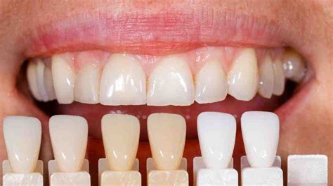
Las carillas dentales, también conocidas como facetas dentales o carillas estéticas, son pequeñas láminas que se adhieren a la parte frontal de los dientes mediante un cemento o resina especial. Funcionan como una "pegatina frontal" que mejora la apariencia de la dentadura, revistiendo los dientes originales y haciendo la sonrisa más atractiva.

A diferencia de las coronas dentales, que son fundas que sustituyen completamente un diente, las carillas son menos invasivas.
En Riojadental, te acompañamos a conseguir la sonrisa que siempre has deseado. La Dra. Pilar y su equipo ofrecen una atención personalizada y profesional.
Tipos de Carillas Dentales
Existen principalmente dos tipos de carillas:
Carillas de Composite
Las carillas de composite son finos frentes estéticos que se modelan directamente sobre la superficie de los dientes, modificando su color, forma y tamaño. Se pueden realizar individualmente o cubriendo seis u ocho dientes antero-superiores o antero-inferiores para transformar la sonrisa del paciente.
Ventajas de las carillas de composite:
- No es necesario tallar los dientes, siendo un procedimiento conservador.
- Se puede revertir el tratamiento si se desea volver a la situación inicial.
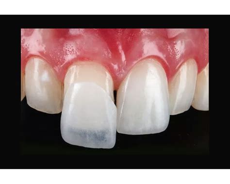
Carillas de Porcelana
Las carillas de porcelana ofrecen resultados estéticos superiores, aunque requieren una preparación dental mínima. Se talla aproximadamente 0,5 mm del diente, se toman medidas y, en una segunda sesión, se colocan las carillas en boca.

Blanqueamiento Dental
Además de las carillas, el blanqueamiento dental es un procedimiento clínico que busca aclarar el color de los dientes mediante la aplicación de un agente químico.
Hoy en día, nuestra dieta contiene muchos colorantes que, junto con el tabaco, el café o el té, son las causas más frecuentes del oscurecimiento de los dientes. El blanqueamiento dental es una solución eficaz para este problema estético, mejorando enormemente la sonrisa del paciente.
Es necesario un buen diagnóstico profesional y asesoramiento para determinar el tratamiento ideal para cada paciente. El blanqueamiento se puede realizar en la clínica por un profesional.
Coronas Dentales: Alternativa a las Carillas
Las coronas dentales son un tratamiento dental con utilidades estéticas y funcionales. Consisten en una funda con forma de diente que se coloca sobre un diente del paciente para sustituirlo. Una corona dental es prácticamente un diente nuevo que se encaja sobre el diente natural. Los puentes se realizan en aquellos tramos en los que haya que cubrir más de una pieza o reponer alguna pérdida.
Tipos de Coronas Dentales
- Metal-Porcelana: Fabricadas fundiendo porcelana sobre metal. Ofrecen durabilidad y estética, aunque puede aparecer una línea de color metal entre el diente y la encía.
- Porcelana: Más naturales que las anteriores, pero menos resistentes.
- Zirconio: Ofrecen los mejores resultados en relación estética-resistencia. El diseño de coronas o fundas totalmente cerámicas que no llevan metal es uno de los avances más importantes.
- Resina: Son una opción temporal hasta que el paciente finalice su tratamiento con una corona definitiva.
5 grandes diferencias entre Carillas de Porcelana y Composite 👩🏼⚕️🦷
Ventajas de las Coronas de Zirconio
Las coronas diseñadas por ordenador y de producción robotizada ofrecen varias ventajas sobre las coronas de metal-cerámica:
- Mejor estética
- Cerámica de calidad insuperable
- Excelente adaptación al diente
Precios y Financiación en Logroño
En Riojadental, ofrecen opciones de financiación para facilitar el acceso a estos tratamientos. Aquí tienes algunos ejemplos:
| Tratamiento | Importe Mínimo | Ejemplo de Financiación |
|---|---|---|
| Carilla sobre diente de disilicato de litio | 90€ | Ejemplo de financiación para un importe de 237,00 € en 6 meses. Comisión de formalización del 2,00%: 4,74€ a pagar en la primera cuota. Importe financiado: 237,00€. Primera cuota de 45,10€. 04 cuotas de 40,36€ y una última cuota de 40,38€. TIN 7,45% TAE 15,40%. Total intereses: 5,18€. Coste total del crédito: 9,92€. Importe total adeudado y precio total a plazos: 246,92€. Precio de adquisición al contado: 237,00€. Sistema de amortización francés. Financiación ofrecida por Banco Cetelem S.A.U. Revisión y seguimiento. |
| Otro tratamiento | 144€ | Ejemplo de financiación para un importe de 604,00€ en 12 meses. Comisión de formalización del 2,00%: 12,08€ a pagar en la primera cuota. Importe financiado: 604,00€. Primera cuota de 64,47€. 10 cuotas de 52,39€ y una última cuota de 52,35€. TIN 7,45% TAE 11,82%. Total intereses: 24,64€. Coste total del crédito: 36,72€. Importe total adeudado y precio total a plazos: 640,72€. Precio de adquisición al contado: 604,00€. Sistema de amortización francés. Financiación ofrecida por Banco Cetelem S.A.U. |
Para más detalles sobre las opciones de financiación, visita la página de Financiación de Tratamientos de Riojadental.
Opiniones de Pacientes
Los pacientes de Riojadental destacan la profesionalidad y el trato humano del personal:
- "Gracias infinitas a todo el personal de Riojadental por lo profesionales y lo humanas que sois. Me habéis hecho sentir cómoda, tranquila y muy cuidada… salgo de la clínica con una nueva y preciosa sonrisa."
- "Muy buena atención y gran amabilidad. Una nueva experiencia ha sido la presencia del anestesista, cosa que recomiendo vivamente."
- "Me recomendó a Pilar un amigo, muy contento con mi tratamiento y las explicaciones que me dan, desde el presupuesto hasta el tratamiento y los controles! He acertado."
- "Estoy con Pilar desde el 2014 que me puso implantes, a día de hoy me hago mis limpiezas 2 veces al año y estoy fenomenal. Muy contenta. Lo recomiendo a quien me pueda leer."
- "Son amables y me siento muy cómoda en esta clínica."
- "Grande Pilar, me has quitado el miedo a ir al dentista, por tu profesionalidad, por ser tan clara en tus diagnósticos y por ponernos tan fáciles las formas de pago."
- "Tengo que felicitarte, por lo bien que huele la clínica. Se acabó ese olor que yo tenía asociado, a los sacamuelas. Un placer haberte encontrado."
- "El trato y el trabajo que ejercen en esta clínica es excepcional. Me han explicado muy bien la radiografía que me han hecho y posteriormente la limpieza ha sido muy específica en cada zona, siendo muy eficaz. Es mi clínica de siempre y la recomiendo."
- "Atención personalizada, trato estupendo y profesionalidad en todo momento. Tras casi 10 años con ellas, tratamiento completo de ortodoncia y revisión anual no dudo en continuar siempre en Clinarte Dental."