Las caries dentales son uno de los problemas bucodentales más frecuentes, pero también uno de los más evitables. Estas lesiones destruyen el esmalte y la dentina de los dientes y están causadas por bacterias que transforman los azúcares de la comida en ácidos. A menudo, las caries se desarrollan de forma silenciosa, sin dolor ni molestias aparentes, hasta que ya han afectado a capas profundas del diente.

¿Qué es una Carie Interproximal?
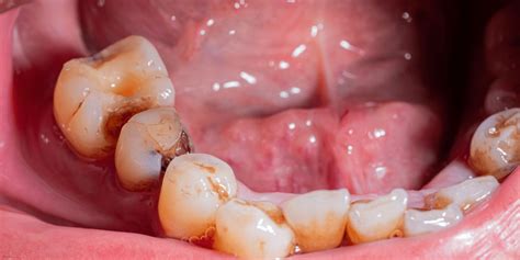
La caries entre los dientes se denomina «caries interproximal«. Un tipo de caries que suele afectar a muchos pacientes son las caries interdentales o interproximales. Las caries interproximales se forman en el espacio que hay entre las piezas dentales adyacentes. Por el lugar donde se originan, las caries interproximales pueden ser menos visibles y difíciles de detectar.
Este tipo de caries suele ser más peligroso que las que aparecen en los molares. Suelen ser más complicadas de detectar, puesto que en sus inicios no se pueden percibir a simple vista. La zona que está entre los dientes es más inaccesible y durante el cepillado dental será más difícil de limpiar. Por lo tanto es una zona propensa a la acumulación de placa bacteriana y sarro que provoca las caries.
¿Cómo se forman las caries interproximales?
Las caries se forman cuando las bacterias, presentes de manera natural en la boca, se juntan con los restos de alimentos que se quedan en la cavidad oral después de las comidas, creando ácidos que dañan el esmalte. La caries dental es una enfermedad infecciosa que destruye progresivamente los tejidos duros del diente. Está causada por los ácidos que generan las bacterias presentes en la boca al descomponer los azúcares de los alimentos.
Las caries aparecen cuando la higiene bucal no es suficiente para eliminar la placa bacteriana. Por tanto, la placa bacteriana es la principal responsable de la aparición de la caries.
Las personas con apiñamiento de dientes o que llevan ortodoncia o prótesis tienen más riesgo de padecer caries interproximales porque son más propensas a la acumulación de alimentos.
Síntomas de las Caries Interproximales
En muchos casos si el paciente no suele acudir con frecuencia a su clínica odontológica y no se realizan ni revisiones ni limpiezas, las caries interproximales no serán detectadas a tiempo y se extenderán. Muchos pacientes se dan cuenta de que tienen una caries interproximal cuando ya sienten síntomas de dolor y sensibilidad dental, momento en que la caries ya ha erosionado parte de la estructura dental.
Pero si ya se encuentran más avanzadas, el paciente puede llegar a percibir alguno de estos síntomas:
- Sensibilidad dental.
- Dolor.
- Halitosis.
- Pérdida del color del diente.
- Retención de comida entre los dientes.
- Aparición de cavidad entre los dientes.
En los casos menos avanzados, la superficie de la pieza dental puede llegar a tener una mancha blanca.
Por último, durante la higiene dental podemos notar que al pasar el hilo dental se engancha, provocando dolor al pasarlo entre dos dientes.
Una forma de detectar la caries interproximal es cuando, al pasar el hilo dental, notamos que se engancha y provoca dolor.
Dolor punzante: a medida que la caries se acerque la pulpa dental, el dolor se irá volviendo más intenso porque las bacterias se aproximan al nervio dental.
Si el diente es más sensible a temperaturas más extremas (frío o calor) o incluso al azúcar, significa que el esmalte se está debilitando. Por eso las sensaciones son más sensibles al nervio y llegan antes.

