Una sonrisa deslumbrante es una de las mejores cartas de presentación que podemos tener. Las carillas dentales se han convertido en la solución estrella para conseguirla, pero… ¿sabías que no todas son iguales? Si estás pensando en transformar tu sonrisa con carillas pero te sientes perdido entre «composite» y «porcelana», sigue leyendo.
La estética dental ha avanzado enormemente en las últimas décadas, ofreciendo soluciones mínimamente invasivas para corregir imperfecciones y restaurar la armonía de la sonrisa. Entre estas soluciones, las carillas dentales destacan por su capacidad para transformar la estética de los dientes sin recurrir a tratamientos excesivamente agresivos.
Las carillas o veneers figuran entre los tratamientos estéticos más demandados en la actualidad. Estas restauraciones, constituidas por delgadas láminas, se adhieren en los dientes naturales descoloridos, pobremente formados o torcidos. A continuación, ofrecemos una perspectiva panorámica de este tratamiento odontológico no invasivo.
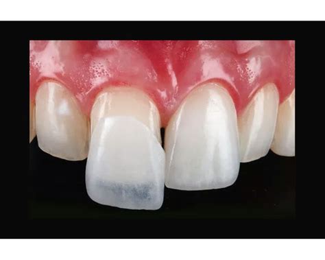
Las carillas dentales son láminas extremadamente finas que se adhieren a la parte frontal de los dientes para mejorar su apariencia. Se utilizan en odontología estética para corregir diversos problemas, como el color, la forma, el tamaño de los dientes, los espacios entre ellos y fracturas menores.

Tipos de Carillas Dentales: Composite vs. Porcelana
Los dos tipos principales son las carillas de composite y las carillas de porcelana. Parece evidente, y así te lo confirmamos desde nuestras clínicas dentales en Culleredo y Oleiros, que el material es la principal diferencia entre ambas carillas.
Carillas Dentales: Ventajas y Desventajas
Carillas de Resina (Composite)
Las carillas de composite están fabricadas con una resina similar a la que utilizamos para los empastes estéticos modernos. Las carillas de resina están hechas de un material plástico compuesto que se moldea directamente sobre el diente.
Las carillas de composite se aplican directamente sobre el diente en capas en una sola visita. El dentista las esculpe y les da forma. El proceso de colocación es otra diferencia importante entre carillas de composite y porcelana: para la colocación de las primeras se hace un ensayo previo, se fabrican y luego se colocan.
Ventajas de las Carillas de Resina:
- Precio más accesible: Son más económicas y requieren una sola sesión de tratamiento. Las carillas de composite suelen costar entre la mitad y dos tercios del precio de las de porcelana, ya que se colocan en una sola sesión y no requieren laboratorio.
- Proceso rápido: El tiempo de colocación de las carillas de resina es más corto, ya que no requiere el uso de moldes o impresiones dentales. Mientras que sus pares de resina generalmente requieren una sesión, especialmente cuando “hay pocos dientes involucrados o la superficie dental permanece sin defectos”.
- Facilidad de reparación: Las carillas de resina son relativamente fáciles de reparar. Lo ideal es que este procedimiento se efectúe con el mismo material que se utilizó inicialmente. Sí, y de hecho, uno de los materiales más utilizados en la reparación de carillas es el composite fotopolimerizable.
- Tallado mínimo o nulo del diente natural: En lo que respecta a la conservación de los dientes naturales, para la colocación de las carillas de resina hay que tocar mucho menos los dientes. En ciertos casos, no hay que tallar el diente antes de enmascararlo con carillas dentales.
- Las carillas de composite sí son reversibles y se pueden despegar sin que el diente sufra ninguna alteración.
