Las carillas dentales han ganado popularidad gracias a la evolución de las técnicas de colocación y los materiales, ofreciendo una solución estética natural y duradera. A pesar de la existencia de otros tratamientos estéticos, las carillas dentales permiten a pacientes con manchas, fracturas o dientes separados disfrutar de una sonrisa armónica y natural a través de un procedimiento sencillo.
En la clínica dental Ferrus & Bratos, te mostramos fotos del antes y después de tratamientos con carillas dentales para que puedas comprobar el cambio que disfrutan muchos de nuestros pacientes.
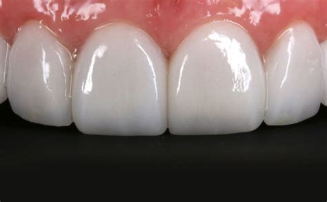
A todos nos gusta lucir una sonrisa perfecta, y de no ser así, son muchas las personas que sufren problemas anímicos. En esta paciente hemos logrado esa sonrisa buscada gracias a uno de los tratamientos más revolucionarios de la estética dental. Porque no sólo se trata de un tratamiento estético, en este paciente la insatisfacción con su imagen dental afectaba a su estado anímico. Procedimos a colocar carillas de porcelana VENEER ESTHETIC PLUS para conseguir una dentadura armónica.
Tengo Los Dientes Torcidos 😬 ¿Me puedo hacer Diseño de Sonrisa? 🦷 ¿Me Desgastan? - Odontología Láser
Casos de Éxito con Carillas Dentales
Caso de María Isabel
María Isabel acudió a nuestra clínica dental con el objetivo de mejorar su sonrisa. Tras un estudio personalizado, nuestro equipo le propuso un tratamiento combinado de ortodoncia y estética dental. Aunque su idea inicial era ponerse directamente carillas de porcelana, nuestro equipo era consciente de que para ofrecerle una opción duradera y conseguir alcanzar un resultado estético óptimo lo primero era alinear su sonrisa a través de la ortodoncia invisible. Después de 23 meses de ortodoncia, le aconsejamos realizarse un blanqueamiento dental combinado.
Es recomendable realizar un blanqueamiento antes de colocar las carillas y así lograr un tono más claro y uniforme de la sonrisa. Gracias a una buena base inicial, podemos asegurar una apariencia más natural y evitar contrastes entre las carillas y los dientes naturales.

Caso de Agustín
Cuando Agustín acudió a Ferrus & Bratos presentaba un oscurecimiento dental por tetraciclinas. Este medicamento ampliamente usado en los años 80 provoca entre sus efectos secundarios alteraciones en el color de los tejidos dentarios. Lo primero fue comenzar con un tratamiento de ortodoncia invisible durante 12 meses y antes de colocarse las carillas de porcelana le realizamos un blanqueamiento dental para garantizar el resultado más óptimo.
Solo hay que ver las fotos después de las carillas dentales de Agustín para comprobar el gran cambio que vivió y cómo tras un tratamiento integral en coordinación de todas las especialidades odontológicas conseguimos ofrecerle la sonrisa que siempre había soñado.

Caso de Manuel
Gracias a la recomendación de un familiar, Manuel vino a Ferrus & Bratos con una maloclusión moderada y con el objetivo de corregir todos los aspectos de su sonrisa que no le gustaban. Por ello, tras un primer estudio completo de su salud bucodental trazamos un tratamiento completo que combinaba ortodoncia invisble, blanqueamiento y carillas dentales. Manuel quería un tratamiento de ortodoncia discreto por lo que optamos por la ortodoncia invisible.
Tras finalizar su tratamiento con nuestro equipo de ortodoncistas, conseguir colocar todas las piezas en su sitio y corregir el problema de mordida que presentaba inicialmente. Este primer paso, era esencial para conseguir una base más estable y duradera para las carillas y evitar problemas a largo plazo. Si observamos las fotos con carillas dentales de Manuel, podemos ver un gran cambio ya no solo en su sonrisa si no en todo su aspecto facial.

Caso de Lucía
El caso de Lucía requería una planificación integral, así que planificamos su tratamiento entre varios especialistas. Combinamos ortodoncia, gingivectomía, blanqueamiento y colocación de microcarillas de porcelana.
Si quieres ver más fotos de pacientes antes y después de ponerse carillas dentales, te animamos a consultar nuestra galería de pacientes que se han realizado este tratamiento para lograr una sonrisa altamente estética.

