Cada vez son más las personas que apuestan por la estética dental como forma de conseguir una sonrisa natural y proporcionada. En el Instituto Dental Advance somos expertos en tratamientos estéticos con carillas dentales y diseño de sonrisas. Utilizamos las técnicas más modernas en tecnología digital y la metodología de Diseño Digital de Sonrisa DSD para conseguir resultados predecibles.
Las carillas dentales son uno de los tratamientos dentales estéticos más demandados actualmente, tanto por su sencillez como por su precio. Los tratamientos con carillas dentales se han popularizado mucho en los últimos tiempos debido a los grandes resultados que ofrecen. ¿Quieres lucir una sonrisa bonita y sin complejos? En clínica Llobell Cortell estamos a tu disposición para asesorarte, ayudarte, y conseguir el tratamiento que mejor se adapte a tus necesidades. ¿Nuestro objetivo? ¿Quieres volver a sonreír sin complejos? Ven y conócenos. Pide cita ya.
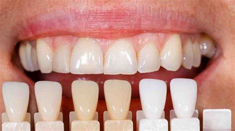
Las carillas dentales son finas láminas de cerámica hechas a medida con tecnología digital y un toque artístico y manual. Están diseñadas para rehabilitar la parte externa y visible de los dientes y mejorar la estética de la sonrisa pudiendo obtener como resultado dientes brillantes, blancos y muy bien alineados. Se utilizan cuando los dientes originales presentan un color oscuro, formas irregulares y poco armónicos.

¿Qué son las Carillas Dentales?
Las carillas dentales son un tipo de prótesis dental que consiste en una fina lámina adherida a la superficie del diente. Las carillas dentales son unas láminas muy finas -generalmente inferiores a un milímetro de espesor- que se fijan sobre la parte visible de uno o varios dientes. Su objetivo es corregir problemas estéticos (fracturas leves, cambios de color…) o patológicos (originados por caries). Su principal objetivo es mejorar el aspecto de los dientes, ya sea para modificar su tamaño, color, forma o posición. Por tanto, tienen una finalidad puramente estética.
Como ya hemos comentado al inicio de este artículo, las carillas son unas finas láminas que se adhieren al diente por la parte frontal. La colocación de las carillas dentales es uno de los tratamientos de estética dental más demandados en los últimos años. Con las carillas dentales se puede corregir, desde imperfecciones en el esmalte y color del diente, a problemas como espacios entre los dientes.

Tipos de Carillas Dentales
Son muchos los tipos de materiales que se utilizan en la fabricación y diseño de las mismas. Sin embargo, pueden estar hechas de distintos materiales como la porcelana o el composite. A la hora de elegir un tipo de carillas u otro es necesario acudir a la clínica dental y que sea el odontólogo quien aconseje el tipo de carilla más conveniente, en función de las necesidades de cada paciente. Existen al menos tres tipos de carillas dentales en función del material y de la técnica que se emplea al ponerlas.
El procedimiento de colocación depende del tipo de carillas que vaya a llevar el paciente (porcelana, composite, disilicato de litio…).
Carillas de Composite
El composite es una resina con óptimas propiedades estéticas. Las carillas de composite se recomiendan en casos en los que el objetivo es realizar pequeñas modificaciones en la forma y el tamaño de los dientes. Asimismo, también se utilizan para subsanar fracturas dentales en pacientes jóvenes.
Carillas de composite: el precio carilla dental de composite es barato en comparación con otro tipo de carillas dentales. Su proceso de colocación es rápido y sencillo. Son carillas de mayor grosor que las de porcelana y por eso es necesario realizar un tallado mayor en el diente original. Las carillas de composite duran alrededor de 5 años. Sobre todo, en el caso de las carillas de composite. Estas tienden a mancharse fácilmente cuando se consumen alimentos y bebidas oscuros con frecuencia.
Carillas de Porcelana
Entre las principales ventajas de este material destaca el efecto de naturalidad que se consigue. La porcelana es el material estético por excelencia en odontología, ya que recrea las mismas propiedades del diente natural. Las carillas de porcelana se recomiendan cuando el paciente necesita un cambio global de la sonrisa, ya que el resultado estético va a ser muy satisfactorio.
Carillas de porcelana: el precio carilla dental de porcelana es superior al de las de composite debido a la calidad del material, los resultados y durabilidad que ofrecen. Las carillas de porcelana, que son más resistentes, duran entre 10 y 15 años. Carillas de porcelana: ofrecen una calidad, estética y durabilidad superior (alrededor de 15 años). Por ello, su precio también es más alto.
Carillas Lumineers
Carillas lumineers: se trata de carillas dentales finas que ofrecen grandes resultados estéticos y duraderos.
Carillas Dentales | ¿Qué son y Cuánto cuestan? | Precios actuales
Precio de las Carillas Dentales en Ecuador
Como has podido comprobar a lo largo de este artículo, el precio de las carillas dentales depende de varios factores. Aunque te acabamos de ofrecer el precio medio para este año 2024, lo cierto es que el coste del tratamiento con carillas depende de varios factores. Para determinar ambas cuestiones, es imprescindible ser valorado por un dentista. ¿Cómo se determina el precio carilla dental? En nuestra clínica dental Valencia, el paciente acude a una primera consulta gratuita con nuestro especialista en la que se le explica todo el proceso de instalación de las carillas dentales, ventajas y el precio de la carilla dental. Como hemos dicho anteriormente, el precio carilla dental dependerá del número de piezas a colocar y la tipología de carillas dentales.
El precio de las carillas varía según el material elegido.
Varios factores influyen en el precio final:
- Tipo de carilla (material): no es lo mismo colocar una carilla de cerámica estratificada que una carilla CAD-CAM o una carilla Lumineers.
- Número de dientes: las carillas dentales no se colocan en todas las piezas dentales, sino que se utilizan solamente en los dientes que son visibles al sonreír.

