Las carillas dentales son una solución estética popular para mejorar la apariencia de los dientes. Se colocan en la superficie frontal de los dientes con la finalidad de mejorar su aspecto, corrigiendo problemas estéticos o patológicos. Las carillas dentales son unas láminas muy finas -generalmente inferiores a un milímetro de espesor- que se fijan sobre la parte visible de uno o varios dientes. Su principal objetivo es mejorar el aspecto de los dientes, ya sea para modificar su tamaño, color, forma o posición. Por tanto, tienen una finalidad puramente estética.
Son uno de los tratamientos dentales estéticos más demandados actualmente, tanto por su sencillez como por su precio.

¿Quién puede llevar carillas dentales y cuándo se recomiendan?
Las carillas dentales son un tratamiento eficaz a la hora de corregir y/o disimular pequeños defectos que afectan negativamente al aspecto de los dientes. El procedimiento de colocación depende del tipo de carillas que vaya a llevar el paciente (porcelana, composite, disilicato de litio…). A la hora de elegir un tipo de carillas u otro es necesario acudir a la clínica dental y que sea el odontólogo quien aconseje el tipo de carilla más conveniente, en función de las necesidades de cada paciente.
Las carillas dentales ofrecen a mis pacientes una solución estética duradera para dientes descoloridos, astillados o desalineados o con espacios. Con opciones de porcelana y resinas compuesta, mis pacientes pueden elegir la mejor opción según sus necesidades y presupuesto.
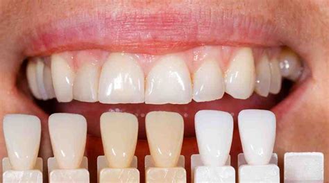
Tipos de Carillas Dentales
Pueden estar hechas de diferentes materiales, pero suelen ser de porcelana o composite:
- Carillas de composite: Están hechas de una resina compuesta que se aplica directamente sobre el diente y se moldea para lograr la forma deseada. La naturaleza de este material tiene como contra una duración y resistencia algo menor que en el caso de las carillas de porcelana.
- Carillas de porcelana: Estas carillas son más duraderas y resistentes a las manchas. Se fabrican a medida en un laboratorio dental y requieren al menos dos visitas al dentista para su colocación.
Proceso de Colocación de Carillas Dentales
¿Qué son las Carillas Dentales? - Colocación de Carillas Dentales paso a paso
El proceso de colocación de las carillas dentales es un procedimiento odontológico minucioso que se realiza en varias etapas para garantizar un ajuste perfecto y una adhesión duradera. En primer lugar, se realiza una consulta previa para valorar el estado de la boca del paciente y determinar qué tratamientos son los más indicados.
Soy la Dra. María Ballate y hoy te hablaré sobre el proceso de colocación de las carillas dentales típico. En primer lugar, te recuerdo que las carillas dentales son finas láminas hechas de distintos materiales como la porcelana o las resinas compuestas, que se adhieren a la superficie frontal de los dientes para mejorar su apariencia. Son una solución popular que ofrecemos a nuestros pacientes para solucionar y mejorar problemas estéticos como dientes descoloridos, astillados o desalineados.
A lo largo de mis años de experiencia he asumido la certeza de que la genética juega un papel crítico en la necesidad del paciente para realizar un tratamiento de carillas, especialmente en casos de decoloración o forma irregular de los dientes, al igual que lo hace en enfermedades de las encías como la gingivitis o la periodontitis donde en muchas ocasiones, aunque la higiene del paciente sea perfecta, es susceptible de tener inflamación de encías o pérdida ósea.
A continuación, se detallan los pasos generales para la colocación de carillas:
- Lo primero que debo realizar es una evaluación exhaustiva de tus dientes y encías para determinar si las carillas son adecuadas para tu caso clínico.
- Primero retiraré una pequeña cantidad de esmalte dental, para hacer espacio para las carillas. Se que esto os da mucho miedo, pero tranquilos, siempre la mínima posible y solo en la parte delantera del diente. Además, por supuesto, esto lo realizaré con anestesia local para evitar cualquier molestia durante el proceso. En los casos en los que realizamos carillas sin tallado, no se necesita anestesia. Los efectos de la anestesia desaparecen rápidamente, lo que te permite volver a tu vida normal sin interrupciones. Llega el momento de la preparación y colocación de las carillas dentales. En algunos casos, es necesario realizar un ligero tallado de la superficie externa de los dientes para asegurar que las carillas se adhieran de manera segura y estén alineadas correctamente.
- Mientras se fabrican las carillas permanentes, colocaré carillas temporales para proteger tus dientes en todo momento (de alimentos ácidos, cosas frías, etc); y además, para mantener intacta tu estética durante el proceso (nadie notará que estás haciendo un tratamiento de carillas). En este caso realizaré todo en la misma consulta fabricando yo misma las carillas en composites específicos de alta estética y resistencia.
- Una vez que las carillas están listas, el dentista las prueba en los dientes del paciente para verificar el color, la forma y el ajuste. Antes de la colocación definitiva, se prueban las carillas temporales o definitivas para comprobar el color, la forma y la alineación.
- Antes de la adhesión, el diente debe estar limpio y preparado para recibir la carilla. Las carillas se colocan sobre los dientes utilizando un cemento dental especial. Las carillas dentales, hechas a medida en los mejores laboratorios de alta estética, se adhieren cuidadosamente a la superficie externa de tus dientes.
- Una vez que la carilla está adherida al diente, el odontólogo elimina cualquier exceso de cemento y realiza los ajustes necesarios en la mordida. Para terminar, se pulen las carillas para conseguir un acabado brillante, y se revisa la mordida por si hay que hacer ajustes finales.

