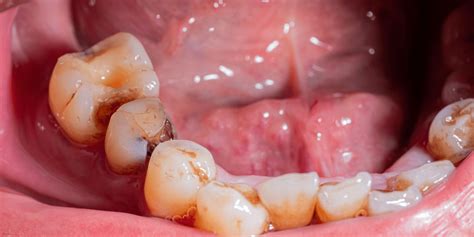
Las caries son un trastorno dental común que afecta a personas de todas las edades y se presentan como perforaciones en los dientes. Seguro que alguna vez te has mirado al espejo y has notado una manchita en un diente. A veces no le damos importancia… hasta que se convierte en un problema serio. Lo que muchos llaman «agujeros en los dientes» -o más comúnmente «hoyos»- son, en realidad, caries.
En realidad, la caries es una enfermedad muy sigilosa que aparece sin que el paciente siquiera se dé cuenta, tal y como explica Colgate. La visita al dentista suele destapar la mayoría de las caries. La finalidad de este artículo es fomentar la comprensión y el conocimiento de temas generales de salud oral. Su propósito no es sustituir la opinión, el diagnóstico o el tratamiento profesionales.
Rutina Anti Caries ¿Cómo se lava los dientes un dentista en casa?
¿Qué es una Caries Interproximal?
Las caries entre los dientes se denominan «caries interproximal«. Las caries interdentales pueden ocasionarnos más problemas de los que nos imaginamos. Muchas veces, nos damos cuenta de que tenemos una caries interproximal cuando ya es demasiado tarde y el dolor nos avisa de que algo no va bien. Por el lugar donde se originan, las caries interproximales pueden ser menos visibles y difíciles de detectar. La zona que está entre los dientes es más inaccesible y durante el cepillado dental será más difícil de limpiar. Por lo tanto es una zona propensa a la acumulación de placa bacteriana y sarro que provoca las caries.

Causas de las Caries Interdentales
La causa principal de una caries es la formación de placa, adherida a los dientes. Esta placa, cuando no se elimina, se convierte en sarro. La carie se crea debido a la placa bacteriana que se acumula a causa de alimentos azucarados y de alto nivel de ácido. Las culpables suelen ser las bacterias de la boca, que se alimentan del azúcar que comemos y producen ácidos. Esos ácidos van debilitando el esmalte sin que apenas lo notemos.
En los espacios interdentales se pueden acumular restos de comida con facilidad. Al formarse placa bacteriana, la zona interproximal se puede ver comprometida, ya que en ella el esmalte es algo más débil que en la zona de masticación.
Sin embargo, hay otras razones por las que pueden aparecer las caries:
- Higiene oral insuficiente en los laterales: Si no utilizas hilo dental o cepillos interdentales, es fácil que quede placa bacteriana entre las muelas. Esa placa genera ácidos que van desmineralizando el esmalte lateral poco a poco.
- Consumo frecuente de azúcares y carbohidratos: Una dieta alta en dulces, refrescos azucarados o snacks facilita que las bacterias produzcan ácido. Las caries se alimentan de nuestros descuidos dietéticos.
- Fisuras o espacios retentivos: A veces la forma de nuestros dientes tiene pequeños surcos o áreas donde la comida se queda atrapada. Si una muela tiene una fisura lateral o hay un hueco entre muelas mal alineadas, esa zona se vuelve un nido para la placa.
- Falta de flúor: El flúor ayuda a fortalecer el esmalte y prevenir caries.
- Recesión de encías: En personas con encías retraídas (por ejemplo, por periodontitis), la raíz del diente queda más expuesta. La raíz no tiene esmalte protector, por lo que las caries radiculares pueden aparecer en el lateral cercano a la encía.
Síntomas de las Caries Interproximales
Las caries normalmente no producen dolor. Cuando duelen es cuando son muy grandes y afectan a los nervios o fracturan el diente. Muchas personas se dan cuenta de que sufren una caries entre los dientes cuando notan una punzada de dolor o se les inflama la boca.
Muchas veces, los pacientes llegan a consulta pensando que es «una manchita sin importancia» y resulta que ya hay una caries bastante avanzada. Al pasar el hilo dental, se engancha y se deshilacha. La mejor manera de detectar, sin embargo, una caries interdental es mediante una radiografía odontológica.
