La sonrisa es un elemento crucial de nuestra imagen personal, y lograr una sonrisa perfecta es un objetivo común. La estética dental ha avanzado significativamente, ofreciendo soluciones como las carillas Lumineers y el tratamiento Snap-On Smile. A continuación, exploraremos en detalle el sistema Snap-On Smile, sus ventajas, desventajas y alternativas.

¿Qué es Snap-On Smile?
El sistema Snap-On Smile es una especie de dentadura postiza removible que se puede utilizar de forma permanente o en ocasiones puntuales. Se dice que es lo que utiliza Madonna para ocultar su diastema. Fue inventado por el Dr. Marc Liechtung, un dentista especializado en restauración, quien buscaba una solución atractiva y no invasiva para pacientes que no podían acceder a restauraciones dentales convencionales como coronas, carillas e implantes.

Ventajas del Snap-On Smile:
- No requiere preparación dental ni altera la estructura de los dientes naturales.
- Simplemente encaja dentro y fuera de los dientes del paciente.
- No necesita ganchos, paladar, adhesivos, anestesia ni tallar los dientes.
- Es totalmente reversible y extraíble.
- Está hecho de una resina especial muy fina pero extremadamente fuerte y resistente, diseñada para comer con ella.
¿Se pueden comprar carillas dentales en farmacias?
Como odontólogo, a menudo me preguntan si se venden carillas dentales en farmacias y si son una buena opción para mejorar la sonrisa sin pasar por el dentista. La intención tras esta pregunta es clara: quieres saber si puedes comprar carillas dentales de forma fácil y económica, cuáles son sus características, y si conviene usarlas. En este artículo te voy a explicar qué son las carillas dentales y para qué sirven, qué tipo de carillas puedes encontrar en farmacias (las llamadas carillas dentales temporales o removibles), sus limitaciones y riesgos, en qué se diferencian de las carillas profesionales hechas por un dentista, y te daré recomendaciones de uso y mi opinión profesional sincera sobre si vale la pena utilizarlas o no.
Las carillas dentales son finas láminas personalizadas que se adhieren a la parte frontal de los dientes con el objetivo de mejorar su aspecto. Imagina una “cubierta” delgada, hecha a medida, que cubre la cara visible de tu diente. Están fabricadas con materiales como porcelana o resina compuesta (composite), que imitan el color y el brillo del diente natural. ¿Para qué sirven? Principalmente, para corregir imperfecciones estéticas de la sonrisa. Las carillas dentales sirven para transformar sonrisas de forma rápida y eficaz. Ofrecen un cambio notable de estética sin procedimientos muy invasivos. Eso sí, las carillas tradicionales (porcelana o composite) requieren ser colocadas por un odontólogo en la clínica.
El dentista realiza un estudio de tu sonrisa, prepara el diente (a veces limando una mínima parte del esmalte), toma moldes o impresiones y encarga la fabricación de la carilla a medida en un laboratorio (en el caso de las de porcelana) o las construye directamente sobre tu diente (en el caso de las de composite). Luego las adhiere con un cemento especial muy resistente.
Tipos de Carillas Dentales
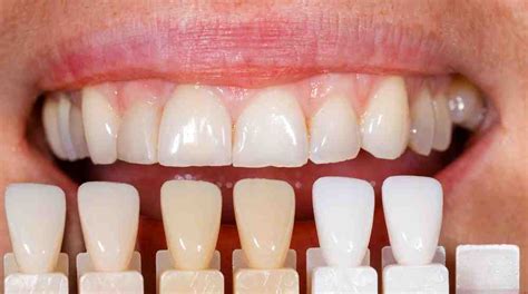
- Carillas de porcelana: extremadamente estéticas y duraderas. Son finísimas, parecen la capa de una lenteja en grosor, pero muy resistentes. Mantienen su color con el tiempo y pueden durar entre 10 y 15 años con buenos cuidados.
- Carillas de composite (resina): se construyen directamente sobre el diente aplicando capas de resina del color adecuado. Son más económicas que las de porcelana y se pueden realizar en una sola visita.
Ambas opciones transforman la sonrisa de forma significativa. Pero implican visitar al dentista, cierta inversión económica y un procedimiento clínico. Ahora bien, ¿qué pasa con esas supuestas “carillas milagrosas” que podrías adquirir en una farmacia o por internet sin pisar la consulta?
Carillas Dentales de Farmacia: ¿Una Opción Real?
