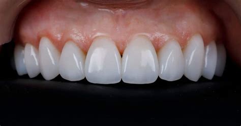
La obturación dental, comúnmente conocida como empaste, es uno de los tratamientos más habituales en odontología y una herramienta clave en la odontología conservadora. Su objetivo principal es restaurar un diente dañado por caries, devolviéndole su forma, función y estética original, sin necesidad de extraerlo.
Las caries son una de las afecciones bucales más frecuentes, y su aparición, aunque silenciosa, puede generar serios problemas si no se trata a tiempo. Una caries no tratada avanza en profundidad, destruyendo la estructura del diente y llegando incluso al nervio dental. Es aquí donde entra en juego la obturación: al intervenir en una fase temprana de la caries, permite conservar el diente de forma sencilla, rápida y poco invasiva.
Las obturaciones no solo se realizan por caries; también pueden aplicarse cuando existe desgaste dental (por bruxismo, por ejemplo), pequeñas fracturas o tras tratamientos estéticos. Es que permite mantener una buena salud bucodental, conservando piezas dentales que, de otro modo, podrían estar en riesgo.
Existen diversos materiales para obturación dental, y cada uno presenta características particulares que lo hacen más adecuado para ciertos casos; ya sea por funcionalidad, estética, durabilidad o coste. Conocer las opciones disponibles ayuda tanto a pacientes como a profesionales a tomar decisiones más informadas.

¿Cuándo necesitas una obturación?
El objetivo principal de una obturación dental es restaurar un diente dañado por caries o fractura, evitando así complicaciones mayores. Aunque en ocasiones las caries pueden pasar desapercibidas en sus fases iniciales, hay una serie de señales que suelen alertar de la necesidad de tratamiento. El diagnóstico profesional es fundamental para confirmar si el diente necesita ser restaurado con una obturación.
Procedimiento de Obturación Dental
Uno de los tratamientos más comunes en la consulta del dentista es la obturación dental, más conocida como empaste. Aunque muchas personas asocian esta intervención con molestias o incomodidad, lo cierto es que se trata de un procedimiento rápido, seguro y prácticamente indoloro; especialmente con los avances actuales en anestesia local y materiales dentales. Conocer en detalle cómo se realiza una obturación puede ayudar a reducir la ansiedad y a acudir al dentista con mayor tranquilidad.
- Anestesia local: Si la caries es profunda o se encuentra cerca del nervio, el odontólogo aplicará anestesia local. Este proceso suele durar solo unos segundos y garantiza que no sentirás dolor durante el tratamiento.
- Eliminación del tejido dañado: El dentista elimina cuidadosamente el tejido cariado o dañado del diente. Para ello, utiliza instrumentos rotatorios o manuales que permiten acceder con precisión al área afectada.
- Limpieza y desinfección del área tratada: Se procede a limpiar y desinfectar el interior del diente.
- Colocación del material de obturación: El siguiente paso es rellenar la cavidad con el material obturador elegido.
- Ajuste de la mordida y pulido: Una vez colocado y endurecido el material, el dentista comprobará que la obturación no interfiera con tu mordida natural. Para ello, te pedirá que muerdas sobre un papel especial que marca los puntos de contacto.

Cuidados Posteriores a la Obturación Dental
Tras la obturación dental, debes seguir una serie de cuidados para garantizar la adaptación del material, prevenir molestias y prolongar la vida útil del tratamiento. Aunque la mayoría de empastes permiten retomar actividades cotidianas de inmediato, hay ciertos aspectos que conviene tener en cuenta durante las primeras horas y días.
Uno de los consejos más importantes tras colocarte un empaste es prestar atención a la alimentación, especialmente si se ha utilizado anestesia local. Después de una obturación, es habitual experimentar una leve sensibilidad al frío, al calor o a la presión, especialmente si la caries era profunda. Esta sensación suele desaparecer en unos días o semanas a medida que el diente se adapta al nuevo material.
La colocación de un empaste no implica cuidados especiales en cuanto a higiene, pero sí es una oportunidad ideal para reforzar los hábitos de limpieza. Una buena higiene previene futuras caries y mantiene el empaste en óptimas condiciones. En condiciones normales, no es necesario acudir a una revisión inmediata tras una obturación, salvo que tu dentista lo indique.
