Una sonrisa brillante y saludable no solo ilumina tu rostro, sino que también puede aumentar tu confianza y dejar una impresión duradera. Las carillas dentales ofrecen una solución versátil y efectiva para mejorar la estética dental de manera rápida y segura. Desde corregir el color y la forma de los dientes hasta cerrar espacios no deseados entre ellos, las carillas dentales pueden transformar tu sonrisa.
Pero, ¿qué son exactamente las carillas dentales y cómo pueden transformar tu sonrisa? Prepárate para descubrir cómo puedes lograr una sonrisa deslumbrante y confiada con la ayuda de las innovadoras técnicas de odontología estética y las maravillas de las carillas dentales. Acompáñanos en este viaje hacia una sonrisa radiante y una mayor confianza en ti mismo.
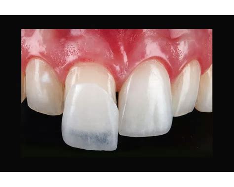
¿Qué tipo de carillas dentales es mejor para ti: porcelana o composite? - Clínica Ruiz de Gopegui
¿Qué son las Carillas Dentales?
Las carillas dentales son láminas delgadas de porcelana o resina que se colocan en la parte frontal de los dientes para mejorar su apariencia estética. Al cubrir las imperfecciones, las carillas dentales pueden proporcionar una sonrisa más blanca, uniforme y atractiva.

Tipos de Carillas Dentales
Cuando se trata de transformar una sonrisa, es fundamental identificar qué clase de carillas dentales están disponibles. Las dos opciones principales son:
- Carillas de Porcelana: Son una opción popular, ya que son duraderas y proporcionan un aspecto natural. Ideales para quienes desean un acabado más natural y de larga duración.
- Carillas de Composite: Son más económicas y se colocan directamente sobre los dientes. Recomendadas para quienes buscan una alternativa rápida, económica y con buenos resultados visuales.
La elección del tipo de carilla dependerá de las necesidades y preferencias individuales de cada persona.
Materiales de las Carillas Dentales
El material utilizado es un factor crucial a considerar. Las carillas pueden realizarse en composite o disilicato de litio. El primero es una resina más económica y tiene mayor probabilidad de fracturarse que la disilicato de litio, pero aun así puede durar entre 5 y 7 años.
Carillas de Composite
Este tipo de carillas se coloca directamente sobre el diente. Es decir, cuando acuda a la consulta del odontólogo extenderá de manera directa la resina sintética y comenzará a darle la forma adecuada, tallará sobre el diente a tratar para que parezca natural.
Las carillas de composite utilizan un material parecido al que se usa en la colocación de empastes. Resultan ser las carillas dentales más económicas y sencillas de colocar puesto que se pueden realizar en solo una cita. Por lo tanto, no supone una gran inversión en tiempo y dinero, aunque si suelen requerir más revisiones, para pulir, que las que necesitan las de cerámica.
Sin embargo, al ser la resina un material poroso, pueden mancharse y son susceptibles de sufrir astillados o fracturas. Con el paso del tiempo, el color y el brillo inicial pueden perderse.
Carillas de Porcelana
Para colocar unas carillas de porcelana es necesario realizar varias visitas al odontólogo. En la primera visita, el médico valorará y examinará la zona a tratar, expondrá las opciones de tratamiento y tomará el molde de los dientes, así como fotos para determinar el color y que la sonrisa parezca natural. Toda la información se envía al laboratorio para preparar las carillas.
Son realizadas con un material cerámico llamado disilicato de litio fuerte y resistente. Este tipo de restauración está indicado para aquellas personas que tienen afecciones más graves como fracturas de los dientes, una zona amplia a restaurar o separación entre dientes. El procedimiento requiere dos visitas al dentista: la primera para hacer un molde de los dientes y la siguiente para su colocación con un cemento de resina.
En la segunda visita, el médico mostrará las carillas al paciente y las colocará. Además, resisten a las manchas de café, té o el tabaco mejor que en el caso de las carillas de composite.
Las carillas de porcelana, al utilizar este material, cuentan con la ventaja de que resisten muy bien a las manchas. Además, la porcelana tiene un aspecto muy similar al de los dientes naturales cuando estos están sanos y blancos. Además, las carillas de porcelana pueden corregir problemas como el desgaste de los dientes, así como cubrir piezas astilladas o rotas.
¿Quiénes son Candidatos Ideales para las Carillas Dentales?
Las carillas dentales son una opción popular para mejorar la estética dental, pero no todos pueden optar por este tratamiento. Idealmente, los candidatos adecuados para las carillas son aquellos que tienen dientes descoloridos, desalineados, astillados o con espacios entre ellos.
