Las carillas dentales son uno de los tratamientos más demandados en estética dental, ya que permiten transformar la sonrisa de forma segura, natural y mínimamente invasiva. En este artículo, te explicamos el proceso completo de colocación de carillas dentales, desde la primera visita hasta la sonrisa final.

Transforma tu sonrisa con carillas dentales.
¿Qué son las Carillas Dentales?
Las carillas dentales son finas láminas que se colocan sobre la cara externa de los dientes, con el objetivo de mejorar su forma, color, tamaño o alineación. Son una excelente solución para corregir imperfecciones como dientes oscuros o manchados, espacios entre dientes, fracturas y malposiciones leves.
Ya sean de porcelana o composite, las carillas dentales van adheridas al diente natural de la persona mediante un cementado. En todos los casos se confeccionan totalmente a medida a partir de un diseño de sonrisa y su forma está, por tanto, personalizada.
Tipos de Carillas Dentales
Existen varios tipos de carillas dentales, cada una con características particulares:
- Carillas de Porcelana: Conocidas por su alta resistencia y capacidad para replicar la apariencia de las piezas dentales naturales. Su translucidez imita la luz reflejada por el esmalte dental, ofreciendo una estética inigualable. Proporcionan una altísima durabilidad y resistencia. Ofrecen unos resultados muy naturales y apenas son perceptibles.
- Carillas de Composite: Fabricadas en una resina sintética denominada composite. Ofrecen una alternativa más asequible y menos invasiva. Aunque pueden ser menos duraderas y propensas a las manchas en comparación con las de porcelana, su proceso de aplicación es más sencillo y rápido.
- Carillas de Cerámica: Brindan una apariencia similar a las de porcelana, con alta resistencia y durabilidad.
- Lumineers: Son una marca específica de carillas ultrafinas, que requieren una preparación mínima o nula del diente, conservando así más del diente natural.
- Carillas de Zirconio: Aunque es un material muy resistente, su grosor es mayor y son más opacas que las anteriores. Por estas características, sólo se utilizan cuando necesitamos modificar notablemente el color dental.
- Microcarillas: Gracias a su diseño ultrafino, se colocan con un desgaste mínimo del esmalte.
Dependiendo del estado inicial del diente y la encía, así cómo de las expectativas y necesidades del paciente se optará por un tipo de carilla concreto (porcelana, composite o microcarillas).

Diferentes materiales para carillas dentales.
Proceso de Colocación de Carillas Dentales
La colocación de las carillas estéticas comienza con una evaluación detallada. El protocolo de trabajo permite diseñar casos de manera digital y ejecutarlos con total precisión. A través de unas guías inteligentes se permite una preparación muy conservadora y aplicar técnicas mínimamente invasivas sin errores.
El proceso de colocación y cementación es realmente sencillo y gracias a la guía inteligente, se pueden colocar hasta 10 carillas en un solo paso. Las guías se fabrican utilizando lo último en tecnología de impresión 3D y materiales resistentes y biocompatibles.
CARILLAS DENTALES PASO A PASO: DESCUBRE EL PROCESO COMPLETO
Pasos del Proceso:
- Evaluación y Planificación:
- Se realiza una prueba en boca con la férula de posicionamiento, acompañada de una evaluación digital avanzada.
- Se toman fotografías detalladas de tu boca y se realiza un escáner intraoral con tecnología 3D.
- Se revisa la salud bucal general.
- Gracias a la tecnología de Diseño Digital de Sonrisa (DSD), se planifica el resultado estético final antes de comenzar el tratamiento.
- Preparación del Diente:
- Es necesario preparar el diente para conseguir una adhesión eficiente de la carilla sobre la parte frontal del mismo. Sin embargo, las técnicas actuales son mínimamente invasivas y requieren un tallado practicamente imperceptible e incluso existen carillas sin tallado.
- Colocación de las Carillas:
- Se colocan las carillas definitivas mediante unas guías inteligentes.
