Las carillas de porcelana son un tratamiento restaurador que ha demostrado su eficacia a lo largo de muchos años de uso clínico, especialmente en el sector anterior por sus implicaciones estéticas, con porcentajes de éxito cercanos al 95% a los 15 años.
En este artículo, exploraremos en detalle el tratamiento con carillas de porcelana, incluyendo las indicaciones y contraindicaciones para su empleo, sus ventajas e inconvenientes, el diagnóstico, la comunicación con el paciente, las técnicas de preparación dentaria, el cementado de las mismas y el mantenimiento posterior.

La continua mejora de los materiales y técnicas protésicas ha permitido que el aspecto estético de algunas restauraciones se fundamente en la cerámica sin metal, tanto para los dientes anteriores como, con menos indicaciones, en posteriores.
Estos datos han hecho posible el tratamiento con carillas de porcelana como una forma eficaz y segura para conseguir y mejorar la estética del sector anterior en pacientes preocupados y necesitados de ello.
En Inglaterra se cifra en torno a más de 100.000 carillas cerámicas al año, el número de unidades que se instalan en la boca de los pacientes. Su alta predecibilidad y su elevado porcentaje de éxitos, que se cifra en torno al 99% a los 5 años, permiten ofrecer una alternativa terapéutica muy satisfactoria, con un porcentaje de éxito alrededor del 97% a los 15 años.
¿Qué son las carillas dentales?
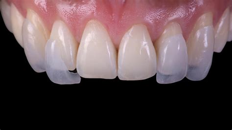
Las carillas dentales son láminas de porcelana o composite que se adhieren a la cara externa de los dientes para mejorar su forma, color, tamaño o alineación. Permiten corregir manchas, fracturas, desgastes, espacios entre dientes y ligeras malposiciones.

Se aplican especialmente en la zona frontal de la boca, de canino a canino, ya que es la parte más visible al sonreír. Son una alternativa conservadora, ya que permiten transformar la sonrisa sin necesidad de tallar apenas los dientes como ocurre con las fundas o coronas.
Una carilla de cerámica consiste en una lámina de porcelana que recubre parcialmente un diente, a modo de veneer, al que se une por medios micromecánicos adhesivos, tras el grabado del esmalte.
La adhesión de las carillas de porcelana al diente se consigue mediante el concurso de cuatro elementos principales:
- La carilla de porcelana propiamente dicha, grabada en su cara interna, aquélla que se enfrentará a la superficie dentaria.
- El diente al que irá destinada la carilla, que estará acondicionado en su superficie adamantina.
- Un elemento químico silánico como elemento de acondicionamiento y unión entre la carilla de porcelana y el cemento de composite.
- Un cemento de composite, que servirá de interfase entre el diente dentaria preparada y la veneer cerámica.
Aparte de sus ventajas estéticas sobre los composites las nuevas porcelanas son muy resistentes, con una dureza similar o incluso superior a la del esmalte.
Ventajas de las Carillas de Porcelana
- Técnica de dificultad media: Las habilidades necesarias son asequibles a todos los odontoestomatólogos con un entrenamiento de dificultad media.
- Preparación dentaria muy conservadora: La cantidad de estructura dentaria a eliminar es escasa en comparación con una corona de recubrimiento total.
- Estética muy elevada: La ausencia de metal y el grosor de la cerámica permiten una transmisión óptima de la luz, similar a la del diente sano.
- Resistencia elevada a las fuerzas: Una vez cementadas, soportan fuerzas de tracción, tensión y cizalla importantes.
- Biocompatibilidad local y general: La cerámica es uno de los materiales de recubrimiento dental que menos reacciones biológicas desencadena.
- Resistencia al desgaste: Las fuerzas oclusales y de masticación no las desgastan.
- Resistencia a la tinción: La superficie glaseada no permite la incrustación de tinciones.
- Resistencia al ataque químico: Inalterables ante ácidos, disolventes, medicaciones y cosméticos.
- Radiopacidad: Similares al esmalte en cuanto a la penetrabilidad por los rayos X.
- Costo aceptable: Inferior a las coronas de recubrimiento total.

Inconvenientes de las Carillas de Porcelana
- Técnica clínica más compleja: Requiere varias sesiones clínicas.
- Técnica de laboratorio compleja: El laboratorio dental necesita llevar a cabo técnicas de gran precisión.
- Fragilidad relativa: La construcción de finas láminas de porcelana da una fragilidad inherente.
