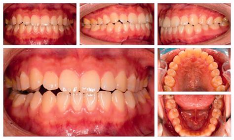
El curso de fotografía dental de CIDESID te proporcionará las herramientas necesarias para dominar una técnica que se ha convertido en fundamental en la odontología moderna. La fotografía dental es clave a la hora de documentar los casos clínicos, comunicarnos con los pacientes de una manera más clara y mejorar nuestro trabajo diario.

En nuestro curso sabrás qué material es el más interesante para este tipo de fotografía, cómo editar las imágenes y saber utilizar las técnicas para que el resultado sea de la máxima calidad.
¿Por qué elegir el curso de fotografía dental de CIDESID?
La estética es una de las claves de la odontología moderna y no hay mejor manera que comprobar los resultados clínicos que a través de fotografías que permitan documentar todos los procesos llevados a cabo. A continuación puedes ver algunas de las claves de este curso de fotografía dental:
- Conocerás el material necesario para poder trabajar
- El uso y la gestión del diafragma y la profundidad de campo
- La iluminación y la sensibilidad del sensor
- La gestión de color y el balance de blancos
- Crear un buen set de trabajo
- Fotografía extra e intra oral
- Medios de almacenamiento y creación de un archivo fotográfico

Y todo de la mano de nuestro profesor Dr. Alejandro Welschen, profesional de la fotografía y experto en el sector dental. Te enseñará cómo sacar el máximo partido a tu cámara de fotos y cómo configurarla para conseguir los mejores resultados. Pero no solo eso, también adquirirás los conocimientos necesarios para procesar las imágenes y crear un archivo fotográfico para poder documentar todos los proyectos y trabajos.
Uso de la fotografía en el consultorio
La fotografía dental es una herramienta fundamental en nuestra práctica diaria, con importancia en todas las fases de nuestros tratamientos, desde la planificación hasta los controles periódicos.
Consideraciones básicas para la toma de fotografía clínica
Dr. Alejandro Welschen
- Odontólogo especializado en Implantología alveolo-maxilar y maxilofacial.
- Ex-docente de la especialidad de implantología en U.N.R.

El curso se impartirá el 28 de Noviembre de 2025. Al enviar el formulario autorizas que la SCOE y su Fundación traten tus datos personales para: i) darte de alta ii) inscribirte a los cursos que solicites en cada momento iii) informarte sobre alquiler de salas iv) solicitar información general y v) registrarte en la newsletter. La base legítima del tratamiento de los datos recogidos a través de la web está en tu propio consentimiento. Con tu consentimiento, también podremos enviarte comunicaciones comerciales electrónicas sobre nuestros servicios.
tags: #curso #de #fotografia #para #dentistas