su eje longitudinal presenta una orientación desde vertical hasta ligeramente distal en la arcada dentaria (fig. 3). Al evaluar su recorrido axial, lo mejor es orientarse por los rasgos faciales relevantes. En la mayoría de las personas, el eje del canino discurre en paralelo a la línea imaginaria entre la comisura de la boca y el ángulo del ojo al sonreír. Dicho de otro modo, discurre en paralelo al marco vestibular28.
Zonas de contacto y puntos de contacto interdentales
Se entiende por zona de contacto interdental aquella zona en la que los dientes contiguos parecen tocarse entre sí. En el segmento anterior superior se van acortando desde los incisivos centrales hacia los caninos, idealmente en la proporción 50:40:30 en relación con la longitud de la corona de los incisivos centrales20.
En otras palabras, la zona de contacto entre los incisivos centrales es del 50%; entre los incisivos centrales y laterales, del 40%, y entre los incisivos laterales y los caninos, del 30% de la longitud del incisivo central20 (figs. 4 y 5).

Zonas de contacto interdentales.
El punto de contacto interdental se encuentra allí donde termina la zona de contacto interdental y empieza el espacio interdental incisal. Los puntos de contacto interdentales ascienden apicalmente desde los incisivos centrales hacia la zona de los dientes posteriores.
En caso de dientes excesivamente largos, puede ser conveniente alargar la zona de contacto, a fin de reducir en lo posible las distancias11 (tanto gingivales como incisales). De esta manera, los dientes aparecen en proporción más anchos y por ende también más cortos. Además, si no es posible crear una papila lo suficientemente larga, se puede alargar la zona de contacto hacia apical a fin de cerrar el espacio interdental cervical abierto11 (figs. 6 y 7).
Espacios interdentales incisales
Cuando se abre la boca al hablar o sonreír, se hace visible entre los bordes incisales de ambas arcadas dentarias el espacio negro de la cavidad oral. Este contraste con los dientes mejora el aspecto de los espacios interdentales incisales. La interacción entre luz y sombra a lo largo de la arcada dentaria superior constituye un requisito esencial para una sonrisa bonita y natural.
El espacio interdental incisal es más pequeño y anguloso entre los incisivos centrales (figs. 8 a 10). En virtud de la estructura simétrica de estos dos dientes, se crea así un triángulo isósceles con un ángulo vertical apical agudo. El espacio interdental incisal entre el incisivo central y el lateral es mayor y menos agudo. Unos incisivos centrales relativamente simétricos y unos incisivos laterales relativamente asimétricos favorecen el aspecto estético de la sonrisa. El mismo principio es aplicable a los espacios interdentales incisales correspondientes: la forma del triángulo entre el incisivo central y lateral debería variar a ambos lados (fig. 10).

Espacios interdentales incisales.
El espacio interdental incisal es más grande entre el incisivo lateral y el canino. En las mujeres, este triángulo tiende a presentar características distintas a las que se observan en los varones: el recorrido del borde incisodistal de los incisivos laterales discurre más redondeado, de modo que el espacio interdental se ensancha hacia el canino.
Estos puntos de contacto y espacios interdentales incisales constituyen requisitos importantes para una sonrisa de aspecto juvenil. Cuando los bordes incisales se desgastan con la edad, los puntos de contacto desaparecen progresivamente. Este proceso se inicia en los incisivos centrales y continúa por los incisivos laterales. Tarde o temprano se alcanza el punto en el que la sonrisa tiene un aspecto viejo (figs. 11 y 12).
Los espacios interdentales también pueden influir en la longitud y la anchura percibidas de los dientes y en el aspecto de los bordes incisales. Por medio de modificaciones de las formas de los bordes incisales pueden estrecharse o ensancharse visualmente los dientes.
Las arcadas dentarias anteriores con espacios interdentales incisales marcados parecen más estrechas. A la inversa, si el desgaste de los dientes está tan avanzado que faltan los espacios interdentales incisales, se crea la impresión de una línea recta y el segmento de los dientes anteriores parece más ancho28.
Proporciones dentales
El principal objetivo de toda rehabilitación de la dentición consiste en crear, de conformidad con el paciente, un estado de los dientes lo más natural posible. Los incisivos centrales superiores desempeñan un papel especialmente importante cuando se trata de establecer a partir de la distribución de formas y tamaños la impresión visual del segmento de los dientes anteriores. Las formas desproporcionadas -esto es, cuando los dientes son demasiado largos, cortos, anchos o estrechos con respecto a las proporciones generales- pueden perturbar la armonía facial.
Lo que domina es el requisito más importante para la esencia de la composición, que no es otra que la coherencia27. A fin de dotar de mayor fuerza a la composición, se refuerzan los elementos dominantes de orden superior mediante elementos dominantes subordinados. Por ejemplo, en rostros agraciados por una sonrisa bonita lo que domina de la boca se sitúa por encima de lo que domina de los ojos.