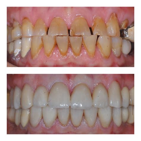
La estética dental está en auge, y las carillas dentales se han convertido en un procedimiento popular. ¿Por qué cada vez más personas lucen sonrisas perfectas de la noche a la mañana? No solo dientes blancos, sino también alineados y con proporciones impecables, impactando positivamente su apariencia general.
¿Conoces los TIPOS de CARILLAS DENTALES? ✨ El mejor tratamiento ESTÉTICO para tu sonrisa👄

Origen de las Carillas Dentales
Según Dental & Design, clínica experta en carillas dentales con sedes en Marbella, Barcelona y Madrid, esta tendencia proviene de Colombia y Brasil, países líderes en estética dental debido a factores culturales, profesionales y tecnológicos.
- En estos países, la sonrisa es un símbolo de bienestar y éxito personal, impulsando la demanda de tratamientos dentales de alta calidad.
- Brasil y Colombia tienen una sólida trayectoria en medicina y cirugía estética, influyendo en el desarrollo de la odontología estética y permitiendo la adopción de técnicas avanzadas y la formación de profesionales capacitados.
- En estos países se han perfeccionado métodos como la estratificación manual del composite, una técnica artesanal que permite esculpir carillas con gran naturalidad sin necesidad de tallar el diente.
Dental & Design ha importado a España la técnica colombiana de diseño de sonrisa, combinando la excelencia de la estética dental latinoamericana con la más alta calidad en materiales y tecnología.
La Importancia de la Personalización
Josep Ferret y Alejandro Bedoya, CEOs y fundadores de Dental & Design, señalan que “la principal tendencia en estética dental a nivel global es la personalización de tratamientos mediante tecnología avanzada. Los pacientes buscan soluciones estéticas que no solo mejoren la apariencia, sino que también se integren armoniosamente con sus rasgos faciales y personalidad. Herramientas como el Diseño de Sonrisa Digital (DSD) permiten planificar y visualizar los resultados de manera precisa antes de iniciar cualquier procedimiento”.

Cómo se Aplican las Carillas sin Estropear los Dientes
Ferret y Bedoya confirman que “las carillas pueden colocarse sin dañar los dientes siempre que se utilice una técnica mínimamente invasiva y materiales de alta calidad. En Dental & Design nos especializamos en preservar la estructura natural del diente, garantizando una sonrisa estética sin comprometer la salud bucal”. Siguen estos principios:
- Diagnóstico preciso y planificación digital: Estudian la anatomía dental del paciente con tecnología Smile Design para prever el resultado final sin alterar la estructura dental.
- Técnica de mínima o nula reducción: En muchos casos, especialmente con carillas de composite, no es necesario desgastar el diente. En el caso de la cerámica, se realiza un desgaste mínimo de la parte frontal, cuidando al máximo la estructura de cada diente.
- Uso de adhesivos de última generación: Emplean sistemas de adhesión altamente biocompatibles, que garantizan una fijación fuerte y duradera sin comprometer la estructura dental. Estos adhesivos también protegen el esmalte y evitan filtraciones.
- Selección del material adecuado: Recomiendan carillas de composite o cerámica (porcelana) dependiendo del caso, ofreciendo resultados estéticos óptimos sin alterar la funcionalidad del diente. Las carillas de cerámica de última generación, como las de disilicato de litio, pueden ser tan delgadas como una lente de contacto y requieren una preparación mínima.
- Mantenimiento adecuado: Una higiene oral correcta, visitas regulares al odontólogo y el uso de férulas de protección nocturna (si el paciente presenta bruxismo) garantizan la durabilidad de las carillas sin comprometer la estructura dental.
Carillas Dentales de Composite o de Cerámica: ¿Cuál es Mejor?
Estos expertos aseguran que “su diferencia principal radica en el tipo de material, pero al final ambas opciones son excelentes, y la elección depende de las necesidades y preferencias del paciente”.
Ventajas y Desventajas de las Carillas de Composite y Cerámica
Para ver claramente las ventajas y desventajas, desde Dental & Design ofrecen este cuadro esclarecedor:

La Cuestión del Tallado de los Dientes
Ferret y Bedoya advierten de que “las carillas de cerámica requieren una preparación del diente que implica la eliminación de una pequeña cantidad de esmalte, lo que las convierte en un tratamiento irreversible. Sin embargo, las carillas de composite generalmente, requieren una mínima o nula preparación del diente, preservando la estructura dental original y permitiendo una reversibilidad del tratamiento si se desea”. En cualquier caso, su técnica está muy enfocada en preservar el diente. “Sabemos lo importantes que son los dientes naturales, y resperamos su forma anatómica contando con ortodoncintas implantólogos y otros expertos en estética dental”, afirman.
No obstante, la odontóloga Irene Esteve, fundadora de la clínica Irene Esteve Dental Aesthetics, afirma que “hay muchas clínicas dentales que dicen ‘vamos a pulir un poquito’, pero ahí ya hay una eliminación de tejido que no nos interesa. De hecho, el proceso de tallado es irreversible y puede darnos sensibilidad, afectar algunos nervios o incluso provocar pérdidas de piezas. Hay gente que hace tallados tan agresivos que acaban por dañar el soporte del hueso y la encía, sobre todo por el mal ajuste de este tipo de prótesis, que al ser más gruesas se ajustan muy mal”.
De ahí que ella haya desarrollado un proceso de carillas de porcelana en el que no existe el tallado del diente. “Las carillas que yo empleo son de fabricación propia. Es un producto que desarrollamos después de años de investigación. Son muy resistentes y muy muy finas. Esto nos aporta una translucidez que da una apariencia muy natural y nos permite no tocar en absoluto el diente. Podría quitarlas mañana y no habría ninguna diferencia entre el diente que tenías antes de colocarlas”, comenta esta experta en estética dentofacial.
Duración del Proceso: Desde una Semana
Normalmente, se toman medidas, se registran fotografías y se entrevista al paciente para elaborar un diseño digital. Después se eligen los colores y se encargan las carillas. En Dental & Design trabajan con su propio laboratorio, lo que les permite instalar las carillas dentales solo una semana después de que el paciente les visite por primera vez. En cambio, en Irene Esteve Dental Aesthetics, lo habitual es tardar dos semanas, por ejemplo.
Los Precios de las Carillas Dentales
El composite tiene un coste inicial más bajo, lo que las hace una opción atractiva para muchos pacientes, mientras que las carillas en cerámica suelen ser más costosas debido al material y al proceso de fabricación en laboratorio. Si bien el composite resulta más económico inicialmente, a largo plazo puede suponer mayores gastos que la porcelana debido a sus necesidades de mantenimiento periódico y retoques ocasionales. La cerámica, en cambio, requiere una inversión inicial más alta pero ofrece mayor durabilidad y menos mantenimiento, lo que puede resultar más económico a largo plazo.
¿Quieres saber el precio de las carillas estéticas? El precio de las carillas dentales en nuestra clínica de Badalona varía según el material con que las elaboremos. El coste de este tratamiento oscila entre los 290 € y los 430€ por carilla. En este artículo de blog, te describimos con qué materiales podemos fabricar las carillas, sus peculiaridades y qué ventajas tiene cada tipo.
Las carillas de porcelana suponen una mejora cualitativa y estética en comparación con las de composite. Las carillas de porcelana son translúcidas, así que dejan pasar la luz, dejando ver el diente real sobre el que van adheridas. En determinados casos, incluso es posible colocar este tipo de carillas sin tallado dental.
En caso de querer carillas dentales de porcelana de canino a canino superior (incluido el mock up), el precio es desde 2.930€.
El precio de las carillas dentales estéticas puede parecer dispar si comparas entre diferentes opciones. Como hemos comentado anteriormente, podemos elegir entre el composite y la porcelana para confeccionar las carillas. Sin embargo, la calidad y beneficios del segundo material supera con creces al composite. La porcelana no se tiñe, no importa que fumes o que tomes alimentos con alta coloración: siempre mantendrá su estética. Además, se trata de un material muy resistente y duro, por lo que hay menor riesgo de rotura.