La respuesta corta es sí, en algunas farmacias y tiendas online se comercializan carillas dentales de uso doméstico. ¿Qué tipo de carillas venden en farmacias? Básicamente, son carillas dentales temporales, removibles y prefabricadas. No tienen nada que ver con las carillas profesionales de porcelana o composite que describí antes, sino que son más bien prótesis estéticas de quita y pon. Su finalidad es meramente cosmética y temporal, algo así como “ponte un smile postizo para una ocasión especial”.
Tipos de Carillas de Farmacia
- Férula completa tipo “snap-on”: Es una placa delgada de resina o plástico que viene con la forma de una hilera de dientes (generalmente para la arcada superior, que es la más visible al sonreír). Esta férula se encaja sobre tus dientes cubriendolos por delante. Un ejemplo muy conocido es el producto comercial Perfect Smile, que se hizo popular en anuncios de TV e internet. Estas carillas instantáneas prometen darte una sonrisa perfecta al instante: cubren dientes manchados, torcidos o con huecos, dando la apariencia de dientes alineados y blancos al sonreír. Suelen estar hechas de un material plástico flexible que puedes ajustar (algunos se ablandan en agua caliente para adaptarlos un poco a tu mordida). Después, simplemente te los colocas a presión (“snap on”, que en inglés significa encajar a presión) y en teoría quedan sujetos sobre tus propios dientes.
- Carillas adhesivas individuales: Menos frecuentes, pero también existen kits con láminas adhesivas que se pegan sobre cada diente frontal. Imagina algo parecido a una uña postiza pero para el diente. Vienen en un color blanco/porcelana estándar y traen un pegamento dental o se auto-adheren con la humedad. Estas se anuncian para cubrir, por ejemplo, solo un diente estropeado. Personalmente, tengo serias reservas con estos adhesivos: suelen ser productos de baja calidad y el pegamento puede ser muy agresivo. De hecho, el uso de estas láminas está contraindicado por el riesgo de dañar el esmalte dental.
En cualquier caso, sí, se venden carillas dentales en farmacias, pero son siempre temporales y puramente estéticas. Las podrás encontrar en grandes farmacias, parafarmacias o tiendas en línea. Su precio suele ser bastante asequible comparado con las carillas de dentista: rondan desde unos 20 a 50 euros/dólares (dependiendo de la marca y la calidad) e incluso menos si son muy sencillas.
Quiero ser muy clara al respecto: las carillas dentales que se venden en farmacias tienen importantes limitaciones y no están exentas de riesgos para tu salud bucodental. Es mi deber, como profesional, ponerte al tanto de los posibles problemas antes de que consideres usarlas.
Limitaciones y Riesgos de las Carillas de Farmacia
- No corrigen problemas dentales reales: Estas carillas temporales solo camuflan visualmente defectos estéticos leves, pero no solucionan la causa de fondo. Es un efecto cosmético superficial.
- Ajuste deficiente y comodidad cuestionable: Al ser productos prefabricados de talla única o limitada, es muy difícil que calcen perfectamente en la dentadura de todas las personas. Un ajuste deficiente puede ocasionar molestias, llagas o rozaduras en las encías.
- Estética poco natural: Paradójicamente, algo diseñado para embellecer la sonrisa puede terminar viéndose falso. El color quizás no coincida con el de tus dientes naturales. Con las carillas de farmacia, existe el riesgo de ese “efecto Chiclet” (dientes cuadrados y demasiado blancos que parecen postizos).
- Fragilidad y poca duración: Estas carillas temporales no están hechas de materiales de alta resistencia. Son plásticos o resinas sencillas. Por tanto, se pueden romper o deformar fácilmente. Su vida útil es limitada.
- No puedes comer con total normalidad: No es recomendable masticar alimentos con ellas, especialmente comidas duras o pegajosas. Lo más sensato es quitárselas para comer, lo cual limita su uso a situaciones sociales donde no estés comiendo mucho, o a sonreír en fotos, etc.
- Riesgo de caries y problemas gingivales: Una carilla mal ajustada puede crear espacios donde se acumula placa bacteriana entre la carilla y el diente. Si la persona no tiene un higiene exquisita, esas bacterias pueden causar caries en el diente real oculto o inflamar las encías (gingivitis).
- Adhesivos peligrosos: Si el kit que compras implica usar un pegamento dental para fijar la carilla, hay que extremar precauciones. Un pegamento inadecuado puede dañar el esmalte o los tejidos blandos.
- Falsa seguridad y retraso de tratamientos adecuados: Si alguien usa diariamente estas carillas removibles, puede caer en la tentación de postergar visitas al dentista porque “total, mis dientes feos no se ven”.
