Las carillas dentales son una solución estética popular y efectiva para mejorar la apariencia de los dientes. Se utilizan para corregir una variedad de problemas estéticos, como dientes desgastados, manchados o con formas irregulares. El resultado es una sonrisa más brillante, uniforme y natural.

En este artículo, te explicaremos cómo es el proceso completo de colocación de carillas dentales: desde la primera visita hasta la sonrisa final.
¿Qué son las Carillas Dentales?
Las carillas dentales son unas finas láminas de porcelana o composite que se colocan en los dientes para solucionar pequeños defectos y dar a la sonrisa un aspecto más estético y armónico. Las carillas dentales son unas láminas muy finas -generalmente inferiores a un milímetro de espesor- que se fijan sobre la parte visible de uno o varios dientes. Su principal objetivo es mejorar el aspecto de los dientes, ya sea para modificar su tamaño, color, forma o posición. Por tanto, tienen una finalidad puramente estética.
Son una excelente solución para corregir imperfecciones como dientes oscuros o manchados, espacios entre dientes, fracturas y malposiciones leves. Ya sean de porcelana o composite, las carillas dentales van adheridas al diente natural de la persona mediante un cementado. En todos los casos se confeccionan totalmente a medida a partir de un diseño de sonrisa y su forma está, por tanto, personalizada.

Tipos de Carillas Dentales
Ahora que sabes qué son las carillas dentales, has de conocer los tipos de carillas que existen y sus principales características. Existen carillas dentales de composite y carillas dentales de porcelana/cerámica. No obstante, dependiendo del caso será necesario utilizar uno u otro material (resina, cerámica,…).
Carillas de Porcelana
Son las más populares debido a su durabilidad y apariencia natural. La porcelana es un material resistente a las manchas y capaz de imitar la translucidez de los dientes naturales, lo que proporciona un resultado estético mejor. Las carillas dentales de porcelana son una excelente opción para transformar la sonrisa con resultados duraderos y altamente estéticos.
Carillas de Resina Compuesta
Estas carillas son más económicas y se pueden colocar en una sola visita al dentista. Aunque no son tan duraderas como las carillas de porcelana, las carillas de resina compuesta pueden repararse fácilmente en caso de daño. Las carillas de composite son una alternativa más rápida y conservadora.
La elección entre carillas de porcelana y carillas de resina compuesta dependerá de factores como el presupuesto, el tiempo disponible para el tratamiento y las necesidades específicas de cada paciente.
Proceso de Colocación de Carillas Dentales
¿Alguna vez te has preguntado, ¿cómo se ponen las carillas dentales? Poner carillas dentales consiste en cubrir los dientes con unas finas láminas, normalmente de porcelana o de resina, para cambiar su aspecto y lograr una sonrisa más natural y bonita. El procedimiento de colocación depende del tipo de carillas que vaya a llevar el paciente (porcelana, composite, disilicato de litio…).
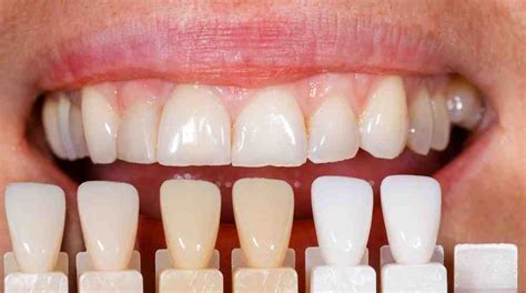
El primer paso antes de iniciar cualquier tratamiento con carillas dentales, es una evaluación personalizada y detallada de tu sonrisa. En esta primera consulta, el especialista analiza la salud bucodental, la alineación, el color y la forma de los dientes, así como tus expectativas estéticas. Utilizamos tecnología de vanguardia para tomar registros fotográficos, escaneos digitales, impresiones dentales e incluso radiografías si es necesario, lo que nos permite diseñar una sonrisa ideal adaptada a tus necesidades y preferencias personales.
A la hora de elegir un tipo de carillas u otro es necesario acudir a la clínica dental y que sea el odontólogo quien aconseje el tipo de carilla más conveniente, en función de las necesidades de cada paciente.
Colocación de Carillas de Composite
En general, podemos afirmar que el proceso de colocación de las carillas de composite es el más sencillo. Cuando se decide colocar carillas de composite, estas se colocan directamente sobre el diente en la consulta. Las carillas dentales de composite, o carillas de resina, son el tratamiento más rápido y sencillo de aplicar.