Riesgos de No Someterse a una Obturación Dental Necesaria
No someterse a una obturación dental necesaria puede tener graves consecuencias. Uno de los errores más comunes en salud dental es subestimar una caries en sus primeras fases. Al tratarse de una lesión que no duele en un inicio, muchos pacientes posponen su visita al dentista.
- Una caries no aparece de la noche a la mañana.
- Caries superficial: Ya hay pérdida de esmalte.
- Caries intermedia: La lesión ha llegado a la dentina (capa más blanda).
- Caries profunda: La infección alcanza la pulpa dental (donde está el nervio).
- Mayor destrucción del diente: Cuanto más avanza la caries, mayor es la pérdida de estructura dental.
- Pérdida del diente: En casos extremos, si la caries ha dañado irreversiblemente el diente o el hueso que lo sostiene, la única solución es la extracción.
La buena noticia es que la mayoría de estos problemas pueden evitarse fácilmente si se detectan a tiempo. Una caries incipiente, tratada con una obturación dental sencilla, es rápida, indolora y muy efectiva.
Charla para niños sobre salud bucal
Materiales de Obturación Dental
Los materiales de obturación dental o empaste se utilizan para reconstruir piezas dañadas (por fisuras, rupturas, caries u otros) y regresarles su funcionalidad. Son empleados principalmente en tratamientos de rehabilitación bucal. Además, permiten frenar el crecimiento de caries. Por lo que el diente no se seguirá deteriorando. Dependiendo del material con el que realicen la obturación obtendrás resultados más o menos naturales y duraderos.
Existen dos clases principales de materiales de obturación dental:
- Temporales: Como su nombre lo indica se usan en casos donde el dentista necesita cubrir una zona de forma provisional hasta culminar el tratamiento. Los barnices, el cemento de óxido de zinc o de plástico son algunos de los más usados.
- Permanentes: Cuando se va a sellar el área de forma permanente se usan materiales como la amalgama, cementos permanentes. Así como algunas aleaciones de oro, porcelanas, resinas compuestas y más.
Materiales más usados
- Las resinas compuestas: Las resinas compuestas, también son conocidas como composite. Son materiales de obturación sintéticos compuestos por moléculas de varios tipos de elementos. Por lo general, son de cohesión o de refuerzo. Esto es lo que hace que el material posea características superiores a otros. Una de las grandes ventajas que posee es que su coloración es muy similar a la de los dientes. Esto permite obtener un acabado muy natural y estético. La aplicación de resina requiere de varias capaz, pero actualmente existen algunas variedades que trabajar con una sola capa. Esto reduce el tiempo del tratamiento.
- Amalgamas: Este material tiene mucha resistencia y durabilidad en comparación con otros. Incluso puede llegar a superar algunas de las características del composite. Es uno de los más utilizados en la actualidad. Posee un color plateado que no permite que sea apto para los trabajos de obturación en zonas visibles. Pero es ideal para reparar los molares.
- Cemento de obturación provisional: Son utilizados en tratamientos o fases de los mismos en donde no se requiere una obturación permanente. Sino por algunos días o meses. Este tipo de materiales suelen tener un fraguado rápido y son fáciles de remover cuando llega el momento de sustituirlo.
- Cementos definitivos: Son muy similares a los de obturación provisional solo que mucho más duraderos. Se pueden utilizar en múltiples ocasiones, como para unir dos materiales, proteger de filtraciones, como material de obturación y otros. Existen varios tipos que se diferencian por los componentes que poseen. Los más populares son los cementos que contienen policarboxilato, ionomero de vidrio, oxifostato de zinc entre otros.
- Adhesivos: Entre los materiales para obturación temporales se encuentran los adhesivos. Este producto se utiliza para pegar el composite a la superficie del diente. Se adhiere gracias a un proceso físico y químico. Los adhesivos tienen tres formas de fraguar o endurecerse. Puede ser con fotoiniciadores, con agentes químicos que polimerizan las resinas y uno dual que combina el fraguado con fotoiniciadores y los químicos.
