Las carillas dentales son un tratamiento de odontología estética diseñado para mejorar la apariencia de tu sonrisa. Son una fina lámina de porcelana o de composite, diseñadas a medida para el paciente y que se adhieren al diente natural. ¿A qué esperas para volver a sonreír?

Tipos de Carillas Dentales
Existen principalmente dos tipos de carillas dentales, cada una con sus propias características y beneficios:
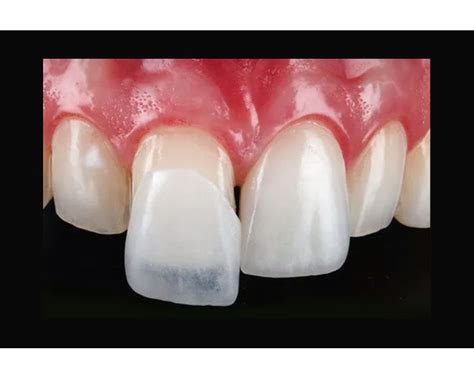
Carillas Dentales de Composite
Las carillas dentales de composite son una opción que minimiza la necesidad de tallar el diente al máximo. Las carillas de composite son creadas directamente por el dentista en el consultorio, moldeando y esculpiendo una resina que se aplica sobre el diente. Es un tratamiento eficaz y rápido, que se puede hacer en una sola visita. Las carillas de composite las fabrica el propio dentista in situ moldeando y esculpiendo una resina que se coloca sobre el diente. Las carillas dentales de composite, están hechas de una resina sintética. El diseño se hace directamente sobre el propio diente, moldeando y esculpiendo la resina.
Carillas Dentales de Porcelana
Las carillas dentales de porcelana destacan por su aspecto natural en la sonrisa. Están hechas a partir de cerámica y se personalizan en la clínica dental antes de ser fabricadas en un laboratorio especializado. Las carillas dentales de porcelana, están hechas de un material cerámico muy fuerte y resistente. Las piezas se diseñan a medida en la consulta y se crean en un laboratorio dental. La porcelana resiste a las manchas del café, té y tabaco. ¿A qué esperas para volver a sonreír?

Preguntas Frecuentes sobre Carillas Dentales
¿Duele la colocación de las carillas dentales?
No, en absoluto. El tratamiento es rápido y sencillo. Para nada. El tratamiento es muy rápido y sencillo.
¿Las carillas dentales previenen las caries?
Las carillas dentales están hechas de un material que no es propenso a las caries, pero es importante recordar que debajo de ellas aún se encuentran los dientes naturales, que sí son susceptibles a las caries.
Prueba Pre - Colocacion carillas lumineers
Consideraciones Adicionales
Es importante destacar que la elección entre carillas de composite y porcelana dependerá de las necesidades y expectativas de cada paciente. Un dentista cualificado en Algeciras podrá asesorarte sobre la mejor opción para tu caso específico.
Además, es fundamental mantener una buena higiene bucal después de la colocación de las carillas para asegurar su durabilidad y prevenir problemas dentales.
