Las caries son uno de los problemas de salud bucodental más comunes, afectando al 95% de los adultos mayores de 30 años, según el Consejo General de Dentistas. A continuación, te explicamos todo sobre las caries, desde su formación hasta los tratamientos disponibles.

¿Qué son las Caries?
Las caries son el resultado de la destrucción progresiva del esmalte y la dentina por los gérmenes de la placa dental. Característico de la caries es el temido agujero en el diente, que se manifiesta en una fase avanzada.
La caries es una enfermedad del diente causada por bacterias y puede ser contagiosa. Ya sea diente canino, muela del juicio o incluso diente de leche, la caries puede formarse en cualquier parte de nuestros dientes y suele desarrollarse cuando no nos cepillamos los dientes a fondo y con suficiente regularidad.
¿Cómo se forman las Caries?
En cuanto a cómo se forman las caries en los dientes, todo comienza con la desmineralización del esmalte del diente. Las bacterias de la placa excretan ácido y éste desmineraliza la superficie del esmalte.
Cuando la superficie del esmalte se desmineraliza, la placa llega a la superficie de la dentina, que es más porosa. Si la caries llega a la dentina, hablamos ya de una caries interna o avanzada. Estas son más profundas, más difíciles de detener y pueden provocar dolores.
Tipos de Caries
La caries puede tener muchos nombres, dependiendo de dónde se produzca:
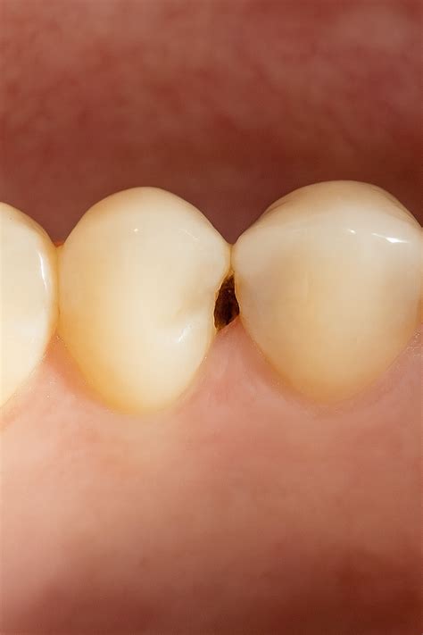
- Caries Interdentales o Interproximales: Se forma entre los dientes, en las superficies de contacto de dos dientes adyacentes. Estas zonas son especialmente susceptibles porque a menudo se olvidan durante el cepillado.
- Caries del Hoyo: Se forma en el diente, es decir, en las superficies masticatorias de los molares.
- Caries Dental del Cuello: Se produce cuando los cuellos de los dientes están expuestos y se forma caries en ellos. Esto ocurre con más frecuencia en las personas mayores, que son más propensas a tener encías retraídas y cuellos dentales expuestos.
- Caries Secundaria: Describe la formación de caries en zonas que ya han sido tratadas, desarrollándose en la zona de empastes y coronas, o bajo un empaste o corona. Esta nueva formación de caries se denomina recidiva de caries y suele ser el resultado de un tratamiento inicial deficiente.
Causas de las Caries
No todos somos iguales y la razón por la que se produce una caries dental tampoco es igual en todos los pacientes:
- Genética: Tener un esmalte débil o sensibilidad dental puede ser un factor hereditario.
- El PH de la saliva: Un pH salival bajo (ácido) favorece la proliferación de bacterias que causan caries. Si la saliva no neutraliza bien los ácidos, el esmalte dental se desgasta más rápido.
- Sistema inmune débil: Un sistema inmunológico comprometido no combate eficazmente las bacterias bucales. Esto facilita la aparición de caries y otras infecciones orales como llagas.
- Alimentación: Consumir muchos azúcares o carbohidratos fermentables alimenta las bacterias que generan caries.
