Si te han aparecido manchas blancas en los dientes, es normal preguntarse por qué aparecen estas lesiones blancas en el esmalte y si suponen un problema de salud o solo estético. A continuación, te explicamos de manera clara y profesional todo sobre las manchas blancas dentales para que puedas cuidar mejor de tu sonrisa y saber cuándo es necesario acudir al dentista.

¿Qué son las Manchas Blancas en el Esmalte Dental?
Las manchas blancas en el esmalte dental se producen por una alteración en la mineralización de la superficie del diente. Es decir, algo ha afectado el esmalte haciéndolo perder minerales y volviéndolo opaco o de un color más claro que el resto.
Causas de las Manchas Blancas en los Dientes
A continuación destacamos las diferentes causas que dan lugar a estas decoloraciones dentales:
- Desmineralización del Esmalte por Placa Bacteriana: La causa más frecuente de manchas blancas es la desmineralización del esmalte por acumulación de placa bacteriana. Si no te cepillas correctamente, los restos de comida alimentan bacterias que producen ácidos.
- Higiene Oral Deficiente: Una higiene oral deficiente (especialmente con aparatos de ortodoncia o prótesis) facilita la aparición de estas manchas. Un caso típico son las manchas que aparecen alrededor de donde estuvieron los brackets de ortodoncia. Durante un tratamiento de ortodoncia fija, es esencial extremar la higiene. De lo contrario, la placa se acumula alrededor de los brackets y provoca lesiones blancas en el diente (lo que llamamos lesiones blancas incipientes o caries incipiente en fase inicial).
- Alimentación Poco Equilibrada: Una alimentación poco equilibrada también puede contribuir a las manchas blancas. Por un lado, una dieta baja en minerales esenciales como calcio, fósforo o magnesio puede predisponer a un esmalte más débil y propenso a la descalcificación. Si tu cuerpo no recibe o no absorbe suficiente calcio, tus dientes pueden resentirse. Por otro lado, el consumo excesivo de alimentos y bebidas azucaradas o muy ácidas erosiona el esmalte. Refrescos carbonatados, zumos cítricos en exceso, dulces y alimentos ácidos van desgastando la superficie del diente. Este ácido constante facilita que el esmalte pierda minerales. El resultado son áreas opacas blancuzcas, señal de desmineralización.
- Fluorosis Dental: La fluorosis dental es otra causa de manchas blancas, aunque solo ocurre durante la formación de los dientes permanentes. Si un niño pequeño ingiere flúor en exceso mientras se desarrollan sus dientes (aproximadamente entre los 0 y 8 años de edad), el esmalte puede formarse con un aspecto moteado. Hay que aclarar que la fluorosis leve es principalmente un problema estético y no afecta la función del diente. Sin embargo, es importante prevenirla controlando la ingesta de flúor en la niñez. Las fuentes comunes de exceso de flúor suelen ser ingerir pasta dental fluorada (los niños a veces se tragan el dentífrico) o aguas con niveles altos de flúor. Por eso, los odontopediatras recomendamos supervisar el cepillado de los niños pequeños, usar solo una cantidad de pasta del tamaño de un grano de arroz y elegir una crema dental infantil con la cantidad de flúor adecuada para su edad. La fluorosis causa manchas blancas desde la infancia, pero se puede evitar con un uso responsable del flúor.
- Hipoplasia del Esmalte: La hipoplasia del esmalte es un defecto en la formación del esmalte dental. A diferencia de la desmineralización por ácidos o placa, en este caso el diente ya erupciona con zonas de esmalte menos mineralizadas. Esto puede ocurrir por diversos motivos durante el desarrollo dental: factores genéticos, deficiencias nutricionales o enfermedades en la infancia, fiebre prolongada, consumo de ciertos antibióticos como las tetraciclinas durante el embarazo o primeros años, etc. El resultado de la hipoplasia son dientes que presentan manchas o parches blancos desde que salen. Estas manchas indican que el esmalte allí es más débil. Aunque la hipoplasia solo ocurre mientras el diente se forma (niñez), sus efectos se ven toda la vida si no se tratan. Además, esas zonas son más vulnerables a la caries.