Es comprensible que muchas personas comparen mentalmente: “¿Por qué pagar un dineral al dentista si puedo obtener algo similar por unos cuantos euros en la farmacia?”. La respuesta está en el famoso “lo barato sale caro”.

Tabla Comparativa: Carillas de Farmacia vs. Carillas Profesionales
| Característica | Carillas de Farmacia | Carillas Profesionales |
|---|---|---|
| Material y Calidad | Plásticos blandos o resinas acrílicas baratas | Porcelana de alta calidad o resina compuesta |
| Personalización | Estándar, uno o pocos tamaños y tonos genéricos | 100% personalizadas, a la medida de cada diente |
| Procedimiento de Colocación | Colocación por el propio usuario en casa | Procedimiento clínico realizado por un dentista |
| Permanencia | Removibles y de uso temporal | Permanentes o a muy largo plazo |
| Durabilidad | Pocos meses de uso frecuente | 10-15 años (porcelana), 5-7 años (composite) |
| Resultados Estéticos | Mejora estética evidente pero con cierto “filtro Instagram” | Prácticamente indistinguibles de un diente natural bonito |
| Seguridad y Salud Oral | Riesgos de dañar esmalte, favorecer caries, reacciones alérgicas | Seguro, con supervisión profesional y materiales aprobados |
| Coste Económico | Bajo (20-50€) | Alto (300-600€ por carilla) |
Snap-On Smile: Funcionamiento y Aplicación
A la hora de utilizar la técnica Snap-On Smile, muchas personas tienen dudas sobre cuál es su correcto funcionamiento. Antes de nada, es importante recordar que, si bien esta férula es bastante útil y socorrida, únicamente se puede recurrir a ella para solucionar problemas de carácter estético que sean leves.
Asimismo, el Snap-On Smile es un tratamiento que debe ser colocado de primera mano por un auténtico profesional, el cual habrá tomado las medidas necesarias de la boca del paciente para ajustar la férula a la perfección.
Snap-On Smile es un tipo de tratamiento que presenta gran cantidad de ventajas. Entre ellas, destaca sobre todo la capacidad de poder disimular distintas imperfecciones estéticas que se dan en los dientes, como las manchas, diastemas, o incluso problemas con el tamaño de las propias piezas dentales.
Proceso de Aplicación:
- Consulta Inicial: Hablar de tus objetivos y expectativas con un especialista en estética dental.
- Diseño Personalizado: Los especialistas trabajan en el diseño y la personalización de tu prótesis Snap-On Smile.
- Colocación: En la siguiente visita, se coloca tu Snap-On Smile.
CARILLAS INSTANTÁNEAS SNAP ON SMILE / MANUAL DE INSTRUCCIONES
Mantener tu Snap-On Smile es fácil.
Alternativas al Snap-On Smile
Snap on Smile es un tratamiento de estética dental temporal y reversible que permite lucir una sonrisa estética de forma inmediata. Este tratamiento tiene especial demanda entre pacientes que desean obtener unos dientes perfectos sin pasar por un tratamiento en una clínica odontológica.
Snap on Smile es un aparato que modifica temporalmente el color, tamaño y forma de los dientes. Cualquier paciente que quiera corregir temporalmente algún defecto estético de su sonrisa puede recurrir a Snap on Smile.
La férula debe adaptarse por completo a la boca del paciente para evitar rozaduras o un mal encaje que perjudique su salud oral. Snap on Smile se fabrica con una resina ligeramente flexible y es totalmente personalizable, por lo que el paciente puede elegir el color que desea lucir en su sonrisa.
Con el fin de que evites tapar temporalmente los problemas estéticos y funcionales de tu sonrisa, te explicamos qué tratamientos hechos en una clínica dental de confianza son realmente seguros para tu boca.
Tratamientos Seguros y Permanentes
- Implantes Dentales: Es la solución más fiable, estética, funcional y permanente ante la falta de dientes.
- Ortodoncia: Permiten solucionar problemas relacionados con la oclusión, nivelación, alineación y posición de las piezas dentales. Los alineadores transparentes, como Invisalign, son la ortodoncia sin brackets. Al ser removibles, no afectan ni a la higiene oral ni a la dieta. Por otro lado, la ortodoncia lingual es la única 100% invisible y no es apreciable ante los ojos de los demás.
- Blanqueamiento Dental Combinado: El tratamiento de estética dental estrella es el blanqueamiento combinado. Consigue aclarar de forma muy notable el tono de tus dientes y ofrece resultados muy duraderos.
Como ves, la mejor opción a largo plazo es optar por un tratamiento seguro, supervisado por un dentista especializado y que, además, sea completamente seguro para tu salud oral.