La caries dental es una patología oral muy común a nivel mundial. Dentro de las diversas formas que puede adoptar, la caries radicular merece una atención especial, sobre todo en adultos. Este tipo de caries es una de las principales causas de la pérdida de piezas dentales, lo que subraya la importancia de abordarla a tiempo.

En situaciones de pérdida dental, la implantología dental puede ser necesaria, pero es preferible prevenir llegar a ese punto. Pacientes con enfermedad periodontal tienen mayor riesgo de desarrollar caries radicular debido a la exposición de las raíces de los dientes.
Factores que Influyen en la Caries Radicular
Varios factores pueden influir en la aparición de la caries radicular:
- Microorganismos: Actinomices viscosus, Actonomices naeslundii, y Streptococcus mutans.
- Higiene: Una higiene bucal deficiente, que impide la eliminación adecuada de la placa bacteriana.
- Dieta: El consumo elevado de azúcares.
- Tabaquismo: Las personas fumadoras son más susceptibles a padecer este tipo de caries.
- Saliva: La saliva es muy importante para tener una correcta salud oral.
Prevención de la Caries Radicular
Para evitar la caries radicular, es fundamental conocer las herramientas disponibles y adoptar una conducta proactiva en el cuidado bucal. Gracias a una serie de recursos que nos serán de gran utilidad a la hora de evitar la caries radicular, podremos inclusive dar esquinazo a esta patología.
Queda claro que nuestra conducta es de vital importancia a la hora de mantener una boca sana, siendo esta una opción muy interesante tanto por motivos estéticos como funcionales por lo que a partir de ahora sabrás lo que es la caries radicular.
En este sentido es importante llevar a cabo una rutina de higiene dental muy estricta para reducir las posibilidades de desarrollar una caries radicular.
Tipos de Caries Radicular
Es crucial distinguir entre caries radicular activa e inactiva:
- Caries Radicular Activa: Presenta una textura rugosa, blanda y de color amarillento o marrón claro.
- Caries Radicular Inactiva: Se presenta con una textura lisa, dura y de color marrón oscuro o negro.

Si presentas o crees presentar una caries radicular no deberías demorar una visita con un dentista.
Tratamiento No Cavitado de la Caries Radicular
El objetivo principal del tratamiento no cavitado es actuar sobre los factores de riesgo que causan la caries en la raíz del diente, instruyendo al paciente en técnicas correctas de higiene bucodental.
Endodoncia Preventiva: Protección Pulpar
La endodoncia preventiva juega un papel crucial en la protección de la pulpa dental. Una técnica destacada es la eliminación de la caries en etapas (stepwise excavation), que minimiza la exposición pulpar y fomenta la formación de dentina terciaria.
Eliminación de la Caries en Etapas (Stepwise Excavation)
El tratamiento de la caries dentinaria profunda en dientes permanentes se ha venido realizando, generalmente, mediante la remoción completa y en una sola sesión de la dentina cariada, incluyendo la dentina blanda desmineralizada, sin tener en cuenta el potencial regenerador de la pulpa dental.
Varios estudios han demostrado que la eliminación de la caries dentinaria profunda por etapas, en dos visitas con varios meses de diferencia, protege a la pulpa, disminuyendo la frecuencia de exposiciones pulpares, a la vez que permite la formación de dentina terciaria, con la consiguiente disminución del porcentaje de casos que requieren tratamiento endodóncico.
CARIES DENTAL - Causas, prevención y TRATAMIENTO de los dientes picados ©
La Dentina y su Respuesta a las Agresiones
El esmalte dentario, con un 96-97% en peso de materia inorgánica, y la dentina, con el 70% en peso, son los tejidos de mayor contenido mineral (1). El esmalte es resultado de la actividad ameloblástica y, dado que los ameloblastos desaparecen una vez termina su función, es un tejido acelular, sin capacidad de respuesta ante las agresiones.
Por el contrario, la dentina es producida por los odontoblastos, células que persisten en la pulpa y mantienen su capacidad dentinogénica durante toda la vida, dotando al complejo dentino-pulpar de capacidad de respuesta frente a los agentes agresivos.