- Intolerancia Digestiva al Gluten: La intolerancia digestiva al gluten puede provocar daños en el esmalte dental a consecuencia de la mala asimilación del calcio.
- Fármacos: La ingesta de algunos medicamentos como la tetraciclina puede originar este tipo de lesiones en los dientes de los niños.
Síntomas Causados por Caries
Cuando la caries está ubicada al nivel del esmalte, es decir, de la capa exterior no presenta síntomas. El paciente no experimenta dolor ni sensibilidad, pues el esmalte no tiene vínculo con los nervios. Pero en este punto, con una pequeña radiografía, nuestro dentista ya podría diagnosticarla y tratarla, para evitar que crezca.
Al llegar a la dentina, que es la capa ubicada justo bajo el esmalte, la caries provoca sensibilidad a los cambios térmicos, al dulce y al ácido. Esto debido a que la dentina si posee inervación.
Ante la presencia de caries, el paciente manifiesta mayor retención de residuos entre los dientes y, al pasar el hilo dental entre las piezas, se puede evidenciar deshilachado.
Cuando la caries ya ha avanzado a través de toda la capa de destina, las bacterias envuelven la pulpa dentaria y ocasiona su inflamación, conocida como “el nervio del diente”. En este punto ya el dolor es intenso, espontáneo y se intensifica ante cualquier estímulo, cambios térmicos por ejemplo.
Complicaciones Derivadas de la Caries
- Dolor e inflamación en la zona de la encía, en el diente afectado.
- Se puede producir un absceso dental, con pus, claro signo de infección.
- Dientes deteriorados y rotos, con amplias cavidades que acumulan restos de alimento.
- Inconvenientes para masticar y digerir correctamente el alimento, dado que al tener dolor, masticamos peor.
- Cambios de posición de la dentadura tras la pérdida o fractura grave de un diente.
¿Debo Preocuparme por las Manchas Blancas?
En sí mismas, las manchas blancas pequeñas no suelen doler ni provocar síntomas inmediatos. Muchas veces son un problema estético. Por ejemplo, las manchitas por fluorosis leve o por brackets pueden no afectar la fortaleza general del diente. Sin embargo, sí pueden ser una señal de alerta temprana. Por ello, no debes ignorarlas.
Una mancha blanca puede avanzar a una caries visible (mancha marrón u oscura con cavidad) si no se remineraliza a tiempo. Mi recomendación profesional: si ves una o más manchas blancas persistentes en tus dientes, acude al dentista para una evaluación. El odontólogo podrá determinar la causa (caries incipiente, fluorosis, etc.) mediante examen clínico e historial, y así proponerte el tratamiento adecuado antes de que empeore.
Es poco probable que las manchas blancas desaparezcan por sí solas. A diferencia de una mancha superficial por alimentos, estas no son simplemente una pigmentación que se pueda cepillar para quitar. Recuerda que implican un cambio en la estructura del esmalte (pérdida de minerales).
¡MANCHAS BLANCAS EN LOS DIENTES! | TRATAMIENTO PARA ELIMINARLAS
Tratamientos para Quitar las Manchas Blancas en los Dientes
La buena noticia es que existen tratamientos dentales efectivos para quitar o difuminar esas manchas blancas, recuperando un color parejo en tu sonrisa. La elección del tratamiento dependerá de la causa y de la profundidad de la lesión en el esmalte. Como dentista, siempre empiezo evaluando cuánto del esmalte está afectado y si aún hay posibilidad de remineralizarlo.
1. Limpieza Profesional
En casos donde las manchas blancas son superficiales, el primer paso suele ser una limpieza profesional. Si la causa fue placa acumulada, una profilaxis con el dentista (que incluye ultrasonidos para el sarro y pastas de pulido especiales) puede mejorar bastante el aspecto. Además, tras la limpieza, el diente queda más receptivo a tratamientos remineralizantes (porque no hay placa interfiriendo).
