Las caries son un trastorno dental común que afecta a personas de todas las edades y se presentan como perforaciones en los dientes. A menudo, la visita al dentista revela la mayoría de las caries, subrayando la importancia de las revisiones periódicas.

¿Qué causa las caries?
La causa principal de una caries es la formación de placa, adherida a los dientes. Esta placa, cuando no se elimina, se convierte en sarro. La caries dental es una consecuencia frecuente de consumir alimentos azucarados o con almidón y no tener una buena rutina de cuidado bucal.
Sin una limpieza periódica de los dientes, las bacterias de la boca generan una capa de placa adhesiva que se acumula hasta llegar a disolver el esmalte dental. Cuando el esmalte se desgasta, las bacterias y la placa inciden en la dentina más blanda del interior de la pieza, después en la pulpa central. En la etapa final de una caries dental, se desarrolla una infección en la pulpa sumamente dolorosa que puede adentrarse por debajo del diente y en la encía.
Tipos de Caries
Existen varios tipos de caries, dependiendo de su ubicación y origen:
- Caries de corona: Este es el tipo más frecuente de caries en los niños, pero también afecta a adultos.
- Caries de fisura: Esta penetra hacia el interior dental diente por pequeñas fisuras del esmalte dental.
- Caries de raíz: Se origina en la superficie de las raíces de los dientes.
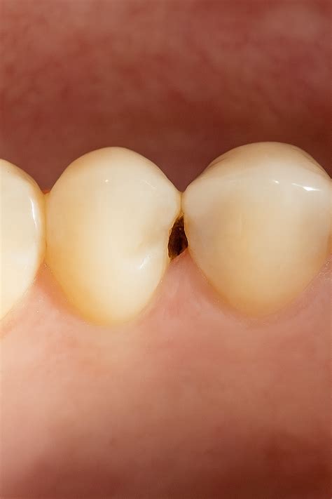
- Caries interproximal: Es el tipo de caries que afecta a dos dientes por su espacio interdental.
- Caries en la superficie lisa: Esta caries se forma cuando la placa se acumula y las bacterias no se eliminan en la superficie plana de los dientes.
- Caries recurrentes: Son aquellas caries que afectan a las zonas adyacentes en las que previamente se ha realizado una reconstrucción dental o se ha colocado una prótesis para tratar una caries.
Síntomas de las Caries
Las caries normalmente no producen dolor. Cuando duelen es cuando son muy grandes y afectan a los nervios o fracturan el diente. Los síntomas de la caries dental suelen ser:
- Dolor de muelas, dolor repentino o dolor que se produce sin causa aparente.
- Sensibilidad en los dientes.
- Dolor leve a agudo cuando comes o bebes algo dulce, caliente o frío.
- Agujeros u hoyos visibles en los dientes.
- Manchado marrón, negro o blanco en cualquier superficie de un diente.
- Dolor cuando muerdes.
Una caries severa puede llegar a interferir en tu vida diaria. Si la infección ya ha empezado a desarrollarse, verás hinchazón y pus, y el dolor puede ser tan intenso que afecte a tu capacidad de comer, con la consiguiente pérdida de peso y carencia nutricional. Además, los dientes picados pueden romperse o caerse.
Clasificación de las Caries
Las caries también se pueden clasificar según su ubicación en el diente:
- Clase 1: Localizadas en la superficie oclusal del diente (por donde se mastica).
- Clase 2: Las caries se sitúan en los molares y los premolares.
- Clase 4: Las caries de esta clase sí que afectan del borde incisal.
Tratamiento de un diente con Caries
Los dientes picados pueden agravarse rápidamente en forma de infección, y puede incluso volverse peligrosa. Si la caries no ha llegado a alcanzar la pulpa dental, el odontólogo podrá realizar un empaste, pero, sin embargo, si ha afectado a la pulpa, podrá extraerla del conducto radicular y rellenar el diente con un material dental estéril. Cuando la caries es tan grande que debilita la estructura de la pieza, a menudo se le coloca una cubierta artificial llamada corona para proteger lo que queda de diente.