Antes de poner las carillas de composite resulta fundamental realizar un estudio de la boca del paciente, con el objetivo de confirmar que este es apto para dicho tratamiento. A través de dicho estudio, los dentistas determinarán si el estado de salud oral de la persona es el adecuado. En algunos casos, será necesario llevar a cabo un procedimiento adicional antes de poner las carillas.
En la segunda cita se colocarán las carillas de composite. Inmediatamente antes de poner las carillas, el odontólogo limpia el diente y aplica sobre su cara externa un gel adhesivo, que facilitará la unión del composite al diente. Después de aplicar el composite, el odontólogo realiza los últimos retoques en las carillas para darles la forma y la apariencia final.
Esto se debe, sobre todo, a dos motivos. En primer lugar, hay que tener en cuenta que con las carillas de composite no suele ser necesario tallar el diente. En segundo lugar, las carillas de composite se confeccionan en la propia clínica dental, directamente sobre la boca del paciente.
El proceso de colocación de las carillas de composite es el más sencillo. Normalmente, el proceso de colocación de las carillas de porcelana se lleva a cabo en tres citas.
- Aplicamos el composite directamente sobre el diente en capas finas.
- Estas carillas requieren revisiones periódicas y un buen cuidado, ya que el composite puede pigmentar con el tiempo.
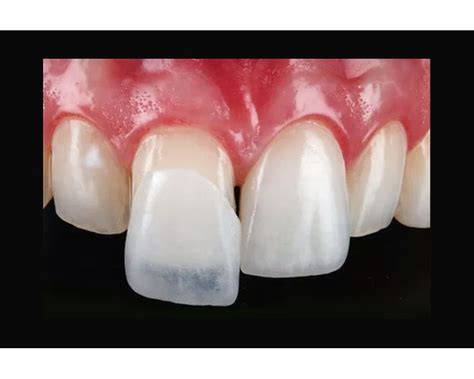
Colocación de Carillas de Porcelana
El estudio inicial que se lleva a cabo antes de colocar las carillas de porcelana es igual al realizado para las de composite. En la segunda cita se debe preparar el diente para la colocación de las carillas. De esta manera, la carilla podrá ajustarse correctamente a su superficie y tener un aspecto natural.
Una vez realizado el tallado, el dentista tomará una impresión o molde de tus dientes. Debido a que, en este punto, la colocación de las carillas de porcelana puede demorarse dos o tres semanas, resulta necesario poner unas carillas provisionales al paciente. Una vez que las carillas han sido fabricadas, el odontólogo citará al paciente para hacer una prueba en su boca y asegurarse de que encajan correctamente.
Antes de poner las carillas definitivas, el odontólogo retirará las provisionales. Tras esto, aplica un cemento especial en la carilla y la coloca sobre el diente. Luego utiliza una lámpara de polimerización para endurecer los materiales de adhesión y garantizar la fijación de la carilla.
A continuación, te mostramos los pasos para la colocación de las carillas de porcelana:
- Una vez que hemos diseñado digitalmente tu sonrisa ideal, escaneando tu boca con tecnología de precisión, elaboramos una maqueta o mock-up con carillas provisionales que se colocan sobre tus dientes.
- Dependiendo del diseño, en algunos casos, es necesario realizar un ligero tallado de la superficie externa de los dientes para permitir que la carilla se adhiera correctamente y no quede sobre el volumen natural del diente.
- Cuando las carillas están listas, se prueban sobre los dientes para confirmar forma, color y ajuste. Si todo es correcto, se cementan con adhesivos dentales de alta resistencia.
- A los pocos días, se agenda una revisión con nuestros dentistas en Madrid para confirmar que todo está en perfecto estado.
El tiempo que tardan en ponerse las carillas dentales varía en función del material de fabricación. Por otro lado, las carillas de porcelana precisan, al menos, dos visitas después del estudio inicial.

Consideraciones Adicionales
Salud Dental Óptima
Antes de considerar las carillas dentales, es crucial que tus dientes y encías estén en buen estado de salud. Es fundamental que no existan problemas graves de salud dental, como caries activas, enfermedades periodontales o infecciones. Las encías sanas no solo aseguran una mejor adaptación de las carillas, sino que también contribuyen a que el resultado sea más duradero y estético.