Habitualmente, los pacientes que pueden someterse a un tratamiento de carillas son aquellos con una buena salud bucal en general. Es importante tener unos dientes y encías saludables. También es importante tener suficiente esmalte dental.
Sin embargo, hay que tener en cuenta que no pueden solucionar todos los problemas. Según el objetivo, puede que sea necesario recurrir a tratamientos como el blanqueamiento o la ortodoncia.
- Sonrisa más blanca.
- Recupera la apariencia natural de tus dientes.
- Recupera la forma de tus dientes.
- Tratamiento mínimamente invasivo.
- Un único tratamiento para varios problemas.
- Las carillas permiten solucionar varios problemas coexistentes.
Proceso de Colocación de Carillas Dentales
La colocación de carillas dentales exige llevar a cabo una serie de pasos muy minuciosos:
- Durante este proceso, el odontólogo examinará los dientes del paciente para asegurarse de que es apto para recibir el tratamiento y si es más adecuado realizarlo con carillas de porcelana o composite.
- En segundo lugar, se preparará el diente a tratar. Esta preparación consiste en eliminar de la superficie del diente parte del esmalte.
- En tercer lugar, se tomarán las impresiones.
- El cuarto paso consiste en colocar las impresiones de las carillas ya terminadas. Para poder hacerlo, hay que preparar el diente, en un proceso que consiste en limpiar, pulir y grabar la pieza dental.
- El quinto y último paso será ajustar esta colocación. Para ello, se eliminará cualquier exceso del cemento especial utilizado.
Por último, las carillas dentales se cementan a los dientes del paciente.
Precios de las Carillas Dentales en Girona
En cuanto al costo, el precio puede variar dependiendo del material utilizado y de la cantidad de dientes a tratar. Aunque te acabamos de ofrecer el precio medio para este año, lo cierto es que el coste del tratamiento con carillas depende de varios factores:
- Tipo de carilla (material): No es lo mismo colocar una carilla de cerámica estratificada que una carilla CAD-CAM o una carilla Lumineers.
- Número de dientes: Las carillas dentales no se colocan en todas las piezas dentales, sino que se utilizan solamente en los dientes que son visibles al sonreír.
En general, el costo promedio oscila entre 200€ y 1200€ por carilla. Es importante tener en cuenta que los importes indicados son estimativos y se basan en un tratamiento completo que incluye estudio, tratamiento y revisiones. El tratamiento personalizado será estudiado bajo prescripción médica.
Los precios pueden incrementarse en el caso de que existan costes adicionales derivados de las peticiones que realice cada cliente.
Factores que influyen en el precio:
- Carillas de porcelana: ofrecen una calidad, estética y durabilidad superior (alrededor de 15 años). Por ello, su precio también es más alto.
- Carillas de composite: son más económicas que las de porcelana. Esto se debe a que, por lo general, duran menos tiempo (alrededor de cinco años).
Mantenimiento y Durabilidad de las Carillas Dentales
El mantenimiento y cuidado de las carillas dentales es fundamental para garantizar su durabilidad y mantener una sonrisa estética.
La duración de las carillas dentales varía dependiendo del tipo de material utilizado, el cuidado y mantenimiento adecuado, así como los hábitos de cada individuo. En general, se estima que las carillas dentales pueden durar entre 7 y 15 años. Es recomendable visitar regularmente al dentista para evaluar el estado de las carillas y determinar si es necesario reemplazarlas.
Algunos signos que pueden indicar la necesidad de reemplazo incluyen desgaste excesivo, decoloración o cambios en la forma de las carillas. Además, si se presentan problemas como caries o fracturas en los dientes naturales subyacentes, también puede ser necesario reemplazar las carillas.
Al igual que en la mayoría de tratamientos dentales, es imprescindible que el paciente mantenga una buena higiene dental.
Consideraciones Adicionales
Aunque en muchas ocasiones el hecho de padecer bruxismo se presente como una contraindicación, lo cierto es que en Ferrus&Bratos tratamos a pacientes que tienen este hábito y llevan carillas estéticas. No contar con una adecuada higiene bucodental no solamente es perjudicial para la salud dental, sino también para usar carillas dentales. La acumulación de sarro conlleva la aparición de inflamaciones en las encías o filtraciones.
Si aun crees que las carillas están contraindicadas o pueden resultar un problema para ti, lo más adecuado es que acudas a un dentista especializado en Estética Dental avanzada. De esta manera, podrás saber con certeza cuál es el tratamiento que más se adapta a tus necesidades.
Como has podido comprobar a lo largo de este artículo, el precio de las carillas dentales depende de varios factores. Para determinar ambas cuestiones, es imprescindible ser valorado por un dentista.
Esperamos que esta guía te haya servido para resolver tus dudas acerca de las carillas o saber si es el tratamiento que quieres llevar a cabo.