La caries dental es una enfermedad en la que los procesos bacterianos dañan la estructura dura del diente formada por el esmalte, la dentina y el cemento. Inicialmente, pueden aparecer como una pequeña área descalcificada que puede convertirse en una gran cavitación.
La caries es un proceso en el que la ganancia de minerales del tejido dentario es menor que la pérdida de ellos, lo que conlleva a la formación inicial de una lesión opaca y blanca, que en un comienzo será no cavitada y si el proceso continua se cavitará.

Este proceso implica un cambio en el equilibrio entre los factores protectores (que ayudan a la remineralización) y los factores destructivos (que ayudan a la desmineralización), favoreciendo la desmineralización de la estructura dental con el tiempo.
Entendiendo la Caries: Tipos y Proceso
Por lo tanto, la caries es un proceso dinámico y multifactorial provocado por las bacterias, generalmente crónico y en un lugar específico, que resulta del desequilibrio fisiológico entre el mineral del diente y el fluido de la placa; es decir, cuando la reducción del pH provoca la pérdida neta del mineral con el tiempo.
La desmineralización es la pérdida del material calcificado de la estructura dentaria. Este proceso químico puede realizarse por medio de la biopelícula (caries) o de forma química (erosión) a partir de una fuente de ácido exógena o endógena (p. ej.: a partir de los alimentos, el medio, o el estómago).
La remineralización es el aumento neto de material calcificado dentro de la estructura dentaria, que reemplaza al material previamente perdido debido a la desmineralización.
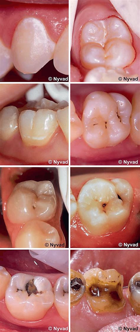
Lesiones de Caries: Cavitadas y No Cavitadas
Una lesión de caries/lesión careada es un cambio detectable en la estructura dental como resultado de las interacciones entre la biopelícula y el diente debido a la enfermedad de caries. Es la manifestación clínica (signo) del proceso de la caries. «Las personas tienen caries dental; los dientes tienen lesiones de caries».
Una medición/evaluación física de la pérdida neta de mineral en dirección pulpar. Esto se puede clasificar, someter a escala o medir como fracciones de esmalte y/o grosor de la dentina, en dirección pulpar, que han sufrido una pérdida neta de mineral.
Es el estado de evolución de la lesión a lo largo del espectro de pérdida neta de mineral, desde la pérdida inicial en el plano molecular, hasta la destrucción total del tejido. Esto implica tanto la profundidad de la lesión en dirección pulpar (proximidad a la unión dentina-esmalte y la pulpa) como de la pérdida de mineral en términos de volumen.
Una lesión no-cavitada es una lesión de caries/careada cuya superficie parece intacta macroscópicamente. En otras palabras, es una lesión de caries pero sin la evidencia visual de la cavidad. Esta lesión aún puede ser revertida por medios químicos, o detenida por medios químicos o mecánicos.

Actividad de la Caries
Una lesión de caries activa es aquella en la que, durante un periodo de tiempo concreto, hay una pérdida neta de mineral; es decir, la lesión avanza. En la dentina, es probable que la lesión esté activa cuando la dentina está blanda o áspera al explorar cuidadosamente con la sonda.
Una lesión inactiva es aquella que no está sufriendo una pérdida mineral neta; es decir, el proceso de caries en una lesión específica ya no está avanzando. Es una «cicatriz» de una enfermedad del pasado.
Otros Tipos de Lesiones
- Lesiones de caries ocultas: Este término se utiliza para describir lesiones en la dentina que pasan desapercibidas en un examen visual pero son lo suficientemente grandes y están lo suficientemente desmineralizadas como para ser detectadas mediante radiografía.
- Lesiones de caries secundaria: Lesiones de caries que se producen al margen de, o adyacentes a, una obturación. Varios investigadores han sugerido que la caries secundaria tiene muchas probabilidades de ser una caries primaria adyacente a obturaciones.
- Lesiones de caries radicular: Son frecuentes cerca de la UCE, aunque pueden aparecer en cualquier parte de la superficie de la raíz.
Tratamientos para Lesiones No Cavitadas
Existen variados tratamientos para tratar estas lesiones blancas no cavitadas entre los que existen las resinas infiltrantes.
Con nombre comercial ICON este tratamiento está indicado para lesiones D1 o R3 según criterio de detección radiográfico (radiolucidez hasta el tercio externo de la dentina) y lesiones de mancha blanca en superficies libres vestibulares. Existe variada evidencia científica que respalda su uso, tanto en tratamiento interproximal como para tratamiento de superficies libres.
Dr. José Cedillo - Resinas infiltrantes, una novedosa opción para las lesiones de caries...