Duración de las Carillas Dentales
La duración de las carillas dentales está determinada por diversos factores, como los cuidados que siga el paciente en cuanto a higiene oral, alimentación, tabaco, hábitos, revisiones con el dentista, etc. Adicionalmente, la durabilidad del tratamiento también depende del material con el que están fabricadas las carillas y de la técnica de colocación (directa o indirecta). Por ello, no resulta posible determinar de antemano cuánto tiempo duran las carillas dentales. Lo que sí podemos decirte es que, con unos cuidados y unos mantenimientos adecuados, son un tratamiento pensado para durar a largo plazo.
Si las carillas de cerámica se colocan correctamente y se siguen los cuidados necesarios, pueden durar entre 10 y 15 años. Para prolongar su duración, es importante seguir las recomendaciones del especialista. Mantener una buena higiene bucal es fundamental para prolongar la vida útil de las carillas.
Ventajas y Desventajas de las Carillas de Porcelana
En esta línea vamos a hacer una descripción de las ventajas y desventajas de las carillas de porcelana frente a las carillas de composite y a los retenedores de recubrimiento total.
Ventajas
- Técnica de dificultad media.
- Preparación dentaria muy conservadora.
- Estética muy elevada.
- Resistencia elevada a las fuerzas.
- Biocompatibilidad local y general.
- Resistencia al desgaste.
- Resistencia a la tinción.
- Resistencia al ataque químico.
- Radiopacidad.
- Costo aceptable.
Inconvenientes
- Técnica clínica más compleja que para las carillas de composite y mucho más que para una corona. Requiere varias sesiones clínicas.
- Técnica de laboratorio compleja.
- Fragilidad relativa.
- Dificultad para la reparación.
- Técnica adhesiva compleja.
- Tratamiento irreversible: una vez tallado el diente no lo podemos recuperar, aunque su invasión sea mínima.
- Imposibilidad de cambiar el color una vez cementada la carilla.
Indicaciones de las Carillas de Porcelana
Las principales indicaciones de las carillas de porcelana son problemas estéticos de una u otra etiología, aunque también pueden tener indicaciones para solucionar algunas alteraciones anatómicas y funcionales. En estos dos supuestos, hemos de decir que los mejores resultados se consiguen con coronas de recubrimiento total.
- Estéticas
- Cambios de coloración dentaria.
- Cambios de posición dentaria.
- Cambios en la textura superficial dentaria.
- Cierre de diastemas.
- Anatómicas
- Funcionales
- Otras indicaciones
Contraindicaciones
Aunque las carillas pueden solucionar muchos problemas, no están exentas de contraindicaciones derivadas de su fragilidad y facilidad de descementación, tanto más cuanto no se siga una técnica e indicación rigurosa.
- Estéticas
- Alteraciones muy importantes del color dentario.
- Funcionales
- Las situaciones de carga excesiva sobre las carillas de porcelana o sobre los dientes soporte de las mismas causarán fuerzas inadecuadas que redundarán en la fractura o descementado de la carilla.
- Otras
- Hábitos inadecuados.
- Higiene insuficiente.
- Un índice de caries elevado, asociado o no a higiene insuficiente hace aparecer caries con mayor facilidad en la interfase cementante, elevando los riesgos de fracaso.

tags: #carillas #dentales #temporales