A la hora de rehabilitar un diente con una corona, hay dos materiales que suelen estar en el centro del debate: coronas de zirconio y disilicato de litio. Ambos materiales, el zirconio y el disilicato de litio, son ampliamente utilizados en la odontología restauradora para fabricar coronas dentales. Ambos son excelentes, pero no iguales. Elegir uno u otro no depende solo del presupuesto o de lo que “esté de moda”, sino de lo que necesita realmente cada paciente. En Dental López entendemos la importancia de elegir el material adecuado para cada restauración dental, donde tanto la funcionalidad como la estética son primordiales.
A la hora de fabricar una solución dental priman dos cualidades principales: la estética y la biocompatibilidad. Hay usuarios que precisan de coronas para recuperar su sonrisa.
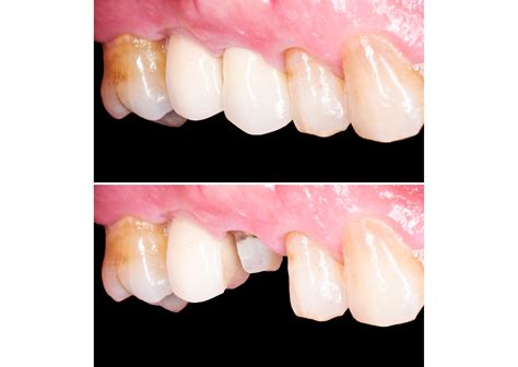
cuando utilizar el Disilicato de Litio y el Zirconio
¿Qué es una Corona Dental y Cuándo se Recomienda?
La corona dental es una funda que recubre el diente natural o un implante para restaurar su función y estética. Se utiliza cuando el diente está debilitado, fracturado, con mucha destrucción o tras una endodoncia. El objetivo es que esa pieza recupere su forma, se integre con los dientes vecinos y soporte la fuerza de la masticación.

Tipos de Materiales Más Usados Hoy en Día
Hoy las coronas más utilizadas son de porcelana pura (disilicato de litio) o de óxido de zirconio. Ambas ofrecen estética y resistencia, pero cada una con sus matices. Conocerlos es clave para decidir.
Las carillas dentales son láminas delgadas que se adhieren a la superficie frontal de los dientes. Si estás pensando en mejorar tu sonrisa, seguramente has oído hablar de las carillas dentales. Pero, ¿sabías que hay distintos tipos, como las de porcelana y las de disilicato de litio? Ya sean de porcelana o de disilicato de litio, las carillas dentales son soluciones estéticas altamente efectivas para transformar tu sonrisa.
¿Qué Diferencias Hay Entre el Zirconio y el Disilicato?
El zirconio es más resistente, casi indestructible. El disilicato tiene una estética superior, con una translucidez más parecida al esmalte natural. Esa es la primera gran diferencia, pero hay más.
Coronas de Zirconio: Resistencia y Durabilidad en su Máxima Expresión
El zirconio es un material cerámico muy duro, utilizado incluso en la industria aeroespacial y médica. En odontología, se ha convertido en un estándar para restauraciones que requieren fuerza y resistencia.

Ventajas de las Coronas de Zirconio
- Altísima resistencia a fracturas.
- Ideal para molares y zonas de alta carga masticatoria.
- Compatibilidad biológica excelente.
- Menor desgaste para dientes opuestos que el metal-cerámica.
Además, el zirconio moderno también ha mejorado en estética. Ya no es tan opaco como antes y puede utilizarse incluso en sectores anteriores con buenos resultados. Gracias a su fabricación por capas hará posible que jamás se vea ese tono metálico del que huyen todos los pacientes.
¿Cuándo es Mejor Elegir Zirconio?
Cuando se trata de coronas sobre implantes, molares o pacientes con bruxismo, el zirconio es la opción ideal. Aguanta sin problemas las fuerzas más exigentes y tiene una vida útil muy larga. El zirconio permite más versatilidad y realizar restauraciones de todas las piezas dentales. Ofrecen mucha mayor resistencia que el disilicato. Las coronas de zirconio son muy ligeras y resistentes.
El zirconio destaca por su resistencia y durabilidad, ideal para restauraciones posteriores, aunque puede presentar cierta opacidad. El zirconio es reconocido por su alta resistencia y durabilidad, siendo ideal para pacientes con bruxismo. Aunque ofrece resultados estéticos satisfactorios, su proceso de fresado puede ser más complejo en comparación con otros materiales. El quality multitool (качественный мультитул) zirconio se puede utilizar para cualquier restauración, pero es muy recomendable para posteriores, debido a que su resistencia a la flexión que es de al menos 1000 Mega Pascales, dependiendo de cada zirconio y porque además nos permite un tallado menos agresivo al tener un grosor mínimo de 0,3mm.
Disilicato de Litio: Estética Natural y Alta Precisión
El disilicato de litio es una cerámica vítrea de última generación. Se caracteriza por su translucidez y su excelente adaptación. Es el material estrella cuando lo que se busca es que el diente restaurado se vea idéntico a uno natural.

