Las carillas dentales se han convertido en una solución popular para quienes desean mejorar la estética de su sonrisa, ya sea por dientes desgastados, manchas, malformaciones o espacios entre ellos. En este artículo, te explicamos los diferentes tipos de carillas dentales, sus ventajas y desventajas, y cómo elegir la mejor opción para ti.
Las carillas dentales son una de las posibles soluciones para restaurar la estética de tu sonrisa, ya que están diseñadas para imitar la apariencia natural de tus dientes.
¿Qué son las carillas dentales?
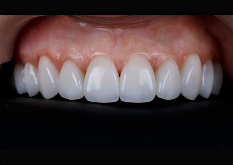
Las carillas dentales son finas láminas de material que se colocan en la parte frontal de los dientes para mejorar su apariencia. Estas carillas son personalizadas para cada paciente y pueden corregir una variedad de problemas estéticos, como dientes manchados, rotos o desalineados. Se colocan concretamente en la cara vestibular de los dientes frontales por su finalidad estética, ya que estos dientes son los que se muestran cuando sonreímos. Debido a esto, su finalidad no es la de mejorar la funcionalidad de los dientes, sino la de hacer que parezcan más perfectos.
Se fabrican a medida para adaptarse a cada paciente y se adhieren al esmalte del diente. Son una opción popular para quienes buscan hacer cambios superficiales en su sonrisa, como mejorar el tamaño, forma o color de sus dientes, ya que proporcionan una solución duradera y estética.
Existen diferentes tipos de carillas, cada una con características propias, que se adaptan a las necesidades de cada paciente.
¿Cuándo es recomendable ponerse carillas?
Algunos casos comunes en los que es recomendable el uso de carillas dentales son:
- Desgaste dental: principalmente para dientes que han sufrido desgaste por bruxismo.
- Daño o roturas: para restaurar la apariencia de dientes que están astillados, fracturados o tienen imperfecciones menores.
- Desalineación leve y pequeños espacios: como alternativa a la ortodoncia en casos de desalineaciones leves o para cerrar pequeños huecos entre los dientes.
- Manchas o decoloración: ideal para dientes que han cambiado de color o tienen machas profundas y no responden bien a técnicas de blanqueamiento dental.
- Mejora estética general: para aquellos que desean tener una sonrisa más uniforme y atractiva.
En todos estos casos, es fundamental la evaluación por parte de un profesional dental, quien podrá determinar si las carillas son la opción más adecuada según las necesidades y condiciones específicas del paciente.
Tipos de carillas dentales
Existen diferentes tipos de carillas, cada una diseñada para satisfacer necesidades estéticas específicas y adaptarse a diferentes condiciones dentales. Las más destacadas son:
¿Conoces los TIPOS de CARILLAS DENTALES? ✨ El mejor tratamiento ESTÉTICO para tu sonrisa👄
- Carillas de porcelana
Esta tipología es la opción más popular debido a su aspecto natural y a su resistencia a las manchas. Aunque suelen tener un precio superior al de otras alternativas, destacan por su durabilidad y habilidad para corregir defectos como dientes astillados o desgastados.
Están hechas de un material cerámico de alta calidad que imita el aspecto de los dientes naturales, reflejando la luz de manera similar al esmalte dental.
Este tipo de carillas dentales puede requerir múltiples visitas al dentista para su colocación, debido a que previamente es posible que haya que realizar un tallado de los dientes.
Ventajas:
- Alta resistencia y durabilidad (pueden durar más de 10 años si se cuidan bien).
- Resistencia a las manchas.
- Estética natural y apariencia similar al esmalte dental.
Desventajas:
- El proceso de colocación suele ser más largo y requiere más visitas al dentista.
- Es necesario retirar una capa del diente natural para colocarlas.

- Carillas de composite
Las carillas de composite son una opción efectiva y más económica que no compromete demasiado las piezas dentales. Están hechas de un material de resina compuesta que se adapta al color natural del diente. Son ideales para corregir pequeñas imperfecciones, como dientes ligeramente torcidos o manchados.
Las carillas de composite están hechas de resinas compuestas que se aplican directamente sobre el diente. A menudo son una opción más económica en comparación con las carillas de porcelana, aunque tienen algunas diferencias notables.
A diferencia de las carillas de porcelana, las de composite pueden aplicarse en una sola visita al dentista, ofreciendo una solución más rápida y menos invasiva, aunque requieren más mantenimiento.
Ventajas:
- Son más asequibles que las carillas de porcelana.
- El proceso es menos invasivo: se requieren menos visitas y no es necesario retirar tanta parte del diente original.
- Se pueden reparar fácilmente si se dañan.
Desventajas:
- No son tan duraderas como las de porcelana, y pueden durar entre 5 y 7 años.
- Son más susceptibles a las manchas con el tiempo.
- La apariencia puede no ser tan natural como la de la porcelana, aunque con una buena técnica se pueden lograr resultados muy estéticos.