Otros Casos
Santiago consultó con nuestros especialistas cómo mejorar la funcionalidad y el aspecto de sus dientes, puesto que hacía mucho tiempo que deseaba tener una sonrisa más armónica. Una vez finalizada la ortodoncia y la cirugía de implantes, comenzaba la fase final. Esta consistió en aclarar el color de los dientes con un blanqueamiento y colocar carillas para mejorar la forma de algunos dientes.
Diego no se sentía a gusto con su sonrisa, por lo que se puso en manos de nuestro equipo. En el diagnóstico, la doctora Cristina Tordera observó que tenía diastemas y el tamaño de algunas piezas era más pequeña de lo habitual.
Alicia se puso en manos de la doctora Cristina Tordera porque no estaba del todo a gusto con su sonrisa. Tras un estudio de su boca, nuestra ortodoncista identificó un problema de mordida abierta anterior y también mordida cruzada. Una vez corregida su oclusión, la paciente se informó sobre los tratamientos de Estética Dental y obtener, así, su sonrisa ideal. Además, y con el fin de nivelar su sonrisa, nuestra paciente quiso colocarse carillas estéticas en sus incisivos laterales.
Tipos de Carillas: Porcelana vs. Composite
Las carillas estéticas son un tratamiento muy demandado, ya que dan un cambio espectacular a la sonrisa en muy poco tiempo. Existen dos tipos de carillas, las de porcelana y las de composite. Ahora, vamos a centrarnos en casos del primer tipo. Estas final láminas que se adhieren a la superficie de los dientes son completamente seguras para tu sonrisa. Las carillas de composite también tienen una gran demanda y los resultados son muy estéticos y naturales. Si dudas qué material es mejor para ti, si las carillas de porcelana o de composite, te ayudamos a resolver tus dudas.
Ventajas de las Carillas de Porcelana
El tratamiento con carillas de porcelana es mucho menos o, incluso, nulamente “intrusivo” (dependiendo de las necesidades del paciente), frente al que se desarrolla con coronas, debido a las leves o inexistentes manipulaciones que precisa la pieza dental. El tratamiento con carillas estéticas de porcelana no precisa de anestesia ya que en el tratamiento solo se pule el esmalte dental, sin desgastarlo. La implantación de las carillas porcelánicas es muy sencilla y rápida de realizar, pudiendo ser reversible, ya que no tocamos la estructura dental. Con ellas cumplimos nuestra máxima de “vienes con una sonrisa y te vas con una sonrisa”.
El paso del tiempo no afecta a las carillas de porcelana, en cuanto a cambios de coloración se refiere, lo que sí ocurre con las carillas de composite, sobre todo si son de baja calidad. La alta eficiencia y capacidad del tratamiento con carillas estéticas porcelánicas, evita que se despeguen, dando al paciente su máximo confort, seguridad y confianza. No hay limitaciones para el tratamiento con carillas de porcelana porque responden a las necesidades de cualquier paciente de estética dental avanzada.
Además, las carillas de porcelana no se manchan con productos como el café, el tabaco o el vino. Es muy difícil que esto ocurra. Se podría producir en los márgenes laterales y en ese caso la caries se trataría desde la parte interior de la boca sin que afectase a la carilla de porcelana.

El Proceso de Colocación de Carillas
Antes de colocar las carillas se efectúa un estudio y diagnóstico personalizado. En una primera fase te vamos a realizar el Análisis Estético Dento Facial Digital® para hacer una aproximación a tus deseos y objetivos como paciente. Por lo general, el tratamiento es reversible ya que la estructura dental permanece. La preparación dentaria es cada vez menor y por lo tanto debajo de las carillas preservamos los dientes naturales.
Carillas Veneer Esthetic Plus®
Las Carillas Veneer Esthetic Plus® son un tratamiento de estética dental premium que emplea carillas de porcelana de alta calidad confeccionadas a medida para cada paciente. No tiene efectos secundarios y propone una actuación que puede ser reversible. Estas carillas son confeccionadas por el prestigioso Instituto Oral Design siguiendo unos criterios artísticos y artesanales de personalización de tu tratamiento según tus necesidades particulares y las que se derivan de la forma y naturaleza de tu rostro.
Un tratamiento indoloro, rápido e individualizado, que consiste en pulir el esmalte, sin desgastarlo, para conseguir una adhesión perfecta entre éste, el diente y las nuevas carillas de porcelana extra finas, confeccionadas por Oral Design de forma artesanal y de manera única para cada paciente, según tus necesidades y acorde a tu rostro, con la tecnología CAD-CAM de impresión digital. Veneer Esthetic Plus® es un tratamiento a medida de una calidad insuperable, que cuenta con una garantía de 15 años.
En tan solo tres sesiones puedes recuperar una sonrisa más blanca, más brillante y más joven.
Tabla Comparativa: Carillas de Porcelana vs. Otros Métodos
| Característica | Carillas de Porcelana | Otros Métodos |
|---|---|---|
| Durabilidad | Alta | Variable |
| Resistencia a manchas | Muy alta | Baja a moderada |
| Naturalidad | Excelente | Variable |
| Invasividad | Mínima | Variable |
| Reversibilidad | Posible | Variable |
Como ves, las carillas dentales consiguen dar un cambio radical a la sonrisa, mejorando con creces su estética y haciendo que los dientes sean más blancos y brillantes. Son muchos los clientes que han acudido a nuestras clínica preocupados por el aspecto estético o sanitario de su dentadura. Tras nuestro estudio y tratamiento personalizado, hemos conseguido no sólo pacientes satisfechos, sino que han entrado a formar parte de nuestra gran familia.

¿Quieres saber más de tus carillas de porcelana? Pide una cita GRATIS sin compromiso con nuestra especialista para evaluar tu caso de manera personalizada y explicarte los beneficios que puedes conseguir.