¿Cómo puedes identificar una muela picada por el lateral?
- Sensibilidad al comer o beber: Al tomar algo frío, caliente o muy dulce, puedes sentir una punzada de sensibilidad en la muela afectada.
- Dolor localizado: Un dolor de muela que aparece al masticar o al hacer presión en cierta pieza es un signo clásico. Cuando la caries lateral avanza, el dolor puede volverse constante, incluso sin estímulo.
- Mancha u orificio visible: Si logras mirar con un espejo, quizás veas una manchita marrón u oscura en el lateral de la muela, cerca del borde de la encía o entre los dientes. A veces, hasta se percibe un agujerito o una zona áspera al pasar la lengua.
- Mal aliento o sabor desagradable: Una muela con caries puede producir halitosis. Las bacterias al descomponer el diente generan mal olor y un sabor amargo o metálico en la boca.
- Inflamación de encía cercana: En ocasiones la encía junto a la caries se irrita.
Ten en cuenta que en fases iniciales puede que no sientas nada. Las caries incipientes en el lateral son silenciosas. Por eso, si sospechas que tienes una muela picada lateral (por una mancha, o porque tu higiene no ha sido la mejor últimamente), lo más inteligente es acudir al dentista.
Clasificación de las Caries
Las caries se clasifican según su ubicación:
- Clase 1: localizadas en la superficie oclusal del diente (por donde se mastica).
- Clase 2: las caries se sitúan en los molares y los premolares.
- Clase 4: las caries de esta clase sí que afectan del borde incisal.
- Caries de raíz: se origina en la superficie de las raíces de los dientes.
- Caries en la superficie lisa: esta caries se forma cuando la placa se acumula y las bacterias no se eliminan en la superficie plana de los dientes. Se puede tratar con flúor.
Tratamiento de las Caries Interdentales
Dependiendo del alcance de la lesión, las caries interproximales pueden eliminarse y reconstruir la pieza con composite, es decir, con un empaste. La visita al dentista suele destapar la mayoría de las caries. Los especialistas en maxilofacial aconsejan tratarse la caries lo antes posible.
En sus fases iniciales, el tratamiento puede ayudar a impedir que el daño en el diente sea mayor. En el caso de que exista dolor, se recetan analgésicos para aliviarlo. La mejor manera de detectar, sin embargo, una caries interdental es mediante una radiografía odontológica.
¿Qué tratamientos existen?
- Remineralización dental: en las caries muy pequeñas o detectadas en etapas iniciales, se puede llevar a cabo un tratamiento de remineralización con flúor.
- Empastes estéticos: Utilizamos resinas del mismo color que tu diente. Son rápidos, efectivos y estéticos. Se limpia la zona dañada y se rellena con un material que se mimetiza con tu diente.
- Endodoncia: Cuando la caries ha llegado al interior del diente, hay que limpiar la infección, eliminar la pulpa dañada y sellar bien para evitar que vuelva.
- Coronas: Si el diente está muy debilitado, colocamos una funda que lo cubre por completo.
- Extracción: A veces no queda otra que sacar el diente. En ese caso, podemos ofrecerte soluciones como implantes, puentes o prótesis removibles. Hoy en día, perder un diente no significa renunciar a una sonrisa bonita.
¿Qué pasa si no se tratan las caries a tiempo?
El mayor riesgo de no tratar la caries a tiempo es que afecte a la dentina pudiendo llegar a dañarla. El mayor riesgo de no tratar la caries a tiempo es que afecte a la dentina pudiendo llegar a dañarla. Al pasar el hilo dental, se engancha y se deshilacha.
Ignorar una muela picada puede llevarte a problemas serios. La caries avanzará hasta el nervio causando un dolor intenso (pulpitis) y luego el nervio puede morir. Tras eso, las bacterias siguen propagándose y pueden formar un absceso dental, que es una infección con pus muy dolorosa y peligrosa (puede hinchar la cara e incluso derivar en un problema de salud general si la infección se disemina). Además, podrías perder la muela si la destruye por completo o si la infección daña el hueso de soporte.
No tratar una caries también puede afectar a los dientes vecinos: es común que una caries interproximal salte al diente de al lado con el tiempo. Y como mencioné antes, el tratamiento tardío suele ser más costoso y complejo.