Diagnóstico de las Caries Interproximales
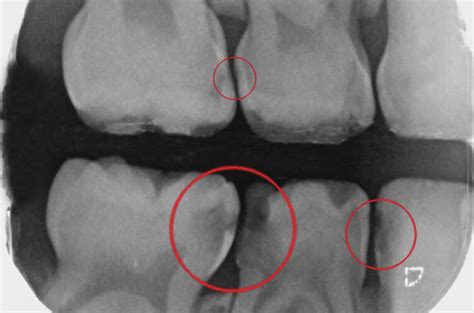
Como ya hemos mencionado anteriormente, las caries interproximales suelen ser complicadas de detectar a simple vista y por eso es necesario acudir al odontólogo para que nos las diagnostique a tiempo. Son muy importantes las revisiones periódicas en el dentista para poder detectar las caries interproximales de forma precoz. Será el especialista quien, mediante una radiografía, pueda hacer un diagnóstico y aplicar el tratamiento para las caries interproximales más adecuado.
Para poder asegurarnos de que el paciente sufre de caries interproximales, el odontólogo le realizará una radiografía oral y una exploración dental. De está manera, podrá detectar las caries interdentales a tiempo y tratarlas.
La prueba diagnóstica más adecuada para las caries interproximales será una radiografía oral y una exhaustiva exploración dental.
Tratamiento de las Caries Interproximales
El tratamiento para la caries depende de la fase en la que se encuentra. Cuanto más profunda sea la caries, más minucioso y complejo deberá ser el tratamiento a realizar por el odontólogo.
Para las caries interproximales existen dos tipos de tratamientos; sin intervención y con intervención.
Tratamiento sin intervención
Si se detectan las caries interproximales a tiempo, el odontólogo recomendará al paciente mantener un mejor cuidado dental, así podrá controlar las caries y eliminarlas. Para mantener un mejor cuidado dental, será necesario que el paciente se cepille los dientes adecuadamente, utilice el hilo dental y acuda cada seis meses a la clínica para realizarse una limpieza dental.
Remineralización dental: en las caries muy pequeñas o detectadas en etapas iniciales, se puede llevar a cabo un tratamiento de remineralización con flúor.
Tratamiento con intervención
Si las caries interproximales no se detectan a tiempo y se encuentran muy extendidas, se deberá realizar una endodoncia. En este tratamiento el odontólogo retirará la parte dañada de la/s pieza/s dental/es por las caries y procederá a realizar una reconstrucción para que el diente se vea lo más natural posible.
En el caso de que tus caries interproximales se encuentren avanzadas, no tengas miedo, en Dental Corbella contamos con el servicio de sedación monitorizada, en el cual te anestesian para que no sientas absolutamente nada durante el tratamiento y puedas volver a disfrutar de una sonrisa perfecta sin sufrir.
El tratamiento de una caries interproximal dependerá de la gravedad de la lesión y el estadio en el que se encuentre. Obviamente, cuanto antes se diagnostique, más sencillo será tratarla.
- Extracción de la caries. Cuando la caries es más avanzada, habrá que extirpar la zona del diente afectada y reconstruir la pieza dental con un empaste. Una caries detectada a tiempo puede tratarse con un simple empaste. Se perfora el diente para eliminar la caries y luego se rellena con un material como porcelana, oro, plata, resina o amalgama. Tras el empaste, la cavidad se amplía con más esmalte y el empaste se utiliza para devolver al diente su forma y función normales.
- Endodoncia: Cuando la lesión es grave y no ha sido tratada en sus etapas iniciales, puede ser necesaria una endodoncia para salvar el diente. Si la caries es grave y se deja sin detectar y sin tratar durante mucho tiempo, la endodoncia puede ser la mejor opción para salvar el diente. La endodoncia consiste en la extracción de las encías del interior del diente. Se limpia y desinfecta el diente y se sella la forma del empaste en el hueco. Después de la endodoncia se coloca una corona. La corona está hecha de diversos materiales, como cerámica, composite, resina, metal, porcelana o una combinación de ambos.
- Extracción del diente: La extracción del diente se recomienda cuando la pieza ya no es salvable o si la infección se ha extendido hasta la mandíbula.
¿El hilo dental se usa antes o después del cepillado? | ¡EL ORDEN SÍ IMPORTA!
Prevención de las Caries Interproximales
Para evitar la aparición de caries interproximales, la prevención es esencial. La mejor forma de evitarlas siempre será la prevención, mediante una correcta alimentación y sobre todo cuidando los hábitos de higiene dental: el cepillado dental tres veces al día y el uso de hilo dental o de cepillos interdentales una vez al día serán tus grandes aliados para prevenir las caries interproximales.
- Utiliza el hilo dental o cepillo interproximal al menos una vez al día para limpiar las zonas situadas entre los dientes.
- Limita el consumo de alimentos y bebidas ricos en azúcares, especialmente los que se toman entre las comidas.
Es muy importante que el paciente recuerde que las caries no remiten por sí solas y necesitamos tratarlas y controlarlas en manos de especialistas en restauración dental para evitar comprometer la vida de nuestras piezas dentales.

tags: #caries #interproximal #en #molares