- Ionómeros de vidrio: Los iómeros de vidrio son un tipo de biomaterial permanente que tienen una gran capacidad para unirse al diente, además liberan iones de flúor. Los ionómeros de vidrio están compuestos por polvo de vidrio y ácido poliacrílico. Este último le da la capacidad de adherirse al diente. Debido a que se adhiere muy bien a la estructura dental, es común que los dentistas lo utilicen para restauraciones de tipo III y V, para reparar molares temporales como base para obturaciones en las cavidades.
Materiales de obturación para endodoncia
- Gutapercha: Es un tipo de material de obturación para endodoncia que se utiliza para rellenar el canal radicular. Lo hace gracias a que cuenta con una estructura delgada, flexible y aislante. La gutapercha es una alternativa muy utilizada actualmente para sellar conductos radiculares. En el mercado existen varios tipos de este material dependiendo de su longitud, diámetro, porcentaje de conicidad y superficie.
- Barnices: Este tipo de material, conocido como barniz dentinario, se utiliza para proteger la pulpa y la dentina del diente de productos irritantes o ácidos. También protege el fondo de la cavidad durante la adhesión. Además, funciona como protector de cementos y dentinas que se encuentren expuestas.
Características de los materiales de obturación dental
Los materiales utilizados para la obturación de las piezas dentales deben cumplir con una serie de características y requisitos para que puedan desempeñar su función de manera eficiente.
- Resistencia a la abrasión: Los dientes experimentan una gran cantidad de fricción con diferentes tipos de elementos, especialmente los molares. Por eso una de las características de los materiales de obturación dental es la resistencia a la abrasión. Si el material de obturación no es lo suficientemente resistente a estas condiciones, se irá desprendiendo poco a poco por efecto dela masticación.
- Resistencia a los fluidos bucales: La saliva es un fluido bucal que posee múltiples funciones. Una de ellas es ayudar a la digestión de alimentos mediante el uso de una serie de enzimas. Para algunos elementos este tipo de fluido puede ser corrosivo. Lo que puede ir desgastándolo a mediano o corto plazo. Por tal motivo los materiales que utilicen en la reconstrucción o reparación de piezas dentales deben poseer muy baja solubilidad. Así como resistencia a las enzimas y componentes de la saliva.
- Baja conductividad térmica: La conductividad térmica es una propiedad física de los materiales para conducir calor. Todos los elementos que componen la boca, en especial los dientes están expuestos a las altas y bajas temperaturas de algunos alimentos y bebidas, como las sopas y los helados. Si el material utilizado para reparar la zona afectada de un diente es sensible a los cambios de temperatura, sentirás incomodidad cuando consumas alimentos muy fríos o calientes. Esta sensación es muy similar a la sensibilidad dental o periodontal.
- Capacidad de sellado de cavidades: Puede leerse bastante obvio, pero es necesario mencionarlo. Un material que sea utilizado para regresarle a las piezas dentales su funcionalidad debe ser un excelente sellador. Tiene que ser capaz de reparar fisuras, roturas o zonas disparejas en el diente De igual forma es importante que sea lo suficientemente manejable para que el dentista pueda realizar los procedimientos necesarios con las respectivas herramientas para rellenar toda la zona afectada. Y obtener los mejores resultados. Debe hacerlo cuidando de rellenar cada espacio vacío de la zona afectada para evitar la acumulación de alimento. Y limitar el crecimiento de nuevas infecciones o la ruptura del empaste.
- Debe ser manejable: Otra de las características de los materiales de obturación dental es que debe poseer buenas propiedades de manejo. Esto para que el dentista que vaya a emplearlo en sus tratamientos pueda realizar el trabajo en el menor tiempo posible. Todo sin complicaciones por su aplicación. Si es complicado de moldear y trabajar los resultados se verán afectados. Así como el tiempo que dura reparar los daños y el acabado final. Cada uno de los diferentes materiales de obturación tiene un método de empleo y aplicación diferente. Por lo que el especialista que te lo coloca debe conocerlos y utilizar las herramientas y elementos adecuados.
Si un producto cumple con los requisitos que mencionamos, puede ser considerado como un buen material de obturación. Por supuesto, dependiendo del tipo se podrá utilizar para diferentes casos.