Retrasar la visita a tu odontólogo puede provocar que el diente pueda alcanzar un nivel de deterioro que no se puede salvar y hay que extraerlo, el odontólogo puede sustituirlo por un diente falso que recibe el nombre de implante o puente dental. Un juego completo de dientes superiores o inferiores se puede sustituir por implantes o prótesis.
El odontólogo debe explicarte los pros y los contras de cada opción antes de aceptar el tratamiento, pero no esperes antes de reservar una cita si tienes caries avanzadas.
Una infección dental puede progresar más rápidamente de lo que pensamos hasta convertirse en una afección muy importante, incluso a veces potencialmente mortal, llamada sepsis. La sepsis es la reacción del organismo ante la infección, y se manifiesta con fatiga y dolor crónico, que a veces puede complicarse hasta acarrear amputaciones, insuficiencia orgánica y muerte.

⚠️Esta es la caries más peligrosa ¿Cómo evitarla? | Colaboración Oral B
¿Cómo prevenir las caries?
Para prevenir las caries se recomienda mantener una higiene bucal y dental adecuada. Asimismo, el consumo excesivo de alimentos y bebidas ricos en azúcar y almidón también aumenta el riesgo de producir caries.
Una buena y correcta rutina diaria de cuidado bucal ayuda a prevenir la reaparición de las caries y a evitar que aparezcan por primera vez. Cepíllate los dientes por la mañana y la noche, y usa hilo dental una vez al día para eliminar la placa. Enjuágate dos veces al día con un enjuague bucal efectivo que elimine al menos el 99 % de los gérmenes al contacto y reduzca la placa de forma notable.
Visita a tu odontólogo para someterte a una limpieza profesional y una revisión semestral a fin de evitar cualquier otra complicación desde el principio. Los dientes picados no son algo que puedas dejar para más tarde. Con el paso del tiempo, la caries empeora y puede acarrear una infección grave.
En sus fases iniciales, el tratamiento puede ayudar a impedir que el daño en el diente sea mayor. En el caso de que exista dolor, se recetan analgésicos para aliviarlo. Los especialistas en maxilofacial aconsejan tratarse la caries lo antes posible.
Tratamientos Específicos
El tratamiento adecuado de las caries depende de la gravedad y la etapa en que se encuentren:
- Remineralización dental: En las caries muy pequeñas o detectadas en etapas iniciales, se puede llevar a cabo un tratamiento de remineralización con flúor.
- Obturación (Empaste): Un empaste o obturación dental, repara un diente dañado moderadamente por la caries dental.
- Endodoncia: Si esta caries además ha afectado a la pulpa dental o nervio, se deberá proceder a la realización de una endodoncia.
- Tratamiento periodontal: Si la recesión de las encías es causada por una enfermedad periodontal, el paciente necesitará un tratamiento periodontal por parte de tu dentista, que generalmente comienza con el raspado y alisado de la raíz.
- Injerto quirúrgico: Si la recesión de las encías está avanzada, se puede indicar un injerto de encías donde el tejido de las encías ha retrocedido.
- Extracción e implantes dentales: Si un diente no se puede reparar, debido al daño extenso de la caries de la raíz, es posible que debamos recomendar la extracción y el reemplazo de dientes.
La Importancia de la Higiene Bucal
La principal causa en la aparición de caries es la acumulación de placa bacteriana sobre la superficie dental. La placa bacteriana es una fina capa de color traslúcido blanquecina a la cual se adhieren las bacterias presentes en la cavidad oral.
Podemos diferenciar dos tipos de placa bacteriana en función al tipo de bacterias que se adhieren a ella:
- La placa bacteriana cariogénica.
- La placa bacteriana periodontopatogénica.
La placa bacteriana se podrá eliminar manteniendo unos correctos hábitos de higiene buco-dental. Dicho de otro modo, la presencia de caries está directamente relacionada con nuestra limpieza dental y debemos realizar esta correctamente cada día, después de cada comida.
La salivación es clave para eliminar los restos de bacterias de la cavidad bucodental. Por ello, personas que tienen la boca seca, tienen más posibilidades de desarrollar caries. Esta puede estar provocada por ciertas pautas de medicación crónicas, alteraciones o patologías o ciertos tratamientos oncológicos.
Factores como una higiene bucodental deficiente o una dieta poco equilibrada pueden influenciar en su aparición.