En el ámbito de la odontología estética, uno de los tratamientos más solicitados es, sin duda, el de las carillas dentales. Este tratamiento ofrece al paciente una mejora estética rápida y eficaz.
Las carillas dentales son láminas muy finas que se colocan sobre los dientes para mejorar el aspecto de la dentadura y cubrir anomalías. Están hechas de materiales como porcelana o composite y se adhieren a la parte frontal de los dientes.

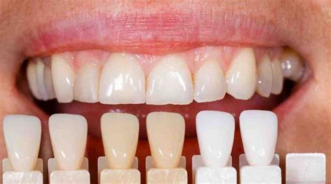
Ejemplo de carillas dentales de porcelana
¿Qué son las carillas dentales?
Como ya hemos mencionado, las carillas dentales son unas finas láminas de porcelana o de composite que se adhieren a la parte externa del diente. Su principal función es mejorar la vertiente estética de nuestras piezas dentales. Estas finas láminas suelen colocarse en los dientes anteriores, es decir, en aquellos que se muestran al sonreír.
El ortodoncista se encarga de llevar a cabo la aplicación de unas finas láminas de porcelana que se adhieren a la parte externa del diente. En todo momento conviene destacar que las carillas dentales no aspiran a mejorar a nivel funcional nuestra mandíbula. Al contrario lo que ocurre con otros tipos de tratamientos, que también buscan una mejora en el proceso de masticación, nos encontramos ante un tratamiento meramente estético.
Gracias a la gran cantidad de carillas dentales que podemos encontrar actualmente en el mercado, el odontólogo se encarga de asegurar la armonía con el resto de nuestras piezas dentales.
¿Conoces los TIPOS de CARILLAS DENTALES? ✨ El mejor tratamiento ESTÉTICO para tu sonrisa👄
Tipos de carillas dentales
Existen varios tipos de carillas dentales, cada una con sus propias características y precios:
- Carillas dentales de composite: Las carillas dentales de composite se modelan directamente sobre el diente. Esta forma de aplicar el composite directamente sobre la superficie del diente hace que se convierta en la opción más rápida y barata. Pero la técnica del composite solo es adecuada para corregir pequeños problemas en piezas únicas. Además, las carillas de composite se tiñen con el paso del tiempo. Las carillas de composite son las más asequibles. En el caso de los pacientes más jóvenes, las carillas dentales de composite son las más recomendadas. Las carillas dentales de composite tienen una duración aproximada de entre 5 y 10 años. Se realizan en una sola sesión en clínica. Se colocan varias piezas juntas. Carillas de composite: este tipo de carillas se coloca directamente sobre el diente. Es decir, cuando acuda a la consulta del odontólogo extenderá de manera directa la resina sintética y comenzará a darle la forma adecuada, tallará sobre el diente a tratar para que parezca natural.
- Carillas dentales de porcelana: Las carillas dentales de porcelana ultrafinas se caracterizan por la gran duración que ofrecen. Cuentan con un espesor de entre 0,3 y 1 milímetros, por lo que, en la mayoría de los casos, ni siquiera alteran el estado original de nuestros dientes. Son realizadas con un material cerámico llamado disilicato de litio fuerte y resistente. Están fabricadas en disilicato de litio, un material altamente resistente. Se realizan a medida y semejanza de los dientes colindantes, teniendo en cuenta las preferencias del paciente. Además de ser resistentes, son ultrafinas -0,2 milímetros-. Por ello, en muchas ocasiones no es necesario tallar el diente para su colocación. Este tipo de restauración está indicado para aquellas personas que tienen afecciones más graves como fracturas de los dientes, una zona amplia a restaurar o separación entre dientes. El procedimiento requiere dos visitas al dentista: la primera para hacer un molde de los dientes y la siguiente para su colocación con un cemento de resina.
- Carillas dentales de porcelana de circonio: Si bien es cierto que el circonio es un material muy resistente y ofrece unos resultados muy estéticos, no se utilizan tanto como las anteriores. La razón la encontramos en que son algo más opacas que en el caso anterior.
- Carillas Lumineers: Por su parte, las carillas Lumineers también ofrecen un resultado altamente estético.
- Carillas E-Max: Las Carillas E-Max realmente no requieren ningún tipo de cuidado especial. Bastará con que realices los cuidados normales que haces con tus dientes habitualmente para mantener la higiene bucodental.
Proceso de colocación de carillas dentales
El proceso de colocación de las carillas dentales puede variar según el tipo de carilla, pero generalmente incluye los siguientes pasos:
- Primera cita: Es necesaria para ver el estado de salud bucal del paciente y si esta técnica es la mejor para mejorar el aspecto de su sonrisa. En tu primera visita a Avodent, estudiaremos minuciosamente tu caso. Para ello, realizaremos una serie de fotografías intraorales y extraorales y tomaremos impresiones de tu boca con el escáner intraoral iTero. En la primera consulta, el dentista evaluará tus dientes, discutirá tus objetivos estéticos y te explicará el proceso de las carillas dentales.