¿Cuánto tiempo dura una obturación dental?
Un trabajo de obturación dental no durará para siempre debido a que está sometido a varios factores como la humedad dentro de la boca, el tipo de alimentos que se consumen y la fuerza que se utilice para morder o masticar. Por ello, una vez que el paciente recibe una obturación debe visitar al odontólogo periódicamente. Se recomienda al menos una vez al año.
- La obturación realizada con composite puede durar entre cinco y siete años.
- La obturación con amalgama de plata puede durar mucho más tiempo, incluso hay pacientes que pueden conservarla por más de 15 años.

Alternativas a la Amalgama
La amalgama es un material que empezó a usarse en siglo XIX y se popularizó en los años 60 (del XX). Está compuesta de una aleación de mercurio, plata, estaño y cobre. Se trata de un material de relleno blando que se coloca en el diente dañado y se endurece en un corto período de tiempo. Es un material muy fiable y duradero que se usó durante muchos años para empastes dentales debido a su éxito en un entorno húmedo.
Sin embargo, su color oscuro (poco estético), el uso de mercurio y su dificultad para adherirse bien a la superficie del diente han llevado a la búsqueda de materiales alternativos para empastes. Además, la amalgama se expande y contrae, pudiendo causar grietas y fracturas en el diente, así como en el propio empaste. La amalgama ya no se usa tanto en la actualidad, ya que existen otras alternativas excelentes.
Resina compuesta
Un material para empastes dentales muy popular y común es la resina compuesta, formada por partículas de vidrio mezcladas con una resina acrílica. Viene en diferentes viscosidades, dependiendo de su uso. Normalmente, se utiliza una lámpara de fotocurado para ajustar o endurecer el material una vez se ha colocado. Esto le da al dentista un tiempo de trabajo mucho más largo que con otros materiales para la correcta colocación del empaste.
Ventajas de la resina frente a la amalgama:
- Disponible en múltiples tonalidades para que el material se adapte mejor al color del diente
- Se da mayor tiempo de trabajo para que el dentista manipule y adapte el material
- Sin mercurio
- Fácil de usar en restauraciones pequeñas
Porcelana
La porcelana es un material muy fuerte y del mismo color que los dientes naturales.
A continuación, te referimos las ventajas de este tipo de material para empastes:
- Funciona muy bien para restauraciones grandes donde la resistencia es importante.
- Es excelente para devolver la estética natural al diente.
- Duradero y estable
- Se fabrican y colocan el mismo día
Los empastes de porcelana pueden ser menos económicos que los de amalgama y la resina compuesta debido a su superioridad para determinados tipos empastes dentales y la tecnología requerida para fabricarlos.
Después de un minucioso control y diagnóstico, tu dentista te explicará cuál de estos materiales es el más adecuado para ti. La decisión se basará en tu salud oral y qué material se adaptará mejor al tipo de trabajo que necesites, tanto para la restauración como para la función y apariencia óptimas.
Tipos de Restauraciones Dentales
Si has tenido una caries o algún otro tipo de daño en tus dientes, es probable que necesites una restauración dental. Son materiales que se utilizan para reconstruir o reparar dientes dañados, cariados o perdidos. Existen diferentes tipos de restauraciones dentales, dependiendo del tipo de daño que tengas en tus dientes y de tus necesidades dentales individuales.
- Las obturaciones dentales, también conocidas como empastes, se utilizan para tratar las caries. Durante el procedimiento, el dentista elimina la caries y luego rellena el espacio con un material de relleno.
- Las coronas dentales se utilizan para cubrir y proteger dientes dañados o desgastados. La corona se coloca sobre el diente existente y se cementa en su lugar.
- Las incrustaciones, también conocidas como onlays o inlays, son una opción de restauración dental para tratar caries más grandes. En lugar de una obturación, el dentista toma una impresión del diente y crea una pieza de porcelana o composite a medida para adaptarse al espacio.
- Los frentes laminados, también conocidos como carillas, son una opción popular para mejorar la apariencia de los dientes.
Las restauraciones dentales funcionan al reparar los dientes dañados o perdidos para restaurar la función y la apariencia del diente. El objetivo de la restauración dental es fortalecer el diente dañado o perdido y prevenir futuros problemas dentales.