2. Remineralización
Si identificamos que la mancha es una lesión incipiente de caries (desmineralización sin cavidad), podemos intentar revertirla mediante remineralización. ¿En qué consiste? En aplicar productos con alto contenido en fluoruro u otros minerales para que el esmalte vuelva a endurecerse. Por ejemplo, barnices de flúor aplicados por el dentista, pastas dentales de prescripción con 5000 ppm de flúor (mucho más concentradas que las de uso común) o geles con caseína-fosfopéptido y fosfato de calcio (CPP-ACP). La efectividad de la remineralización depende de cada caso (si la mancha es muy profunda no bastará), pero siempre es recomendable intentarlo en manchas recientes.
3. Microabrasión
La microabrasión es una técnica mínimamente invasiva para tratar manchas blancas superficiales. Consiste en pulir microscópicamente la capa externa del esmalte donde está la mancha. Para ello utilizamos una pasta abrasiva especial y ácidos suaves que eliminan unas pocas micras de esmalte. ¿Para qué casos sirve? Principalmente para manchas blancas poco profundas, por ejemplo, las causadas por fluorosis leve o desmineralización superficial. Al eliminar esa fina capa externa, se expone esmalte sano por debajo y la mancha se atenúa o desaparece. En mi experiencia, la microabrasión da muy buen resultado en manchas blancas pequeñas y planas en la superficie del diente.

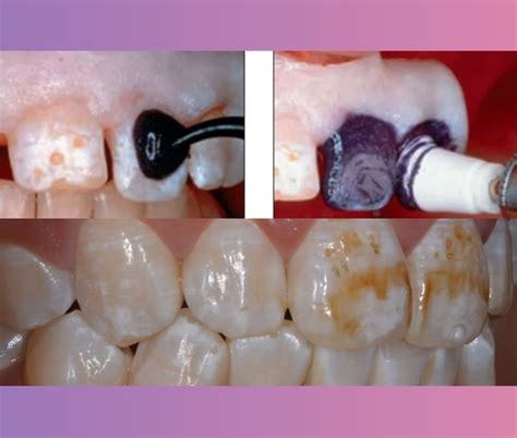
4. Infiltración de Resina (Sistema Icon)
Una de las técnicas más novedosas y que más ha revolucionado el tratamiento de manchas blancas es la infiltración de resina, conocida comercialmente como sistema Icon. ¿Cómo funciona? Primero se prepara la superficie de la lesión con un gel ácido para abrir los poros del esmalte desmineralizado. Luego se aplica una resina líquida especial de muy baja viscosidad que penetra por capilaridad en la zona porosa blanca. Esa resina infiltra el esmalte lesionado y al polimerizar (endurecerse) rellena los espacios vacíos, enmascarando visualmente la mancha blanca. La infiltración de resina es excelente para manchas blancas post-ortodoncia, caries incipientes sin cavidad e incluso algunas fluorosis moderadas. En una sola visita se puede lograr una mejora estética notable sin necesidad de taladrar ni poner anestesia.
5. Blanqueamiento Dental Profesional
El blanqueamiento dental profesional puede ser un aliado para uniformizar el color del diente cuando hay manchas leves. Ojo, el blanqueamiento en sí no elimina una mancha blanca, ya que estas manchas no tienen pigmento que aclarar (de hecho, son más claras que el resto). Pero ¿qué logramos? Suelo recomendar el blanqueamiento complementario tras otros tratamientos. Por ejemplo, después de una microabrasión o de remineralizar, hacer un blanqueamiento ayuda a homogeneizar el resultado. Es importante hacerlo de manera profesional con supervisión, ya que un blanqueamiento mal hecho (o esos kits caseros agresivos) pueden resecar temporalmente el esmalte y paradójicamente hacer más visibles las manchas blancas durante unos días.
6. Carillas Estéticas
Las carillas estéticas son la solución definitiva para manchas blancas muy marcadas o resistentes a otros tratamientos. Recomiendo carillas únicamente en casos donde las manchas son profundas, extensas o asociadas a defectos del esmalte difíciles de corregir de otra forma. Por ejemplo, en fluorosis moderada o severa que dejó un moteado blanco/marrón en varios dientes, o en hipoplasias extensas. Colocar carillas requiere desgastar mínimamente el esmalte (a veces casi nada si usamos carillas ultrafinas) y tomar impresiones para fabricarlas a medida. El resultado es un diente con apariencia perfectamente uniforme en color y forma. En mi consulta siempre agotamos primero opciones conservadoras (remineralizar, infiltrar, pulir).