- Mala higiene dental: No cepillarse correctamente o no usar hilo dental permite que se acumule placa. Esta placa se convierte en sarro y produce ácidos que dañan el esmalte.
Factores de Riesgo Adicionales
Además de los factores mencionados, existen otros que también pueden influir:
- Tabaquismo: El tabaquismo daña el esmalte.
- Bajo flujo de saliva: La saliva ayuda a proteger los dientes de la caries, por lo que las personas con bajo flujo de saliva corren más riesgo.
- Esmalte dental defectuoso: Un esmalte débil o defectuoso puede estar causado por genes mutados.
- Embarazo: Durante el embarazo, las futuras madres corren especial riesgo de desarrollar caries o enfermedades de las encías debido a cambios hormonales.
Síntomas de una Carie Interna
Los síntomas de las caries pueden variar en función de la gravedad de la caries y de dónde esté localizada, pero por norma general, estos son los síntomas más comunes:
- Dolor o sensibilidad cuando exponemos el diente afectado a frío, calor o alimentos dulces.
- Manchas que pueden ser blancas (en la fase inicial, también llamadas caries blancas o leves) o negras (cuando la caries ya está más avanzada).
- A veces se pueden percibir físicamente (se puede notar un agujero en la pieza dental) pero, en otras ocasiones, las caries están entre los dientes por lo que no se pueden detectar tan fácilmente.
- Dolor, latidos y pulsaciones son síntomas de que la caries está muy profunda.
- Al pasar el hilo dental, se engancha y se deshilacha.
Un signo temprano de caries dental podría ser cuando sus dientes reaccionan repentinamente de forma desagradable a los alimentos calientes o muy fríos. Las personas afectadas por caries pueden ser sensibles cuando sus dientes entran en contacto con alimentos dulces. Esto se debe a que la caries daña el esmalte en un lugar y abre un camino hacia el nervio. La caries avanzada también puede provocar mal aliento.

¿Cómo Detectar las Caries?
La caries en sus fases más tempranas no suele poder detectarse por uno mismo, por eso son tan importantes las revisiones periódicas en el dentista.
El primer paso para detectar la caries es observar de cerca los dientes. Para ello, el dentista utiliza un pequeño espejo y una luz muy brillante. Durante este primer examen, el médico puede detectar cambios en la superficie del diente que pueden indicar la presencia de caries. Si es así, el médico puede confirmar sus sospechas con una sonda especial. Si, por ejemplo, la sonda se atasca en un punto, suele ser señal de que allí hay caries.
Los rayos X son otra forma de detectar caries bien ocultas. La gran ventaja es que las imágenes de hacen visible el daño en una fase muy temprana, lo que no ocurre cuando se examina con una sonda. La desventaja, por supuesto, es la exposición a la radiación.
Más suave es la llamada transiluminación con fibra óptica, que describe el paso de luz a través de los dientes. El dentista dirige la luz fría hacia el diente mediante una sonda (roma). Este método de examen es ideal para detectar caries en los espacios interdentales de los dientes posteriores y anteriores. La medición de la resistencia eléctrica y el diagnóstico por fluorescencia láser son otros métodos para la detección precoz de la caries.
Tratamientos para la Carie Interna
Una vez que se ha desarrollado la caries, es importante detener la enfermedad lo antes posible. La terapia es más suave cuando la caries aparece en forma de manchas blancas. En esta fase temprana de la enfermedad, no es necesario utilizar un taladro.
Es probable que el dentista recomiende el uso de un dentífrico altamente concentrado en flúor para remineralizar el diente. También se puede considerar como terapia la aplicación de varias aplicaciones de flúor por el propio dentista.
Si la caries ya ha alcanzado la dentina, a menudo hay que recurrir a la fresa. Con este aparato se elimina la caries de la zona afectada. Por supuesto, la cavidad que se crea allí debe rellenarse de nuevo. Los materiales más comunes para el relleno son:
- Amalgama de plata: Es barata y dura mucho, pero su color plateado la hace poco atractiva y contiene mercurio.