Materiales para Restauraciones Dentales
Cuando se trata de restauraciones dentales, resulta interesante conocer los diferentes materiales disponibles y sus propiedades para tomar la mejor decisión.
- Amalgama: Es una mezcla de mercurio, plata, estaño y cobre.
- Composite: Es una resina de plástico que se adhiere al diente.
- Porcelana: Es una cerámica que se utiliza para hacer frentes laminados, coronas y puentes.
- Metal: El oro y otros metales pueden utilizarse para hacer coronas y puentes.
Procedimiento de Restauración Dental
El procedimiento puede variar dependiendo del tipo de restauración que necesites. En general, el proceso de restauración dental puede implicar varias visitas al dentista. Durante tu primera visita, el dentista examinará tus dientes y determinará qué tipo de restauración dental necesitas.
Durante el procedimiento de restauración dental, es posible que sientas un poco de incomodidad o dolor. El dentista puede utilizar anestesia local para reducir cualquier incomodidad. Después del procedimiento, es posible que experimentes un poco de sensibilidad o dolor en la zona tratada. Esto es normal y debería desaparecer en unos días.
La duración de las restauraciones dentales varía según el tipo de restauración y los cuidados que se le den a los dientes. Las coronas y frentes laminados pueden durar entre 5 y 15 años o más, dependiendo del material utilizado y el cuidado que se le dé a los dientes.
Precauciones Después de una Restauración Dental
Después de recibir una restauración dental, es importante tomar algunas precauciones para protegerla. Una vez que se haya completado el tiempo de espera, se puede comer normalmente, pero es relevante evitar alimentos duros, pegajosos o muy calientes durante las primeras 24 horas después de la restauración. Además, es fundamental seguir practicando una buena higiene oral después de una restauración dental, como cepillarse los dientes dos veces al día y usar hilo dental diariamente.
Tipos de Empastes Dentales
Estos son los principales tipos de empastes dentales y los materiales que se utilizan en cada uno de ellos.
- Son los clásicos empastes plateados que hemos visto tantas veces y que actualmente apenas se utilizan, pero que fueron muy populares en el pasado. Su popularidad se debía principalmente a dos de sus ventajas: su alta durabilidad y su coste.
- Este tipo de empaste se conoce también como empaste de resina, y su ventaja reside en su pigmentación: es muy similar al color natural de nuestros dientes. Dentro de los tipos de empastes dentales esta es una de las opciones más duraderas y estéticas.
- Esta obturación dental se caracteriza por su capacidad para prevenir la formación de caries gracias a que va liberando flúor. El material que lo compone es un compuesto de polvo de vidrio y ácido poliacrílico, que se adhiere a nuestros dientes mediante un proceso de endurecimiento químico.
- Es una de las opciones más caras y como sucede con la amalgama, también es muy duradera, pudiendo resistir décadas. Este empaste destaca especialmente entre el conjunto de dientes, por lo que debes tener en cuenta que estéticamente va a ser muy llamativo.
Tipos de Coronas Dentales
- De circonio: Son las más populares en la actualidad debido a su excelente combinación de durabilidad y estética. El circonio es un material extremadamente fuerte y resistente, lo que las hace ideales para zonas de alta presión de masticación.
- De metal: Hechas de aleaciones de oro, platino o metales base como el cobalto y el níquel, estas coronas son muy duraderas y resisten bien la masticación y la mordida.
- De porcelana fundida sobre metal: Tienen una base de metal cubierta por una capa de porcelana que se puede teñir para que coincida con el color de los dientes naturales.
- De cerámica o porcelana: Ofrecen la mejor apariencia y son ideales para los dientes frontales. Son necesarias cuando un diente está severamente dañado o debilitado.
Cada tipo de restauración dental tiene sus propios beneficios y desventajas. La elección del tratamiento adecuado depende de varios factores, incluyendo la ubicación del diente dañado, la extensión del daño, la salud bucal general del paciente y sus preferencias estéticas y económicas.
Mantener una buena higiene bucal y asistir a revisiones dentales regulares son cruciales para la longevidad de cualquier restauración dental.

tags: #caries #restauraciones #dentales