Carillas de Porcelana
Las carillas de porcelana representan el estándar dorado en estética dental. Las carillas de cerámica están hechas de porcelana dental, un material extremadamente resistente y estéticamente natural que imita la apariencia del esmalte dental. La finalidad de cada tipo de carilla es la que también marca su punto de idoneidad. Mientras las de porcelana las empleamos para ejecutar tratamientos más integrales, las de resina o composite se orientan hacia los tratamientos de reparación de dientes no consecutivos.
La colocación de carillas de porcelana requiere varias visitas. Primero se realiza un tallado mínimo del diente, se toman impresiones y se envían a un laboratorio para fabricar las carillas a medida. En una segunda visita, se adhieren definitivamente. El proceso de colocación es otra diferencia importante entre carillas de composite y porcelana: las de porcelana se podrían colocar en la consulta del dentista sin más paradas intermedias. En una clínica dental en Almería, la colocación de carillas de porcelana implica varias fases: valoración, toma de impresión, fabricación en laboratorio, colocación provisional y el ajuste definitivo.
Ventajas de las Carillas de Porcelana:
- Estética excelente: Por otro lado, las de porcelana aportan un resultado algo más natural que las fabricadas con resina. Las carillas de cerámica tienden a ofrecer resultados más naturales y estéticamente atractivos. La porcelana es un material que, por su naturaleza, reproduce la apariencia del esmalte natural, logrando una armonía visual excepcional.
- Gran durabilidad: (10-20 años). Las carillas de cerámica son conocidas por su durabilidad a largo plazo. Un tratamiento de carillas de porcelana tiene una duración aproximada de 15 a 20 años con un correcto mantenimiento. Las carillas de porcelana pueden mantenerse en perfectas condiciones entre 10 y 15 años, e incluso superar ese periodo si se cuidan correctamente.
- Resistencia a las manchas y al desgaste: Son resistentes a las manchas, no se decoloran fácilmente y pueden soportar el desgaste diario. El blanqueamiento odontológico tiende a degradarse con el pasar del tiempo, mientras que las carillas conservan su tonalidad inicial.
- Biocompatibles: Las porcelanas feldespáticas han sido extensamente analizadas y tienen una estructura microcristalina con distribución uniforme.
Durabilidad: Un Factor Clave
La durabilidad es una diferencia clave. El Consejo General de Dentistas (2021) señala que, en términos de duración, las “de porcelana [que] son más resistentes, suelen durar entre 10 y 15 años. En cambio, las carillas de composite tienen una vida útil más limitada, generalmente entre 4 y 8 años. Su resina es más porosa y se puede manchar con alimentos o bebida.
La durabilidad de las carillas dentales no solo depende del material: es vital seguir buenas prácticas y mantener una higiene oral rigurosa. Evitar hábitos dañinos como morder objetos duros, consumir alimentos muy pigmentados sin precaución o fumar, prolonga la vida útil de ambas carillas.
Consideraciones Adicionales
- Expectativas estéticas: Si buscas una apariencia de máxima calidad y naturalidad, las carillas de porcelana suelen ser la opción preferida.
- Presupuesto: La inversión inicial y el mantenimiento a largo plazo son aspectos fundamentales.
- La actitud y motivación de los pacientes desempeñan un rol fundamental y hacen que las carillas tengan un éxito odontológico mayor. Lo preferible es evitar el consumo de tabaco en cualquiera de sus formas.
Tabla Comparativa: Carillas de Resina vs. Porcelana
| Característica | Carillas de Resina (Composite) | Carillas de Porcelana |
|---|---|---|
| Material | Resina compuesta | Porcelana dental |
| Durabilidad | 4-8 años | 10-20 años |
| Estética | Buena, pero menos natural | Excelente, muy natural |
| Resistencia a manchas | Menor | Mayor |
| Costo | Más económico | Más costoso |
| Proceso | Una sola cita | Varias citas |

En última instancia, la elección entre porcelana y composite depende de muchos factores: el presupuesto, la duración deseada, el nivel de cambio estético, y la disponibilidad para seguir cuidados a largo plazo.