Las caries son uno de los problemas de salud bucal más frecuentes, afectando tanto a niños como a adultos. Según datos del Consejo General de Dentistas, las caries afectan al 95% de los adultos de más de 30 años. En este artículo, exploraremos en detalle las caries interdentales, un tipo específico de caries que se forma en el espacio entre los dientes.

¿Qué es una Caries?
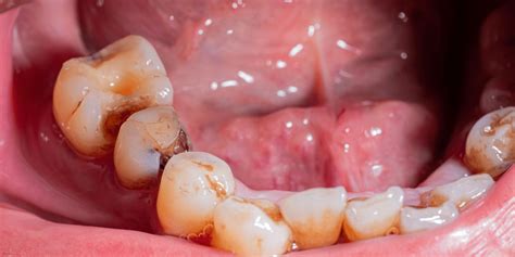
Conocemos como caries a las zonas dañadas de la superficie de los dientes, en forma de aberturas, agujeros o grietas. La caries dental es la destrucción de los tejidos duros de los dientes. Las caries dentales son una herida en la estructura dental producida por los ácidos de la placa bacteriana que no ha sido eliminada y por lo tanto se queda retenida haciendo daño al diente.
Las bacterias de la placa crean unos ácidos que son depositados en las superficies dentales. Este daño de los dientes viene dado por un estilo de vida, en otras palabras, influye el cómo nos cuidamos los dientes, los hábitos de higiene, la comida que comemos, la presencia de determinados minerales en el agua, como el flúor o el dentífrico que usamos. Otro dato a saber, es que la herencia dental también es un punto importante en la vulnerabilidad de los dientes cara a tener caries.
El riesgo de tener caries es que es irreversible. Cuando este afecta al nervio, se puede llegar a perder el diente ya que el esmalte dental no se regenera por sí mismo.
Tipos de Caries
A simple vista uno mismo no puede diferenciar qué tipo de caries tiene, pero un profesional puede distinguir qué tipo de caries puede padecer:
- Caries de corona
- Caries de fisura
- Caries radicular
- Caries interdental
- Caries recurrentes
Técnica correcta para el cepillado de dientes | Oral B LT
¿Qué es una Caries Interdental?
Las caries interdentales o interproximales son aquellas que se forman en el espacio que queda entre dos dientes. Hablamos de las más difíciles de detectar. De hecho, solo el dentista en sus revisiones puede encontrarla. La caries interdental se produce en la zona entre dos piezas dentales, donde el acceso para el cepillado es mucho más complicado.
Las caries interdentales no son fáciles de detectar a simple vista y suponen un gran riesgo al afectar a dos piezas dentales. Este tipo de caries son especialmente graves porque pueden dañar ambas piezas dentales. Además, suelen prosperar rápidamente, ya que esta zona es más fina que el área de la masticación.