- Composite: Es del color del diente, pero no es tan estable como la amalgama.
- Cemento mineral: Es un cemento especialmente desarrollado para uso dental.
Cuando la caries ha penetrado profundamente en el diente, afectando a la pulpa dental, es necesario desvitalizar el diente, se crea una vía de acceso a la cámara pulpar, que se limpia cuidadosamente con la ayuda de limas dentales y se rellena con una sustancia inerte llamada gutapercha.
Consecuencias de no tratar una Carie
Siempre que experimentemos alguno de los síntomas mencionados anteriormente, debemos consultar con nuestro dentista para tratar el problema lo antes posible. De no ser así, las consecuencias de no tratar una caries pueden ser diversas:
- Si no se trata cuando aún es una caries blanca (sin llegar a la dentina), será necesario obturar, es decir, hacer un empaste.
- Las caries dentales atrapan más placa bacteriana por lo que pueden hacer que aparezcan más caries.
- Una de las consecuencias de las caries más frecuentes es una mayor sensibilidad al calor, al frío y a los alimentos azucarados o ácidos.
- Las caries en los dientes también pueden provocar mal aliento.
- Si la caries llega al nervio puede ser necesario matarlo, es decir, realizar un tratamiento de conductos, también llamado endodoncia.
- Con caries dentales muy desarrolladas la pieza puede sufrir necrosis y el paciente puede llegar a perderla.
- Además, en algunos casos el paciente puede presentar dolor irradiado en maxilar y oído.

¿Cómo Prevenir y Evitar las Caries?
Una buena higiene bucal y hábitos saludables son fundamentales para prevenir la aparición de caries. Aquí hay algunos consejos:
- Adopta una buena rutina de higiene oral.
- Opta por productos ricos en flúor.
- Adopta una alimentación sana.
- Acude regularmente al dentista.
- Cepillarse los dientes después de cada comida, al menos dos veces al día.
- Realizar revisiones en el odontólogo cada 6 o 12 meses (dependiendo de la fisiología de cada persona, siguiendo la recomendación del dentista).
- En el caso de una alta propensión a desarrollar caries, es posible utilizar selladores dentales, que son películas protectoras que se aplican en las superficies de masticación de los dientes posteriores (los más difíciles de limpiar con un cepillo de dientes) para cerrar surcos y fisuras (zonas potenciales de acumulación de placa).
Caries Interdentales y Ortodoncia
Las caries tienden a desarrollarse sobre todo en los dientes posteriores (en las muelas). Estas piezas dentales son las más difíciles de alcanzar con el cepillo y el hilo dental, lo cual puede ser aún más complicado con el uso de ortodoncia fija.
Con el uso de ortodoncia removible, como los alineadores invisibles, esta dificultad añadida desaparece. Los alineadores pueden retirarse, permitiendo una mejor técnica de cepillado.
Durante la primera visita para un tratamiento de ortodoncia, se realiza una radiografía panorámica y un examen bucodental para detectar caries y poder actuar en consecuencia.
La obturación de caries es uno de los pre tratamientos más comunes y, para facilitar el inicio del tratamiento con alineadores, en algunas clínicas cuentan con expertos cualificados para realizar este tipo de intervenciones.
Remineralización Dental
En las caries muy pequeñas o detectadas en etapas iniciales, se puede llevar a cabo un tratamiento de remineralización con flúor. Es muy importante que el paciente recuerde que las caries no remiten por sí solas y necesitamos tratarlas y controlarlas en manos de especialistas en restauración dental para evitar comprometer la vida de nuestras piezas dentales.
Recuerda, la mejor forma de evitar las caries siempre será la prevención, mediante una correcta alimentación y sobre todo cuidando los hábitos de higiene dental: el cepillado dental tres veces al día y el uso de hilo dental o de cepillos interdentales una vez al día serán tus grandes aliados para prevenir las caries interproximales.