Prevención de las Caries Interdentales
Para prevenir las caries se recomienda mantener una higiene bucal y dental adecuada. Esta higiene consiste en una limpieza bucal cada 6 meses, cepillarse los dientes al menos 6 veces al día y usar hilo dental habitualmente.
La mejor forma de evitarlas siempre será la prevención, mediante una correcta alimentación y sobre todo cuidando los hábitos de higiene dental: el cepillado dental tres veces al día y el uso de hilo dental o de cepillos interdentales una vez al día serán tus grandes aliados para prevenir las caries interproximales.
Además, cada vez usamos más tecnologías preventivas como el sellado de fisuras, escáneres digitales o análisis bacterianos. Asimismo, el consumo excesivo de alimentos y bebidas ricos en azúcar y almidón también aumenta el riesgo de producir caries.
Aquí no hay magia.
- Reduce el consumo de azúcares y carbohidratos: Opta por una dieta equilibrada, rica en frutas, verduras, proteínas magras y productos lácteos bajos en grasa.
- Usa enjuague bucal con flúor: El flúor ayuda a fortalecer el esmalte dental y prevenir la formación de caries.
- Bebe agua con flúor: El agua fluorada es beneficiosa para prevenir las caries.
Otros consejos incluyen:
- Higiene interdental diaria: Ahora soy muy disciplinado con el hilo dental cada noche. También puedes usar cepillos interdentales o irrigadores de agua, lo que mejor se adapte a ti.
- Cepillado con fluoruro: No basta con cepillarse rápido. Dedícale al menos 2 minutos, abarcando todas las caras del diente (frente, detrás, arriba). Usa una pasta dental con flúor para ayudar a remineralizar el esmalte.
- Dieta baja en azúcar y ácido: He reducido mucho las golosinas y bebidas carbonatadas. Intenta limitar la cantidad de azúcares que consumes, y si los comes, no los estés «picoteando» todo el día. Mejor comer un postre de una vez y luego cepillarse, que ir comiendo caramelos cada hora.
- Visitas regulares al dentista: Hazte una revisión dental y limpieza profesional cada 6 a 12 meses. El dentista puede detectar caries incipientes en los laterales antes de que duelan.
- Sellantes y flúor tópico: Si tienes tendencia a caries, pregunta a tu odontólogo por los sellantes dentales (una capa protectora plástica que se aplica especialmente en molares jóvenes) o aplicaciones de flúor en consulta.
Estos consejos me han funcionado personalmente y son los que doy a mis pacientes.
Preguntas Frecuentes
¿Duele empastar una muela picada?
¡Por fortuna, no tiene por qué doler! Los procedimientos como el empaste o la endodoncia se realizan con anestesia local, así que no sentirás dolor durante el tratamiento. Puede haber un poco de molestia o sensibilidad después, cuando pasa la anestesia, especialmente si se trató el nervio o si la zona estaba inflamada.
¿Una muela picada se cura sola?
No. Las caries, una vez que han creado un agujero en el diente, no pueden revertirse con remedios caseros ni pasta de dientes. Lo único que puede eliminar la caries es el instrumental del dentista, limpiando la zona afectada y rellenando el hueco. Los remedios caseros (como enjuagues de sal o el clavo de olor que mencioné) solo alivian síntomas temporalmente.
¿Puedo saber si tengo una muela picada sin ir al dentista?
Si notas sensibilidad o dolor al morder en un punto específico, o ves una mancha oscura en el costado de la muela, son indicios. Pasar hilo dental puede ayudarte a detectar caries interdentales: si el hilo se rompe, sale con mal olor o con manchas marrones, puede haber caries entre esas piezas. De todos modos, la forma más segura es visitar al dentista para una evaluación con examen clínico y radiografías.
¿Es posible empastar una muela más de una vez?
Sí, es posible empastar una muela más de una vez si el empaste anterior se ha deteriorado o hay una nueva caries en el mismo lugar. Sin embargo, cada vez que se realiza un empaste, se elimina una pequeña porción del diente, lo que lo debilita progresivamente. Por lo tanto, después de varios empastes, puede ser más conveniente considerar alternativas como una corona dental, especialmente si el daño es extenso o recurrente.
¿Tienes dudas? Escríbenos o ven a vernos.