La sonrisa es una de nuestras cartas de presentación más importantes. En la era de las redes sociales y las videollamadas, tener una sonrisa atractiva se ha convertido en una prioridad para muchas personas. Si sientes que tu sonrisa ha perdido armonía o presenta imperfecciones, en Ivory Dental te ofrecemos carillas dentales de alta calidad en Córdoba, una solución estética, rápida y eficaz para transformar tu sonrisa.
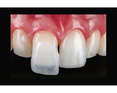
Las carillas dentales son finas láminas que se adhieren a la parte frontal de los dientes para mejorar su apariencia. Las carillas estéticas son una opción versátil que permite modificar la forma y el color de los dientes, logrando una transformación significativa en la sonrisa y generando un alto grado de satisfacción en los pacientes en pocas visitas.

¿Qué son las Carillas Dentales?
Las carillas dentales son finas láminas de material restaurador que se adhieren a la superficie frontal de los dientes para mejorar su apariencia estética. Las carillas dentales son ideales para corregir diversas imperfecciones estéticas, como el color desigual, espacios entre dientes y fisuras. Se fabrican a medida para cada paciente, ya sea en porcelana o composite, y se cementan sobre la superficie dental.
Tipos de Carillas Dentales
Al explorar las opciones disponibles para mejorar la estética dental, es fundamental conocer los distintos tipos de carillas dentales que existen en el mercado:
- Carillas de Composite: Fabricadas directamente en la clínica, las carillas de composite son una opción más rápida. Se aplican directamente sobre el diente y se moldean en su lugar, lo que permite una colocación rápida y mínimamente invasiva. Están hechas con resina acrílica que se adhiere a la superficie del diente. Normalmente se van modelando en boca de forma estratificada, poniendo capas de composite y dándole así el color y la forma que queremos obtener o pueden realizarse de forma inyectada siguiendo un encerado previo. Las carillas de composite son la opción más económica y accesible.
- Carillas de Porcelana: Las carillas de porcelana son producidas en laboratorio dental y ofrecen resultados más duraderos. Representan la opción premium en el mundo de las carillas dentales. Estas láminas ultrafinas, fabricadas en un laboratorio dental a medida de cada paciente, están hechas de cerámica dental de alta calidad. Dentro de este grupo, tenemos las carillas de disilicato de litio (Emax) y las carillas de cerámica feldespática. Las carillas de porcelana representan el estándar de oro en odontología estética.
- Carillas de Zirconio: El zirconio representa la tecnología más avanzada en carillas dentales. Las carillas de zirconio son las más resistentes a fracturas, seguidas por las de porcelana.

¿Conoces los TIPOS de CARILLAS DENTALES? ✨ El mejor tratamiento ESTÉTICO para tu sonrisa👄
¿Carillas de Porcelana o Composite? Comparativa
La elección entre carillas de porcelana y composite dependerá de tus necesidades y presupuesto. Aquí te mostramos una tabla comparativa:
| Característica | Carillas de Porcelana | Carillas de Composite |
|---|---|---|
| Durabilidad | Hasta 15 años | 5 a 7 años |
| Estética | Alta | Buena |
| Resistencia a manchas | Muy alta | Moderada |
| Precio | Más alto | Más económico |
| Número de Visitas | 2 o 3 sesiones | 1 sesión |
Proceso de Colocación de Carillas Dentales
El procedimiento para la colocación de carillas dentales implica varias etapas que aseguran resultados estéticos y funcionales óptimos.
- Primera sesión: Se hará un diagnóstico previo que incluirá radiografías, fotografías y un escaneado intraoral, entre otras pruebas. El primer paso es realizar una consulta en la que el dentista evalúa la salud bucal del paciente.
- Segunda sesión: Prueba estética (mock-up) para que el profesional y el paciente puedan ver y evaluar como seria el resultado final. Tras la evaluación, se toman impresiones dentales para crear carillas personalizadas. Este proceso puede incluir el uso de escáneres intraorales que garantizan mediciones precisas. Antes de la colocación definitiva, se pueden usar carillas provisionales.
- Una vez aprobadas las carillas provisionales, se procede a la colocación de las definitivas.
- Después de colocar las carillas, se realiza una revisión final. El tratamiento completo suele desarrollarse en 3 a 5 citas, dependiendo del caso. Incluye diagnóstico digital, simulación 3D (Mock-Up), elección del tratamiento estético y colocación final.