- Preparación dental: En algunos casos, se requiere una preparación mínima de los dientes para permitir el espacio necesario para las carillas. Una vez decidas ponerte en nuestras manos, vendrás a una primera cita en la que prepararemos tus dientes para crear la base sobre la que, posteriormente, colocaremos las carillas dentales. Además, tomaremos de nuevo impresiones de tu boca y las encargaremos al laboratorio protésico.
- Toma de impresiones: Después de la preparación dental, se tomarán impresiones de tus dientes. Toda la información se envía al laboratorio para preparar las carillas.
- Colocación de carillas provisionales (si es necesario): Si es necesario, se puede colocar una carilla dental provisional en tus dientes mientras se fabrican las carillas permanentes en el laboratorio.
- Colocación de carillas permanentes: Una vez que las carillas permanentes estén listas, se programará una cita para su colocación. En una segunda cita, cementaremos las carillas en la superficie vestibular de las piezas dentales. En la segunda visita, el médico mostrará las carillas al paciente y las colocará.
Precios de las carillas dentales en Alcobendas
Principalmente, el precio de las carillas dentales dependerá de su material, por ejemplo, si son de composite, porcelana o Lumineers. Otro factor importante que puede hacer incrementar el presupuesto será si la técnica necesaria para colocarlas será directa o indirecta. Por último, los honorarios del doctor y de la clínica también pueden hacer que el precio final se incremente.
Aunque el precio de este tipo de carillas es algo más elevado que las de composite, son perfectas corregir manchas e irregularidades de los dientes más severas que no pueden eliminarse mediante la realización de un blanqueamiento dental. El precio de las carillas Lumineers en Madrid ronda, aproximadamente, los 700 euros.
El precio de este tratamiento es orientativo, basado en el promedio publicado por los especialistas en Multiestetica.com.
A continuación, se presenta una tabla con los precios aproximados de los diferentes tipos de carillas dentales:
| Tipo de Carilla Dental | Precio Aproximado |
|---|---|
| Composite | Variable (Más asequible) |
| Porcelana | Más elevado que el composite |
| Lumineers | Aproximadamente 700 euros |
Ventajas de las carillas dentales
- Mejora estética: Las carillas dentales son altamente efectivas para corregir problemas estéticos, como manchas, decoloración, dientes desalineados, formas irregulares, espacios entre los dientes y otras imperfecciones.
- Conservación del tejido dental: Para colocar las carillas, se requiere una mínima eliminación del esmalte dental en comparación con otros tratamientos como las coronas dentales.
- Resultados rápidos: El proceso de colocación de las carillas dentales suele ser rápido y los resultados son visibles de inmediato.
- Apariencia natural: Las carillas dentales se fabrican con materiales que imitan la apariencia natural de los dientes, como porcelana o composite.
- Versatilidad: Las carillas dentales son versátiles y se pueden adaptar a las necesidades individuales de cada paciente.
Cuidados y mantenimiento de las carillas dentales
Es habitual que con el paso de los años nuestros dientes tienden a adquirir un tono amarillo fruto de nuestros hábitos de salud diarios. Está demostrado que actividades como fumar o beber alcohol pueden favorecer que nuestros dientes asuman un tono aún más amarillo.
A diferencia de las carillas de composite que requieren acudir al dentista al menos una vez al año para comprobar su estado y realizar el mantenimiento que precisen, las carillas de porcelanana no precisan de estas visitas de mantenimiento, aunque son aconsejables para realizar limpiezas profesionales.
Para minimizar el riesgo de descementado se recomienda mantener una buena higiene oral, incluyendo cepillado regular y uso de hilo dental. En pacientes con bruxismo, pueden desprender o fracturar ya que de noche tienden a apretar los dientes.

Importancia de la higiene bucodental para el cuidado de las carillas dentales
Consideraciones adicionales
- Sensibilidad dental: Es posible experimentar sensibilidad después de realizar un tratamiento de carillas dentales, aunque no todas las personas la experimentan y la intensidad de la sensibilidad puede variar de una persona a otra.
- Desprendimiento de carillas: Las carillas dentales generalmente no se descementan con frecuencia si se colocan correctamente y se les brinda un cuidado adecuado.
- Carillas y caries: Es muy difícil que aparezcan caries debajo de las carillas dentales. En cualquier caso es fundamental mantener una buena higiene oral y realizar visitas regulares al dentista.
- Reemplazo de carillas: Si simplemente deseas cambiar el aspecto de tus carillas dentales, puedes considerar reemplazarlas por nuevas carillas. Las carillas dentales de porcelana están diseñadas para resistir las manchas y mantener su apariencia estética a lo largo del tiempo.
Espero que, tras leer este artículo, tengas más claro cuál es el precio de las carillas dentales y cuál se ajusta más a tu bolsillo.
tags: #carillas #dentales #alcobendas