Durabilidad de las Carillas
Una de las preguntas más frecuentes sobre los tratamientos estéticos dentales es cuánto duran las carillas dentales. La durabilidad de las carillas depende de varios factores, incluyendo el tipo de material utilizado y los hábitos de cuidado dental del paciente. La duración de las carillas dentales está determinada por diversos factores, como los cuidados que siga el paciente en cuanto a higiene oral, alimentación, tabaco, hábitos, revisiones con el dentista, etc. Adicionalmente, la durabilidad del tratamiento también depende del material con el que están fabricadas las carillas y de la técnica de colocación (directa o indirecta).
Para prolongar la vida de las carillas, es crucial mantener una buena higiene bucal, evitar morder objetos duros y acudir regularmente al dentista para chequeos y limpiezas profesionales. Mantén una buena higiene bucal: Cepíllate los dientes al menos dos veces al día con un cepillo suave y pasta dental no abrasiva.
No, las carillas dentales no son permanentes y generalmente requieren reemplazo después de varios años, dependiendo del material, los hábitos del paciente y el cuidado dental. Aunque es verdad que las carillas de porcelanas duran más tiempo que las de composite.
Cuidados Posteriores al Tratamiento
Después de un tratamiento con carillas, es importante ser cauteloso con lo que comes para garantizar que las carillas se mantengan intactas y que tus dientes se adapten correctamente. El tratamiento con carillas requiere un cuidado adecuado para asegurar que duren y se mantengan en perfecto estado.
Preguntas Frecuentes
¿Pueden aparecer caries en los dientes con carillas?
Sí, pueden aparecer caries en los dientes con carillas si no se cuidan adecuadamente, ya que las carillas cubren solo la parte frontal del diente. Es fundamental mantener una buena higiene bucal, cepillarse correctamente, usar hilo dental y visitar al dentista regularmente para evitar problemas de caries o enfermedades en las encías.
¿Las carillas afectan la forma de morder?
Las carillas dentales no deberían afectar tu forma de morder si se colocan correctamente. Los especialistas se aseguran de que el tratamiento con carillas no solo mejore la estética, sino que también respete la alineación y la función de tu mordida.
¿Es doloroso el tratamiento con carillas?
El tratamiento de carillas no suele ser doloroso. Durante el procedimiento, utilizamos anestesia local si es necesario, para que te sientas completamente cómodo. En la mayoría de los casos, el tratamiento con carillas no requiere anestesia, ya que el proceso es generalmente rápido y no invasivo.
¿Cuál es la diferencia entre carillas y coronas?
La principal diferencia entre carillas y coronas radica en la cantidad de diente que se cubre y el objetivo del tratamiento. Carillas: Son láminas finas que se colocan en la parte frontal del diente para mejorar su estética. Coronas: Cubren todo el diente como un “capuchón” y se usan cuando hay daños significativos, como caries extensas, fracturas o después de un tratamiento de endodoncia.
¿Pueden cambiar de color las carillas con el tiempo?
No, los blanqueadores dentales no tienen efecto sobre las carillas, ya que están hechas de materiales como porcelana o composite que no cambian de color con estos tratamientos. Sin embargo, los dientes naturales que rodean las carillas sí pueden oscurecerse si no se cuidan adecuadamente. Si tienes carillas y notas diferencias de color entre ellas y tus dientes naturales, lo ideal es realizar un blanqueamiento previo a colocarlas para que todo quede uniforme.
¿Son las carillas una solución para dientes torcidos?
Las carillas pueden ayudar a disimular pequeñas irregularidades en los dientes, pero no son una solución para corregir dientes torcidos. Se recomienda un tratamiento de ortodoncia cuando hay problemas de alineación, apiñamiento o maloclusión.
¿Qué pasa si no me gustan las carillas después de colocarlas?
Durante el proceso, utilizamos carillas provisionales o maquetas (mock-ups) que te permiten ver cómo lucirán antes de finalizar el tratamiento. Si después de colocarlas definitivas sientes que algo no está como deseas, puedes hablar con nosotros.
En resumen, las carillas dentales son una solución estética excelente para transformar tu sonrisa, corrigiendo imperfecciones como manchas, dientes torcidos o desgastados.
✨CARILLAS de PORCELANA SIN TALLADO ¿Cómo se ponen? Consigue una SONRISA PERFECTA 💋 #shorts
tags: #carillas #dentales #provisionales