La salud bucal es un aspecto fundamental de nuestro bienestar, y aunque el cepillado diario y el uso de hilo dental son hábitos esenciales, hay zonas de nuestra boca que pueden ser difíciles de limpiar correctamente. Las caries interdentales, también conocidas como caries interproximales, son aquellas que se desarrollan en los espacios entre los dientes, donde el cepillo dental no llega con facilidad. Estas caries se forman debido a la acumulación de placa bacteriana en zonas de difícil acceso.

¿Qué es una Caries Interproximal?
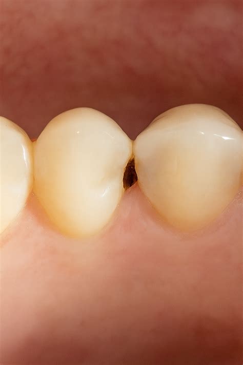
Una carie interproximal es una carie entre los dientes. Se produce cuando la placa se queda en el diente y se endurece, y las encías se recubren de sarro. El ácido de la placa elimina los minerales del esmalte externo.
Esta erosión provoca que el esmalte se descaste, la cual se denominaría la primera fase de una caries. En cuanto una zona del esmalte es desgastada por las bacterias, el ácido entra en la siguiente capa de los dientes, la dentina.
La dentina es la principal estructura de soporte del diente. El túbulo dentinario está formado por unos 30-40.000 tubos diminutos que se extienden desde la superficie hasta la pulpa del diente. Estos pequeños tubos se comunican con los nervios de los dientes y pueden causar sensibilidad.
Como van avanzando las fases de las caries, el ácido y las bacterias siguen atravesando los dientes y entran en el interior del material dental, la pulpa, donde se encuentran los vasos sanguíneos y nervios.
En algunos lugares, la hinchazón se extiende hacia el interior del diente y los nervios de los dientes se comprimen, causando dolor. Las molestias pueden extenderse desde el diente hasta las raíces, requiriendo un procedimiento llamado endodoncia.
Las caries pueden aparecer en los premolares y molares. Estos dientes tienen muchas ranuras donde se pueden acumular residuos de comida. A comparación de mantener limpios que los dientes delanteros, son más difíciles de cuidarlos. Los alimentos azucarados se adhieren a los dientes durante largos periodos de tiempo y tienen más probabilidades de provocar caries provocadas por las partículas de comida en la saliva.
Causas de las Caries Interdentales
Varios factores contribuyen a la aparición de caries entre los dientes.
- Higiene Dental Insuficiente: El principal motivo es una limpieza dental insuficiente.
- Acumulación de Placa Bacteriana: Las bacterias que causan las caries se alimentan de los restos de azúcares y almidones presentes en la boca.
- Disminución de la Saliva: La saliva ayuda a neutralizar los ácidos bacterianos y remineralizar el esmalte.
- Otro factor que no debe subestimarse es el tabaquismo.
- Cuando existe una proporción inadecuada entre los dientes y el maxilar o mandíbula.
- Los diastemas también pueden darse si tienes los incisivos laterales, es decir, los dos dientes a cada lado de los incisivos centrales, demasiado pequeños.
Las personas con apiñamiento de dientes o que llevan ortodoncia o prótesis tienen más riesgo de padecer caries interproximales porque son más propensas a la acumulación de alimentos.
¿Cómo detectar una caries interproximal a tiempo?
Una forma de detectar la caries interproximal es cuando, al pasar el hilo dental, notamos que se engancha y provoca dolor. Las caries interproximales son más difíciles de detectar y, al afectar a más de un diente, son especialmente graves. Son muy importantes las revisiones periódicas en el dentista para poder detectar las caries interproximales de forma precoz.
Tratamientos para las Caries Interproximales
Muchas caries interdentales pasan desapercibidas hasta que causan dolor. El tratamiento dependerá de la gravedad de la caries.
Opciones de Tratamiento
- Remineralización Dental: En las caries muy pequeñas o detectadas en etapas iniciales, se puede llevar a cabo un tratamiento de remineralización con flúor.
- Extracción de la Caries y Empaste: Cuando la caries es más avanzada, habrá que extirpar la zona del diente afectada y reconstruir la pieza dental con un empaste. Una caries detectada a tiempo puede tratarse con un simple empaste. Se perfora el diente para eliminar la caries y luego se rellena con un material como porcelana, oro, plata, resina o amalgama. Tras el empaste, la cavidad se amplía con más esmalte y el empaste se utiliza para devolver al diente su forma y función normales.