- Dificultad para la reparación: La carilla fracturada es de difícil reparación.
- Técnica adhesiva compleja: Requiere una preparación importante, que consume tiempo y esfuerzos.
- Tratamiento irreversible: Una vez tallado el diente no lo podemos recuperar.
- Imposibilidad de cambiar el color: Una vez cementada la carilla.
Indicaciones de las Carillas de Porcelana
Las principales indicaciones de las carillas de porcelana son problemas estéticos de una u otra etiología, aunque también pueden tener indicaciones para solucionar algunas alteraciones anatómicas y funcionales.
- Estéticas:
- Cambios de coloración dentaria: discromías y tinciones intrínsecas.
- Cambios de posición dentaria: recolocación de dientes con rotaciones.
- Cambios en la textura superficial dentaria: rugosidad excesiva u oquedades.
- Cierre de diastemas: ensanchamiento del diente para cerrar pequeños espacios.
- Anatómicas:
- Anomalías de forma, tamaño o volumen dentario, tanto congénitos como adquiridos (hipoplasias del esmalte, microdoncias, fracturas, atriciones, abrasiones, etc.).
- Funcionales:
- Restauración de las guías anterior y canina.
- Otras indicaciones:
- Restauración de problemas derivados de la porcelana de una corona metal-cerámica.

Contraindicaciones de las Carillas de Porcelana
Aunque las carillas pueden solucionar muchos problemas, no están exentas de contraindicaciones derivadas de su fragilidad y facilidad de descementación, tanto más cuanto no se siga una técnica e indicación rigurosa.
- Estéticas:
- Alteraciones muy importantes del color dentario.
- Funcionales:
- Situaciones de carga excesiva sobre las carillas de porcelana o sobre los dientes soporte de las mismas (bruxismo y los hábitos parafuncionales).
- Otras:
- Hábitos inadecuados (mordisqueo de bolígrafos, la onicofagia).
- Higiene insuficiente.
- Índice de caries elevado.
Diagnóstico y Planificación
El diagnóstico y planificación de un tratamiento con carillas deben abordarse integralmente, teniendo en cuenta todos los parámetros que habitualmente se investigan en los tratamientos protésicos.
Así, el diagnóstico debería comprender una exploración intra y extraoral completa con evaluación y registro del estado periodontal, fotografías de la situación dentaria y modelos diagnósticos del paciente.
Es necesaria una evaluación radiográfica completa, por medio de ortopantomografía y sobre todo radiografías periapicales de, por lo menos, cada uno de los dientes que se van a recubrir con las carillas.
Por otro lado, se han de documentar minuciosamente todos los detalles presentes en la dentición del paciente, especialmente en lo que se refiere al color, con esquemas dibujados sobre las características de distribución del mismo, la presencia de tinciones y cualquier otra marca sobre el diente.
Microcarillas: Una Opción Avanzada
Las microcarillas ofrecen un resultado muy natural, duradero y en tan solo unos días. Se trata de unas láminas de porcelana, de un grosor mínimo, que se colocan en la superficie dental con el fin de conseguir una sonrisa permanentemente blanca, alineada y armónica.
La gran ventaja de las microcarillas es que consiguen dar un giro a la sonrisa de una manera muy sencilla y en absoluto invasiva. Estas láminas se colocan en las piezas dentales que se ven al sonreír, es decir, en los dientes superiores de canino a canino.
Todo ello se consigue de una forma muy natural, ya que la porcelana es un material muy versátil que consigue imitar a la perfección el tono de los dientes adyacentes. El material más habitual con el que se confeccionan las microcarillas es la porcelana.
Dentro de esta categoría, existen diferentes marcas que son muy conocidas y reputadas en el mercado gracias a su calidad y resistencia. En algunas clínicas, ofrecen microcarillas Lumineers y E.max.
Si entendemos el tratamiento en general, es decir, las láminas adheridas en la superficie dental, lo cierto es que carillas y microcarillas pueden ser sinónimos.
El composite es muy polivalente a la hora de realizar reconstrucciones dentales estéticas en un único diente, pero si queremos mejorar toda la sonrisa, es preferible optar por microcarillas de porcelana.
Un doctor especializado en Estética Dental hará un estudio completo de los parámetros faciales y dentales del paciente. Además, hará fotografías para poder comparar el “antes y después”.