La dentina formada durante el desarrollo dentario hasta la completa formación de la raíz se denomina dentina primaria y comprende la dentina del manto y la porción principal de la dentina circumpulpar.
Tipos de Dentina
- Dentina Primaria: Formada durante el desarrollo dental.
- Dentina Secundaria: Sintetizada fisiológicamente tras la formación completa de la raíz.
- Dentina Terciaria: Formada en respuesta a estímulos nocivos.
La dentina sintetizada de forma fisiológica por el odontoblasto tras la completa formación de la raíz recibe el calificativo de secundaria y su formación tiene lugar durante toda la vida, siendo el resultado de la función secretora del odontoblasto una vez terminado el desarrollo dentario.
Estímulos agresivos tales como la caries o la atrición provocan la esclerosis acelerada de la dentina subyacente al lugar de acción del estímulo. La esclerosis provoca una disminución de la permeabilidad dentinaria, protegiendo a la pulpa frente a los agentes irritantes.
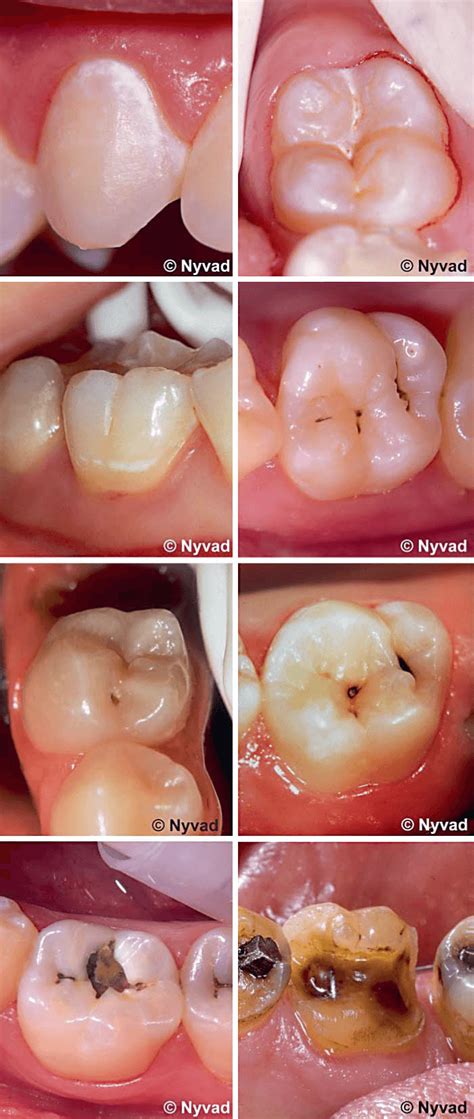
Diagnóstico Clínico de la Caries
El diagnóstico de la caries del esmalte no cavitada se realiza, fundamentalmente, mediante la inspección visual. Para ello los dientes deben estar limpios y secos y el campo debe estar perfectamente iluminado. La "mancha blanca" de la caries inicial del esmalte es más evidente cuando el esmalte está seco.
Cuando la caries ha alcanzado la dentina, es muy importante diferenciar entre caries activa y caries detenida. Los criterios clínicos para clasificar una caries dentinaria como activa son: presencia de tejido blando y desmineralizado, de color amarillo o amarrillo-anaranjado que a simple vista parece estar húmedo. Mientras que la caries dentinaria detenida presenta un tejido duro a moderadamente blando, marrón oscuro y con apariencia seca.
La progresión lenta de la caries puede terminar en una caries detenida. Así mismo, modificaciones en la higiene oral podrían favorecer el cambio de estado de caries activa a caries detenida (14).
Diagnóstico Radiológico
Podrán ser precisas radiografías para el diagnóstico en caso de caries interproximales.
Tratamientos Adicionales
- Obturación o Empaste: En este procedimiento, el dentista eliminará el tejido dental dañado y rellenará el hueco resultante con un material de obturación.
- Endodoncia o Tratamiento de Conducto: Una caries que ha llegado a la pulpa normalmente requiere una endodoncia o tratamiento de conducto.
Recuerda que una caries no se cura por sí sola, y frenar su avance no es lo mismo que curarla.
tags: #caries #inactiva #tratamiento