- Endodoncia: Si la caries es grave y se deja sin detectar y sin tratar durante mucho tiempo, la endodoncia puede ser la mejor opción para salvar el diente. La endodoncia consiste en la extracción de las encías del interior del diente. Se limpia y desinfecta el diente y se sella la forma del empaste en el hueco. Después de la endodoncia se coloca una corona. La corona está hecha de diversos materiales, como cerámica, composite, resina, metal, porcelana o una combinación de ambos.
- Cuando la caries ha penetrado profundamente en el diente, afectando a la pulpa dental, es necesario desvitalizar el diente, se crea una vía de acceso a la cámara pulpar, que se limpia cuidadosamente con la ayuda de limas dentales y se rellena con una sustancia inerte llamada gutapercha.
Será el especialista quien, mediante una radiografía, pueda hacer un diagnóstico y aplicar el tratamiento para las caries interproximales más adecuado.
| Tratamiento | Descripción | Indicación |
|---|---|---|
| Remineralización con Flúor | Aplicación de flúor para fortalecer el esmalte | Caries incipientes |
| Empaste | Eliminación de la caries y relleno con material biocompatible | Caries moderadas |
| Endodoncia | Extracción de la pulpa dental y sellado | Caries profundas con afectación de la pulpa |
Prevención de las Caries Interproximales
Es muy importante que el paciente recuerde que las caries no remiten por sí solas y necesitamos tratarlas y controlarlas en manos de especialistas en restauración dental para evitar comprometer la vida de nuestras piezas dentales. La mejor forma de evitarlas siempre será la prevención, mediante una correcta alimentación y sobre todo cuidando los hábitos de higiene dental: el cepillado dental tres veces al día y el uso de hilo dental o de cepillos interdentales una vez al día serán tus grandes aliados para prevenir las caries interproximales.
Consejos para la Prevención
- Cepillarse los dientes después de cada comida, al menos dos veces al día.
- Realizar revisiones en el odontólogo cada 6 o 12 meses (dependiendo de la fisiología de cada persona, siguiendo la recomendación del dentista).
- En el caso de una alta propensión a desarrollar caries, es posible utilizar selladores dentales, que son películas protectoras que se aplican en las superficies de masticación de los dientes posteriores (los más difíciles de limpiar con un cepillo de dientes) para cerrar surcos y fisuras (zonas potenciales de acumulación de placa).
Una buena higiene bucal, revisiones periódicas y una dieta equilibrada son clave para evitarlas.
⚠️Esta es la caries más peligrosa ¿Cómo evitarla? | Colaboración Oral B
El Diastema y su Relación con las Caries
¿Sabías que tener los dientes separados es conocido bajo el término diastema? Un diastema es el nombre que los odontólogos utilizan cuando existe una separación mayor de lo común entre dos dientes, lo cual suele ocurrir con mayor frecuencia entre los dos dientes delanteros superiores. Los diastemas también son frecuente en adultos y ocurre cuando: hay una diferencia en el tamaño de los dientes, falta algún diente o el frenillo labial es demasiado grande.

Causas del Diastema
- Cuando existe una proporción inadecuada entre los dientes y el maxilar o mandíbula.
- Los diastemas también pueden darse si tienes los incisivos laterales, es decir, los dos dientes a cada lado de los incisivos centrales, demasiado pequeños.
- Otra causa es que presentes la patología llamada mesiodens (diente adicional) entre los incisivos centrales. Un mesiodens es un diente muy pequeño de forma cónica o de doble cono que suele aparecer entre los incisivos centrales o detrás de ellos.
Tratamientos para el Diastema
- La ortodoncia es una de las soluciones más efectivas para corregir un diastema, ya que este tratamiento ayudará a colocar tus dientes en el sitio correcto.
- Por otro lado, puede que no desees realizar un tratamiento de ortodoncia por ser un tratamiento visible y poco estético para algunas personas, por lo que el odontólogo puede indicar una ortodoncia invisible o Invisalign.
- Las carillas dentales están indicadas en los pacientes que desean una solución rápida e inmediata, por lo que si has descartado el uso de ortodoncia por el tiempo que te llevará corregir el problema, esta puede ser una solución ideal cuando existe una desproporción de tamaño entre el hueso maxilar y los dientes.
- Otra de las soluciones es que el odontólogo te indique la realización de una frenectomía, la cual consiste en una pequeña cirugía con anestesia local que se indica cuando el frenillo del labio superior es de un tamaño desproporcionado en relación con los incisivos, ocasionando un diastema entre ellos. Tras la cirugía, debes seguir con una ortodoncia que será de gran ayuda para que la corrección tenga éxito.
tags: #caries #entre #dientes #delanteros