7. Resina Compuesta
Por último, en algunos casos puntuales se puede optar por rellenar la zona de la mancha con resina compuesta (el mismo material de los empastes del color del diente). Esto se hace cuando la mancha blanca viene acompañada de una pequeña depresión o defecto en el esmalte. El procedimiento es simple: se elimina ligeramente el esmalte superficial de la zona y se coloca resina del tono del diente, puliendo después. A diferencia de una carilla que cubre todo el frente, aquí solo parcheamos la mancha específica. No siempre es viable, ya que requiere que la lesión tenga algo de profundidad para retener el material. Estéticamente puede quedar muy bien si el color se iguala correctamente.
Importante: cada tratamiento debe ser indicado según la causa. Por ejemplo, si la causa fue fluorosis, quizás con microabrasión y blanqueamiento baste. Si fue caries incipiente, priorizaremos remineralizar o infiltrar. Y siempre, siempre, tratar primero la causa: mejorar hábitos de higiene, dieta, etc., para que las manchas no regresen.
¿Cómo Detectar el Impacto Causado por la Caries?
Para evaluar los daños causados por la caries es posible explorar con una sonda o explorador odontológico que permite detectar la presencia de cavidades y de su magnitud. Así, es posible causar la rotura de la capa superficial para poder explorar la cavidad oculta bajo la superficie y proceder a eliminar el tejido deteriorado.
En definitiva, la exploración con la sonda permite a los profesionales de la odontología efectuar el diagnóstico pertinente. Esto resulta de vital importancia respecto a la presencia de manchas blancas de origen hipoplásico, pues este tipo de manchas y las caries blancas suelen aparecer ante la erupción del diente.
Para valorar su magnitud, se realizan radiografías periapicales, para ver un diente en detalle; o una radiografía de toda la boca, que llamamos panorámica, donde observamos todas las estructuras de nuestra boca.
Otros Métodos para Diagnosticar Caries
Los profesionales de la odontología siempre dispondrán de innovadores métodos para diagnosticar los casos de caries blancas y el impacto del deterioro en las piezas dentales. Aunque son menos usados, enumeramos los siguientes métodos:
- Detección electrónica
- Transiluminación
- Test colorimétricos
Además de estos sistemas de diagnóstico dental existen test que permiten identificar la cantidad de bacterias, como estreptococos mutans y lactobacilos acidófilos, que posee la dentadura de una persona.
Prevención de las Manchas Blancas
Como has visto, la mayoría de las manchas blancas surgen por hábitos o factores que podemos controlar en gran medida. Aquí te damos algunos consejos para la prevención.
1. Higiene Oral Rigurosa
- Cepíllate los dientes al menos dos veces al día (idealmente después de cada comida) con una pasta fluorada.
- Usa hilo dental o cepillos interdentales una vez al día para limpiar entre los dientes.
- Si llevas brackets u ortodoncia, emplea cepillos especiales para ortodoncia o irrigador bucal para remover la placa en zonas difíciles (en nuestro blog tenemos una guía completa de higiene oral con aparatos que puede ayudarte).
2. Alimentación Equilibrada
- Lleva una dieta rica en nutrientes, incluyendo fuentes de calcio (lácteos, verduras de hoja verde, frutos secos) y vitaminas.
- Evita el exceso de azúcares y alimentos ácidos. No se trata de eliminar por completo el café o los cítricos, pero consúmelos con moderación y enjuaga tu boca con agua después de tomarlos para neutralizar ácidos.
3. Uso Adecuado del Flúor
- Aplica las recomendaciones sobre el flúor según la edad. En niños pequeños, como mencioné, supervisa el cepillado y usa una porción mínima de pasta infantil con flúor (del tamaño de un grano de arroz hasta los 3 años, y tamaño guisante de 3 a 6 años). Enséñales a escupir la pasta, no tragarla.