Causas de las Caries Interdentales
La causa más común es la falta de higiene dental, lo cual permite la proliferación de bacterias que “pican” el esmalte de los dientes y pueden terminar perforando hasta la raíz, causando la pérdida de una pieza. En esta zona, la acumulación de placa bacteriana puede progresar, formar sarro y, al final, generar esta patología.
En los espacios interdentales se suele acumular restos de comida con facilidad. Cuando nos cepillamos los dientes a veces no llegamos a zonas por lo que, si no nos pasamos el hilo dental después del cepillado, el resto de comida que nos ha quedado comienza a descomponerse y es un foco de bacterias.
La carie se crea debido a la placa bacteriana que se acumula a causa de alimentos azucarados y de alto nivel de ácido. Sin embargo, hay otras razones por las que pueden aparecer las caries.
Son más propensas a sufrir caries interproximales las personas con los dientes apiñados o aquellas que tienen algún dispositivo de ortodoncia o prótesis.
Síntomas de las Caries Interproximales
La caries interdental es menos notable, a veces prácticamente invisible, en sus etapas tempranas. Es decir, que no siempre se pueden percibir molestias, dolor o alteraciones estéticas en la zona afectada. Los síntomas dependerán del tamaño de la caries, así como de su ubicación.
Muchos pacientes se dan cuenta de que tienen una caries interproximal cuando ya sienten síntomas de dolor y sensibilidad dental, momento en que la caries ya ha erosionado parte de la estructura dental.
Algunos de los síntomas que podríamos notar antes de que la caries interdental se vuelva grave son la sensibilidad al calor, sensibilidad al frío y sensibilidad al azúcar. Si aún no hemos detectado ninguna caries, se puede determinar mediante algunos síntomas y detectarlo a tiempo:
- Si el diente es más sensible a temperaturas más extremas (frío o calor) o incluso al azúcar, significa que el esmalte se está debilitando. Por eso las sensaciones son más sensibles al nervio y llegan antes.
- Cuando pasamos el hilo dental y se queda enganchado, pudiendo este deshilacharse, es una mala señal.
- Dolor punzante: a medida que la caries se acerque la pulpa dental, el dolor se irá volviendo más intenso porque las bacterias se aproximan al nervio dental.
- Durante la higiene dental podemos notar que al pasar el hilo dental se engancha, provocando dolor al pasarlo entre dos dientes.
Los síntomas, que aparecen normalmente cuando ya están muy avanzadas, también pueden alertar de la presencia de caries interproximales. El dolor es la principal señal de la existencia de una caries, interdental o no. Se produce cuando la caries ha profundizado más allá del esmalte dental, llegando a la dentina. Cuando el malestar o dolor es al ingerir bebidas frías, calientes o dulces, o comida en general, entonces la pulpa dental aún no está afectada.
Sin embargo, en Clínica Lorenzo, insistimos en la importancia de las revisiones periódicas porque donde mejor se puede apreciar una caries interdental es en una radiografía odontológica. La prueba diagnóstica más adecuada para las caries interproximales será una radiografía oral y una exhaustiva exploración dental.
Tratamiento de las Caries Interdentales
El tratamiento puede ser muy sencillo si la caries interdental es detectada en una fase temprana. Para determinar el tratamiento de las caries interdentales debemos saber el alcance de la lesión.
Generalmente, para las caries interproximales se emplean las técnicas habituales de reconstrucción de caries. El siguiente nivel y la opción más común cuando la caries está más avanzada es el empaste o la restauración de las piezas afectadas. Se emplean diferentes materiales, como resinas compuestas del mismo color que el diente, porcelana o una amalgama.
A continuación, se presentan las opciones de tratamiento según la gravedad de la caries:
- Remineralización dental: En las caries muy pequeñas o detectadas en etapas iniciales, se puede llevar a cabo un tratamiento de remineralización con flúor.
- Empaste: Una caries detectada a tiempo puede tratarse con un simple empaste. Se perfora el diente para eliminar la caries y luego se rellena con un material como porcelana, oro, plata, resina o amalgama.
- Endodoncia: Si los daños han llegado a la raíz del diente o a la pulpa, se procederá a una endodoncia. La endodoncia consiste en extraer la pulpa de las piezas afectadas por la caries interdental, para evitar la pérdida del diente. El interior se sella con un material especial, que hará la función de pulpa y mantendrá el diente en su sitio. Si la caries es grave y se deja sin detectar y sin tratar durante mucho tiempo, la endodoncia puede ser la mejor opción para salvar el diente.
- Corona: Si la caries está extendida o la persona afectada tiene dientes muy debilitados, es posible que sea necesario utilizar una corona. Después de la endodoncia se coloca una corona. La corona está hecha de diversos materiales, como cerámica, composite, resina, metal, porcelana o una combinación de ambos.
En el pasado, el tratamiento de caries interdentales implicaba a menudo la extracción de tejido dental, lo cual puede debilitar el diente. Un ejemplo es el tratamiento de infiltración proximal con el sistema Icon Proximal. Este método utiliza un infiltrante que penetra en el esmalte, previniendo la progresión de la caries sin necesidad de perforar el diente. El proceso de infiltración es sencillo y efectivo. Primero, el dentista coloca separadores elásticos para mejorar el acceso a las zonas afectadas. Después de una limpieza cuidadosa, se aplica ácido para abrir los poros del esmalte y permitir la penetración del infiltrante.
Este tratamiento requiere de una profesionalización odontológica y no se recomienda intentar eliminar las caries en casa. Aunque existen métodos caseros para mejorar la higiene dental, como el uso de hilo dental o enjuagues bucales, intentar quitar una caries en casa sin ayuda profesional puede tener graves consecuencias.
Prevención de las Caries Interdentales
La mejor forma de evitarlas siempre será la prevención, mediante una correcta alimentación y sobre todo cuidando los hábitos de higiene dental:
- Lavarse los dientes con cuidado, tres veces al día.
- Usar hilo dental para el espacio entre los dientes.
- El cepillado dental tres veces al día y el uso de hilo dental o de cepillos interdentales una vez al día serán tus grandes aliados para prevenir las caries interproximales.
- Si el dentista lo considera necesario, empezar una terapia antibacteriana.
Tener los dientes y las encías sanas no es solo una cuestión estética, también es esencial para nuestra salud general. Y aunque la genética tiene mucho que ver, hay otros factores que propician la aparición de caries.
Las caries interdentales o caries entre dientes son un problema común que afecta a personas de todas las edades. Mantener una buena higiene y realizar visitas regulares al dentista es clave para prevenirlas.

En Clínica Dental las Palmeras contamos con los mejores avances tecnológicos para este y otro tipo de tratamientos. Llámanos cuando quieras.
Información del Autor: Dra. Marta Herrero, Médico Odontólogo, Especialista en Estética Dental, Carillas y Microcarillas. Especialista en Odontología Estética.
tags: #caries #interdental #tratamiento