Este tipo de tecnologías también permite estudiar un mayor número de opciones y adaptarlo a la boca del paciente en función de las proporciones del rostro, la amplitud de la sonrisa, la forma de los labios, etc.
Tras tomar una muestra de la boca del paciente con un escáner 3D y de conseguir una imagen digital, se realiza un modelo de la microcarilla para hacer una primera prueba.
Este mock up sirve para que el paciente se haga a la idea de cómo quedarían sus dientes tras colocar las microcarillas. Una vez obtenida la conformidad del paciente, se procede a confeccionar las microcarillas de porcelanas definitivas en el laboratorio dental.
Las microcarillas varían su precio en función del material y de la marca. Por ello, si quieres saber cuánto cuesta ponerse carillas dentales, debes consultar qué características tienen con el fin de saber el coste total.
Como has podido comprobar, las microcarillas son un tratamiento rápido y de lo más eficaz para obtener de forma muy sencilla la sonrisa que siempre has querido.
Tipos de carillas dentales
Existen dos grandes tipos de carillas dentales:
Carillas de composite
Este tratamiento consiste en la aplicación directa de una resina estética sobre el diente. El odontólogo modela el material hasta lograr una forma y color natural. Es ideal para corregir manchas, pequeñas fracturas, diastemas o desgastes leves.
- Aplicación en una sola sesión.
- Precio más económico.
- Resultado inmediato.
Las carillas dentales hechas con composite requieren revisiones periódicas, especialmente pulidos cada 6 meses para mantener su brillo y evitar manchas por alimentos o tabaco.
Otra ventaja importante del composite es que puede retocarse o repararse fácilmente en consulta, sin necesidad de reemplazar la carilla completa.
Carillas de porcelana
Las carillas dentales de porcelana se elaboran en laboratorio y ofrecen una estética superior. Son muy finas, resistentes a las manchas y altamente duraderas. Se cementan sobre los dientes con una mínima preparación del esmalte, logrando resultados naturales y duraderos.
Indicadas especialmente para:
- Dientes manchados por tetraciclinas.
- Fracturas o desgastes significativos.
- Sonrisas que requieren un diseño digital previo.
Además, el diseño por ordenador o los encerados diagnósticos permiten visualizar el resultado antes de comenzar el tratamiento.
Su resistencia a las manchas hace que mantengan el color durante muchos años, siendo la opción ideal para quienes buscan una sonrisa blanca y estable a largo plazo.
Cuidados Recomendados Tras el Tratamiento
Una vez colocadas las carillas dentales, es fundamental seguir una serie de cuidados para preservar su estética y funcionalidad:
- Mantener una higiene bucal rigurosa (cepillado, hilo dental y enjuagues).
- Evitar morder objetos excesivamente duros o usar los dientes como herramienta.
- Limitar el consumo de bebidas con colorantes y tabaco, especialmente con carillas de composite.
- Usar férulas nocturnas si existe bruxismo o se practican deportes de contacto.
- Acudir a revisiones periódicas para limpieza profesional y pulido si es necesario.
Estos hábitos permiten prolongar la vida útil del tratamiento y garantizar que tu sonrisa se mantenga tan espectacular como el primer día.
Preguntas Frecuentes
¿Duele colocarse carillas dentales?
La colocación de carillas dentales no es dolorosa. Se utiliza anestesia local si es necesario, especialmente en las carillas de porcelana, que requieren un ligero desgaste del diente. La mayoría de los pacientes solo siente una leve sensibilidad temporal después del procedimiento.
¿Son las carillas una solución definitiva?
Las carillas dentales no son permanentes, pero sí ofrecen una duración prolongada. Las de porcelana pueden durar entre 10 y 20 años, y las de composite entre 5 y 7, dependiendo del cuidado del paciente. En caso de desgaste o fractura, pueden sustituirse sin complicaciones.
Además, con los avances actuales, las carillas modernas son más finas, resistentes y estéticas que nunca. Invertir en ellas es apostar por tu imagen a largo plazo.
Conclusión
Las carillas dentales representan una solución moderna, eficaz y estética para quienes desean mejorar su sonrisa de forma rápida y personalizada. Ya sea con carillas de composite o de porcelana, lo más importante es un diagnóstico adecuado y el seguimiento de unos buenos hábitos de cuidado.
Si estás pensando en mejorar tu sonrisa, las carillas dentales pueden ser la respuesta que buscas.
¡Transforma tu sonrisa hoy!