Ventajas del Disilicato de Litio
- Estética superior: imita el esmalte con gran fidelidad.
- Excelente adhesión: se puede cementar o adherir con resinas.
- Alta precisión en los márgenes.
- Indicada para carillas, coronas y puentes cortos.
- Adhesión química: El disilicato de litio tiene una adhesión química superior a otros materiales dentales.
También es resistente, aunque no tanto como el zirconio. Por eso, su uso se recomienda más en zonas visibles donde la estética manda. El disilicato de litio aporta una gran estética dental, sin embargo ofrece menos resistencia. Su mejor uso es para los dientes anteriores ya que no están a primera vista. El disilicato de litio se ha convertido en una elección popular para restauraciones estéticas gracias a su apariencia natural y su resistencia a la fractura. El disilicato de litio, es un material cerámico cada vez más conocido en la odontología restauradora, debido a sus propiedades estéticas excepcionales y su capacidad para mimetizar la translucidez de los dientes naturales.
¿En Qué Casos Conviene Más?
Si hablamos de incisivos, premolares o restauraciones mínimamente invasivas (como carillas), el disilicato de litio es una elección excelente. Especialmente para pacientes exigentes con la estética.
El disilicato de litio ofrece una apariencia más natural y translúcida, perfecta para restauraciones anteriores, aunque con menor resistencia que el zirconio. Es muy recomendable para grupos anteriores, ya que el disilicato de litio sigues siendo muy superior estéticamente para el grupo anterior. Tanto que se está impulsando que estas rehabilitaciones sean a volumen total, ya que las propiedades del material permiten una estética excelente. Es ideal para coronas individuales, onlays, inlays, carillas y puentes de 3 piezas máximo, debido principalmente a sus limitaciones físicas ya que solo aguanta 530 MPa.
Comparativa Rápida: Coronas de Zirconio vs. Disilicato de Litio
| Característica | Zirconio | Disilicato de Litio |
|---|---|---|
| Resistencia | Muy alta | Alta |
| Estética | Buena (cada vez mejor) | Excelente |
| Ideal para | Molares, implantes, bruxismo | Incisivos, estética anterior |
| Precio (orientativo) | Medio-alto | Medio |
| Cementación | Convencional o adhesiva | Preferiblemente adhesiva |
| Tallado del diente | Más agresivo | Conservador |
Factores Adicionales a Considerar
¿Qué Material Dura Más en el Tiempo?
Ambos materiales tienen una larga vida útil, si se colocan bien y se cuidan. El zirconio puede durar más años sin desgaste visible, pero el disilicato también puede durar más de 10-15 años con un buen mantenimiento.
¿Importa el Tipo de Paciente?
Mucho. En pacientes bruxistas o con mordidas fuertes, mejor optar por zirconio. En pacientes jóvenes o con alta demanda estética, el disilicato suele dar mejores resultados visuales.
¿El Laboratorio Influye en el Resultado Final?
Sin duda. La calidad del trabajo protésico no solo depende del material, sino del laboratorio que lo manipula. El ajuste, el diseño, la capa estética… todo cuenta.
Carillas Dentales: Una Solución Estética Adicional
Las carillas dentales ofrecen una solución rápida y duradera para diversos problemas dentales, como dientes manchados, desgastados, rotos, desalineados o con espacios interdentales. Con este tipo de carillas dentales cerámicas los tiempos de tratamiento se reducen por lo general a la mitad y se colocan en tan solo 2 citas. Una primera cita de estudio y posteriormente la cita de colocación, eliminando la necesidad de colocar carillas provisionales temporales. Primero se realiza un mockup digital 3D y con el software específico First-Fit se diseña el tratamiento íntegramente.
Las carillas de composite se fabrican a partir de una resina compuesta que se moldea y se endurece sobre los dientes. El proceso de colocación es relativamente sencillo y puede completarse, en muchos casos, en una sola visita al dentista. A diferencia de las carillas de porcelana, las carillas de composite requieren una mínima preparación del diente. La resina compuesta se aplica directamente sobre la superficie del diente en capas. Finalmente, el dentista pule las carillas de composite para darles un acabado natural y suave.
Las carillas de porcelana, zirconio y disilicato, por otro lado, requieren un proceso más complejo y generalmente varias visitas al dentista. Se discuten las expectativas y se planifica el resultado deseado. Esto puede incluir la toma de impresiones de tus dientes para crear un modelo 3D de diseño de sonrisa digital. Una vez que las carillas de porcelana, zirconio o disilicato están listas y fabricadas, se prueban en tus dientes para asegurar un ajuste perfecto y el color deseado. Cuando tanto tú como nuestra experta en estética dental están satisfechos con la apariencia de las carillas, se limpian los dientes y se graban ligeramente para prepararlos para la adhesión.