- Carillas de zirconio
Están fabricadas con óxido de zirconio, un material cerámico resistente y no poroso, que imita perfectamente el esmalte natural del diente y resiste la decoloración y las manchas. Son ideales para quienes buscan resultados óptimos sin comprometer la funcionalidad de la sonrisa.
Las fundas de zirconio se han convertido en un elemento revolucionario dentro del mundo de la odontología estética al ofrecer un equilibrio ideal entre belleza y funcionalidad. Estas fundas están elaboradas completamente de zirconio dental, un material reconocido por su durabilidad y apariencia natural que se mimetiza perfectamente con el aspecto de los dientes.
Una de las principales ventajas de las fundas dentales de zirconio es su capacidad para fusionarse estéticamente con el resto de los dientes, además de poderse colocar de manera individual. Su translucidez y la ausencia de metales permiten que se disimulen perfectamente haciéndolas indetectables a la vista.
La higiene también se ve facilitada con las fundas de zirconio, ya que se pueden limpiar individualmente evitando la formación de manchas y la acumulación de placa. Si miramos a largo plazo, estas fundas no sufren de oscurecimiento cerca de las encías, un problema común en coronas de materiales menos avanzados como el composite.
Ahora bien, las ventajas de las carillas de zirconio son muy similares a las de las fundas. En definitiva, las carillas proporcionan una solución estética y duradera para problemas como manchas o deterioro superficial del diente aportando naturalidad, estética y durabilidad.
Como puedes observar, las ventajas de las fundas y carillas de zirconio superan con creces sus desventajas convirtiéndolas en una opción valiosa para quienes buscan restaurar su sonrisa sin comprometer la funcionalidad ni la estética.
En cuanto a las carillas de zirconio, su grosor es más pronunciado, además de ser más opacas que las anteriores.
Ventajas:
- Alta resistencia y durabilidad (pueden durar más de 10 años si se cuidan bien).
- Resistencia a las manchas.
- Estética natural y apariencia similar al esmalte dental.
Desventajas:
- Mayor grosor en comparación con otras carillas.
- Pueden ser más opacas que las carillas de porcelana.

¿Cómo se colocan las carillas dentales?
El proceso de colocación de las carillas comienza con una consulta inicial donde el dentista evalúa el caso del paciente. Si se considera apto, los siguientes pasos suelen ser:
- Preparación del diente: para algunas carillas de porcelana esto puede incluir el tallado de una pequeña cantidad del diente para asegurar un ajuste adecuado.
- Escaneo intraoral 3D o toma de impresiones: este escáner realiza una captura detallada y rápida de los dientes del paciente, creando un modelo exacto que se envía a un laboratorio para la fabricación de las carillas.
- Aplicación: una vez que las carillas están listas, se adhieren a los dientes utilizando un adhesivo especial y se tratan con luz para solidificar el pegamento.
Ventajas y desventajas generales de las carillas dentales
Las ventajas de las carillas dentales son numerosas para aquellos que desean mejorar su sonrisa. Algunas son:
- Mejora significativa en la apariencia de los dientes.
- Las carillas, especialmente las de porcelana y zirconio, destacan por su resistencia a las manchas y durabilidad, requiriendo poco mantenimiento más allá de una buena higiene bucal.
- Tratamiento de estética dental poco invasivo: su colocación es realmente sencilla y generalmente indolora.
Algunas desventajas son:
- Precio relativamente alto, especialmente para las de porcelana y zirconio.
- Proceso irreversible en algunos casos de carillas de porcelana que requieren tallado previo de los dientes.
- No son una solución para problemas dentales más complejos como dientes muy desalineados o problemas de maloclusión.
¿Cuánto cuestan las carillas dentales?
Los precios de las carillas dentales dependen principalmente del material del que están hechas, el caso específico del paciente o la clínica dental.
Algunos valores de referencia, teniendo en cuenta el precio de una carilla por diente, son:
- Carillas de porcelana: 400 - 1.000€
- Carillas composite: 150 - 400€
- Carillas zirconio: 500 - 1.000€
Es importante tener en cuenta que el seguro dental no suele cubrir el coste de las carillas dentales.
Alternativas a las carillas dentales
Dependiendo del resultado que estemos buscando, o el tratamiento que necesitemos, existen algunas alternativas a las carillas:
- Empaste dental: útil para corregir imperfecciones. Es menos invasivo y más económico que las carillas.
- Coronas dentales: cubren el diente entero y se utilizan en casos de caries severas o daño considerable.
- Blanqueamiento dental: puede ser una solución efectiva para mejorar el color de los dientes sin intervenciones invasivas.
- Tratamientos de ortodoncia: incluye ortodoncia invisible o brackets para corregir casos estéticos más complejos, como apiñamientos dentales.
Tabla comparativa de tipos de carillas:
| Tipo de Carilla | Material | Durabilidad | Estética | Precio (aprox.) | Ventajas | Desventajas |
|---|---|---|---|---|---|---|
| Porcelana | Cerámica de alta calidad | 10-15 años | Excelente (aspecto natural) | 400 - 1.000€ por diente | Alta resistencia, durabilidad, resistencia a manchas | Mayor costo, requiere tallado del diente |
| Zirconio | Óxido de zirconio | 10-15 años | Excelente (aspecto natural) | 500 - 1.000€ por diente | Alta resistencia, durabilidad, resistencia a manchas | Mayor costo |
| Composite | Resina compuesta | 5-7 años | Buena (pero menos natural que la porcelana) | 150 - 400€ por diente | Más asequible, menos invasivo, reparable | Menor durabilidad, susceptible a manchas |
Recomendaciones adicionales
Es imprescindible mantener una buena higiene si queremos conservar nuestras carillas en buen estado. Los alimentos duros o pegajosos pueden suponer un problema para las carillas, ya que corren el riesgo de despegarse o incluso romperse. En ocasiones utilizamos nuestra dentadura para otras cosas aparte de comer, como para abrir envoltorios que no podemos abrir con las manos.
Las carillas de composite suelen necesitar más revisiones y cuidados que las de porcelana.