Consideraciones Adicionales
Estas caries son el tipo más difícil de diagnosticar ya que, con frecuencia, no se puede detectar visual o manualmente con un explorador dental. Las radiografías de aleta de mordida a menudo no pueden detectar las lesiones iniciales del esmalte, por lo que hasta que las lesiones no han penetrado en la dentina no se pueden diagnosticar.
Otro problema asociado con este tipo de radiografías de aleta de mordida es que una radiolucidez proximal no siempre refleja la presencia de caries; esa radiolucidez puede deberse a un desgaste a nivel del cuello, producida por la disminución de la atenuación de los rayos X en el cemento del diente.
La opción de tratamiento sin intervención solamente puede considerarse en lesiones inactivas en pacientes que cumplen con las estrategias de higiene y control de placa.
Infección Buco-dental
La mayoría de las infecciones orofaciales son de origen odontogénico, originándose en las estructuras que forman el diente y el periodonto. En general, son problemas locales autolimitados, aunque ocasionalmente pueden traspasar por contigüidad los espacios profundos de cabeza y cuello (infecciones del espacio parafaríngeo), causar osteomielitis, y provocar complicaciones sistémicas.
Las infecciones odontógenas generalmente son de origen polimicrobiano a partir de la flora habitual de la cavidad oral y en general solo precisan tratamiento local (antisepsia, drenaje, desbridamiento) combinado con una adecuada analgesia.
Siempre se debe recomendar una buena higiene bucal, base de la prevención. Las infecciones que requieran tratamiento antibiótico deben ser revaloradas a las 48-72 horas ya que la progresión de la infección en el niño puede ser muy rápida.
Microorganismos Causantes
A continuación, se presenta una tabla con los microorganismos causantes de diferentes entidades infecciosas bucodentales:
| Entidades | Frecuentes | Menos frecuentes |
|---|---|---|
| Caries | Streptococcus del grupo mutans (S. mutans, S. sobrinus) | Lactobacillus spp, Rothia mucilaginosa y Veionella parvula |
| Infección dentoalveolar: pulpitis, infección periapical, flemón/celulitis/absceso | Aerobios: Streptococcus spp, Streptococcus grupo viridans, Eikenella corrodens Anaerobios: Peptostreptococcus spp, Prevotella spp, Fusobacterium spp, Porphyromonas spp, Bacteroides spp | Aerobios: Staphylococcus spp, Corynebacterium spp, Campylobacter, Neisseria spp, Actinomyces spp, Lactobacillus spp Anaerobios: otros |
| Enfermedad periodontal: Gingivitis inducida por placa, Gingivitis no inducida por placa, Periodontitis, Periodontitis necrotizante, Periodontitis asociada a enfermedad sistémica | Porphyromonas gingivallis, Aggregatibacter Actinomycetemcomitans, Tannerella forsythia, Spirochetas, Prevotella intermedia, Dialister pneumosintes/invisus, Eubacterium nodatum, Treponema denticola | Campylobacter rectus, Peptostreptococcus micros, Fusobacterium nucleatum, Selenomonas noxia, Eikenella corrodens |
| Angina de Ludwig | Habitualmente polimicrobiana Streptococcus viridans, Peptostreptococcus spp | Otros: Fusobacterium nucleatum, Bacteroides pigmentados: Prevotella melaninogenica, Actinomyces spp. |
Tratamiento Antimicrobiano Empírico
La antibioterapia debe reservarse para cuando existen signos de propagación de la infección, siendo de elección la amoxicilina.
A continuación, se presenta una tabla con las recomendaciones de tratamiento antimicrobiano empírico:
| Indicaciones | Primera elección | Alternativas |
|---|---|---|
| Si la infección local se extiende rápidamente Síntomas de afectación sistémica: fiebre, debilidad general, postración Paciente con factores de riesgo Patología dentaria traumática (únicamente avulsión dentaria) | Amoxicilina 40-50 mg/kg/día (máx. 500 mg/dosis), en 3 dosis, VO. | Si alergia a penicilinas: Azitromicina 10 mg/kg/día, dosis única (máx. 500 mg), VO. Metronidazol 30mg/kg/día (máx. 500 mg/dosis), en 3 dosis, VO. Si enfermedad grave: Amoxicilina/clavulánico 100 mg/kg/día (de amoxicilina), en 3 dosis, IV (máx. 4g/día amoxicilina máx. 375 mg/día clavulánico) Si no hay mejoría en 48 horas asociar metronidazol 15-30 mg/kg/día, en 3 dosis (máx 500 mg/dosis), VO/IV o clindamicina 20-40 mg/kg/día (máx. 2,7g día, si riesgo vital 4,8 g/día), en 3-4 dosis, IV Si inmunocomprometidos: Meropenem 20 mg/kg/8h (máx 2 g dosis) en 3 dosis Cefepime 50 mg/kg/8h (máx 2 g dosis) + metronidazol 15-30 mg/kg/día, en 3 dosis (máx 500 mg/dosis) VO/IV o clindamicina 20-40 mg/kg/día, en 4 dosis, IV |
| Angina de Ludwig | Preservar la vía aérea Siempre antibioterapia Considerar drenaje quirúrgico | Ceftriaxona 50-100 mg/kg/día en 1-2 dosis (max. 2g/dosis) junto con metronidazol 20-40 mg/kg/día, en 3-4 dosis, IV o clindamicina 20-40 mg/kg/día, en 4 dosis, IV Valorar asociar dexametasona 0,6mg/kg IV cada 6h durante 48h Si alergia a penicilinas: Meropenem 20 mg/kg/8h (máx. 2 g dosis) en 3 dosis |
Conclusiones
El uso de la terapia con resinas infiltrantes tanto para detención de lesiones incipientes interproximales como para tratamiento de lesiones libres vestibulares (post tratamiento de ortodoncia) está respaldada por la evidencia científica. Los estudios revelaron que el uso de RI para detener la progresión de lesiones de caries no cavitadas es alentador. Esto sugiere que RI es una prometedora técnica no invasiva.
La evidencia científica disponible nos muestra también que la infiltración de resina mejora significativamente la apariencia clínica de LBNC vestibulares y reduce su tamaño. Sin embargo, ensayos clínicos de alta calidad y a largo plazo, son necesarios para confirmar la eficacia de RI en la detención de lesiones no cavitadas tanto en dientes temporales como permanentes. En particular, con el fin de determinar los beneficios a largo plazo.