- En adultos, no temas al flúor: usar pasta dental con 1450 ppm de flúor a diario es seguro y ayuda a remineralizar el esmalte. También tu dentista puede aplicar flúor profesional en gel o barniz si detecta zonas de inicio de caries.
4. Visitas Regulares al Dentista
- Acude a revisiones periódicas, al menos una vez al año (o cada 6 meses si tienes antecedentes de caries o ortodoncia). En estas visitas, el odontólogo puede detectar a tiempo alguna lesión blanca incipiente y tratarla antes de que avance.
- Además, realizarte una limpieza dental profesional anual o semestral mantendrá a raya la placa y el sarro en zonas que el cepillo no alcanza.
5. Evita Remedios Caseros Agresivos
En internet circulan muchos “trucos” para blanquear dientes (bicarbonato, limón, vinagre, etc.). Ten cuidado: estos métodos caseros pueden ser abrasivos y desgastar el esmalte, paradójicamente causando más desmineralización y manchas. Siempre consulta a tu dentista antes de probar algo así. Es preferible usar productos recomendados por profesionales.
6. No Fumes
El tabaco, además de manchar los dientes de amarillo, afecta la salud de las encías y la saliva, disminuyendo la protección natural de tu boca. Fumar puede contribuir a boca seca y acumulación de placa, lo que indirectamente facilita la aparición de lesiones en el esmalte.
Siguiendo estos consejos, mantendrás tus dientes libres de placa y fuertes, por lo que será muy difícil que se formen manchas blancas. En esencia, se trata de mantener una higiene excelente, alimentación sana y chequeos periódicos.

Caries en Niños, Cómo Detectarlas
Si tienes dudas sobre si tu hijo tiene una caries, lo mejor es contactar con un dentista infantil, aún así, existen algunos indicios que nos ayudan a salir de dudas:
- Decoloración o manchas: Revisa primero las muelas, ya que éstas son las primeras en presentar caries. Asegúrate de revisar si tiene manchas. El diente no debe tener decoloración o manchas, ni tampoco roturas.
- Dolores: El dolor es un síntoma que nos puede indicar una caries. Si además, ves sangrado, contacta cuanto antes con tu odontólogo, ya que de ser necesario, éste te remitirá a un especialista en odontopediatria, es especialista en tratar los dientes de los niños.
- Halitosis y mal aliento: Las bacterias de la boca son una de las causas del mal aliento. Esto nos puede indicar que hay una caries, pero también puede ser una alerta para otros problemas.
¿Cuándo se Debe Acudir a un Odontólogo por una Caries?
La presencia de caries muchas veces no resulta evidente. Por ello, se recomienda realizarse controles dentales y limpiezas con regularidad.
En tal sentido, debes acudir lo antes posible a un dentista en caso de presentar dolor a nivel bucal, sensibilidad o dolor o en las encías.
Manchas Blancas en los Dientes de los Niños
Las manchas blancas en los dientes de los niños son áreas de color blanco opaco que suelen aparecer en la superficie de los dientes.
Causas
- Falta de higiene bucal: provoca desmineralizaciones en la superficie del esmalte.
- Fármacos: la ingesta de algunos medicamentos como la tetraciclina puede originar este tipo de lesiones en los dientes de los niños.
- Fluorosis dental: se trata de la ingesta excesiva de fluoruro durante la formación de los dientes definitivos.
Prevención
- Buena higiene bucodental: enseña a tu hijo a cepillarse los dientes correctamente, al menos, dos veces al día con pasta dental que contenga la cantidad de fluoruro adecuada para su edad.
- Dieta equilibrada: hay que reducir el consumo de alimentos y bebidas azucaradas, ya que el azúcar puede aumentar el riesgo de caries dentales.
- Revisiones periódicas: programa visitas regulares al dentista, al menos, cada seis meses o según recomiende su odontólogo.
No obstante, es importante que el niño mantenga una higiene dental adecuada y visite regularmente al dentista.