Cuidados y Mantenimiento de las Carillas Dentales
Para mantener la estética y funcionalidad de las carillas dentales, es fundamental seguir ciertos cuidados.
- Higiene Bucal: La higiene bucal es esencial para la durabilidad de las carillas. Optar por un cepillo de cerdas suaves es recomendable para no dañar las carillas. Este tipo de cepillo elimina placa sin perjudicar el acabado de las láminas. Usar hilo dental diariamente es crucial para limpiar entre los dientes y evitar la acumulación de restos de alimentos.
- Alimentación: La elección de alimentos juega un papel importante en el cuidado de las carillas dentales.
- Visitas al Dentista: Las visitas periódicas al dentista son necesarias para revisar el estado de las carillas. Una vez terminadas las carillas, lo ideal es realizar las revisiones de formas semestrales o anuales, según establezca el profesional para un correcto mantenimiento de higiene, pulido de carillas (en el caso de las realizadas en composite para mantener brillo y evitar tinciones).
Preguntas Frecuentes sobre Carillas Dentales
Aquí respondemos algunas de las preguntas más comunes sobre las carillas dentales:
- ¿Cuánto duran las carillas dentales? Existe una estimación aproximada que nos indica que las carillas de composite duran entre 5 y 10 años, y las carillas de cerámica entre 10 y 15 años. Las carillas de porcelana pueden durar más de 10 años; las de composite, entre 5 y 7.
- ¿Las carillas pueden ser necesarias por salud o es algo únicamente estético? Es importante tener en cuenta que las carillas no están diseñadas para corregir problemas de salud dental, como caries o maloclusiones. Su principal función es estética y se utilizan principalmente para mejorar la apariencia de los dientes frontales.
- ¿Las carillas necesitan cuidados de higiene especiales? No, deben tratarse como cualquier otro diente. Se debe realizar un correcto cepillado, usar la seda dental, colutorios o los accesorios que indique el profesional que las va a colocar.
- ¿El proceso de colocación de carillas es doloroso? No, el procedimiento de colocación de carillas no es doloroso. Se realiza bajo anestesia local, por lo que no sentirás molestias durante el tallado ni la cementación. Después del tratamiento, puede haber sensibilidad dental leve durante los primeros días, especialmente a temperaturas frías o calientes, pero esta sensibilidad suele desaparecer en una o dos semanas.
- ¿Las carillas se manchan? Las carillas de porcelana y zirconio son altamente resistentes a las manchas gracias a su superficie lisa y no porosa. No se tiñen con café, té, vino tinto ni tabaco como los dientes naturales.
- ¿Qué pasa con los dientes debajo de las carillas? Los dientes que se encuentran debajo de las carillas dentales no se ven afectados de manera significativa durante el proceso de colocación de las carillas. Antes de colocar las carillas, se realiza un ligero desgaste en la superficie frontal de los dientes para crear espacio y permitir que las carillas se adhieran correctamente.
- ¿Pueden ponerse las carillas dentales a cualquier edad? Sí, el poder poner o no carillas va a depender de las condiciones del paciente, no de la edad. Es decir, va a depender de la calidad de esmalte que tengan las piezas donde vamos a colocarlas, de la salud de las encías, de la higiene y cuidados del paciente, de la mordida, etc.
- ¿Se pueden poner brackets con carillas dentales? En términos generales, sí es posible llevar a cabo un tratamiento de ortodoncia llevando carillas dentales.
Precios de las Carillas Dentales en Córdoba
El precio de este tratamiento dependerá del tipo de carillas que se vayan a colocar. El precio varía según el material y el número de carillas. En nuestra clínica ofrecemos presupuestos personalizados y financiación.
¿Por qué elegir a la Dra. Lucía Ruiz Tamayo en el Hospital Cruz Roja de Córdoba?
En el Hospital Cruz Roja de Córdoba, la Dra. Lucía Ruiz Tamayo y nuestro equipo de odontólogos están comprometidos a ofrecerte el plan de tratamiento dental más adecuado para ti. Con un equipo de profesionales altamente capacitados, utilizamos las últimas tecnologías y materiales de alta calidad para garantizar resultados naturales y duraderos.
En nuestra clínica dental en Córdoba, las carillas dentales son uno de los tratamientos estéticos más solicitados por nuestros pacientes.