- Gracias al diseño con guías 3D, el procedimiento es mínimamente invasivo, lo que reduce cualquier posible molestia y asegura un acabado natural.
- El diseño 100 % digital no solo aporta precisión, sino que también minimiza errores.
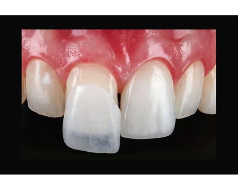
- Fase de Cementado:
- En esta fase se preparan los dientes, el dentista necesita quitar una pequeña cantidad de esmalte de la parte frontal y de los lados de los dientes. Esto crea espacio para poder colocar las carillas de porcelana y para que tus dientes se vean naturales. Tras ello se pasa a la cementación con la ayuda de la lámpara fotopolimerizable.
Ventajas de las Carillas Dentales de Porcelana
Las carillas de porcelana son una opción de tratamiento ideal cuando se desea mejorar el color, modificar la forma o tamaño, cerrar espacios entre los dientes o corregir desgastes. El objetivo es conseguir un aspecto más natural, estético y funcional de los dientes, recuperando la belleza perdida.
- Son fuertes y duraderas.
- Tienen una superficie de aspecto natural.
- Es necesario eliminar menos o nada de esmalte dental que en el caso de una corona.
- No se manchan fácilmente.
- El tejido de las encías tolera bien las carillas de porcelana.
- Las carillas de porcelana resisten a las manchas y pueden ser más blancas que el color natural de tus dientes.
Duración de las Carillas Dentales
La duración de las carillas dentales está determinada por diversos factores, como los cuidados que siga el paciente en cuanto a higiene oral, alimentación, tabaco, hábitos, revisiones con el dentista, etc. Adicionalmente, la durabilidad del tratamiento también depende del material con el que están fabricadas las carillas y de la técnica de colocación (directa o indirecta).
Con unos cuidados y unos mantenimientos adecuados, son un tratamiento pensado para durar a largo plazo. Las carillas de porcelana son más resistentes y podrían tener una durabilidad media de entre 10 y 15 años. Dicha durabilidad también depende de la buena colocación por parte del dentista y de los cuidados del paciente.
Cuidados Posteriores y Mantenimiento
La correcta higiene bucodental, las revisiones periódicas y los alimentos son tres factores importantes. Hay que intentar cepillarse los dientes de manera regular, 3 veces al día y usar hilo dental para alargar la vida útil de tus carillas de porcelana, pero sin olvidarnos de visitar al dentista cada 6-12 meses para evitar el deterioro de las mismas.
Tabla Comparativa de Tipos de Carillas
| Tipo de Carilla | Material | Durabilidad | Estética | Costo | Ventajas | Desventajas |
|---|---|---|---|---|---|---|
| Porcelana | Cerámica | 10-15 años | Excelente (aspecto natural) | Alto | Resistente a manchas, duradera | Más costosa, requiere preparación del diente |
| Composite | Resina Sintética | 5-7 años | Buena | Medio | Más económica, aplicación rápida | Menos duradera, propensa a manchas |
| Lumineers | Porcelana ultrafina | 10-15 años | Excelente | Alto | Mínima preparación del diente | Costo elevado |
Preguntas Frecuentes sobre Carillas Dentales de Porcelana
- ¿Las carillas de porcelana dañan el diente natural? Absolutamente no. Las carillas de porcelana están fabricadas para mejorar tu aspecto estético. Lo que sí hay que tener en cuenta es que tus dientes se tienen que pulir, raspar el esmalte o tallar mínimamente para poder colocarlas.
- ¿La colocación de carillas dentales de porcelana duele? La colocación de las carillas es generalmente un procedimiento sin dolor, además se suele usar anestesia local cuando se tiene que tallar la superficie del diente.
- ¿Cuánto duran las carillas dentales de porcelana? Las carillas de porcelana son más resistentes y podrían tener una durabilidad media de entre 10 y 15 años.