¿Cómo se colocan las Carillas Dentales?
La colocación de carillas dentales exige llevar a cabo una serie de pasos muy minuciosos. Se lleva a cabo la preparación del diente para poder colocar la carilla. Por último, las carillas dentales se cementan a los dientes del paciente. Además, el tratamiento se puede probar, es decir, el paciente puede visualizar en su boca el resultado antes de que se coloquen de forma definitiva.

Cuidado y Mantenimiento de las Carillas Dentales
De la misma forma que es importante cuidar la salud del esmalte dental, las finas láminas de porcelana o composite que forman las carillas precisan de un cuidado extra. ¿Sabes cómo cuidar las carillas dentales para que se sigan viendo naturales como el primer día? Aunque están compuestas por materiales altamente resistentes, no debemos olvidar que las carillas no son tan fuertes como el propio esmalte dental. La duración de las carillas dentales está determinada por diversos factores, como los cuidados que siga el paciente en cuanto a higiene oral, alimentación, tabaco, hábitos, revisiones con el dentista, etc. Adicionalmente, la durabilidad del tratamiento también depende del material con el que están fabricadas las carillas y de la técnica de colocación (directa o indirecta). Por ello, no resulta posible determinar de antemano cuánto tiempo duran las carillas dentales. Lo que sí podemos decirte es que, con unos cuidados y unos mantenimientos adecuados, son un tratamiento pensado para durar a largo plazo.
- Higiene bucodental: Imprescindible en todos los casos. El cepillado de dientes es primordial para mantener la integridad de las carillas dentales. No debemos olvidarnos de la importancia de la limpieza interdental, ya que entre las piezas dentales se acumulan gran parte de las bacterias bucales. Para terminar la higiene bucodental y proteger la integridad de las carillas, los colutorios son el mejor complemento.
- Evitar malos hábitos: Un mal hábito que es totalmente incompatible con el uso de carillas dentales es mordisquear objetos duros de forma recurrente como un bolígrafo. Otro hábito común y perjudicial para los dientes es usarlos para abrir objetos, cortar determinados materiales o sujetar algunas cosas duras y pesadas.
- Cuidado con el bruxismo: Aquellas personas que padecen de bruxismo, apretando la mandíbula o rechinando los dientes de manera involuntaria, tienen mayor riesgo de rotura en sus carillas.
- Revisiones periódicas: Una visita anual al dentista para la correspondiente revisión y limpieza bucodental profesional es otra de las medidas para el cuidado de las carillas dentales. Adicionalmente, las carillas necesitan su propio mantenimiento según el tipo de material que las compone. Estas revisiones deben hacerse cada 5 a 10 años en función del material por el que esté compuesto la carilla. No dudes en visitar a tu odontólogo lo antes posible si detectas cualquier cambio en la forma o composición de tus carillas.
- Alimentación: Las carillas se pueden romper debido al consumo de alimentos muy duros, por lo que se recomienda ser muy cuidadoso a la hora de consumirlos y preferiblemente cortarlos o triturarlos usando los dientes posteriores.
- Evitar el tabaco: Otra de las sustancias que más pueden oscurecer y alterar el aspecto de las carillas dentales, así como de los propios dientes naturales, es la nicotina del tabaco.
Cuida tus dientes y tus carillas dentales con mucho mimo a través de estas recomendaciones, y durarán intactos por más tiempo. Utiliza los mejores productos para obtener grandes resultados.